Submit manuscript...
Journal of
eISSN: 2379-6359

Otolaryngology-ENT Research

Case Report Volume 6 Issue 6

Myeloid Sarcoma Masquerading as Peritonsillar Abscess: Rare Clinical Entity

Jayanta Medhi

Department of ENT Narayana Super speciality Hospital, India

Correspondence: Jayanta Medhi Department of ENT Narayana Super speciality Hospital Guwahati State Assam, India, Tel 91-9856173629

Received: December 06, 2016 | Published: April 18, 2017

Citation: Medhi J (2017) Myeloid Sarcoma Masquerading as Peritonsillar Abscess: Rare Clinical Entity. J Otolaryngol ENT Res 6(6): 00185. DOI: 10.15406/joentr.2017.06.00185

Download PDF

Abstract

Introduction: Myeloid sarcoma is an unusual extramedullary tumorous lesion consisting of immature cells of granulocytic series. Peritonsillar swelling as a manifestation of myeloid sarcoma is quite unique. The clinical diagnosis of this entity is difficult and fine needle aspiration cytology might be a useful alternative in centres with limited facility. We present such a case which clinically can mislead us as the presentation is similar to that of a peritonsillar abscess.

Case report: A 30year old male presented with swelling inside the mouth with difficulty in swallowing and fever for last 4days. The patient was clinically evaluated and diagnosed as suffering from peritonsillar abscess. Failed pus aspiration from the intra-oral swelling as well as firmness of the mass directed to go for a fine needle aspiration cytology examination as well as radiological evaluation. Correlating with the radiologic finding of effaced tissue architecture and the presence of blast from the aspirate as well as peripheral blood picture, a diagnosis of myeloid sarcoma was made. Subsequently the patient was sent to the haematologist

Conclusion: As the symptoms are clinically similar to locally occurring lesions, high level of suspicion is needed to diagnose such a case especially when conventional therapy fails to treat such conditions.

Keywords: myeloid sarcoma, peritonsillar abscess, fine needle aspiration cytology

Abbreviations

MS, myeloid sarcoma; WHO, world health organisation; AML, acute myeloid leukemia; FNAC, fine needle aspiration cytology; CT, computerised tomography; MRI, magnetic resonance intensity

Introduction

Myeloid sarcoma (MS) is a rare tumour mass consisting of myeloid blast, with or without maturation, effacing the normal architecture of the tissue and occurring at extramedullary site or in the bone. The tumour may precede or occur concurrently with acute or chronic myeloid leukaemia or with other types of myeloproliferative disorders or myelodysplastic syndromes.1,2 World Health Organisation (WHO) classifies MS as an acute myeloid leukemia (AML).3 The exact prevalence of the disease is still unclear due to its low incidence. According to literature the incidence of MS associated with AML ranges between 3% and 4.7%.4 Often patients with myeloid sarcoma without concomitant symptoms of leukaemia are initially misdiagnosed. Here we report a case with an unusual presentation of myeloid sarcoma, misleading to a clinical diagnosis of peritonsillar abscess and highlight the importance of keeping this entity in the differential diagnosis for such presentations as well as to highlight the importance of Fine needle aspiration cytology (FNAC) in diagnosing such cases.

Case report

A 30year old male patient presented to the department of otorhinolaryngology with the history of swelling inside the mouth and inability to swallow for last 4days. The patient was apparently fine when a swelling started to appear on the left side of oral cavity, associated with pain and fever. The patient had difficulty in opening the mouth which started soon after appearance of the oral swelling. On examination the patient had a tender swelling over left angle of mandible with trismus. A swelling was observed intraorally over the left side of soft palate and anterior pillar involving the retromolar area with medial displacement of left tonsil (Figure 1). There was no significant past history. Based on the clinical findings patient was put on antibiotics with a working diagnosis of peritonsillar abscess. Attempt was made to drain the abscess but the aspiration did not yield any material. On the contrary the swelling was found to be firm to hard in consistency. FNAC was advised from the swelling along with other routine pathological and biochemical investigations.

Figure 1 Photograph showing swollen left peritonsillar area with restricted mouth opening.

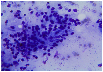
Complete hemogram showed a haemoglobin level of 6.3gm with morphologically macrocytic RBCs. Total count was 22,000 cells/cu mm. Differential count showed 60% blasts, morphology and cytochemistry of the cells were consistent with myeloid lineage. Platelets were markedly reduced. Peripheral smear was consistent with the diagnosis of AML. Computerised Tomography (CT) scan showed a mass which effaced the normal architecture of the peritonsillar region. FNAC from the mass revealed cellular smears with medium to large cells with round to oval nuclei, prominent nucleoli and fine chromatin. Some of them showed presence of Auer rods. These cells were positive for myeloperoxidase and sudan black on cytochemistry. Correlating with the radiologic finding of effaced tissue architecture and the presence of blast from the aspirate, a diagnosis of myeloid sarcoma was made (Figure 2). Subsequently the patient was referred to the hematology department for further treatment.

Figure 2 Microphotograph shows cell cluster consisting of myeloid blast (black arrow) along with immature myeloid lineage cells (white arrow) suggestive of myeloid sarcoma (May Grunwald Giemsa stain, 100x).

