Submit manuscript...
Journal of
eISSN: 2379-6359

Otolaryngology-ENT Research

Case Report Volume 2 Issue 3

Neurofibroma of base tongue in a young boy

Singh ID, Sheetal Raina, Maj KD Joshi

Department of Otolaryngology Head & Neck surgery, Command Hospital (Southern Command), India

Correspondence: Lt Col ID Singh, Department of Otolaryngology Head & Neck surgery, Command Hospital (Southern Command), Pune 411040, India, Tel +91-7767834137

Received: February 12, 2015 | Published: April 2, 2015

Citation: Singh LCID, Raina LCS, Joshi MKD. Neurofibroma of base tongue in a young boy. J Otolaryngol ENT Res. 2015;2(3):98-100. DOI: 10.15406/joentr.2015.02.00022

Download PDF

Abstract

Neurofibroma of base of tongue presenting as a large mass in an isolated setting is rare. Usually such lesions are reported as haemangioma or lymphangioma on clinical and radiological examinations which happened in this case also. This case is described to sensitize the clinicians that an isolated base of tongue mass in a young age can be a plexiform neurofibroma especially if lesion fails to shrink after sclerosant agents and the coblation assisted surgery is very effective technique.

Keywords: neurofibroma, plexiform, base tongue, haemangioma, lymphangioma

Introduction

The peripheral nerve sheath tumours can be separated into benign and malignant types. Schwanomma, neurofibroma and perineurioma are benign tumours. Neurofibromas are rare in Head & Neck region, but are most common among neural lesion in the region.1 Up to 10% of these lesions are associated with Neurofibromatosis, an autosomal dominant disorder. Neurofibroma can be of three subtypes- localised, diffuse and plexiform.2,3  Plexiform neurofibroma is least common and is pathognomic of von Recklinghausen disease, seen in 17–30% of patient, caused by mutation of NF1 gene in chromosome 17. The most common sites in Head and Neck are temple, back of the neck and tongue. Oral manifestation are described in only 4-7% of patient, and tongue is the most common site.2,4,5  Approximately 5-10% of Plexiform neurofibroma undergo malignant transformation and their rate of growth is inversely proportional to age. The growth of Plexiform Neurofibroma is usually ill- defined, and there is a risk of recurrence.3,5,6‒9 Here, we present a case of an isolated plexiform neurofibroma of the base of tongue in a young male, initially managed as haemangioma.

Case report

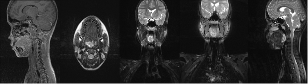
A 14 year old male presented with complaints of dysphagia for one year. On examination, a pinkish irregular growth approximately 3.5cm in transverse diameter was seen in right side of base of tongue. It was immobile, nontender, firm, and non compressible swelling which was blanching on pressure. Rest of the ENT examination was normal. A MRI scan was done and suggestive of mass epicentered in posterior 1/3 of tongue mainly on right side, crossing mid line with size of 20 X 29 X 34mm and infiltrating the intrinsic muscles of the tongue. It was heterogeneously hypointense on T1W1 and heterogeneously hyperintense in T2W1 images. Delayed post contrast enhancement was noted and provisional diagnosis of Haemangiolymphangioma was given. The patient was given empirical treatment with oral propanolol and local sclerosant (phenol) injection. However, there was no decrease in size of the mass and decision was taken for surgical excision. The patient was taken up for coblation assisted surgery under general anaesthesia. The upfront tracheostomy was offered to secure the airway and to avoid any postoperative complications after obtaining informed consent.

Figure 1 Preoperative picture of the patient showing base of tongue mass.

Figure 2 High riding innominate artery during tracheostomy.

Figure 3 Intra-operative picture of the patient.

Figure 4 The specimen.

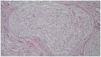
Figure 5 Histopathological specimen.

Figure 6 Post-operative.

Figure 7 MRI.

During tracheostomy, incidentally an unusually high Innominate artery was encountered over trachea in midline traversing laterally to the right side of the neck at the level of third tracheal ring. Through per oral approach the tongue mass was lifted from the underlying muscles in a plane using coblation and bipolar cautery and was excised in to with a margin of 5mm all around including at depth. Post operative period was uneventful. The patient was decannulated on day two and the oral feeds were started on day two only. The patient was discharged on post operative day three.

Histopathological examination of excised mass was suggestive of histomorphological features suggesting plexiform neurofibroma. The mass consisted of bundles of expanded nerve branches, limited by peripheral rim of eosinophilic membrane. The constituent cells were spindle shaped, with wavy serpentine nuclei. The matrix was composed of fibrocartilagenous tissue with scattered lymphocytic infiltrate.

Discussion

Neurofibromas are benign tumors of nerve sheath origin, in which most appear as solitary lesions and only 10% associated with neurofibromatosis. Localised neurofibroma generally is slow growing, mostly arising from cutaneous nerve and rarely from deep nerves.2 Plexiform neurofibroma generally detected early in life. Three types of Plexiform neurofibroma have been described –Cutaneous, nodular and diffuse Plexiform neurofibroma.

The neurofibroma can be differentiated from Schwannomas, which are capsulated tumour, showing Antony A & B pattern along with verocay bodies. Other differential diagnosis can be lymphangioma, haemangioma, haemartoma, nerve sheath myxoma and dermoid cyst.6,10  MR imaging is currently modality of choice for these lesions. On MRI these are seen as low to intermediate signal intensity on T1-weighted images and high signal intensity on T2-weighted images. The signal intensity on T2-weighted images may be either homogeneously hyperintense. Target sign may be present. Neurofibroma and Schwannoma appear similar in MRI, except nerve can be identified in Schwannoma and more often shows degenerative changes.2 Treatment of choice for peripheral nerve sheath tumour is surgical excision. Upfront precautionary tracheostomy in large lesions at the base of tongue region is advisable. The extreme vascularity with poor cleavage plane of the lesion and a possibility of an aberrant vessel in the neck should be kept in mind while attempting excision. 5,7,8,10 The surgical excision can be assisted with laser, electrocautery, harmonic scalpel or coblation depending on the surgeon`s preference. In this case we found coblation was very useful in tumor handling at base of tongue region and the hemostasis during procedure was excellent. The postoperative swelling was less than expected and there was a minimal pain and a quick recovery.

Summary

Isolated Plexiform neurofibroma of the tongue is a rare tumor. In present case, isolated presentation and low index of suspicion caused initial delay in diagnosis and administration of correct treatment. Location of lesion at the base of tongue with encounter of high innominate artery during tracheostomy made the case challenging.

Acknowledgements

None.

Conflits of interest

The authors have taken consent to publish all the photos and information from the patient and its guardian. Rest none else to declare.

Funding

None.

References

Creative Commons Attribution License

©2015 Singh, et al. This is an open access article distributed under the terms of the, which permits unrestricted use, distribution, and build upon your work non-commercially.