Submit manuscript...
Journal of
eISSN: 2379-6359

Otolaryngology-ENT Research

Case Report Volume 14 Issue 2

Parapharyngeal solitary fibrous tumor (SFT): case report and literature review

Rodrigo Pacheco Z, Gonzalo Ortega Flores

Department of Otolaryngology: head and neck surgery, Guillermo Grantt Benavente Hospital, Chile

Correspondence: Gonzalo Ortega Floresm, Department of Otolaryngology: head and neck surgery, Guillermo Grantt Benavente Hospital, Concepcion, Chile

Received: July 28, 2022 | Published: August 23, 2022

Citation: Rodrigo PZ, Gonzalo OF. Parapharyngeal solitary fibrous tumor (SFT): case report and literature review. J Otolaryngol ENT Res. 2022;14(2):49-50. DOI: 10.15406/joentr.2022.14.00505

Download PDF

Abstract

The parapharyngeal space is a region where a wide spectrum of lesions can arise. They are rare and involve only 0.5% to 1.5% of head and neck neoplasms that usually present as asymptomatic masses. Literature describes multiple histopathologic variants that can arise from this area, among them, there are solitary fibrous tumors, an spectrum of fibroblastic mesenchymal neoplasms of uncertain histogenesis that often involve the thoracic pleura, hence it’s parapharyngeal location is exceptional. We present a case of a solitary fibrous tumor of the parapharyngeal space with its diagnostic process, surgical resolution and follow-up.

Keywords: parapharyngeal space, parapharyngeal space tumors, solitary fibrous tumor

Introduction

The parapharyngeal space (PFS) is a lateral neck compartment with an inverted pyramid disposition in which the skull base is cephalic, the hyoid bone is caudal, the buccopharyngeal fascia is medial, the retropharyngeal space is posterior and it is surrounded by the carotid shealth.1-4 This compartment is divided in an anterior (prestyloid) and posterior (retrostyloid) aspect regarding the styloid process and its fascia.5-8 Head and neck neoplasms are rare in this area, representing just 0,5-1,5% of all head and neck neoplasms1-8. It has a similar distribution within men and women, and generally presents in adulthood.8 The clinical presentation is usually asymptomatic, and often is found within other radiologic studies.1 Due to its anatomic location, the tumor can have a significant progressive asymptomatic growth, being clinically diagnosed when they reach up to 3 cm in diameter.1-5 Symptoms are unspecific and diverse, they can vary from chronic otitis media to lower cranial nerve compressive symptoms. Pain, trismus or facial nerve compromise is indicative of malignancy.1-8 The neoplasm’s can be of primary origin, local extension of surrounding areas such as parotid gland, nasopharynx, oropharynx, or can be metastatic diseases.1-5 Primary tumors usually arise from salivary glands (35-45%) or have a neurogenic origin (35.41%).2,4,5 80% are benign, such as pleomorphic adenomas and paragangliomas, and 20% are malignant, with the cystic adenocarcinoma as the most frecuent.1,2,4

Solitary fibrous tumors (SFT) belong to the fibroblastic mesenchymal neoplasms spectrum with uncertain histogenesis. They often involve the thoracic pleura and are rarely metastasic.9-13 They were first described in 1931 and different specialists base its origin in the mesenquimatic cells due to their serous tissue presentation, such as lung pleura, peritoneum, pericardium. There are case reports with mediastinic presentation, liver, and head and neck locations, such as nasal and sinus cavities, nasopharynx, epiglottis and parapharyngeal space.9-11

In this review we present a case of a parapharyngeal space solitary fibrous tumor.

Case report

A 55 year-old male patient with history of a slow progressive hiponasal voice, nasal obstruction, snoring and apneas. Due to breathing difficulties and dysphagia he was assessed in otolaryngology clinic. The clinical exam showed a medialized left pharyngeal wall with a medialized left tonsil and a deviated soft palate. The flexible endoscopy exhibited a submucosal left pharyngeal mass that surpassed the midline and extended from de nasopharynx to the hypopharynx.