Discussion

Myeloid sarcoma, also known as granulocytic sarcoma, chloroma or myeloblastoma is an unusual extramedullary tumorous lesion consisting of immature cells of granulocytic series. MS has been found to occur at various sites including the skin, bone, lymph nodes, gingiva, soft tissue, and rarely, other visceral organs. Although majority of MS occurs in patients with known AML, some of them may be unaware of their AML disease and MS might antedate the occurrence of AML.

Oral manifestations of leukaemic cell infiltration and its importance as a diagnostic indicator have been reported by many investigators. These include mucosal pallor, petechiae, ecchymoses, bleeding, ulceration, gingival enlargement, trismus, mental nerve neuropathy, facial palsy, and infections.5 As these symptoms are clinically similar to locally occurring inflammatory lesions, high level of suspicion is needed, especially if the patient is not a diagnosed case of leukemia. MS forms a mass lesion, so FNA accompanied by cytochemistry plays a vital role in suggesting such diagnosis, especially in resource limited setups.6

Oral involvement in AML is commonly seen with the morphological subtypes of acute myelomonocytic leukemia (AML-M4) and acute monocytic leukemia (AML-M5). Enlargements of mucosa, gingival or masticatory muscles are typically the result of direct infiltration by malignant leukocytes.7,8 Presence of MS in the oral tissues is rare. The most common intraoral locations of MS are the maxillary and mandibular gingiva and bones; followed by cheek, tongue, parotid, hard palate, soft palate, and lip. Gingival involvement is common in AML and represents a 5% frequency as the initial presenting complication of AML.9 Gingival tissues are more susceptible to leukemic cell infiltration because of their microanatomy and expression of endothelial adhesion molecules which facilitate infiltration of leukocytes. CT scan and Magnetic resonance intensity (MRI) scans of MS exhibit low signal intensity on T2-weighted images, which helps to rule out inflammatory lesions.10

FNAC has an important role in differentiating MS from inflammatory lesions as well as carcinomas, sarcomas and lymphomas. As mentioned by Bangerter et al.,6 morphological examination of the FNA smear was sufficient to suggest a diagnosis of MS and cytochemistry supported the cytological diagnosis.6 Our case has the typical history as well as the findings which mimics peritonsillar abscess. Although there are literature mentioning tonsillar enlargements as a manifestation of leukaemia, quote on peritonsillar swelling with trismus is infrequent. Failed pus aspiration and firmness of the involved tissues directed us to advice for a FNAC report.

The importance of prompt and correct diagnosis of myeloid sarcoma has to be stressed, as it has prognostic and therapeutic implications. The clinical diagnosis of MS is difficult and FNAC might be a useful alternative in centres where histological and immunohistochemical analyses are limited, aiding in early diagnosis and prompt treatment. Correlation of FNA findings with the findings of peripheral blood smear helps in establishing correct diagnosis.

Conclusion

Oral lesions may act as a diagnostic indicator of the underlying pathology. Those who maintain high degree of suspicion of unusual oral conditions can play a vital role in diagnose of such patients.

Acknowledgments

None.

Conflict of interest

Author declares there are no conflicts of interest.

Funding

None.

References

  1. Rosai J. Ackerman’s surgical pathology. (8th edn), Mosby Year Book Inc, St. Louis (MO), USA. 1996;1821‒1828.
  2. Jaffe ES, Harris NL, Stein H, et al. World Health Organization classification of tumours. Pathology and genetics of tumours of haematopoietic and lymphoid tissues. (3rd edn) IARC Press, Lyon, France. 2001. p.104‒105.
  3. Swerdlow SH, Campo E, Harris NL, et al. WHO Classification of Tumours of Haematopoietic and Lymphoid Tissues. (4th ed) IARC Press, Lyon, France. 2008. p.140‒141.
  4. Puranen MH, Ropponen KM, Kellokoski JK. Myeloid sarcoma: Case report with an unusual presentation in radicular cyst capsule. Oral Oncol Extra. 2006;42:190‒193.
  5. Fatahzadeh M, Krakow AM. Manifestation of acute monocytic leukemia in the oral cavity: a case report. Spec Care Dentist. 2008;28(5):190‒194.
  6. Bangerter M, Hildebrand A, Waidmann O, et al. Diagnosis of Granulocytic Sarcoma by Fine-Needle Aspiration Cytology. Acta Haematol. 2000;103(2):102‒108.
  7. Cooper CL, Loewen R, Shore T. Gingival hyperplasia complicating acute myelomonocytic leukemia. J Can Dent Assoc. 2000;66(2):78‒79.
  8. Anil S, Smaranayake LP, Nair RG, et al. Gingival enlargement as a diagnostic indicator in leukemia. Case report. Aust Dent J. 1996;41(4):235‒237.
  9. Wu J, Fantasia JE, Kaplan R. Oral Manifestations of Acute Myelomonocyic leukemia: a case report and review of the classification of leukemias. J Periodontol. 2002;73(6):664‒668.
  10. Lee SS, Kim HK, Choi SC, et al. Granulocytic sarcoma occurring in the maxillary gingiva demonstrated by magnetic resonance imaging. Oral Surg Oral Med Oral Pathol Oral Radiol Endod. 2001;92(6):689‒693.
Creative Commons Attribution License

©2017 Medhi. This is an open access article distributed under the terms of the, which permits unrestricted use, distribution, and build upon your work non-commercially.