Submit manuscript...
Journal of
eISSN: 2379-6359

Otolaryngology-ENT Research

Case Report Volume 5 Issue 3

Plexiform Leiomyoma of the Soft Palate: A Case Study and Literature Review

Kartike Gulati, Michael Sherbin

Otolaryngology Facial Plastic Surgeon Mclaren Macomb Hospital, USA

Correspondence: Kartike Gulati Otology Neurotology Fellow Otolaryngology Facial Plastic Surgeon Paparella Ear Head and Neck Institute Mclaren Macomb Hospital, USA

Received: September 03, 2016 | Published: December 30, 2016

Citation: Gulati K, Sherbin M (2016) Plexiform Leiomyoma of the Soft Palate: A Case Study and Literature Review. J Otolaryngology ENT Res 5(3):00143. DOI: 10.15406/joentr.2016.05.00143

Download PDF

Abstract

Purpose: To present a case of Plexiform Leiomyoma found in the soft palate, the first ever documented subsite, as well as formulate management protocols by inferring relationships to similar lesions.

Method: Case study and review of English literature on plexiform leiomyoma along with various benign plexiform lesions.

Result: We report a case of plexiform leiomyoma, which was found in the soft palate after the patient presented incidentally with concurrent hypertrophic tonsillitis having signs of odynophagia, sleep disordered breathing, and chronic sore throat. After bilateral tonsillectomy and complete excisional biopsy of soft palate mass, the entity was found, and through literature review of similar tumors, managed correctly.

Conclusion:The head and neck region is a rare subsite for a benign plexiform lesion. The most common plexiform lesion is the plexiform neurofibroma in the head and neck. The case discusses the different benign plexiform lesions in the head and neck region, and plexiform leiomyoma found in all regions of the body, to help draw possible insight on management as well as review the differences between these lesions.

Keywords: plexiform leiomyoma, soft palate, plexiform neurofibroma, plexiform lesion, hypertrophic tonsillitis, maxillary sinus, nasopharynx

Introduction

Benign plexiform lesion may describe a rare tumor based on morphological features. Plexiform arrangement may suggest lesions which are spindled and focally show some whorling and fascicular pattern.1 Literature has provided a vast differential diagnosis of plexiform lesion some of which include schwannoma, fibrohistiocytic tumors, angiomyxoid tumors, fibromyxoma.2‒5 Plexiform neurofibroma is another plexiform tumor shown to have predilection for the head and neck region. Case reports have shown plexiform neurofibromas in areas including, but not limited to the neck, parotid gland, aretynoid, maxillary sinus, and tongue.6‒10 Morphological features of a plexiform neurofibroma with an immunoreactivity profile for desmin and smooth muscle actin produces a rare variant of a benign plexiform lesion called plexiform leiomyoma. Plexiform leiomyoma’s presence has only been documented in the uterus and esophagus.1‒11 The following case study demonstrates the first ever finding of a plexiform leiomyoma outside the gastrointestinal tract and uterus located on the soft palate.

Case report

A 14-year-old African American male -accompanied by his mother-arrived at the Ear Nose and Throat clinic secondary to chronic sore throat. The patient also complained of an enlarging mass noted in the oral cavity for the past 3months. Symptoms included odynophagia, increased difficulty in breathing with signs and symptoms of sleep disordered breathing, decreased appetite, vocal changes, and night sweats. Past medical history was significant for attention deficit hyperactivity disorder (ADHD) for which he was taking Strattera, Zoloft, and Risperdal. No previous surgeries were reported. The patient’s mother admitted to tobacco use within the home. The patient had no history of tobacco use. Examination showed large bilateral enlarged cryptic tonsils noted to be 2+ in size.12 A large painless soft palate mass on the left extending into the nasopharynx which also appeared lymphoid and cryptic was present measuring 3.5 X 1.5cm on visual exam. There was no clear connection between the left tonsil and soft palate mass. Fiberoptic Laryngoscopy did not present any glottic or supraglottic masses. The patient’s true vocal folds showed good mobility. No airway obstruction was noted. The patient was subsequently taken to the operating room for a bilateral tonsillectomy and an excisional biopsy of the left soft palate mass with T and B cell markers to rule out lymphoma.

The pathological outcome for both tonsils was lymphoid hyperplasia. Gross examination for the left soft palate mass showed a pink-tan, soft, multilobulated, polypoid portion of smooth, shiny, rubbery tissue that measured 3.0 x 2.7 x 2.0cm. A sectioned portion of the specimen revealed multinodular, tan, rubbery, whorled cut surfaces (Figure 1 & 2). The initial pathologic diagnosis of the left soft palate mass was a benign plexiform lesion, however, the negative staining for S100 (Figure 3) and positive staining for smooth muscle actin (Figure 4) suggested myofibroblastic differentiation. Morphological features of the mass suggested a plexiform neurofibroma. Hence, combining the morphologic appearance with the findings from the Immunostains a new diagnosis favored plexiform leiomyoma.

