Submit manuscript...
Journal of
eISSN: 2379-6359

Otolaryngology-ENT Research

Case Report Volume 4 Issue 5

Masson's Tumor in the Maxillary Sinus

Aline Silveira Martha, Eduardo Muller Anez, Rodrigo Pozzi Beilke, Marina Neves Cavada

Department of Otorhinolaryngology and Head and Neck Surgery, Pontifical Catholic University of Rio Grande do Sul, Brazil

Correspondence: Aline Silveira Martha, Department of Otorhinolaryngology and Head and Neck Surgery, Sao Lucas´s Hospital, Pontifical Catholic University of Rio Grande do Sul, Porto Alegre, Brazil, Tel +55(51) 93925791

Received: June 27, 2016 | Published: September 27, 2016

Citation: Anez EM, Beilke RP, Cavada MN, Martha AS (2016) Masson´s Tumor in the Maxillary Sinus. J Otolaryngol ENT Res 4(5): 00115. DOI: 10.15406/joentr.2016.04.00115

Download PDF

Abstract

Background: Intravascular papillary endothelial hyperplasia (IPEH) or Masson´s tumor is a benign vascular lesion consisting of a reactive proliferation of the endothelial cells with papillary formations that arise in organizing thrombus. It is most commonly a cutaneous or subcutaneous lesion. Although it has also occurred in many locations, the sinonasal presentation is extremely rare. Its clinical presentation is unspecific and the diagnosis is through histolopathological analysis. The main significance of IPEH is its clinical and microscopic resemblance to angiosarcoma and the possibility of a misdiagnosis.

Objective: To report a rare case of Masson´s Tumor in the maxillary sinus.

Case Report: A 20-year-old man presented for several weeks a recurrent nasal obstruction, rhinorrhea, frontal headache and pressure sensation. He was evaluated on several occasions being diagnosed with depression considering the unspecific symptoms and a history of family loss. There was no external nasal deformity. The nasal endoscopy presented nasal mucosa edema, inferior turbinate hypertrophy and right maxillary sinus with a mild salience in its medial wall. CT scans of nose and sinus with contrast suggested chronic sinusophaty in the maxillary sinus, most likely from fungus etiology. Nasal endoscopic surgery was performed combined with Calwell Luc approach and anatomophatological diagnosis was Masson´s tumor.

Conclusion: Masson´s tumor was first described as an intravascular endothelial proliferation associated with a hemorrhoidal thrombus and postulated that it was a true neoplasm. IPEH is most frequent in dermis and subcutis of the head and neck, lip, tongue and oral mucosa. To our knowledge there are only 5 cases of IPEH in the sinus reported in literature witch demonstrate how rare that case is reported, thus it should be considered in the differential diagnosis for a vascular mass involving the head and neck region.

Keywords: intravascular, papillary, endothelial, hyperplasia, masson´s tumor, lesion, maxillary, sinus, nasal obstruction, rhinorrhea

Introduction

Intravascular papillary endothelial hyperplasia (IPEH), also known as Masson’s tumor, is a rare benign vascular lesion consisting of a reactive proliferation of the endothelial cells with papillary formations that arise in organizing thrombus.1‒6 In 1923, Masson was the first to describe this pathology and to designate it as a vegetant intravascular hemagioendothelioma. IPEH appears as a firm and superficial mass with a red to blue discoloration in the overlying skin.5,6 The unusual exuberant endothelial proliferation is one of the reasons vascular tumor is the differential diagnosis of IPEH.

Considering the clinic course and pathological features similarities, IPEH mimics an angiosarcoma.4‒8 Histopathological analysis is mandatory to avoid misdiagnosis. IPEH is most commonly a cutaneous or subcutaneous lesion, frequent in the head and neck regions,4 but it can occur in any part of the body.7,9 The occurrence in the paranasal sinus is extremely rare.4,6,7,10,11 Clinical signs and symptoms are unspecific. Prognosis is excellent. We report a case of Masson’s tumor in the nasal cavity.

Case report

A 22-year-old male, who was otherwise healthy, presented recurrent nasal obstruction, unilateral rhinorrhoea, frontal headache and unilateral facial pressure for several months. He had no history of head trauma or other medical illness. The patient was evaluated on several occasions in the emergency room being diagnosed with depression considering the persisting unspecific symptoms and a history of family loss. On physical examination, there were no external nasal or facial deformities. Anterior rhinoscopy shows bilateral inferior turbinate hypertrophy without mucous and a septum deviation to the right. The nasal endoscopy presented a nasal mucosa edema, inferior turbinate hypertrophy and right maxillary sinus with a mild salience in its medial wall. Computed tomography without contrast demonstrated a soft tissue mass in the right maxillary sinus with calcification in between.