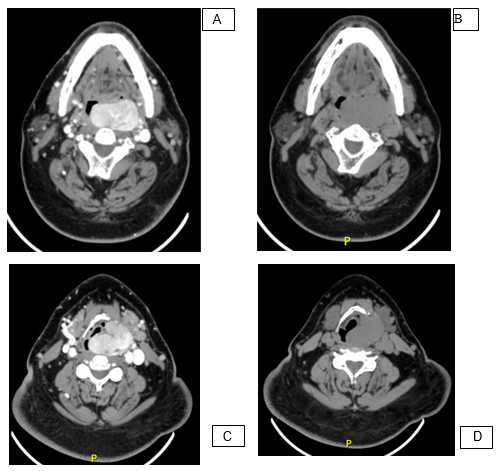
CT and MRI scans revealed a solid left parapharyngeal lesion, hyper vascular and well defined that enhances with contrast, of 6.1 x 3.8 x 5.1 cm in volume (Figure 1). Biopsy reported a SFT, without necrosis and a low mitotic index, positive for STAT-6, S-100, desmin and vimentine. A cervical approach with mandibulotomy was performed posterior to endovascular embolization of the facial artery, which was the main vascular supply. A complete tumor resection was achieved. The mandible was reconstructed with titanium plates and a tracheostomy was performed for airway protection (Figure 2). The patient had a favorable recovery with no complications and being able to eat normally. The definitive biopsy confirmed the diagnosis. At one-year follow-up the patient showed no recurrencies.

Figure 1 CT showing the tumor at a mandible level (A and B) and Hyoid bone level (C and D) It is remarkable how it changes with contrast imaging.

Figure 2 Immediate postoperative result (left) and 9 months follow-up picture (right).

Discussion

SFT is a rare entity and a parapharyngeal presentation is exceptional. The first case report in this area was made in 1993 by Safneck et al.9 Contemporary series reports show that 30% appear within the thoracic area, such as pleura, lung and mediastinum, 30% appear in the peritoneum, retroperitoneum and pelvis, and 20% in head and neck, like paranasal sinus, oral cavity and orbit.14,15 In 2007 the World Health Organization differentiated SFT and hemangiopericytomas (HPC) as two different entities, but on 2016 it was demonstrated that both shared a genetic mutation in which a 12q13 inversion occurred that merged NAB2 and STAT6 genes, generating a nuclear expression of STAT6 identifiable by immunologic studies, so nowadays both entities are recognized as one, the Solitary Fibrous Tumor / hemangiopericytoma (SFT/HPC).16

As described before, SFT are rare, representing just 1-2% of all soft tissue tumors, and it has an incidence of 0, 35 for each 100.000 habitants.10,12 Because of their slow growth, a parapharyngeal location can become symptomatic when the tumor reaches up to 2,5cms. Therefore, for smaller lesions CT and MRI scans are crucial, being the Gold Standard for surgical planification.17 In CT the SFT presents as a soft tissue mass, well defined, with or without cystic areas, calcifications or hemorrhage and show contrast uptake. In MRI they show low intensity in T1 and variable intensity in T2. Angiography reveals high vascularity with vessel ramifications; therefore, embolization can be of great importance.13

Histology shows a disorganized cellular proliferation of fusiform and ovoid cells, within a collagen background, with thick collagen bands and focal hyalinization, areas with high cellularity and low collagen and areas with low cellularity and high collagen. Immunologic studies are positive for vimentin and negative for cytokeratin, S-100 protein, actin and desmin.9-11

Treatment requires full resection, so a correct multidisciplinary surgical planification is crucial.18 Multiple surgical approaches can be performed, such as cervical, cervical-parotid, and mandibular swing, each of them having their own surgical complication and managements, like pseudoarthrosis or articular disfunction and tracheotomy or gastrostomy.18 Radiotherapy can be considered if an insufficient resection is performed or if positive for malignancy. Recurrency can occur up to a seven-year followup.13

Conclusion

PFS tumors are rare, being just 0.5% of all head and neck tumors. Despite this they should always be considered. SFT is extremely rare, even more in the PFS10. SFT is a benign and asymptomatic entity that becomes symptomatic when it reaches a considerable size. Final diagnosis is made with pathology and histology studies. Surgical treatment is the main approach and a long term follow up should be considered.