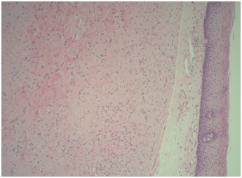
Figure 1 Soft palate plexiform leiomyoma-Sub mucosal tumor. (Hematoxylin and Eosin stain, Magnification x 100).

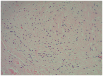
Figure 2 Soft palate plexiform leiomyoma. (Hematoxylin and Eosin stain, Magnification x 400).

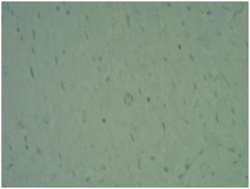
Figure 3 Soft palate plexiform leiomyoma. (S100 Negative Stain).

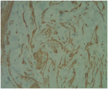
Figure 4 Soft palate plexiform leiomyoma. (Smooth Muscle Actin Positive Stain).

Discussion

Lesions with a plexiform arrangement are described as spindled and focally show some whorling and fascicular pattern.1 Generally a lesion with a plexiform arrangement in the head and neck region suggests a diagnosis of plexiform neurofibroma and is virtually path gnomonic for neurofibromatosis type I.13 A diagnosis of a plexiform leiomyoma has the same morphological characteristics as a plexiform neurofibroma, but stains for smooth muscle markers.11,14,15 Similarly, literature review shows there are many lesions containing a plexiform arrangement in the head and neck region. A case study by Pahwa et al.,16 describes a young male with a rare mesenchymal neoplasm in the submandibular region known as a plexiform fibrohistiocytic tumor which was originally diagnosed as a lymph node.16 This tumor generally occurs in children and young adult females, mostly in the upper extremity followed by lower extremity and head and neck region.3,17,18 The tumor displays immunoreactivity for valentine, focally for SMA and CD 68, and has features of myofibroblasts and histoicyte-like cells.17,18 A negative S-100 helped to differentiate plexiform fibrohistiocytic tumor from plexiform neurofibroma, plexiform schwannoma and cellular neurothekeoma.18

Based on literature review the most common plexiform lesion in the head and neck region is likely the plexiform neurofibroma. One study states that plexiform neurofibromas are typically congenital, with approximately 50% occurring in the region of the head, neck, face, larynx.7 Although no documented case has been made of a plexiform neurofibroma on the soft palate, it has been described in the oral cavity including the lower lip,19 tongue and oropharynx.9 Plexiform neurofibroma has also been found in the maxillary sinus,8 intraparotid,7 and arytenoids.10 These cases presented with a mass gradually progressing in size, not associated with pain similar to our case.9,19 Histologically, stains were positive for S-100 and morphological examination revealed soft tissue with multiple nerve fascicles expanded in a tortuous manner.8,10 Certain cases had a unique presentation. The case of plexiform neurofibroma on the lower lip presented as a double lip, where the diagnosis of Ascher syndrome was entertained initially, but ruled out as the patient had no blepharochalsis or nontoxic thyroid enlargement.19 Kapetanakis S et al.,2 describes only one of two cases of a plexiform lesion found on the soft palate described as a plexiform schwannoma.2 This case demonstrated a 21year old female who presented with a painless soft palate swelling for 14months gradually increasing in size. Excision revealed a well encapsulated mass with plexiform structure and tumor cells consistent with arrangement of Antoni type B cells with rare areas of Antoni type A. Immuno histochemical stain was intensely positive for S100, however, no other stains were performed likely secondary to the certainty of the diagnosis.

