Submit manuscript...
Journal of
eISSN: 2379-6359

Otolaryngology-ENT Research

Case Report Volume 11 Issue 3

Lateral sinus thrombosis with pneumocephalus: A rare complication of chronic suppurative otitis media

Abhilasha S,1 Borlingegowda Viswanatha1

1Otorhinolaryngology department, Bangalore medical college & research institute, India
1Otorhinolaryngology department, Bangalore medical college & research institute, India

Correspondence: Borligegowda Viswanatha, MS, PhD, FACS (USA), FRCS (Glasgow), Professor of ENT, Bangalore medical college & research institute, Bangalore, INDIA

Received: May 07, 2019 | Published: May 27, 2019

Citation: Rajani YA, Nandurkar AN. Development of a modified open set sentence test for assessment of speech perception skills in Hindi preschool children. J Otolaryngol ENT Res. 2019;11(3):158-164. DOI: 10.15406/joentr.2019.11.00427

Download PDF

Abstract

Pneumocephalus is defined as the presence of air or gas within the cranial cavity. It is seen rarely in association with complications of otitis media. One of the well-known complications of otitis media is lateral sinus thrombosis (LST). Infection and inflammation in the mastoid and middle ear predispose for thrombosis in dural venous sinuses which is in close proximity to it. In the era of antibiotic treatment LST accounts for 6% of all intracranial complications. In this article we report a case of active chronic squamous type of otitis media with lateral sinus thrombosis with pnuemocephalus along with the review of literature.

Keywords: Lateral sinus thrombosis, pneumocephalus, otitis media, complication

Introduction

Intracranial complications due to middle ear infections accounts for 0.5–4% of cases and mortality of 5% and 15%1,2 among which pneumocephalus is very rare entity.3 Pneumocephalus is defined as the presence of air or gas within the cranial cavity. Its aetiologies include trauma to face, cranium, neurosurgical or otological procedures, otomastoiditis, or skull base tumours and rarely can occur spontaneously.4,5 The first case of otogenic pneumocephalus was reported by Dandy in 1926.6 One of the well-known complications of otitis media is lateral sinus thrombosis (LST).7 Infection and inflammation in the mastoid and middle ear predispose for thrombosis in dural venous sinuses which is in close proximity to it.8 In the era of antibiotic treatment LST accounts for 6% of all intracranial complications9 and ranks around third or fourth most common intracranial complication of chronic otitis media. In current scenario, due to earlier diagnosis and effective management of the disease has led to dramatic fall in the incidence of LST. Use of antibiotic therapy has resulted in difficult diagnosis as the classical clinical presentation has been altered10–12 and hence its prompt diagnosis demands high index of suspicion and thorough knowledge of its clinical picture.13 In this article we report 20 year old boy who was diagnosed with active chronic squamous type of otitis media with lateral sinus thrombosis with pnuemocephalus.

Case report

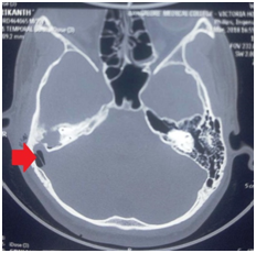
A 20 years old boy was admitted to our hospital with history of intermittent ear discharge which was foul smelling and occasionally blood stained with ear pain since 3yrs of his age. He had history of reduced hearing from past 10 yrs. From past 20 days he had developed above complaints along with fever, vomiting, and neck swelling with pain. On examination, he was febrile, conscious oriented and ill looking. Otological examination revealed, purulent discharge from right ear canal with granulation tissue which obscured the view of tympanic membrane. He had tenderness and oedema over right mastoid region and had conductive deafness. He also had tenderness with diffuse swelling over right side of his neck and torticollis (Figure 1). Rest of the examination was normal. There were also features suggestive of right internal jugular vein thrombosis. Computed tomography (CT) scanning at a local hospital revealed features suggestive of chronic suppurative otitis media with lateral sinus thrombophlebitis. He was then transferred to our hospital for further evaluation and management. Repeat HRCT temporal bone revealed, feature suggestive of right coalescent otomastoiditis causing, sigmoid sinus plate and tegmen tympani erosion causing thrombosis of right transverse, sigmoid sinus and internal jugular vein with subcutaneous abscess with pnemocephalus (Figure 2).

MR venogram showed loss of normal contrast enhancement and flow void involving distal half of right transverse, sigmoid sinus suggestive of thrombosis (Figure 3).

