Submit manuscript...
Journal of
eISSN: 2379-6359

Otolaryngology-ENT Research

Case Report Volume 10 Issue 6

Nasal rhinosporidiosis: a prospective study 

Ashwini Shastry, Abhilasha S, Borlingegowda Viswanatha

Otorhinolaryngology Department, Bangalore Medical College & Research Institute, India

Correspondence: Borligegowda Viswanatha, Professor of ENT, Bangalore Medical College & Research Institute Bangalore, INDIA, Tel 919845942832

Received: May 16, 2018 | Published: November 23, 2018

Citation: Shastry A, Abhilasha S, Viswanatha B. Nasal rhinosporidiosis: a prospective study . J Otolaryngol ENT Res. 2018;10(6):373-375. DOI: 10.15406/joentr.2018.10.00384

Download PDF

Abstract

Rhinosporidiosis is a chronic granulomatous lesion that is caused by Rhinosporidium seeberi, a fungus of the class Phycomycetes, family Coccoidiodaceae. It primarily affects the mucous membranes of the nose and nasopharynx. Rhinosporidiosis is endemic to Sri Lanka, the Indian subcontinent and certain areas in Africa. Isolated cases have also been reported worldwide. Clinically it presents as a reddish, bleeding, polypoidal mass. We present a prospective study of 27 cases of nasal rhinosporidiosis that were diagnosed and managed at the department of Otolaryngology in a tertiary care hospital in India

Keywords: nasal, rhinosporidiosis, prospective study

Introduction

The organism that causes Rhinosporidiosis is Rhinosporidium Seeberi, a fungus of the class Phycomycetes, family Coccoidiodaceae. It was first described by an Argentinian, Guillermo Seeber. In 1896 Seeber removed a nasal polyp from an agricultural worker and in 1900 reported his findings in his doctoral thesis in medicine, which was eventually published in 1912. It was Ashworth who coined the term Rhinosporidium seeberi in 1923.1–3

Rhinosporidiosis commonly affects the mucous membranes of the nose and nasopharynx, where it is usually limited to the surface epithelium. Other rarely affected sites are oropharynx, oral cavity, trachea, bronchus, and lacrimal sac.4,5 The presenting symptoms are epistaxis, blood-stained nasal discharge, and nasal obstruction. It usually presents as reddish, friable, polypoidal mass that bleeds to the touch.4–8 In this article, the authors presents a prospective study on rhinosporidiosis.

Cases details

All cases of nasal rhinosporidiosis which presented to ENT department from 2002 to 2017 were included in this study. There were 27 cases of nasal rhinosporidiosis, 22 patients were male and 5 patients were female. Age of the patients ranged from 25 to 55 years and majority of the patients [23 patients] were in the age group 25 to 35 years.

Presenting symptoms were epistaxis [26 patients], nasal mass [25 patients], nasal obstruction [20 patients]. Except one patient, all patients presented with epistaxis.

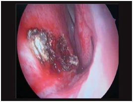
All the patients underwent diagnostic nasal endoscopy under local anaesthesia. Mass was attached to anterior part of the nasal septum in 23 patients (Figure 1) (Figure 2) and in 4 patients, it was arising around the choana (Figure 3).

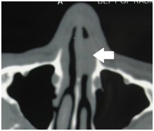
All the patients underwent routine laboratory investigations that are required for surgical management. Except one patient, all patients presented with epistaxis and for this patient CT scan of nose and paranasal sinuses was done and it showed a soft-tissue mass in the anterior part of the left nasal cavity (Figure 4).

One of the male patients who was 55 year old presented to us with an unusual presentation. He had 5 to 6 episodes of epistaxis for the past 6 months for which no medical care was taken as it was mild. One day following sneezing, the patient had epistaxis and saw a mass coming out of his left nostril. Endoscopic examination showed that mass was arising from the posterior end of the left nasal cavity (Figure 5).

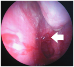
All the patients underwent endoscopic excision under anaesthesia. After the administration of local anaesthesia, the mass was excised using nasal endoscope, and its base was cauterized to control bleeding (Figure 6) (Figure 7). The patient's postoperative course was uneventful.