Funding

None.

Conflicts of interest

The authors declared no potential conflict of interest.

Acknowledgments

None.

References

  1. Olsen K. Tumors and surgery of the parapharyngeal space. Laryngoscope. 1994;104:1–28.
  2. Work WP, Hybels RL. A study of tumors of the parapharyngeal space. Laryngoscope. 1974;84(10):1748–55.
  3. Chen H, Sun G, Tang E, et al. Surgical treatment of primary parapharyngeal space tumors: A single-institution review of 28 cases. J Oral Maxillofac Surg. 2019;77(7):1520E1–1520E16.
  4. Dankle S. Neoplasms of the parapharyngeal space. Ear Nose Throat J. 1987;66(12):491–501.
  5. Bulut O, Giger R, Alwagdani A, et al. Primary neoplasms of the parapharyngeal space: diagnostic and therapeutic pearls and pitfalls. Eur Arch Otorhinolaryngol. 2021;278(12):4933–4941.
  6. Riffat F, Dwivedi R, Palme C, et al. A systematic review of 1143 parapharyngeal space tumors reported over 20 years. Oral Oncol. 2014;50(5):421–430.
  7. Curtin H. Separation of the masticator space from the parapharyngeal space. Radiology. 1987;163(1):195–204.
  8. Kuet M, Kasbekar A, Masterson L, et al. Management of tumors arising from the parapharyngeal space: A systematic review of 1,293 cases reported over 25 years. Laryngoscope. 2015;125(6):1372–1381.
  9. Safneck J, Alguacil-Garcia A, Dort J, et al. Solitary fibrous tumour: report of two new locations in the upper respiratory tract. J Laryngol Otol. 1993;107(3):252–256.
  10. Olsen K. How to choose a surgical approach to a parapharyngeal space mass. Pearls and Pitfalls in Head and Neck Surgery. 2012;156–157.
  11. Russell W, Cohen J, Enzinger F, et al. A clinical and pathological staging system for soft tissue sarcomas. Cancer. 1977;40(4):1562–70.
  12. Al-Sinawi A, Johns A. Parapharyngeal solitary fibrous tumour: an incidental finding at ENT examination. J Laryngol Otol. 1994;108(4):344–347
  13. Tripathy N, Gupta N, Vijay M. Hemangiopericytoma (Solitary fibrous tumor) of parapharyngeal space: A rare tumor. Journal of Oral and Maxillofacial Surgery, Medicine, and Pathology. 2018;30(3):263–266.
  14. Van Houdt W, Westerveld C, Vrijenhoek J, et al. Prognosis of solitary fibrous tumors: a multicenter study. Ann Surg Oncol. 2013;20(13):4090–4095.
  15. Gold J, Antonescu C, Hajdu C, et al. Clinicopathologic correlates of solitary fibrous tumors. Cancer. 2002;94(4):1057–1068.
  16. Pérez-Martínez L, Pérez-Garza L, Hernández-Rodríguez V, et al. Hemangiopericitoma / tumor fibroso solitario: presentación de caso y revisión de la literatura. Arch Neurocien. 2019;24(4):36–47.
  17. Demicco E, Meyer C. Solitary fibrous tumor. American academy of opthalmology. 2022.
  18. Raveh E, Segal K, Chaimoff M, et al. Surgical approaches to the parapharyngeal space. Operative Techniques in Otolaryngology-Head and Neck Surgery. 1996;7(4):327–332.
Creative Commons Attribution License

©2022 Rodrigo, et al. This is an open access article distributed under the terms of the, which permits unrestricted use, distribution, and build upon your work non-commercially.