Submit manuscript...
Journal of
eISSN: 2379-6359

Otolaryngology-ENT Research

Case Report Volume 7 Issue 1

Middle Ear Adenoma: A Rare Location for a Benign Tumor

Di Lella FA, Villalta ML, Boccio CM

Otorhinolaryngology Department, Argentina

Correspondence: Federico Di Lella Otorhinolaryngology Department Hospital Italiano de Buenos Aires, Argentina

Received: February 13, 2016 | Published: April 24, 2017

Citation: Di Lella FA, Nabi BN (2017) Middle Ear Adenoma: A Rare Location for a Benign Tumor. J Otolaryngol ENT Res 7(1): 00188. DOI: 10.15406/joentr.2017.07.00188

Download PDF

Abstract

Middle ear primary tumors are rare. The middle era adenoma (MEA) is an infrequent entity with nonspecific clinical, audiologic, otoscopic and imaging findings. Definitive diagnosis is based on histological and immunohistochemical examination and the election treatment is the complete surgical removal of the lesion. We present a case of a middle ear neoplasm recently diagnosed and treated in our institution.

Introduction

Middle ear primary tumors are rare conditions that represent a diagnostic challenge. According to literature, tympanic glomus is the most frequent of these entities followed by middle ear adenoma (MEA).1‒3 MEA is a glandular neoplasm derived from the middle ear mucosa that can have exocrine and/or neuroendocrine differentiation. It was first described in 1976 by Hyams & Michaels et al.,2 and later that year by Derlacki B et al.3 The clinical, otoscopic, audiologic and imaging findings are nonspecific. Definitive diagnosis is based on histological and immunohistochemical examination.1‒10 We report the case of a 48-year old man who was diagnosed and recently treated in our institution.

Case report

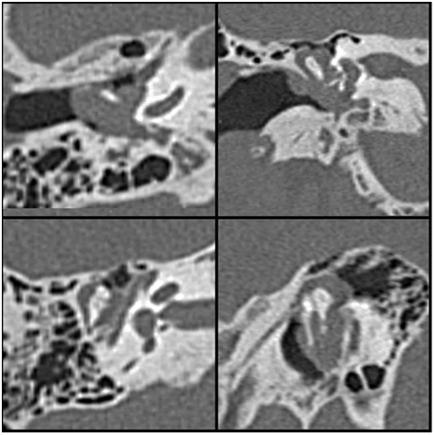
In October 2010, a 48-year old man presented at our otorhinolaryngology department with a 3-month history of right hearing loss, tinnitus and aural fullness. The otoscopy revealed a gray-white nonpulsatile poster superior retro tympanic mass with intact tympanic membrane (Figure 1). The hearing test confirmed a mild conductive hearing loss. A high-resolution temporal CT showed a well-circumscribed soft-tissue mass in the epitympanic area that was embedded in the ossicles without evidence of bone erosion (Figure 2). MRI revealed a middle ear mass with low intensity on T1weighted images, high intensity on T2-weighted images, and enhancement after administration of gadolinium.

Figure 1 Otoscopy: Right ear. Posterosuperior retrotympanic mass.

Figure 2 High resolution temporal CT shows a soft-tissue epitympanic mass embedded in the ossicles.

In January 2011, the patient underwent a right post auricular canal wall down mastoidectomy. A polypoid, fibrotic lesion was found in the middle ear cavity. It was located in the epitympanum and had firm adherences to the suprapiramydalis tympanic sinus. There was no involvement of the facial nerve. Even if the ossicles were embedded in the tumor, there was no ossicular chain erosion, but the incus was fractured. The intraoperative frozen study was not conclusive. A total excision of the lesion was performed and the head of the malleus and incus were removed. There were no major postoperative complications and the patient was discharged 24hours after the procedure.

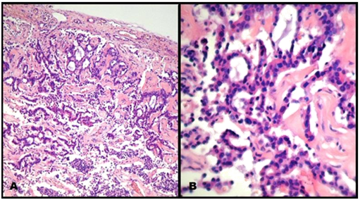
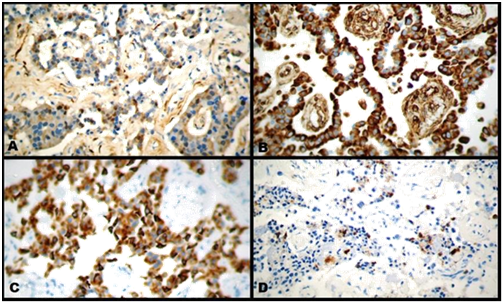
Histologic examination of the excised tumor showed an epithelial neoplasm predominantly composed of cuboidal-to-columnar cells with eosinophilic cytoplasm and round to oval nuclei. The cells were disposed forming trabecular, glandular and solid patterns (Figure 3). The histological morphology of the tumor was informed as compatible with MEA. A posterior immunohistochemical evaluation showed positivity for enolase, synaptophysin, vimentin, protein S100, cromogranin and cytokeratin. These findings confirmed the diagnosis of a MEA with neuroendocrine differentiation (Figure 4). The patient is currently disease free.