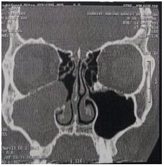
The lesion extended to nasal cavity, involving the medium turbinate obliterating the ostiomeatal complex. Left nasal cavity and sinus showed no alterations (Figure 1&2). Tomography conclusion suggested chronic sinusopathy caused by fungus or polyps. Transnasal endoscopic surgery combined with Cadwell Luc approach was performed based on the tomography images. The lesion was easily avulsed from adjacent tissue and removed completely. It was sent to anatomophatological analysis. Gross examination of the specimen revealed a friable, reddish brown coloured single lesion with elastic density. The microscopic examination disclosed squamous mucosa with chronic inflammation, an endothelial cell proliferation with papillary formations and areas of haemorrhage and neovascularization (Figure 3). There was no complication on postoperative course. The patient had no recurrence of the symptoms after 12months past the surgery.

Figure 1 Coronal TC of the paranasal sinuses showing maxillary opacification with extension to nasal cavity, involving the medium turbinate.

Figure 2 Axial TC of the paranasal sinuses showing maxillary opacification with extension to nasal cavity, involving the medium turbinate.

Figure 3 Endothelial cell proliferation with papillary formations and areas of haemorrhage and neovascularization.

Discussion

IPEH is characterized by papillary proliferation of endothelial cells and is believed to be caused by an abnormal process of organization in thrombosis blood vessels. The endothelial cells proliferate in a papillary pattern towards the lumen of the enlarged blood vessel from the area of the organizing thrombus. Ulcer was also found near the area of IPEH formation. The pathogenesis of IPEH is probably related to inflammation or some form of mechanical stimulus, such as irritation or trauma.1

Recent study observed proliferative lymphatic in an organizing thrombus, which suggests that lymphatic vessels might be involved in the process of thrombus organization. H-E staining demonstrated numerous papillary processes located in the direction of the vascular lumen; the cells were covered by a single layer of endothelium.

The absence of abnormal mitosis, cellular atypia, and necrosis, which are often indicative of malignancy, is a characteristic feature of IPEH.1 The growth is supposed to be caused by disturbed local hemodynamic that induce progression of thrombus formation and subsequent development and growth of IPEH.5 Despite its benign histology, IPEH may demonstrate aggressive behaviour including progressive enlargement and recurrence after incomplete resection.5,6,12

IPEH is known as a variety of synonyms including Masson’s tumour, Masson’s vegetant intravascular hemangioendothelioma and Masson’s pseudoangiosarcoma intravascular angiomatosis.8 The name “intravascular papillary endothelial proliferation,” was given by Clearkin & Enzinger.5 IPEH is more frequent in females, suggesting that a hormonal role could be involved.5,8,13,14 The mean age in one of the studies was 52.3.13 Hashimoto et al.,6 developed a classification system for IPEH. Type I is the primary (pure) form, in which changes are observed in a distended vessel; type II is the secondary (mixed) form that occurs in pre existing varices, hemangiomas, pyogenic granuloma, or lymphangiomas; and type III is an uncommon type with an extra vascular location.

Pins et al.,15 documented 314 cases and the primary form was in 56% of them, 40% of cases were of the secondary form and arose from cavernous hemangiomas, arteriovenous malformations, lymphangiomas and vascular hamartomas, and the extravascular form was found in 4%. In the present case, we considered it was the primary form as the patient had no history of trauma or pre existing vascular lesion.

There are no specific radiological features that characterize IPEH. Similar radiological findings can also be seen in other lesions such as eosinophilic granuloma, aneurysmal bone cyst, medullary fibrosarcoma, hemangioma, and metastatic tumours from the thyroid or kidney. It is diagnosed, usually, by anatomophatological analysis after being removed surgically.9 In the present case, the lesion was removed based on the tomography disclose, suspecting it was a fungus lesion.

