Submit manuscript...
Journal of
eISSN: 2379-6359

Otolaryngology-ENT Research

Case Report Volume 10 Issue 6

Otogenic brain abscess - a pause to step forward 

Prasad KC, Indu Varsha Gopi, Harshitha TR, Balan Ashok Kumar, Anjali PK, Prathyusha Koneru

Department of ENT and HNS, Sri Devraj Urs Medical College and Research Centre, India

Correspondence: Indu Varsha Gopi, Department of ENT and HNS, Sri Devraj URS Medical College and Research Centre, Tamka, Kolar, India, Tel 07337615540

Received: June 04, 2018 | Published: November 26, 2018

Citation: Prasad KC, Gopi IV, Harshitha TR, et al. Otogenic brain abscess - a pause to step forward. J Otolaryngol ENT Res. 2018;10(6):385-386. DOI: 10.15406/joentr.2018.10.00387

Download PDF

Keywords

chronic suppurative otitis media, tympanoplasty, canal wall down mastoidectomy, cerebellar abscess

Introduction

Chronic suppurative otitis media is known for its complications and for its varying presentations. So each case adds a new challenge for the clinician and there could not be any routine treatment for the same. Otitic infection and brain abscess are known to coexist.1 Although the rate of occurrence of intracranial infection has fallen, the problems presented by localized abscess, intracranial sepsis continues to be formidable and lead to a substantial incidence of death and disability. Otogenic brain abscess were originally treated by otologists who eliminated the primary source of sepsis in the temporal bone and then drained the abscess through this contaminated operative field.2 Neurosurgeons now approach the intracranial lesion through a clean field, drain or excise the abscess and institute intensive postoperative antibiotic treatment. Reduction of mortality was attributed primarily to the introduction of antibiotic therapy during world war II.3

Case report

A 31yrs old lady presented to our department with history of persistent discharge from the left ear since 3years and progressive hearing loss since 7 months. Audiometry and other workup needed for surgery was done and planned for right ear tympanoplasty with cortical mastoidectomy. On the day, prior to surgery, patient had intractable headache which was not subsided with any medications so was adviced for contrast enhanced CT scan of brain. It showed oedema of the cerebellar region so radiologist and neurosurgeon opinion was sought and suggested no drainage as there was no evidence of fully formed pus.

Patient was taken up for surgery and on exposing the mastoid intraoperatively; granulation tissue was present covering the sigmoid sinus and presigmoid dura. On removal of this granulation tissue, there was trickling of pus was present and on complete removal necrosis of the dura covering the cerebellum was appreciated. On manipulation of the granulation tissue the pus started pouring out and was completely filling the mastoid cavity. It was removed and irrigated. As an emergency neurosurgery help was sought and he exposed the part of cerebellum, drained the remaining pus and thorough irrigation of the cavity was done with normal saline. Canal wall down tympanoplasty due to presence of tympanomastoid cholesteatoma and obliteration of the mastoid cavity done on the same sitting.

Postoperatively patient was on higher antibiotics like Piperacilin and Tazobactum, Amikacin and Metronidazole. Following operation patient was symptomatically better so Neurosurgeon adviced for a repeat CT scan of the brain on the 3rd day and it showed complete localization of cerebellar abscess. He was adviced for drainage of the abscess through Retrosimoid approach. Patient was reluctant to undergo the procedure inspite of explaining the grave risks of not doing the procedure and decided to seek a second opinion and was so adviced to continue with the higher IV antibiotics for another 3 more weeks. After 4th week the CT scan of brain was repeated and showed considerable reduction of the abscess and was adviced to continue with oral antibiotics for 2 weeks. Again CT scan of the brain was repeated and showed complete resolution of the abscess.

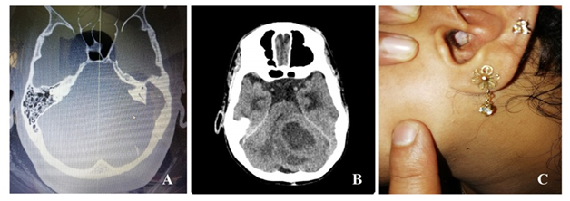
Regular follow up to 1year was done and showed improvement in hearing on repeating the audiometry and the graft has taken up well (Figure 1).

Figure 1 1A Shows erosion of the bone due to cholesteatoma. 1B shows cerebellar abscess and 1C Shows graft uptake after 1year follow-up.

Discussion

Chronic otitis media because of its many facets, continues to be an alarming entity in the developing countries. It is known for its mortality and morbidity of complications. According to literature 2% cases of Chronic otitis media have intracranial complications and 1.5% have extracranial complications. Out of which meningitis and brain abscess were common.4

Brain abscess starts as focal infection within the brain parenchyma which starts as a localized area of cerebrates which is subsequently converted into a collection of pus within a well vascularized capsule. Its carries a major source of morbidity.5,6

Trepanation is known to be the 1st surgical procedure performed for brain abscess. In ancient histories from the period of King Henry II the treatment of brain abscess was surgical drainage. Even in 1893 Mac Ewan published a monograph- Pyogenic Infective disease of the brain and spinal cord describing the results of a case series of 19 Brain abscess patients in which decalcified chicken bones had been used to drain the brain abscess.7

Now with the advent of all imaging techniques early detection and treatment can be offered for the patient. So since ancient times the rule followed is where ever there is pus it has to be drained.

Conclusion

As a dictom of treatment for brain abscess secondary to any infection it was neuroradiological evaluation, surgical intervention, eradication of the primary infected foci and use of antibiotics and excision of abscess. In our study we have taken a pause to step forward with the surgical intervention and the outcome were satisfactory.

Acknowledgments

We are thankful to Dr S.M Azeem Mohiyuddin Head of ENT and Head and Neck Surgery, Sri Devaraj Urs Medical College, Tamaka, Kolar for his helpful discussion and technical expertise. We express our gratitude to Dr Apoorva Audiologist for the facilities to test the ear of the patients to carry out this project in Sri Devaraj Urs Medical College and Research Centre Tamaka, Kolar and my sincere and great thanks for Gopinathan Pillai, Assosciate Professor, ENT in Pushpagiri Institute of Medical Sciences and Research Centre and Jagan O.A, Junior Lecturer in Virology Department, Amritha Institute of Medical Science and Research Centre for supporting me and helping in editing the article.

Conflict of interest

The author declares there is no conflicts of interest.

References

Creative Commons Attribution License

©2018 Prasad, et al. This is an open access article distributed under the terms of the, which permits unrestricted use, distribution, and build upon your work non-commercially.