Figure 3A Middle ear adenoma. Single tumor displaying different growth patterns (original magnification 10X).
Figure 3B Middle ear adenoma. Tumor composed by a single layer of cuboidal cells with intraluminal eosinophilic secretion (magnification 40X).

Figure 4 Immunohistochemical stains for synaptophysin (A), vimentin (B), ck (C) and chromogranin (D) show positivity within tumor cells.

Discussion

MEA are benign, slow-growing tumors derived from the middle ear mucosa that have a nonspecific clinical presentation. The age of presentation is generally between the third and eighth decades, with a mean age of 45years old and no sex preponderance.4 Patients usually present with conductive hearing loss, ear fullness, tinnitus, facial muscles weakness or otalgia without a history of otological disease. These tumors are typically slow-growing and have an indolent onset which can delay the diagnosis.1‒10 The otoscopic examination shows a normal tympanic membrane with a grayish white or pink retro tympanic mass usually located in the promontory or hypotympanum, although it can be also found in the epytimpanyc area.2,4 The hearing tests reveal a conductive hearing loss in the affected ear.

High-resolution temporal CT typically shows a relatively well-circumscribed soft tissue-attenuation enhancing mass without evidence of bone erosion. The MRI characteristics of the middle ear adenoma are low-to-intermediate intensity on T1weighted images, high intensity on T2-weighted images, and enhancement after administration of gadolinium.4

Macroscopically, the tumors can present different appearances. In most of the cases they are a gray-white fibrotic, multilobulated mass, but they can be also described as yellowish jelly-like, reddish or cholesteatoma-like. The adenomas may be well-circumscribed, but not encapsulated and they usually entrap the ossicles. Ossicular involvement occurs in the majority of the cases, but only in a few cases ossicular erosion has been reported.5,6

Microscopically, different architectural patterns can be found, including glandular, trabecular, solid, organoid, and infiltrative. The architecture varies between tumors and even within the same tumor, with most of the samples displaying more than one pattern. The tumors are predominantly composed of cuboidal-to-columnar cells with eosinophilic cytoplasm and eccentric round to oval nuclei. The chromatin tends to display a “salt-and-pepper” pattern consistent with the usual neuroendocrine origin. Mitoses are essentially absent.5,6 The tumor cells are immunoreactive with a variety of keratin antibodies (cytokeratin (CK) cocktail, CK7, and CAM 5.2) and neuroendocrine markers including chromogranin, neuron-specific enolase, synaptophysin, vimentin and serotonin.5‒10

Historically, there has been much debate in the literature about the true nature of this neoplasm, its malignancy potential and its recurrence capability. About the neuroendocrine origin of this lesion and its histological similarity to the middle ear carcinoid tumor, Torske & Thompson et al.,5 have suggested that carcinoids and adenomas represent the same tumor with different degrees of glandular and neuroendocrine differentiation. Nevertheless, Ramsey et al.,7 believes that they are different lesions and that because of its metastatic potential, the carcinoid should be considered as a low-grade malignancy tumor. On the other hand, and considering recurrence capability, even if relapses have been reported, in all cases the initial excision was conservative, leaving the ossicular chain intact.5,6

The election treatment for MEA is surgery. Complete excision of the lesion and removal of the ossicular chain (if involved) is preferred in order to avoid recurrences. The surgery should be determined on the basis of the clinical and radiological findings and the surgeon expertise. There is no sufficient evidence to suggest superiority of one procedure over another. A canal wall down or a canal wall up mastoidectomy with an extended facial recess approach could be good options. In cases where retaining hearing is very important to the patient, repeated debulking-excision procedures can be done to preserve the ossicular chain. This technique, little recommended by surgeons, requires a long term follow-up and patient compliance. There is no evidence of the usefulness of radiation or chemotherapy to treat MEA. And even if somatostatin analogues have been used in the treatment of gastrointestinal and pulmonary carcinoid tumors, no data exists for the treatment of middle ear tumors with neuroendocrine differentiation.5,6,9

Conclusion

Middle ear adenomas are rare tumors derived from the middle ear mucosa. Clinical presentation, otoscopy and findings in imaging studies are unspecific. The definitive diagnosis is based on histological and immunohistochemical results. Surgery is the election treatment, the complete removal of the lesion and the ossicular chain when it is involved is extremely important in order to avoid recurrences. There is still debate in the literature about the origin of this neoplasm and if carcinoid tumors and middle ear adenomas should be considered the same disease with distinct degree of differentiation, hence an accurate prevalence rate is very difficult to obtain. We believe that MEA is a differential diagnosis to keep in mind when facing a middle ear mass.

Acknowledgments

None.

Conflict of interest

Author declares there are no conflicts of interest.

Funding

None.

References

Creative Commons Attribution License

©2017 Di, et al. This is an open access article distributed under the terms of the, which permits unrestricted use, distribution, and build upon your work non-commercially.