Submit manuscript...
Journal of
eISSN: 2379-6359

Otolaryngology-ENT Research

Case Series Volume 10 Issue 4

Isolated sphenoid inflammatory diseases

Manal Alali, Abdulrahman Al Khatib, Ghaleb Al Azzeh, Ali Al Momen

Department of ENT, King Fahad Specialist Hospital, Saudi Arabia

Correspondence: Ali Al Momen, Department of ENT, King Fahad Specialist Hospital, Dammam, MOH, Saudi Arabia, Tel +966 555933677

Received: July 26, 2018 | Published: August 13, 2018

Citation: Alali M, Khatib AA, Azzeh GA, et al. Isolated sphenoid inflammatory diseases. J Otolaryngol ENT Res. 2018;10(4):248-251. DOI: 10.15406/joentr.2018.10.00355

Download PDF

Abstract

Introduction: Isolated sphenoid inflammatory disease is a rare clinical condition

among patients with paranasal sinus disease, reported incidence between 1%-3%.1 The most common symptoms of isolated sphenoid inflammatory lesions are headache, ophtalmological and nasal symptoms. Delayed diagnosis may occur due to its nonspecific symptoms.2 The disease requires appropriate and good imaging technique for diagnosis. The aim of the study to discuss different pathologies of isolated sphenoid inflammatory lesions.

Patients and methods: From 2008 to 2017, we performed surgery on 27 patients with isolated sphenoid inflammatory disease. The presenting signs and symptoms, radiological studies, operative findings, and clinical outcomes were retrospectively reviewed and analyzed.

Results: 27 cases were identified at tertiary hospital of King Fahad Specialist Hospital Dammam. 12 bacterial sphenoid sinusitis, 4 allergic fungal sinusitis, 4 fungal balls, 2 invasive fungal sinusitis, 3 pediatric (2 sphenoid sinusitis and 1 allergic fungal sinusitis), 1 mucocele, 1 mucopyocele.

Conclusion: Isolated sphenoid inflammatory disease is rare, with comprehensive history taking, complete physical examination, appropriate endoscopic examination and advanced imaging studies will give appropriate clinical diagnosis. Histopathology and microbiology are important for definite diagnosis.

Keywords: Sphenoid sinus, bacterial sinusitis, fungal sinusitis, fungal ball, mucocele

Introduction

Isolated sphenoid inflammatory lesions are uncommon. Due to their nonspecific signs and symptoms, these lesions are difficult to diagnose at first presentation.3 The sphenoid sinuses are located at the skull base at the junction of the anterior and middle cerebral fossae. They starts to grow between the third and fourth months of fetal development, Pneumatization of the sphenoid bone starts at three years old, and reaches its final form in the mid-teens.4,5 The relation of sphenoid sinus include superiorly the sella turcica, laterally the sphenoid sinus can had important prominences including the carotid canal and the optic canal: the internal carotid artery is the most medial structure in the cavernous sinus.

The clinical presentation of the patient with isolated sphenoid inflammatory disorder is nonspecific. Headache is the most common presenting symptom; include 80% of cases.6-8 Vision problems and other cranial nerve involvements represent 12% of the presenting symptoms.9

The Imaging studies are important in the diagnosis of isolated sphenoid lesions. CT scan is the gold standard in the diagnosis; a CT scan may show different pathologies and help in differentiation between inflammatory disease and neoplasm and between bacterial and fungal infections. MRI is used to if suspected extension to the CNS or the orbit.

Patients and methods

A retrospective study to all patients diagnosed with isolated sphenoid inflammatory diseases at a tertiary hospital of King Fahad specialist hospital Dammam, KSA from 2008 to 2017. The presenting signs and symptoms, radiological studies, operative findings, and clinical outcomes were retrospectively reviewed and analyzed. This study was reviewed and approved by the institutional review board (IRB) at our institution.

Results

27 cases were studied at tertiary hospital of King Fahad Specialist Hospital Dammam. 12 bacterial sphenoid sinusitis, 4 allergic fungal sinusitis, 4 fungal balls, 2 invasive fungal sinusitis, 3 pediatric (2 sphenoid sinusitis and 1 allergic fungal sinusitis), 1 mucocele, and 1 mucopyocele.