The tomography of IPEH has been described as it demonstrates an expansive contrast-enhanced mass, which could mould or press the surrounding bone structures. On T1-weighted MRI, an isointense to slightly hyper intense mass turns to be strong and heterogeneous enhancement after injection of gadolinium, in contrast to a hyper intense mass, with multiple septations and hypointense peripheral rim on T2-weighted images.7,10,14

MRI has demonstrated a heterogeneous hyper intense mass with centrally low signal intensity, consistent with thrombosed vessels. Post contrast T1WI showed heterogeneous enhancement.14 There is little differentiating IPEH from eosinophilic granuloma but Gadolinium-enhanced MRI scans are useful to demonstrate the extremely vascular and hyper dense nature of IPEH.4,9 The histologic differential diagnosis of IPEH includes angiosarcoma, intravenous atypical vascular proliferation, spindle-cell hemangioendothelioma, malignant endovascular papillary angioendothelioma and intravenous pyogenic granuloma.14 IPEH is completely intraluminal, it shows a close association with thrombotic material, lacks the piling up of endothelium, and does not show tissue necrosis, marked cellular pleomorphism, or a high mitotic rate.5‒8,10,14‒16 The extremely rare extra vascular forms of papillary endothelial proliferation developing from organizing hematomas lack the irregular anastomosing channels and the malignant cytological features, and tend to be well circumscribed.15

Formation on endothelium-lined papillary structures confined with vascular spaces and covered with a single layer of endothelial cells are the most characteristics pathological findings of IPEH. Large amounts of thrombus of different sizes might be detected within the lesion, showing various stages of organization.4,7,8,13 The papillary structures can also fuse to form a network of anastomosing vascular channels of varying calibers.4 Immunohistochemistry showed that CD34, α-SMA, and factor VIII antigen were positive in lining endothelial cells.1,4 Brecchia et al.,17 found cytoplasmic reactivity for CD31, CD34 and nuclear reactivity for FLI1.7 Macroscopically, IPEH represents a firm or tender nodule or mass, rather sharp demarcation, variable growth and reddish or bluish color.3,5,8,14,16

Although intravascular papillary endothelial hyperplasia has been described in several articles in other parts of the body, it is a very rare lesion of the paranasal sinus. To our knowledge, only 6 cases of IPEH have been reported, 3 in the maxillary sinus.8 We used a table created by Wang et al.,7 to illustrate previous cases reported and added our case in order to expose and compare them easily (Table 1).18,19

Reference

Year Reported     

Age/Gender (Year/F-M)   

Symptom(S)

Location(S)

Treatment

Recurrence

 

Stevens18

1988

21/M

Nasal Obstruction, Hyposmia, Rhinorrhea, Frontal Headache     

Right Inferior Turbinate

1st: Marsupialization;

Yes

2nd: Excision via Lateral Rhinotomy

Stern et al.10

1991

17/M

Proptosis, Cheek Pain, Frontal Headache

Right Maxillary Sinus, Ethmoid Sinus, Nasal Cavity

Excision via Caldwell-Luc

No

Safneck et al.19

1995

36/F

Nasal Obstruction

Right Inferior Turbinate

1st: Transnasal Excision

Yes

2nd: Excision via Sublabial Trans maxillary Approach

Lancaster et al.11   

1998

67/F

Postnasal Discharge, Rhinorrhea, Nasal Obstruction

Left Maxillary Sinus, Ethmoid Sinus

Endoscopic Surgery

No

Moon et al.4

2000

35/M

Decreased Visual Acuity, Proptosis, Frontal Headache

Left Ethmoid Sinus,  Sphenoid Sinus, Sella

Excision via Weber-Ferguson Approach    

No

Wang et al.7

2009

42/M

Nasal Obstruction, Rhinorrhea, Epistaxis, Frontal Headache

Left Nasal Cavity, Maxillary Sinus, Ethmoid Sinus, Frontal Sinus    

Endoscopic Surgery

No

Hagiwara et al.12

2015

22/M

 

Nasal Obstruction, Rhinorrhea, Frontal Headache,
Facial Pressure

Right Maxillary Sinus

Caldwell-Luc

No

Table 1 Sinonasal intravascular papillary endothelial hyperplasia cases in literature

Conclusion

Despite its rarity in the paranasal sinus, IPEH should be considered in the differential diagnosis for a vascular mass involving the head and neck region. Although diagnosing Masson’s tumor is a challenge, tomography with contrast and MRI are important features to suspect the diagnosis prior to the surgery. Histopathological is mandatory to avoid aggressive treatment due to a misdiagnosis.