Figure 1 Showing diffuse swelling over right side [arrow] of his neck.

Figure 2 HRCT of the temporal bone showing pnemocephalus [arrow] on the right side.

Figure 3 MR venography showing obstruction in the right transverse sinus.

His USG neck showed heterogenous lesion in mid 1/3rd of right sternocledomastoid with ~2cc likely abscess and features suggestive of partial thrombosis of right internal jugular vein with multiple enlarged lymph nodes in jugular region and submandibular region. He was started on empirical intravenous (i.v.) antibiotics pipracillin/ tazobactum, meropenem with decongestants. His blood culture and pus culture reports yielded no growth. His pure tone audiometry showed 40 dB conductive hearing loss on right side.

His initial WBC count was 32400 cells/cumm and Hb 13.3g/dl and after two weeks of parentaral antibiotics treatment, WBC count was 9810cells/cu mm and Hb-12.1g% in a week. Once the patient was stable he was taken up for surgical exploration. Intra operatively inj. Leviteracitam 500mg was given was continued daily twice for next 48hrs. He underwent canal wall down procedure under general anesthesia. Intra operatively; erosion of sinus plate with granulations, erosion of posterior wall of external auditory canal and cholesteatoma sac along with granulation tissue was noted in the middle ear. The disease was cleared and meatoplasty was done. Patient withstood the procedure well; 48hrs post operative ear canal pack was removed and started on topical antibiotics. Patient was on IV antibiotics was continued for 2 weeks.

Discussion

Pneumocephalus is defined as the presence of air or gas within the cranial cavity.4 The first to diagnose pneumocephalus was Chiari in 1884, when he was performing autopsy on patient with ethmoditis where as the first case of otogenic pneumocephalus was reported by Dandy in 1926. 6 Wolff coined the term pneumocephalus (PNC) and tension pneumocephalus (TP) was proposed by Ectors.14 When collection of air in cranium ie; pneumocephalus casues increased tension of cranium leading to neurological deficits it is called as tension pneumocephalus. Its aetiologies include trauma to face, cranium, neurosurgical or otological procedures, otomastoiditis, or skull base tumors in some cases of scuba diving and rarely can occur spontaneously.4,5 Pneumocephalus can be epidural, subdural, subarachnoid, parenchymal, or intraventricular depending on the location of air.15 Spontaneous pneumocephalus occurs due to pressures generated which is higher than that of intra cranial pressure, like in case of coughing, nose blowing, sneezing, valsalva manoeuvre, straining, and in cases of mountain climbing, during scuba diving and during flights where there is high environmental pressure. 16 Intracranial complications due to middle ear infections accounts for in 0.5–4% of cases and mortality of 5% and 15%.1,2

One of the well-known complications of otitis media is lateral sinus thrombosis (LST).13 Infection and inflammation in the mastoid and middle ear predispose for thrombosis in dural venous sinuses which is in close proximity to it.17 At present LST is quite commonly associated with cholesteatoma and has become rare with chronic mastoiditis of other varieties with male predominance.17 In our case 20 year old boy presented to us with active chronic squamous type of otitis media with lateral sinus thrombosis with pnuemocephalus. Presence of pneumocephalus in absence of any trauma or anatomical variations could be explained by infection with gas forming organisms like Clostridium perfringens, Escherichia coli, K. Pneumoniae, and Enterobacter, Proteus, Pseudomonas, Peptostreptococcus, and Bacteroides organisms , they may be present in otogenic foci in case of chronic suppurative otits media. Even hematogenous dissemination could occur by small blood vessels connecting the temporal bone to dural venous sinuses. This type of pneumocephalus can be seen in 8-9% of patients.18,19 In the present article the reason for pneumocephalus might be both, presence of infection in ear as well as defect of bone which is noted on CT scan. There two widely accepted pathophysiological basic of pneumocephalus.3,4,14,19

Ball valve mechanism

Here air gets accumulated over period of time. Once air enters inside it does not escape out hence becomes unidirectional in flow. This might be due to plugging of defect through which the air entered by Fragments of bone, dural flap, sinus mucosa or granulation tissue.

