Submit manuscript...
Journal of
eISSN: 2379-6359

Otolaryngology-ENT Research

Mini Review Volume 7 Issue 4

Nasal Polyposis in Patients with Primary Ciliary Dyskinesia

Cajelli Ana Laura, Principe Lourdes, Figueroa Eduardo, Ianardi Fabricio, Urquiola Federico

Otorhinolaringology department Hospital Italiano de Buenos Aires, Argentina

Correspondence: Cajelli, Ana Laura, Hospital Italiano de Buenos Aires, Juan D, Perón 4190 (C1181ACH), Buenos Aires, Argentina, Tel (5411) 4959-0200

Received: April 26, 2017 | Published: June 6, 2017

Citation: Laura CA, Lourdes P, Eduardo F, Fabricio I, Federico U (2017) Nasal Polyposis in Patients with Primary Ciliary Dyskinesia. J Otolaryngology ENT Res 7(4): 00210. DOI: 10.15406/joentr.2017.07.00210

Download PDF

Abstract

Primary ciliary dyskinesia is a rare, autosomal recessive disease, with diminished ciliary motility resulting in chronic disease of the upper and lower airway. Due to its low prevalence, there are few studies with significant numbers of cases, and a lack of guidelines for the management of this group of patients. Most patients present chronic rhinosinusitis at diagnosis and while there is improvement with saline irrigations and medical treatment, its effects are increased after endoscopic sinus surgery. Despite this improvement, the high risk of early recurrence, forces us to reserve it for cases with severe nasal obstruction. The aim of this study is to present a literature review on this topic.

Keywordsprimary ciliary dyskinesia, kartagener syndrome, nasal polyposis, endoscopic sinus surgery

Introduction

Initially described in 1933 by Kartagener, the triad of chronic sinusitis, bronchiectasis and situsinversus was then called Kartagener's syndrome.1 It was not until 1976 that Afzelius marked the defective structure in the cilia of these patients who turned out to be immobile. In 1981 Sleigh defined it as Primary Ciliary Dyskinesia (PCD), adapting to cases of partial or defective ciliary mobility, and is nowadays used to outline all ciliary motility disorders.2 The aim of the present study is to present a literature review on this pathology.

Methods

We performed a search in PubMed database. The search included all English-language literature published between January 1993 and December 2015. The search terms at first were “Primary Ciliary Dyskinesia”.

Results

Of the 1545 articles retrieved from the primary research strategy one investigator reviewed title, then abstracts and then full-text articles for inclusion or exclusion. Studies were included if they contained direct or indirect findings related to treatment and/or outcomes of CRS in children with PCD. Studies were excluded if they lacked a written abstract or were not written in the English language. A total of 10 articles were included.

Discussion

PCD is a rare, autosomal recessive disease with altered ciliary motility resulting in chronic upper and lower airway disease.3 Because of its low prevalence, there are few studies with significant numbers of cases, which makes it difficult to perform protocols and follow-up guidelines in these patients. A prevalence of 68% of nasal polyposis (Figure 1) is reported in these patients, 93% of rhinitis and 100% of signs of chronic rhinosinusitis (Figure 2).3 Functional endoscopic sinus surgery (FESS) is frequently indicated in cases of failure of medical treatment. It may be useful to decrease or eliminate upper and lower airway infections in these patients.4

Figure 1 Anterior rhinoscopy with nasal polyps.

Figure 2 CT scan. Pansinusitis.

PCD has an incidence of 1 in 20,000 with a prevalence ranging from 1: 4000 to 1: 50000. Laterality defects occur in 40 to 50% of the cases, usually as total situsinversus (Kartagener's syndrome). It is a genetically heterogeneous disease.3The manifestations of this disease are usually evident at birth. 80% of neonates with PCD have Neonatal Respiratory Distress Syndrome.

During the newborn period, it is important to maintain a high index of suspicion for PCD, as many of the presenting clinical symptoms can vary with age and may overlap with other more prevalent childhood conditions. A recurrent ‘wet’ cough is characteristic and a positive family history or the presence of situsinversus should prompt consideration of a diagnosis of PCD.5

A meta-analysis that included 52 articles estimated the prevalence of signs and symptoms in patients with PCD. Chronic cough was identified in 88% of the cases, sputum production in 89%, nasal polyps in 68% and rhinitis in 93%.3 Another retrospective study of the Concord Hospital in Sydney, Australia, reported 84 patients with an average age of diagnosis of 5.5 years (0.1-18.2 years).5 Regarding degree of Lidholdt of polyposis we haven´t found any published data about the frequency of each grade that occurs in patients with PCD. In our experience, in cases with no response to medical treatment, they tend to present a grade 3 polyposis when evaluated in the otorhinolaryngology department but we have not performed any formal study on this topic.