Acknowledgments

None.

Conflicts of interest

Author declares there are no conflicts of interest.

Funding

None.

References

  1. Inoue H, Miyazaki Y, Kikuchi K, et al. Intravascular papillary endothelial hyperplasia of the oral cavity. J Oral Sci. 2011;53(4):475‒480.
  2. Masson P. Hemangioendothelioma vegetant Intravasculaire. Bull Soc Anat. 1923;93:517‒523.
  3. Goldblum JR, Weiss SW, Folpe AL. Enzinger and Weiss’s soft tissues tumor, (6th edn). Philadelphia, USA, Elsevier. 2014.
  4. Moon WS, Chung GH, Hong KH. Intravascular papillary endothelial hyperplasia in a vascular lesion of the paranasal sinus. Arch Pathol Lab Med. 2000;124:1224‒1227.
  5. Clearkin KP, Enzinger FM. Intravascular endothelial hyperplasia. Arch Pathol Lab Med. 1976;100:441‒444.
  6. Hashimoto H, Daimaru Y, Enjoji M. Intravascular papillary endothelial hyperplasia: a clinicopathologic study of 91 cases. Am J Dermatopathol. 1983;5(6):539‒546.
  7. Wang ZH, Hsin CH, Chen SY, et al. Sinonasal intravascular papillary endothelial hyperplasia successfully treated by endoscopic excision: A case report and review of the literature. Auris Nasus Larynx. 2009;36(3):363‒366.
  8. Kuo T, Sayers CP, Rosai J. Masson’s vegetant intravascular hemangioendothelioma: a lesion often mistaken for angiosarcoma: study of seventeen cases located in the skin and soft tissues. Cancer. 1976;38(3):1227‒1236.
  9. Park KK, Won YS, Yang JY, et al. Intravascular Papillary Endothelial Hyperplasia (Masson tumor) of the Skull: Case Report and Literature Review. J Korean Neurosurg Soc. 2012; 52(1):52‒54.
  10. Stern Y, Braslavsky D, Segal K, et al. Intravascular papillary endothelial hyperplasia in the maxillary sinus: a benign lesion that may be mistaken for angiosarcoma. Arch Otolaryngol Head Neck Surg. 1991;117(10):1182‒1184.
  11. Lancaster JL, Alderson DJ, Sherman IW, et al. Papillary endothelial hyperplasia (Masson’s tumour) of the maxillary sinus. J Laryngol Otol. 1998;112(5):500‒502.
  12. Hagiwara A, Inoue Y, Shakudo M, et al. Intracranial papillary endothelial hyperplasia: occurrence of a case after surgery and radiosurgery. J Comput Assist Tomogr. 1999;23(5):781‒785.
  13. Tosios K, Koutlas IG, Papanicolaou SI. Intravascular papillary endothelial hyperplasia of the oral soft tissues: report of 18 cases and review of the literature. J Oral Maxillofac Surg . 1994;52(12):1263‒1268.
  14. Yücesoy C, Çoban G, Yilmazer D, et al. Intravascular papillary endothelial hyperplasia (masson’s hemangioma) presenting as a lateral neck mass. JBR-BTR. 2009;92(1):20‒22.
  15. Pins MR, Rosenthal DI, Springfield DS, et al. Florid extravascular papillary endothelial hyperplasia (Masson’s pseudoangiosarcoma) presentingasa soft-tissue sarcoma. Arch Pathol Lab Med. 1993;117(3):259‒263.
  16. Makos CP, Nikolaidou AJ. Intravascular papillary endothelial hyperplasia (Masson’s tumor) of the mucosa. Presentation of two cases and review. Oral Oncology Extra. 2004;40(4-5):59‒62.
  17. Breccia M, Novello M, Galli M, et al. Unusual presentation of intravascular papillary endothelial hyperplasia (Masson’s tumor). Human Pathology: Case Reports. 2015;2(1):16‒19.
  18. Stevens DJ. Papillary endothelial hyperplasia and the nose. J Laryngol Otol. 1988;102(10):935‒937.  
  19. Safneck JR, Alguacil-Garcia A, Dort JC. Intranasal papillary endothelial hyperplasia. Otolaryngol Head Neck Surg. 1995;113(6):766‒770.
Creative Commons Attribution License

©2016 Anez, et al. This is an open access article distributed under the terms of the, which permits unrestricted use, distribution, and build upon your work non-commercially.