Various plexiform lesions exist that have not been documented in the head and neck region. This includes a plexiform angiomyxoma, and plexiform fibromyxoma. Our study documents the first plexiform leiomyoma on the soft palate. Previously, only 5 cases of plexiform leiomyoma have been reported; 3 cases in the uterus,11,15,20 2 cases in the esophagus.1,14 Similar to our soft palate lesion, specimens were described morphologically in a plexiform arrangement for example, boss elated bundles of tissue,14 whorled pattern, gyriform-like pattern,11 interlacing bands and bundles of spindle cells.1 Such descriptions were generally utilized in all non-leiomyomatous plexiform lesions. 3 of the cases were able to further categorize the plexiform lesion into a plexiform leiomyoma solely through a positive immuno histochemical stain of smooth muscle actin (SMA),11,14,15 while the other 2 cases utilized electron microscopy to derive smooth muscle cells as the makeup of the lesion.1,20 Our case had lesional cells positive with muscle specific actin and SMA. S100 was essentially negative making plexiform schwannoma or plexiform neurofibroma less likely.1,18 The guidelines for management of a plexiform leiomyoma in the head and neck region may be drawn from a review of literature. Other plexiform lesions in the head and neck described above may add further insight regarding management. All plexiform lesions including plexiform leiomyoma’s are considered benign. Of the 5 cases of plexiform leiomyoma’s, 4 underwent complete resection secondary to symptomatology. Esophageal plexiform leiomyoma’s presented with dysphagia and were diagnosed by radiographic data, particularly the endoscopic ultrasound, which showed a sharply demarcated hypoechoic mural tumor with internal linear pattern, and no evidence of penetration into the surrounding tissue consistent with a leiomyoma.1,14 Uterine plexiform leiomyoma’s were removed by total hysterectomy as the mass caused symptoms such as pelvic organ prolapsed.15 Another case showed a uterus removed due to diffuse enlargement and two intramural well circumscribed masses one with a 4cm diameter the other 7.5cm.11 One case of uterine plexiform leiomyoma was found incidentally on endometrial curetting as the patient was experiencing temporary vaginal spotting without evidence of enlarged uterus or mass.20 Based on the above data, surgical excision was the primary mode of management mainly due to a mass causing symptoms secondary to size and location.

Plexiform neurofibroma has a greater prevalence in the head and neck region versus any other form of plexiform lesion, hence potentially valuable data on management may be drawn. It is known that 2%-5% of benign peripheral nerve sheath tumors has potential for malignant transformation particularly with pain, which is a reliable indicator for malignant degeneration.21 All plexiform lesions reviewed above did not present with pain. One study involving a plexiform neurofibroma intra-parotid states that malignant transformation of plexiform neurofibromas in patients with neurofibromatosis type I is seen in up to 15% of cases, and that surgery is the only effective option currently available for the treatment of plexiform neurofibroma.7 Our case study demonstrated a painless mass in soft palate. It may be reasonable to perform surgery if a mass with benign characteristics presents with pain after infection is ruled out. Cases have shown plexiform neurofibroma in the oral cavity causing upper airway obstruction as observed in the tongue, along with our case report which involved hypertrophic tonsils along with the soft palate mass. Due to the known deleterious neurological and cardiovascular effects of upper airway obstruction, surgical excision is preferred. Plexiform neurofibromas are non-radiosensitive and given their slow growth rates, only limited benefit has been observed with chemotherapy.22 Our case of the plexiform leiomyoma was partially well encapsulated based on pathologic analysis, however, it is noted the plexiform neurofibromas are infiltrative in nature with tumor recurrence occurring after surgery. Wise et al.,6 noted that 25% of plexiform neurofibromas <5cm recurred on average after 3years and that 100% of plexiform neurofibromas >5cm recurred on average after 3.1years.6 Due to the infiltrative nature these lesions may have, a study by Citak et al.,23 claims interferon alpha is an alternative way to manage children with plexiform neurofibromas as radiotherapy proved deleterious secondary to the effects on bone and soft tissue in a child, surgery success being limited to tumor regrowth, and medical management being ineffective. This study, however, does not mention cost or side effects and mentions only progressive plexiform neurofibromas were eligible to enter which may be a small subset of plexiform neurofibromas.23 The option of medical therapy whether or not adjunctive with surgery using interferon alpha, for example, may be beneficial in case a plexiform lesion reoccurs and has margins difficult to excise.

Conclusion

We have reported the first case of a plexiform leiomyoma in the soft palate. Only 5 reported cases of plexiform leiomyoma have been previously mentioned and, as in our case, excision has been performed secondary to symptomatology due to size and location of the lesion. Histo-pathologically, this lesion is benign in nature. The lesion is morphologically similar to a common head and neck plexiform lesion called plexiform neurofibroma distinguished differently only be histologic staining. Further studies need to be performed on understanding plexiform leiomyoma’s, including similarities between plexiform neurofibromas, in order to evolve an organized step-wise diagnosis and management plan.

Acknowledgments

None.

Conflicts of interest

Author declares there are no conflicts of interest.

Funding

None.