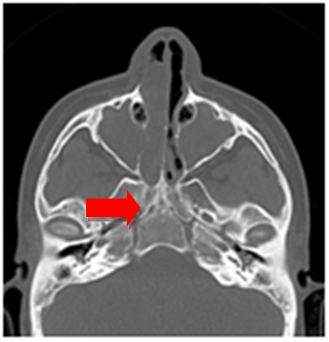
Almost all patients with PCD have a diagnosis of severe pansinusitis on Computed Tomography scan.6 Frontal and/or sphenoidal sinuses are hypoplastic or aplastic on 73% of the affected parienta. Therefore it is important to the diagnostic suspicion of PCD having a tomographic finding of aplasia or hypoplasia in the frontal and sphenoid sinuses (Figure 3).7

Figure 3 Sphenoidal aplasia.

The definitive diagnosis of PCD requires a combined approach, using measurement of nasal nitric oxide as a screening test in individuals with a compatible clinical phenotype when other known causes of bronchiectasis and chronic oto-sino-pulmonary disease have been excluded. Ciliary ultra structural abnormalities as seen on electron microscopy and video microscopy of nasal mucosa biopsies are useful adjunctive diagnostic modalities as the genetic mutations involved in PCD are further identified. Follow-up includes monitoring of lung function, imaging, upper airway microbiology, and early antibiotic treatment in cases of infection.1‒8

Persistent rhinorrhea and nasal obstruction can be treated with nasal irrigation. Chronic rhinosinusitis in patients with PCD can be further treated with inhaled hypertonic saline and antibiotics in infectious exacerbations. Similar to lower airway treatment, topical corticosteroids are useful only in patients with associated allergic CRS.8 Although there is some improvement with saline irrigations, its effects are improved after performing FESS as it reaches the sinus mucosa more easily.6 Despite this advance, surgery carries a high risk of early recurrence and therefore, it is reserved for cases with severe nasal obstruction. 8 Following the concept of unique airway disease, sinus antibiotic rinses have been used to treat persistent bacterial colonization in PCD.1 Shapiro6 suggest using inhaled aminoglycoside and beta-lactam antibiotics on an individual basis on patients with PCD since these are recommended for chronic respiratory infections, particularly those associated with Pseudomonas aeruginosa, in patients with non cystic fibrosis associated bronchiectasis following the concept of unique airway. Several months of inhaled aminoglycoside or colistin have demonstrated to decrease hospitalization and improve respiratory symptoms in these patients. However, there are no studies of inhaled antibiotics in children with PCD.

David Mener et al.,9 performed a literature review of the past 20years to find out the best evidence regarding indications of treatment in patients with chronic rhinosinusitis and DCP. Medical management suggested includes nasal steroids to reduce polyp size and load, inhaled glucocorticoids, and prolonged macrolide therapy. Routine prophylactic antibiotics are generally not recommended, but should be given at the first sign of respiratory compromise. He found general anecdotal agreement for routine hypertonic 7% nasal saline irrigations and anticholinergics use in these patients improves symptoms. He also found that prevention of a decrement in forced expiratory volume in 1 second (FEV1) of 0.8% in children suggests that vigorous medical management is apriority. Recommendations for surgical indications arising from this review include: nasal obstruction, polyposis, headache or facial pain, medialization of the lateral nasal wall and pulmonary exacerbations associated with sinusitis refractory to medical treatment.