Discussion

Pathologies of Isolated Sphenoid Inflammatory Disease

Bacterial Sphenoid Rhinosinusitis: Bacterial Sphenoid Rhinosinusitis was the most common isolated sphenoid inflammatory lesion, occurring in 12 patients.

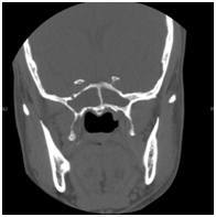
The commonest pathogens include Staphylococcus aureus, aerobic Gram-negative bacilli and anaerobes.10-14 These patients presented with headache, rhinorrhea, nasal obstruction, and blurred vision. The most common presenting symptom of sphenoid sinus disease is mainly headache. In the majority of previous reports, headache was nonspesific in location, quality and intensity.15 Physical examination and endoscopic finding may show mucopurulent secretion at the sphenoethmoidal area, edema of the sphenoethmoidal recess mucosa and polypoid tissue in the sphenoethmoidal recess. In CT scan of the sinuses (Figure 1) will show opacification in the sphenoid sinus, with mucosal wall thickening and air-fluid level. Management of these patients is medical treatment with antibiotic based on culture with topical corticosteroid and decongestant, the surgical intervention (endoscopic sphenoidotomy) (Figure 2) if failed medical treatment or patient presented with complications.

Figure 1 CT scans sinuses with homogenous opacification of both sphenoid sinuses.

Figure 2 endoscopic sphenoidotomy for bacterial sphenoid sinusitis./p>

Allergic Fungal Rhinosinusitis AFS: Allergic fungal sinusitis is a non-invasive fungal sinusitis occurs in immunocompetent individuals in whom there is a strong inflammatory response to the fungal infection. This commonly results in a thick mucin that can be expansile and cause bony decalcification. There is also marked mucosal thickening and bone resorption due to the secretion of enzymes. Endoscopic examinations of these patients show the presence of allergic mucin and polyps. Major criteria for diagnosis by Bent and Kuhn their diagnostic criteria depend on the histologic, radiographic, and immunologic characteristics of the disease which include type 1 hypersensitivity, the presence of nasal polyposis, characteristic CT findings of heterogeneous hyperdensities that are often unilateral and asymmetric (Figure 3), an eosinophilic mucin and positive fungal stain or culture.16 AFS in sphenoid sinus can easily compress the cranial nerves. It was reported that cranial neuropathies develop in 10% of the sphenoid AFS with bone erosion. Treatment involves endoscopic sphenoidotomy to clear polyps and allergic mucin (Figure 4), and to restore the ventilation and drainage of sinuses with combination of medical therapy with corticosteroids. Anti-fungal treatment is usually not required. Histopathology is important to be obtained for the specimen which shows allergic mucin containing fungal components without any tissue invasion. These patients may get benefit from Immunotherapy post-op.

Figure 3 CT scan of bilateral sphenoid allergic fungal sinusitis./p>

Figure 4 Mud and mucin in isolated sphenoid allergic fungal sinusitis.

Fungal ball

It is noninvasive fungal infections, usually involves one single sinus, most frequently the maxillary sinus. Bilateral sphenoid sinus involvement is infrequent.18,19,20,23 It accounts for approximately 10% of chronic noninvasive fungal sinusitis Aspergillus is the primary causative organism. Clinically it is generally insidious and characterized by nonspecific symptoms such as headache which is the most common symptom, purulent rhinorrhea, and nasal obstruction. CT scan is excellent in diagnosing sphenoid fungus ball (Figure 5). Fungal ball appears as hyperattenuating in CT due to dense hyphae with evidence of chronic inflammation with sclerosis and thickening of the wall of the paranasal sinuses. Intrasinus metallic calcifications have been reported in 50% of cases.25 In MRI the fungal ball appears as iso or hypointense on T1 and marked hypointense on T2. Calcifications will cause signal void on T2 images.26 Since the use of CT, MRI, and nasal endoscopy, more cases of sphenoid fungal ball are being diagnosed.27 However, definitive diagnosis is confirmed postoperatively by microbiological and histopathological examinations. Microbiology confirms the diagnosis of fungal ball. The aim of treatment is surgery by using endoscopic approaches (Figure 6), the transnasal approach and the posterior transethmoidal approach. The transnasal approach is preferred because it spares the ethmoid sinus. The transethmoidal approach is recommended in case of concomitant posterior ethmoid sinus disease.28 The rate of recurrence or residual disease in the fungal ball of the sphenoid sinus is lower (0–3.6 %) than fungal ball of the maxillary sinus (0–22.5 %).18,13,29

Figure 5 CT scan of left sphenoid fungal ball.