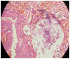
Histopathologic examination of the resected mass showed sporangia covered with multiple layers of keratinized squamous epithelium (Figure 8). The patients exhibited no signs of recurrence at the 6-month follow-up evaluation.

Figure 1 Photograph showing mass in the nasal cavity.

Figure 2 Nasal endoscopic picture showing the mass attached to the nasal septum.

Figure 3 Nasal endoscopic picture showing the mass filling the choana.

Figure 4 CT scan picture showing soft-tissue mass [arrow] in the anterior part of the left nasal cavity.

Figure 5 Picture showing soft-tissue mass in left nasal cavity.

Figure 6 Picture showing cauterised attachment site (septal attachment) following the excision of mass.

Figure 7 Picture showing site of attachment of the mass [arrow] at the choana..

Figure 8 Histopathology picture showing sporangia covered with multiple layers of keratinized squamous epithelium.

Results

Rhinosporidiosis was first described by an Argentinian, Guillermo Seeber. It was Ashworth who coined the term Rhinosporidium seeberi in 1923.9,10 A consensus understanding of the microbiologic properties and taxonomy of the causative agent, R. Seeberi, remains incomplete and controversial till now. R. Seeberi was classified as a fungus since GMS and PAS stain the wall of the organism. This organism is exceptionally difficult to isolate and does not grow in culture media. The most accepted current classification is that R. Seeberi is a eukaryotic pathogen in the Mesomycetozoea class.11 The disease affects animals as well as humans, but no evidence of transmission from animal to man has been established. Soil seems to be the likely reservoir, since a relationship exists between the disease and agriculture.7

Rhinosporidiosis is primarily a water-borne disease, as its onset generally occurs after a patient has been swimming in stagnant lake or pond water. Dust and air are also suspected vectors.12 In addition to swimming and diving, trauma to the mucous membrane is believed to be a predisposing factor.4

Diagnosis is not usually apparent especially if one is not familiar with the condition. Nasal obstruction, the presence of a nasal mass, and epistaxis are the most common symptoms. The nasal masses are typically soft, polypoidal, and red in color. A diagnostic feature of these masses is the presence of whitish spots on the masses, which are actually the Rhinosporidium itself. The masses are painless and bleed easily. They grow slowly over years to a large extent before symptoms are present as evidenced by our patients.The usual initial diagnosis is tuberculosis, nasal malignancy, or papilloma. Histological examination confirms the diagnosis.

The mature phenotype of the organism includes a thick walled spherical structure termed sporangia containing smaller spherical structures termed sporangio spores.The characteristic strawberry-like appearance of the mass is attributable to the presence of mature sporangia. Microscopically, the involved tissue shows, numerous sporangia in various stages of development whose diameter is ranging from 10 to 300μm.The larger lesions are closer to the mucosal surface. Whereas the sporangiospores ranges from 2 to 5μm in diameter. The lesions are surrounded by an intense inflammatory reaction consisting of lymphocytes, plasma cells and eosinophils.5,6,8

CT scan is not usually required in cases of rhinosporidiosis. However, when a mass completely obstructs the nasal cavity, CT can be helpful in determining its extent. Surgical excision with cauterization of the base is the treatment of choice for rhinosporidiosis. Bleeding during surgery is usually profuse and can be life-threatening. Therefore, establishing a diagnosis before surgery is important.6

The use of endoscopes has been beneficial for the visualization and complete removal of nasal masses. Use of sinus endoscopy will aid in the clearance of the disease of smaller mass although, bleeding from clearance of larger mass can pose problem for adequate visualisation and other difficulties. Endoscopy is also useful in postoperative follow-up, as it helps in monitoring the response of treatment and in the early detection of recurrences.4,8,13

Kameswaran et al wrote that the KTP-532 laser is superior to diathermy excision because it enables the surgeon to obtain a better clearance margin, visibility is better, and blood loss is significantly less.13

Antimicrobials, till date, have largely been ineffective for rhinosporidiosis. In addition to its microbiologic behavior and genetic heterogeneity, a major limitation in identifying effective antimicrobials has been the inability to successfully grow the organism in vitro. Though antifungals are ineffective, Dapsone has been used as adjuvant therapy with varying degrees of efficacy. When used as an adjuvant to surgery, Dapsone appears to arrest the maturation of the sporangia and promote fibrosis of the stroma. However it is primarily used following surgery in patients at high risk for recurrence.4,6,9,12,14 In the present study, dapsone was not used and there were no recurrence. Complications of rhinosporidiosis include life-threatening dissemination (which is extremely rare) and local secondary bacterial infection.