Inverted bottle effect mechanism

This is associated with low CSF pressure due to leakage through the defects and as a result there is negative pressure which allows air to enter inside to equalize the pressure. The collection of air could be extradural or intradural. High- altitude activities such as flying and skiing, in presence of hyper pneumatisation of skull bone may lead to progressive separation of bone and dura thus resulting in extra dural collection of air.20 Whereas dural defects along with bony defects due to trauma, otomastoiditis, developmental malformation results in intradural air collection.4 It can present with wide range of symptoms including ear fullness, crepitations, otorrhea neurological deficits, seizures, but majority of them will have headache as there chief complaints. They also present with signs and symptoms of raised intracranial pressure.3,4,14,19 Pathophysiology of LST includes Cholesteatoma, granulation tissue, or coalescence causing erosion of mastoid bone results in perisinus abscess which exerts pressure on the dura leading to necrosis. Then a mural thrombus is formed by fibrin, platelets and blood cells which are attracted by necrotic tissue. This thrombus gets infected, grows in size and then occludes the blood flow in sinus.21 This can spread extending to transverse sinus in retrograde fashion and to internal jugular vein via jugular bulb and via the inferior or superior petrosal sinus to the cavernous sinus. There may be sign and symptoms of septicaemia and metastatic abscesses (most commonly to the lungs) due to release of bacteria into blood stream from the infected clot. Formation of thrombus may be considered as a protective mechanism as it helps to localise the infection.

Due to close proximity of sinus to cerebellar dura mater, infection can extend and results in grave complications like meningitis, epidural abscess, subdural empyema, cerebritis, or cerebellar abscess. They may also result in tender mass in neck along or across sternocleidomastoid muscle because of thrombosis of internal jugular vein 22 which was evident in our case. Due to interruption of cortical venous circulation as a result of lumen occlusion patient may present with headache, papillodema and increased intracranial pressure. They may also present most commonly with fever, vomiting, neck pain and otalgia. Classical picket-fence fever pattern with spikes exceeding 103°F and diurnal temperature has become rare due to use on antibiotics and hence single high grade fever should make the clinician vigilant to the possible thrombosis of sigmoid sinus. Reflex thrombosis of mastoid emissary vein may present as tenderness and edema over mastoid (Griesinger’s sign).23,24 Our currently presented case had developed fever, vomiting, and neck swelling with pain. Decreased venous drainage from the skull may manifest as signs of sudden intracranial hypertension like progressively worsening headache. The presence of clot in jugular bulb may effect 9th, 10th, 11th cranial nerves.

The most common organisms isolated in the post antibiotic era include a mixed flora including bacteroids, staphylococcus, enterobacteriaceae, proteus, pseudomonas and others species. Since antibiotics are commonly used during the prodromal ear infection, blood culture is often negative.25 For diagnosis the investigations of choice are CT and MRI. If patient is stable then contrast enhanced radiological investigations should be performed. For detection of thombus MRI plays upper hand over CT. Whereas CT is helpful in demonstrating the perisinus dural enhancement as ‘delta sign’ and filling defect of lateral sinus and to know about other intracranial compications. 26,27 Thrombus appears as soft tissue signal associated with vascular bright appearance of the dural wall on gadolinium-enhanced MRI and MR venography shows the loss of signal and the absence of flow in the sinus making it more sensitive diagnostic tool in identifying LST.

Plain imaging can diagnose pneumocephalus, but CT scan has the ability to detect the air as little as 0.5 cm and hence is the diagnostic modality. None the less plain imaging is also helpful.28 Treatment of pneumocephalus is based on aetiology and condition of patient. Most of the cases resolve spontaneously. If it is traumatic in nature or as secondary to surgery, close monitoring is enough. It can be conservative and if does not heal surgical intervention is required. This include, decompression of accumulated air, repair of the defect using muscle flap, cartilage, bone wax. If underlying aetiology is infection them control of infection mandatory.3,4 Management of LST included both medical and surgical. In few cases long term intravenous antibiotic alone is sufficient but most of them would require mastoidectomy to clear the underlying disease thoroughly. In 1888 first successful surgery for lateral sinus thrombosis was performed by Lane until which it was considered to have 100%mortality rate.29

Methods used to manage clot is ligation of jugular vein in the neck, and opening the sinus and evacuating the infected clot. 30 However according to recent studies sinus will recannalize without clot evacuation to be done if the surrounding granulation tissue and inflammation are removed through a mastoidectomy. Jun et al.,31 is of the opinion that the organized thrombus is an initial step for spontaneous resolution, finally inducing recanalizaiton of a sinus. In the management, ligation of internal jugular vein to prevent dissemination of thrombophlebitic process and septic emboli is still a controversial issue which was once done routinely before the introduction of antibiotics. Currently it is reserved for resistance cases which do not resolve with surgical and antibiotic therapy.20,32