References

  1. Higa S, Matsumoto M, Tamai O, et al. Plexiform leiomyoma of the esophagus: a peculiar gross variant simulating plexiform neurofibroma. J Gastroenterol. 1996;31(1):100‒104.
  2. Kapetanakis S, Vasileiadis I, Petousis A, et al. (multinodular) schwannoma of soft palate. Report of a case. Folia Med (Plovdiv). 2012;54(3):62‒64.
  3. Moosavi C, Jha P, Fanburg-Smith JC. An update on plexiform fibrohistiocytic tumor and addition of 66 new cases from the Armed Forces Institute of Pathology, in honor of Franz M. Enzinger, MD. Ann Diagn Pathol. 2007;11(5):313‒319.
  4. Yoshida A, Klimstra DS, Antonescu CR. Plexiform angiomyxoid tumor of the stomach. Am J Surg Pathol. 2008;32(12):1910‒1912.
  5. Miettinen M, Makhlouf HR, Sobin LH, et al. Plexiform fibromyxoma: a distinctive benign gastric antral neoplasm not to be confused with a myxoid GIST. Am J Surg Pathol. 2009;33(11):1624‒1632.
  6. Wise JB, Cryer JE, Belasco JB, et al. Management of head and neck plexiform neurofibromas in pediatric patients with neurofibromatosis type 1. Arch Otolaryngol Head Neck Surg. 2005;131(8):712‒718.
  7. Fadda MT, Verdino G, Mustazza MC, et al. Intra-parotid facial nerve multiple plexiform neurofibroma in patient with NF1. Int J Pediatr Otorhinolaryngol. 2008;72(5):553‒557.
  8. Hachem RN, Bared A, Zeitouni J, et al. Single-stage total endoscopic resection of a plexiform neurofibroma of the maxillary sinus in a child with type 1 neurofibromatosis. Int J Pediatr Otorhinolaryngol. 2010;74(4):426‒429.
  9. Sharma SC, Srinivasan S. Isolated plexiform neurofibroma of tongue and oropharynx: a rare manifestation of von Recklinghausen's disease. J Otolaryngol. 1998;27(2):81‒84.
  10. Son HY, Shim HS, Kim JP, et al. Synchronous plexiform neurofibroma in the arytenoids and neurofibroma in the parapharynx in a patient with non-neurofibromatosis: a case report. J Med Case Rep. 2013;7(1):15.
  11. Nagel H, Brinck U, Lüthje D, et al. lexiform leiomyoma of the uterus in a patient with breast carcinoma: case report and review of the literature. Pathology. 1999;31(3):292‒294.
  12. Chan J, Edman JC, Koltai PJ. Obstructive sleep apnea in children. Am Fam Physician. 2004;69(5):1147‒1154.
  13. Lin V, Daniel S, Forte V. Is a plexiform neurofibroma pathognomonic of neurofibromatosis type I? Laryngoscope. 2004;114(8):1410‒1414.
  14. Jaroszewski DE. Plexiform leiomyoma of the esophagus: a complex radiographic, pathologic and endoscopic diagnosis. Ann Diagn Pathol. 2011;15(5):342‒346.
  15. Simon RA, Sung CJ, Lawrence WD, et al. Vascular plexiform leiomyoma mimicking uterine tumor resembling ovarian sex cord tumor. Ann Diagn Pathol . 2010;14(5):355‒357.
  16. Pahwa R, Khurana N. Plexiform fibrohistiocytic tumor in the submandibular region: A rare diagnosis. Indian J Otolaryngol Head Neck Surg. 2010;62(2):189‒190.
  17. Remstein ED, Arndt CA, Nascimento AG. Plexiform fibrohistiocytic tumor: clinicopathologic analysis of 22 cases. Am J Surg Pathol. 1999;23(6):662‒670.
  18. Taher A, Pushpanathan C. Plexiform fibrohistiocytic tumor: a brief review. Arch Pathol Lab Med. 2007;131(7):1135‒1138.
  19. Zwane NP, Noffke CE, Raubenheimer EJ. Solitary oral plexiform neurofibroma: review of literature and report of a case. Oral Oncol. 2011;47(6):449‒451.
  20. Bychkov V. Plexiform leiomyoma in endometrial curetting. Acta Obstet Gynecol Scand. 1986;65(8):877‒878.
  21. Sirinoglu H, Bayramicli M. Isolated plexiform neurofibroma of the tongue. J Craniofac Surg. 2010;21(3):926‒927.
  22. DeBella K, Szudek J, Friedman JM. Use of the national institutes of health criteria for diagnosis of neurofibromatosis 1 in children. Pediatrics. 2000;105(3 Pt 1):608‒614.
  23. Citak EC, Oguz A, Karadeniz C, et al. Management of plexiform neurofibroma with interferon alpha. Pediatr Hematol Oncol. 2008;25(7):673‒678.
Creative Commons Attribution License

©2016 Gulati, et al. This is an open access article distributed under the terms of the, which permits unrestricted use, distribution, and build upon your work non-commercially.