In case of bleeding nasal mass, a diagnosis of rhinosporidiosis is important to establish prior to any surgery because bleeding during and after surgery is usually profuse and can be life-threatening. The site of the excised mass should be cauterized to prevent recurrence. Recurrences are rare.

Acknowledgments

None.

Conflict of interest

The author declares there is no conflict of interest.

References

    1. Bevilacqua MC, Moret ALM, Costa OA. Conceituação e indicação do implante coclear. In: Bevilacqua MC, Martinez MAN, Balen AS, et al. editor. Tratado de Audiologia. São Paulo: Santos; 2011. pp. 404–425.
    2. Eshraghi AA, Nazarian R, Telischi FF, et al. The cochlear implant: Historical aspects and future prospects. Anat Rec (Hoboken). 2012;295(11):1967–1980.
    3. Handzel O, Burgess BJ, Nadol B. Histopathology of the peripheral vestibular system after cochlear implantation in human. Otology & Neurotology. 2006;27(1):57–64.
    4. Batuecas Caletrio A, Klumpp M, Santacruz-Ruiz S, et al. Vestibular function in cochlear implantation: correlating objectiveness and subjectiveness. The Laryngoscope. 2015;125:2371–2375.
    5. Robard L, Hitier M, Lebas C, et al. Vestibular function and cochlear implant. Eur Arch Otorhinolaryngol. 2015;272(3):523–530.
    6. Katsiari E, Balatsouras DG, Sengas J, et al. Influence of cochlear implantation on the vestibular function. Eur Arch Otorhinolaryngol. 2013;270(2):489–95.
    7. Arnvig J. Vestibular function in deafness and severe hardness of hearing. Acta Otolaryngol. 1955;45(4):283–288.
    8. Raj P, Gupta A. Vestibular dysfunction in children with sensorineural hearing loss: A cross-sectional study. Indian Journal of Otoogyl. 2017;23:74–77.
    9. Sommerfleck PA, Macchi MEG, Weinschelbaum R, et al. Balance Disorders in Childhood: Main Etiologies According To Age. Usefulness of the video head impulse test. Int J Pediatr Otorhinolaryngol. 2016;87:148–153.
    10. Ibrahim I, da Silva SD, Segal B, et al. Effect of cochlear implant surgery on vestibular function: meta-analysis study. J Otolaryngol Head Neck Surg. 2017;46(1):44.
    11. Krause E, Louza JP, Wechtenbruch J, et al. Influence of cochlear implantation on peripheral vestibular receptor function. Otolaryngol Head Neck Surg. 2010;142(6):809–813.
    12. Buchman CA, Joy J, Hodges A, et al. Vestibu lar effects of cochlear implantation. The Laryngoscope. 2004;114(10 Pt 2 Suppl 103):1–22.
    13. Kluenter HD, Lang-Roth R, Beutner D, et al. Postural control before and after cochlear implantation: standard cochleostomy versus round window approach. Acta Otolaryngol. 2010;130(6):696–701.
    14. Carmona S, Asprella LG. Neuro-otología. 3° ed, Editorial Akadia, 2013.
    15. Curthoys IS, Manzari L. Clinical application of the head impulse test of semicircular canal function. Hearing, Balance and Communication. 2017;15:3:113–126.
    16. Hamilton SS, Zhou G, Brodsky JR. Video head impulse testing (VHIT) in the pediatric population. Int J Pediatr Otorhinolaryngol. 2015;79(8):1283–1287.
    17. Korsager LEH, Schmidt JH, Faber C, et al. Vestibular Outcome After Cochlear Implantation Is Not Related to Surgical Technique: A Double Blinded, Randomized Clinical Trial of Round Window Approach Versus Cochleostomy. Otol Neurotol. 2018;39(3):306–312.
Creative Commons Attribution License

©2018 Shastry, et al. This is an open access article distributed under the terms of the, which permits unrestricted use, distribution, and build upon your work non-commercially.