Use of anticoagulant is recommended only when there is extensive involvement of clot to the transverse sinus or cavernous sinus is suspected or documented or if thrombus propagates after surgery or else is rarely needed. Use of anticoagulants will increase the risk of venous infarctions.21,23,33–36 In our scenario we did not put the patient on anticoagulants as patient responded to antibiotic therapy following which the neck swelling reduced. Availability of broad-spectrum antibiotics and improved diagnostic tools has reduced the mortality to 0-25% from 100%.25 Hence judicial use of them and prompt surgical removal are essential for good outcome and mandates further investigations to rule out other complications.38–40 In our case, we treated him initially with antibiotics and later focus of infection was removed by canal wall down procedure.

Conclusion

Pneumocephalus is a very rare complication of chronic otitis media. But none the less, the diagnosis should be considered in case of symptoms of intra cranial complications as it can progress and deteriorate the patient very soon. Prompt diagnosis and treatment in order to prevent the further complications. Lateral sinus thrombosis has become a rare complication of otitis media, but it remains potentially fatal. An awareness of this condition is necessary for early diagnosis and treatment. It frequently occurs in association with other intracranial complications like pnemocephalus in this case.

Acknowledgments

None.

Conflicts of interest

The authors declare no conflicts of interest.

References

  1. Penido Nde O, Borin A, Iha LC, et al. Intracranial complications of otitis media: 15 years of experience in 33 patients. Otolaryngol Head Neck Surg. 2005;132:37–42.
  2. Fessler RD, Sobel J, Guyot L, et al. Management of elevated intracranial pressure in patients with Cryptococcal meningitis. J Acquir Immune Defic Syndr Hum Retrovirol. 1998;17:137–142.
  3. Ratre S, Yadav Y, Choudhary S, et al. Pneumocephalus in cerebellopontine angle and meningitis secondary to chronic otitis media in a child. J Neurosci Rural Pract. 2015;6(3):413.
  4. Sawant R, Trinidade A, Das T. A spontaneous Pneumocephalus and Hyperpneumatisation of occipital bone and atlas vertebra: a case report. IOSR Journal of Dental and Medical Sciences (IOSR-JDMS). 2016;15(8): Ver.11‒14.
  5. Abbati SG, Torino RR. Spontaneous intraparenchymal otogenic pneumocephalus: a case report and review of literature. Surg Neurol Int. 2012;3:32.
  6. Andrews JC, Canalis RF. Otogenic pneumocephalus. Laryngoscope. 1986;96:521–8.
  7. Ooi EH, Hilton M, Hunter G. Management of lateral sinus thrombosis: update and literature review. J Larygol Otol. 2003;117: 932‒939.
  8. Smith JA, Danner CJ. Complications of chronic otitis media and cholesteatoma. Otolaryngol Clin N Am. 2006;39(6):1237‒1255.
  9. Dentali F, Gianni M, Crowther MA, et al. Natural history of cerebral vein thrombosis: a systematic review. Blood. 2006;108(4): 1129‒1134.
  10. Amirmajdi NM. Sigmoid sinus involvement in middle ear infection. Laryngoscope. 1988;98(3):310‒312.
  11. Teichgraeber JF, Perlee JH, Turner JS. Lateral sinus thrombosis: a modern perspective. Laryngoscope. 1982;92:744‒751.
  12. O’Connell JE. Lateral sinus thrombosis: a problem still with us. J Larygol Otol. 1990; 104(12):949‒951.
  13. Murphy TP, Boydston W. Lateral sinus thrombosis. Otolaryngology and Head and Neck surgery. 1997;117:3134‒3137.
  14. Dabdoub CB, Salas G, Silveira ED, et al. Review of the management of pneumocephalus. Surg Neurol Int. 2015;6:155.
  15. Solomiichuk VO, Lebed VO, Drizhdov KI. Posttraumatic delayed subdural tension pneumocephalus. Surg Neurol Int. 2013;4:37.