Regarding the appropriate age for the surgical approach, it is indicated in the EPOS 2012 (European Position Paper on Rhinosinusitis and Nasal Polyps) that functional endoscopic surgery has no impact on facial development in children evaluated at 10 years postoperatively. Although PCD phisiopatology differs from pulmonary cystic fibrosis, in both pathologies the mucociliary clearance is decreased. In both there are also retention of secretions, decreased ciliary motility and susceptibility to recurrent chronic infections of the airway. Pseudomonas aeruginosa is one of the causes of increased morbidity and mortality in patients with cystic fibrosis where the paranasal sinuses act as reservoir for recurrent lung infections.10

Mikkel Alanin et al.,10 conducted a study that examined the association between sinus and lung infections in 8 patients with PCD who underwent funtional endoscopic surgeries and pulmonary culture, over a period of 6years. Sinus and pulmonary samples were taken (sputum analysis and bronchoalveolar lavage). Seventy-one percent of patients had bacteriological concordance between paranasal sinuses and lungs. After functional endoscopic surgery, 2 of the 5 patients with pulmonary Pseudomonas Aeruginosa colonization remained with the bacterium eradicated from their lungs for a year of follow-up.10 This leads to the concept that as expected, endoscopic functional sinus surgery is effective not only to treat chronic rhinosinusitis but also to decrease the incidence of lower airway infections. Parsons,2 in 1993, describing 3 clinical cases, suggested that the extension of the FESS should be based on the severity of the patient's disease and the tomographic findings. According to the literature we suggest to perform a wide mid-maxillary antrostomy, inferior meatotomy, and complete bilateral anteroposterior ethmoidectomy according to the compromise detected in the preoperative tomographic analysis. Following the procedure, postoperative debridement of the sinonasal cavity is important because of its role in the management of airway infections in patients with PDD due to the lack of mucociliary sweep.4

Conclusion

Primary ciliary dyskinesia is a rare disease that causes multiple symptoms that severely affect the quality of life of the patients suffering from it. The degree of high suspicion and management by a multidisciplinary team are essential for proper diagnosis and treatment. The management of nasal polyposis and chronic rhinosinusitis in these patients highlights the possibility of medical treatment in exacerbations, the importance of nasal irrigations and the safety of nasosinusal endoscopic functional surgery. The inferior meatotomy and the extensive maxillary antrostomy allow improving the nasal irrigations and aspirations, thus promoting the mechanical drainage of the paranasal cavities in these patients where the ciliary clearance is absent.

Acknowledgments

None.

Conflicts of interest

Author declares there are no conflicts of interest.

Funding

None.

References

  1. Daniels MLA, Noone PG. Genetics, diagnosis and future treatment strategies for primary ciliary dyskinesia. Expert Opin Orphan Drugs. 2014;3(1):31‒44.
  2. Parsons CDS, Greene BA. A Treatment for Primary Ciliary Dyskinesia. The Laryngoscope, USA. 1993.
  3. Werner C, Lablans M, Ataian M, et al. An international registry for primary ciliary dyskinesia. Eur Respir J. 2015;47(3):849‒859.
  4. Tang X, Zou J, Liu S. Endoscopic Sinus Surgery for Treatment of Kartagener Syndrome: A Case Report. Balkan Med J. 2013;30(2):244‒247.
  5. Hosie PH, Fitzgerald DA, Jaffe A, et al. Presentation of primary ciliary dyskinesia in children: 30 years' experience. J Paediatr Child Health. 2014;51(7):722‒726.
  6. Shapiro AJ, Zariwala MA, Ferkol T, et al. Diagnosis, monitoring, and treatment of primary ciliary dyskinesia: PCD foundation consensus recommendations based on state of the art review. Pediatr Pulmonol. 2015;51(2):115‒132.
  7. Pifferi M, Bush A, Caramella D, et al. Agenesis of paranasal sinuses and nasal nitric oxide in primary ciliary dyskinesia. Eur Respir J. 2011;37(3):566‒571.
  8. Lucas JS, Burgess A, Mitchison HM, et al. Diagnosis and management of primary ciliary dyskinesia. Arch Dis Child. 2014;99(9):850‒856.
  9. Mener DJ, Lin SY, Ishman SL, et al. Treatment and outcomes of chronic rhinosinusitis in children with primary ciliary dyskinesia: where is the evidence? A qualitative systematic review. Int Forum Allergy Rhinol. 2013;3(12):986‒991.
  10. Alanin MC, Johansen HK, Aanaes K, et al. Simultaneous sinus and lung infections in patients with primary ciliary dyskinesia. Acta Oto-Laryngologica. 2014;135(1):58‒63.
Creative Commons Attribution License

©2017 Laura, et al. This is an open access article distributed under the terms of the, which permits unrestricted use, distribution, and build upon your work non-commercially.