Figure 6 Endoscopic view of sphenoid fungal ball.

Mucocele

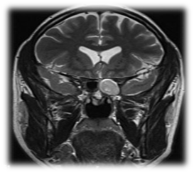
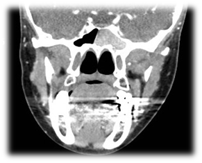
Sphenoid sinus mucocele compromises 1–2% of all paranasal sinuses mucoceles.6 The pathophysiology of mucocele is retention of mucoid secretion within the sinus, leading to thinning, distension and erosion of the sinus bony walls. The most common location is the frontal sinus then the anterior ethmoidal sinus .Sphenoid sinus mucocele can be presented with headache, visual disturbance due to optic or oculomotor, trochlear and abducent nerves involvement, diplopia, and external ophthalmoplegia. A rare clinical entity, mucocoeles seem to be more common in patients with a history of radiation to the head and neck.30 reported up to 30% of patients with isolated sphenoid mucocoeles had a history of previous radiation. Diagnosis of sphenoid sinus mucocele is mainly by CT scan (Figure 7) of that would show a low attenuation on CT. MRI scan (Figure 8) is important to detect the extension of the mucocele and that would show a low signal on T1 and a high signal on T2. Asymptomatic mucocele can be leave without any surgical intervention. Surgical intervention is required when it is symptomatic, or if it is presented with complications like orbital or cranial involvement. Surgical treatment of sphenoid mucocele is by endoscopic transnasal image-guided sphenoidotomy (Figure 9) the aim of surgery is to do wide sphenoidotomy to allow adequate drainage and to avoid recurrences of the disease (Figure 10). Marsupialization of the mucocele is another option with good results.

Image guided endoscopic surgery for marsupilisation of left sphenoid mucocele

Figure 7 CT scan left sphenoid mucocele.

Figure 8 MRI, left sphenoid mucocele.

Figure 9 Image-guided surgery IGS.

Figure 10 wide sphenoidotomy.

Conclusion

Isolated sphenoid inflammatory disease is rare. Because of the relation of the sphenoid sinus to important vital structures of the skull base, early diagnosis and treatment is important and can avoid serious intracranial and orbital complications. Histopathology and microbiology are important for definite diagnosis. The endonasal endoscopic wide sphenoidotomy is the treatment of choice for isolated sphenoid inflammatory diseases.

Acknowledgments

None.

Conflict of interest

The author declares there are no conflicts of interest.