  16. Lee JS, Park YS, Kwon JT, et al. Spontaneous pneumocephalus associated with pneumosinus dilatans. J Korean Neurosurg Soc. 2010 May;47(5):395.
  17. Viswanatha B. Lateral sinus thrombosis: A major problem still with us. Indian journal of Otolaryngology & head and neck surgery. 2007;1:24‒27.
  18. Cihangiroğlu M, Çelik İ, Akdemir İ, et al. A case of non-traumatic pneumocephalus associated with otogenic proteus mirabilis cerebellar abscess. Fırat Tıp Dergisi. 2008;13(2):137‒140.
  19. Guleria VS, Sharma A, Sharda C, et al. Pneumocephalus presenting as sudden thunderclap headache. Asian J Neurosurg. 2017 ;12(4):695.
  20. Mohammed el R, Profant M. Spontaneous otogenic pneumocephalus. Acta Otolaryngol. 2011;131:670–674.
  21. Kaplan D M, Kraus M, Puterman M, et al. Otogenic lateral sinus thrombosis in children. International journal of pediatric Otorhinolaryngology. 1999;49:177‒183.
  22. Kale US, Wight RG. Primary presentation of spontaneous jugular vein thrombosis to the Otolaryngologist in three different pathologies. J Laryngol Otol. 1998;112:888‒890.
  23. Syms MJ, Tsai PD, Holtel MR. Management of lateral sinus thrombosis. Laryngoscope. 1999;109:1616‒1620.
  24. Tovi F, Fliss DM, Noyek AM. Septic internal jugular vein thrombosis. J Otolaryngol. 1993;22(6):415‒420.
  25. Teichgraeber JF, Perlee JH, Turner JS. Lateral sinus thrombosis: a modern perspective. Laryngoscope. 1982;92(7):744‒751.
  26. Leiberman A, Lupu L, Landsberg R, et al. Unusual complications of otitis media. Am J Otol. 1994;15(6):444‒448.
  27. Irving RM, Jones NS, Hall Craggs MAH, et al. CT and MRI imaging in lateral sinus thrombosis. J Laryngol Otol. 1991;105(8): 693‒695.
  28. Pillai P, Sharma R, MacKenzie L, et al. Traumatic tension pneumocephalus–Two cases and comprehensive review of literature. Int J Crit Illn Inj Sci. 2017;7(1):58.
  29. Goldenberg RA. Lateral sinus thrombosis: medical or surgical treatment? Arch Otolaryngol. 1985;111(1):56‒58.
  30. Seven H, Ozbal A E, Turgut S. Management of lateral sinus thrombosis. Am J Otolaryngol. 2004;25(5):329‒333.
  31. Jun H L, Seong J C, Keehyun P, et al. Managements for lateral sinus thrombosis: does it need the ligation of internal jugular vein or anticoagulants? Eur Arch Otorhinolaryngol. 2009;266(1):51‒58.
  32. Oyarzabal MF, Patel KS, Tolley NS. Bilateral acute mastoiditis complicated by lateral sinus thrombosis. J Laryngol Otol. 1992; 106(6):535‒537.
  33. Teichgraeber JF, Perlee JH, Turner JS. Lateral sinus thrombosis: a modern perspective. Laryngoscope. 1982;92(7):744‒751.
  34. Levine SC, De Souza SC. Intra cranial complication of otitis media, in Glasscock III ME, Gulya CJ (eds): Shambaug’s. Surgery of the Ear. 2003. p. 443‒461.
  35. Singh B. The management of lateral sinus thrombosis. J Laryngol Otol. 1993;107:803‒808.
  36. Bardley DT, Hashisaki GT, Mason JC. Otogenic sigmoid sinus thrombosis: What is the role of anticoagulantion? Laryngoscope. 2002;112:1726‒1729.
  37. Viswanatha B, Naseerudin K. Lateral sinus thrombosis in otology: A review. Mediterr J Hematol Infect Dis. 2010.
  38. Viswanatha B, Naseeruddin K. Complications of atticoantral otitis media – Revisited. Advances in Research. 2014;2:666‒695.
  39. Viswanatha B. Lateral sinus thrombosis in children: A review. Ear Nose Throat J. 2011;90:28‒33.
  40. Viswanatha B. Lateral sinus thrombosis with cranial nerves palsies. International Journal of Pediatric Otorhinolaryngology extra. 2007;2:165‒168.
Creative Commons Attribution License

©2019 Rajani, et al. This is an open access article distributed under the terms of the, which permits unrestricted use, distribution, and build upon your work non-commercially.