Submit manuscript...
Journal of
eISSN: 2379-6359

Otolaryngology-ENT Research

Case Report Volume 4 Issue 3

Nasopharyngeal Warthin's Tumor Presented as Otitis Media with Effusion

Mohammad Alsalem, Khaled M Al-Sawalmeh, Sohaib M Al-Khatib, Mohannad Al-Qudah

Correspondence: Mohannad Al-Qudah, Associate Professor of Otolaryngology, Department of Special Surgery, Jordan University of Science & Technology, P.O.Box:3030, Irbid (22110), Jordan, Tel 0096-279-963-0066

Received: May 22, 2016 | Published: June 29, 2016

Citation: Alsalem M, Al-Sawalmeh KM, Al-Khatib SM, Al-Qudah M (2016) Nasopharyngeal Warthin’s Tumor Presented as Otitis Media with Effusion. J Otolaryngol ENT Res 4(3): 00099. DOI: 10.15406/joentr.2016.04.00099

Download PDF

Abstract

Warthin’s tumor is a benign tumor that mainly affects the parotid gland. There have been a few reported cases of Warthin’s tumor affecting extra-parotid structures. Herein we report a nasopharyngeal Warthin’s tumor that presented as a unilateral otitis media with effusion.

A 57year-old non-smoker lady, presented with right sided glue ear of 5months duration, her fiber-optic nasopharyngeal exam showed a smooth mass near the right Eustachian tube.

CT scan of the sinuses and post nasal space were unremarkable. Endoscopic biopsy was consistent with Warthin’s tumor. A second endoscopic surgical procedure for complete excision was successfully performed.

Abbreviations

MEC, mucoepidermoid carcinoma; MRI, magnetic resonance imaging

Introduction

Warthin’s tumor, cystadenolymphoma, papillary cytoadenoma lymphomatomsum and adenolymphoma are all different terminology of the same pathology. Warthin’s tumor is a benign salivary gland tumor arises almost exclusively in intra- or peri- parotid lymphoid stroma and represents 5-8% of all salivary gland tumors. It accounts for 8-12% of all benign tumors affecting the parotid gland, and ranks as the second most common tumor affecting the parotid.1

Warthin’s tumor has more propensities to affect smokers, and is commonly seen between the fifth and the seventh decade of life with a male preponderance ratio of 5:1. Although Warthin’s tumor is classically a benign tumor, malignant transformation to mucoepidemoid, squamous cell and oncocytic carcinomas have been reported.1,2

Warthin’s tumor affecting extra-parotid structures and minor salivary glands is rare. Herein we describe a case of Warthin’s tumor originated from nasopharyngeal minor salivary gland in a lady who presented with unilateral medically resistant otitis media with effusion.

Case report

A 57 year-old non-smoker lady referred to us as a case of persistent right sided ear fullness of 5 month duration. Otological examination showed right sided glue ear, tympanometry study was type B with normal external canal volume on the right side. Fiber-optic examination revealed a very small rounded smooth mass at the nasapharynx close to Eustachian tube opening. CT scan of the sinuses and the post nasal space was unremarkable.

The patient underwent surgery for endoscopic nasopharyngeal biopsy and right sided ventilation tube insertion. Histopathology was consistent with oncocystic metaplasia (early stage Warthin’s tumor).

Postoperatively, MRI with contrast of the sinuses, post nasal space and neck was performed and was unremarkable. After counseling and discussing the options of management with the patient, she preferred to have a second surgical procedure for complete excision.

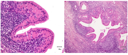
The operation was performed endoscopically. The mass was smooth, round, glistening and well-circumscribed measuring around 0.5* 0.5 cm. It was dissected instrumentally to gain better and clearer margins for histopathological assessment; the mass was completely removed with a safe margin without affecting the nearby structures. The patient had a smooth recovery and was followed up in the clinic for a year and a half without any complication (Figure 1).

Figure 1 Reactive respiratory type epithelial lining with an underlying stroma exhibiting dense lymphoid tissue with double layered oncocytic epithelium. Minor salivary glands in the background are identified.

Discussion

Historically, Warthin’s tumor (papillary cystadenoma lymphomatosum) was named after the pathologist Aldred Warthin who described it in 1929. He considered it as heterotopia of the mucous membrane of the accessory Eustachian tube anlage. Warthin’s and oncocytic tumors are thought to arise from striated ductal cells.1 It manifests as oncotypic epithelial cell proliferation within lymphoid stroma with and without cystic formation.2 Current molecular and cytogenetic studies indicate that the majority of these lesions manifest a normal karyotype, while approximately 10% have cytogenetic abnormalities; the most common cytogenetic alteration identified is the t(11;19) (q21-22;p13).3 The same translocation and its fusion gene product CRTC1/MAML2 were also found in mucoepidermoid carcinoma (MEC). These findings along with their reported simultaneous occurrence, indicate a genetic link between these lesions and support the propensity of transformation to Mucoepidermoid or oncocytic carcinoma.3,4

Warthin’s tumor has sharp borders on Computed tomography, and shows high signals usually on T1 weighted MRI which corresponds to cyst rich in proteinaceous fluids and cholesterol signals. On T2 weighted images intermediate signals observed secondary to the predominately epithelial component and high signals correlate to cysts or lymphoid proliferation.1,2

Warthin’s tumor is a slow growing tumor. A rapid increase in the size of a longstanding mass should raise the suspicion of malignant transformation, inflammation or cystic degeneration.2

Warthin’s tumor recurrences are relatively rare 2-5%.1 Surgical approaches depend on the size and tumor extension. Small sized tumors can be excised endoscopically for larger and more extensive tumors transpalatal approach might be more appropriate,4 however, each case should be evaluated individually and planned surgically according to age, co-morbidity, size, surrounding structures involved and follow up feasibility.

Conclusion

Warthin’s tumor is a benign tumor that very rarely can develop in the minor salivary glands including the ones in the nasopharynx and may be discovered incidentally. Careful endoscopic examination of the nasophargeal region in an adult with persistent unilateral otitis media with effusion is essential. Biopsy of suspicious cases should be considered. Selected nasopharyngeal cases can be approached safely and effectively by direct transnasal endocopic excision.

Acknowledgments

None.

Conflicts of interest

Author declareas there are no conflicts of interest.

Funding

None.

References

  1. Yoo GH, Eisele DW, Askin FB, et al. Warthin's tumor: a 40-year experience at The Johns Hopkins Hospital. Laryngoscope. 1994;104(7):799‒803.
  2. Rice DH. Salivary gland disorders. Neoplastic and nonneoplastic. Med Clin North Am. 1999;83(1):197‒218.
  3. Enlund F, Behboudi A, Andrén Y, et al. Altered Notch signaling resulting from expression of a WAMTP1-MAML2 gene fusion in mucoepidermoid carcinomas and benign Warthin’s tumors Exp Cell Res. 2004;292(1):21‒28.
  4. Martins C, Fonseca I, Roque L. Cytogenetic characterization of Warthin’s tumour Oral Oncol. 1997;33:344‒347.
  5. Kawakami M, Ito K, Tanaka H, et al. Warthin's tumor of the nasopharynx: a case report Auris Nasus Larynx. 2004;31(3):293‒298.
Creative Commons Attribution License

©2016 Alsalem, et al. This is an open access article distributed under the terms of the, which permits unrestricted use, distribution, and build upon your work non-commercially.