Case Report Volume 2 Issue 3
Department of Otorhinolaryngology, Stadtisches Klinikum Karlsruhe, Germany
Correspondence: Evangelos I Giotakis, Department of Otorhinolaryngology, Städtisches Klinikum Karlsruhe, Moltkestrasse 90, D - 76133 Karlsruhe, Germany, Tel +49-721-974-2501
Received: March 16, 2015 | Published: April 9, 2015
Citation: Kotrotsos IN, Giotakis EI. Multifocal occurrence of warthin’s tumor in both parotid glands and in the larynx. J Otolaryngol ENT Res. 2015;2(3):102-104. DOI: 10.15406/joentr.2015.02.00023
The Warthin's tumor or papillary cystadenoma lymphomatosum is a benign neoplasm which affects commonly the salivary glands und especially the parotid gland. We present a case of an 80-year-old Caucasian woman, who presented in our ENT department because of a progressive swelling in the left parotid gland. The clinical as well as the radiological findings suggested a multifocal lobular neoplasia in both parotid glands as well as a tumor in the left morgagni sinus of the larynx, most probably of benign nature. We proceeded in performing a lateral parotidectomy of the left side, a fine needle aspiration of the right parotid tumor and a CO2 laser assisted transoral excision of the larynx tumor. The histopathological examination showed a multifocal cystadenolymphoma of both parotid glands as well as the left supraglottic region (left laryngeal ventricle) with no signs of malignancy. To our knowledge, this is the first case described in the literature of a multifocal cystadenolymphoma of both parotid glands and the larynx.
Keywords: warthin's tumor, larynx, parotid gland, cystadenolymphoma
Warthin's tumors have been rarely reported in the cervical region and especially in the larynx. It is the second most common benign salivary gland tumor (after the pleomorphic adenoma) which appears at 10% of parotid gland tumors. They are also called papillary cystadenoma lymphomatosum papilliferum, adenolymphoma and they show an excellent response to surgical excision. Cystadenolymphomas are being characterized by their histological heterogenity and according to some data their epithelium has a polyclonal origin, implying a non-neoplastic nature.1 Histological and immunohistochemical findings are the oncotic epithelium with a prominent lymphoid infiltrate. Although cystadenolymphomas are mostly asymptomatic, in some cases they might cause symptoms such as pain without the presence of malignant components.2
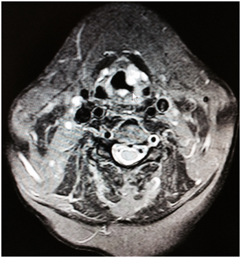
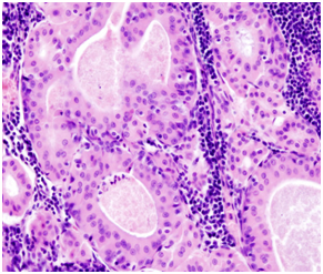
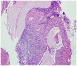
An 80-year-old Caucasian woman presented in our ENT department due to a progressive swelling on the left parotid gland during a period of two months. The physical examination showed a soft and mobile mass on the left parotid gland. The flexible fiber optic laryngoscopy showed a mass in the left laryngeal ventricle with intact laryngeal mucosa. The ultrasound of the salivary glands showed a multi - lobular tumor of both left and right parotid glands. The MRI scan showed a 1.2 x 1.1cm solid tumor in the left supraglottic region, without infiltration of adjacent tissues. In the parotid region was a 2.7 x 1.8cm solid mass in the left parotid gland as well as a 0.8 x 1.2cm solid mass in the inferior lobe of the left parotid gland (Figure 1&2). The patient was operated under general anesthesia. The larynx tumor was resected via transoral laser excision and the parotid tumor of the left side was resected via lateral parotidectomy. The histopathological examination showed a cystadenolymphoma that consist of an oncocytic epithelial cell component arranged in double layers, which develops cysts and papillary projections, and a variable amount of lymphoid tissue with germinal centers (Figure 3). An oversupply of lymphoid stroma with a characteristic formation of lymph follicles (Figure 4) was observed in all histological specimens with hematoxylin and eosin stain. There were no granulomas and no evidence of bacterial, fungal, or parasitic infection. The final diagnosis was a cystadenolymphoma in the morgagni sinus as well as multiple lesions in the parotid gland, compatible with a cystadenolymphoma. After consulting the patient, an ultrasound controlled fine needle aspiration of the tumor of the right parotid gland was performed. The histopathological examination showed a cystadenolymphoma of the right parotid gland.
The Warthin's tumor was first described in 1910 from Albrecht et al.,3 The three most prevalent theories about the origin of the cystadenolymphoma are: a) A delayed reaction of the parotid parenchyma against a metaplasy of the Stenon duct,4,5 b) The Warthin's tumor as result of an abnormal mixing from secretory glands and lymphoid tissues during embryogenesis,6 c) as a holdover of the branchial cleft apparatus.7 Another theory is the rise of adenomas from an infiltrated with lymphocytes salivary tissue while others believe that its formation occurs from an heterotopy of the salivary in the parathyroid gland and in the thymus.8 Although the pathogenetic mechanism of the rise of the cystadenolymphoma still remains unclear, nevertheless many argue that the main cause of their genesis is an embryogenic abnormality.9 The cystadenolymphoma belongs to monomorphe adenomas. The differential diagnosis should include benign and malignant tumors such as: pleomorphic adenoma, papillary cystadenoma, cysts, lymph nodes, acinic or squamous cell carcinoma as well as other malignancies.10 Ectopic Warthin’s tumors were described from few authors in the literature. Beroccal et al.,11 (2005) reported a cystadenolymphoma in the nasopharynx by a 69-year-old male patient with right-sided epistaxis and hypoacusis. The rise of a cystadenolymphoma from the minor salivary gland in the buccal mucosa by a 66-year-old woman was also described in 2012 from Iwai T et al.,12 In some cases a Warthin’s Tumor was discovered incidentally in the cervical region after neck dissections for malignancies of the head and neck.13 Also, rarely was described the coexistence of a Warthin's tumor with an internal and external laryngocele in the laryngeal region probably within an embryological malformation of the organ.14 Regarding the sublingual and submandibular gland, during the 7th week of life both glands are surrounded by a capsule, which probably prevents the mixing of the salivary with the lymphatic tissues. Due to this procedure these glands are offended rare by the adenolymphomas. On the contrary, the parotid gland is surrounded by a capsule during the 14th week of life, which may result to the gland becoming more sensitized to the tumor.15 Embryologically these two anatomical areas are formed by the 5th and the 6th brachial arch, whose ectodermal duct is found in the cervical sinus. Normally the ectodermal duct closes but in some cases may stay open as result to the formation of a brachial fistula either a cyst or a tumor.16 Until now, since 1951, only five cases were reported with the existence of a Warthin’s tumor in the larynx and parotid gland. In all cases the location of the tumor was described in the region of the aryepiglottic fold and the lateral thyroarytenoid muscle as well as unilateral in the parotid gland. Our case, is the first case described in the literature describing the presence of a Warthin‘s tumor in the left morgagni sinus as well as in both parotid glands.
We have reported an extremely unusual case of a Warthin's tumor being present simultaneously in the larynx and both parotid glands. The tumor’s multifocal presence may provide additional information in understanding the tumor’s pathology. The above findings may also assist physicians in managing similar cases.
None.
The authors declare that there are no conflicts of interest.
None.
©2015 Kotrotsos, et al. This is an open access article distributed under the terms of the, which permits unrestricted use, distribution, and build upon your work non-commercially.