References

  1. Lawson W, Reino AJ. Isolated sphenoid sinus disease: an analysis of 132 cases. Laryngoscope. 1997;107(12 Pt 1):1590–1595.
  2. Nour YA, Al-Madani A, El-Daly A, et al. Isolated sphenoid sinus pathology: Spectrum of diagnostic and treatment modalities. Auris Nasus Larynx. 2008;35(4):500–508.
  3. Sethi DS. Isolated sphenoid lesions: diagnosis and management. Otolaryngol, Head Neck Surg. 1999;120(5):730–736.
  4. Rice DH, Schaefer SD. Anatomy of the Paranasal Sinuses. In: Rice DH, Schaefer SD (2004) Endoscopic Paranasal Sinus Surgery. Lippincott Williams & Wilkins, 3rd edn.
  5. Van Cauwenberge P, Sys L, De Belder T et al. Anatomy and physiology of the nose and the paranasal sinuses. Immunol Allergy Clin North Am. 2004;24(1):1–17.
  6. Friedman A, Batra PS, Fakhri S, et al. Isolated sphenoid sinus disease: etiology and management. Otolaryngol Head Neck Surg. 2005;133(4):544–550.
  7. Sethi DS. Isolated sphenoid lesions: diagnosis and management. Otolaryngol Head Neck Surg. 1999;120(5):730–736.
  8. Martin TJ, Smith TL, Smith MM, et al. Evaluation and surgical management of isolated sphenoid sinus disease. Arch Otolaryngol Head Neck Surg. 2002;128(12):1413–1419.
  9. Lawson W, Reino AJ. Isolated sphenoid sinus disease: an analysis of 132 cases. Laryngoscope. 1997;107(12 Pt 1):1590–1595.
  10. Lew D, Southwick FS, Montgomery WW, et al. Sphenoid sinusitis. A review of 30 cases. N Eng J Med. 1983;309(19):1149–1154.
  11. Friedman A, Batra PS, Fakhri S, et al. Isolated sphenoid sinus disease: etiology and management. Otolaryngol Head Neck Surg. 2005;133(4):544–550.
  12. Sethi DS. Isolated sphenoid lesions: diagnosis and management. Otolaryngol Head Neck Surg. 1999;120(5):730–736.
  13. Socher JA, Cassano M, Filheiro CA, et al. Diagnosis and treatment of isolated sphenoid sinus disease: a review of 109 cases. Acta Otolaryngol. 2008;128(9):1004–1010.
  14. Brook I. Bacteriology of acute and chronic sphenoid sinusitis. Ann Otol Rhinol Laryngol. 2002;111(11):1002–1004.
  15. Ruoppi P, Seppä J, Pukkila M, et al. Isolated sphenoid sinus diseases: report of 39 cases. Arch Otolaryngol Head Neck Surg. 2000;126(6):777–781.
  16. Bent JP, Kuhn FA. Diagnosis of allergic fungal sinusitis. Otolaryngol Head Neck Surg. 1994;111(5):580–588.
  17. Illing EA, Dunlap Q, Woodworth BA. Outcomes of pressure-induced cranial neuropathies from allergic fungal rhinosinusitis. Otolaryngol Head Neck Surg. 2015;152(3):541–545.
  18. Nicolai P, Lombardi D, Tomenzoli D, et al. Fungus ball of the paranasal sinuses: experience in 160 patients treated with endoscopic surgery. Laryngoscope. 2009;119(11):2275–2279.
  19. Grosjean P, Weber R. Fungus balls of the paranasal sinuses: a review. Eur Arch Otorhinolaryngol. 2007;264(5):461–470.
  20. Ferreiro JA, Carlson BA, Cody DT. Paranasal sinus fungus balls. Head Neck. 1997;19(6):481–486.
  21. Klossek JM, Peloquin L, Fourcroy PJ, et al. Aspergillomas of the sphenoid sinus: a series of 10 cases treated by endoscopic sinus surgery. Rhinology. 1996;34(3):179–183.
  22. Dufour X, Kauffmann-Lacroix C, Ferrie JC, et al. Paranasal sinus fungus ball and surgery: a review of 175 cases. Rhinology. 2005;43(1):34–39.
  23. Pagella F, Pusateri A, Matti E, et al. Sphenoid sinus fungus ball: our experience. Am J Rhinol Allergy. 2011;25:276–280.
  24. Lee TJ, Huang SF, Chang PH. Characteristics of isolated sphenoid sinus aspergilloma: report of twelve cases and literature review. Ann Otol Rhinol Laryngol. 2009;118(3):211–217.
  25. Bent JP, Kuhn FA. Diagnosis of allergic fungal sinusitis. Otolaryngol Head Neck Surg. 1994;111(5):580–588.
  26. Aribandi M, McCoy VA, Bazan C. Imaging features of invasive and noninvasive fungal sinusitis: a review. Radiographics. 2007;27(5):1283–1296.
  27. Pagella F, Pusateri A, Matti E, et al. Sphenoid sinus fungus ball: our experience. Am J Rhinol Allergy. 2011;25:276–280.
  28. Pagella F, Pusateri A, Matti E, et al. Sphenoid sinus fungus ball: our experience. Am J Rhinol Allergy. 2011;25(4):276–280.
  29. Castelnuovo P, Pagella F, Semino L, et al. Endoscopic treatment of the isolated sphenoid sinus lesions. Eur Arch Otorhinolaryngol. 2005;262(2):142–147.
  30. Soon SR, Lim CM, Singh H, et al. Sphenoid sinus mucocele: 10 cases and literature review. J Laryngol Otol. 2010; 124(1):44–47.
Creative Commons Attribution License

©2018 Alali, et al. This is an open access article distributed under the terms of the, which permits unrestricted use, distribution, and build upon your work non-commercially.