Mini Review Volume 14 Issue 2
1Department of Oral medicine and Radiology, Kerala university of Health Sciences, India
2Department of Oral medicine and Radiology, Century International Institute of Dental Science and Research Centre, India
Correspondence: Jilssa Shaji, Department of Oral medicine and radiology, Kerala university of Health Sciences, India
Received: July 13, 2022 | Published: August 3, 2022
Citation: Shaji J, Balakrishnan G, Halim N. Potentially -malignant disorders. J Otolaryngol ENT Res. 2022;14(2):44-47 DOI: 10.15406/joentr.2022.14.00504
Keywords: precancerous lesion, precancerous condition, leukoplakia, erythroplakia, osmf, dyskeratosis congenita, actinic cheilitis, lichen planus
It has been known for over a century that oral cancer may develop in areas of pre-existing mucosal pathology in oral cavity. In 1805 European physicians named it as “pre cancer”1 Later in 1978 WHO classified these lesions in to two broad groups as pre-cancerous lesion and pre-cancerous conditions with the following definitions1 Pre-cancerous lesion ;“morphologically altered tissue in which cancer is more likely to occur than its apparently normal counterparts” e.g.: leukoplakia, erythroplakia2 Pre -cancerous condition – “a generalized state associated with a significantly increased risk of cancer” e.g.: OSMF, OLP (Oral leukoplakia), dyskeratosis congenita, SLE (systemic lupus erythematosus)2 There is no certainty that all precancerous lesions will eventually develop in to oral cancer. Thus, In 2005 the WHO merged the term lesions and conditions to represent all the clinical manifestation, that carry a risk to oral cancer as oral potentially malignant disorders”1,3 “OPMDs are defined as any oral mucosal abnormality that is associated with statistically increased risk of developing oral cancer”3
Epidemiology
Epidemiological studies have shown that 4.476% of the world’s population may have OPMD’s4. Among them majority of cases are reported in the South Asian population with predilection for males. The current global prevalence of leukoplakia is 4.11%, erythroplakia 0.17%, Oral lichen planus 1.01%, and OSMF 4.96%.4 The overall malignant transformation of OPMD’s is 7.9%.5
Etiology
The most commonly described etiology of pre-malignant oral lesion are cigarette smoking, tobacco and alcohol consumption. Leukoplakia and erythroplakia are associated with use of tobacco either in smoke or smokeless form together with chronic alcohol consumption.6 Arecanut have been recognized as one of the most important risk factor of OSMF.7 Though the etiology of Proliferative Verrucous Leukoplakia remains unclear, presence of HPV 16 and EBV virus have been detected in 89% and 60% of PVL samples respectively.8 Immunological illness, malnutrition, psychological stress and infection are considered as probable causative factor of OLP.
Pathogenesis
Oral cavity is lined by stratified squamous epithelium which is extremely sensitive to carcinogenic insult. Exposure to tobacco, alcohol, betelnut and HPV virus may cause dysplastic changes in epithelium which may eventually progress to carcinoma in-situ and finally to oral cancer if followed long enough. Various molecular abnormalities are associated with development of pre malignant lesions which includes alternation in the chromosomal region with tumor suppressor genes, or protooncogenes.9 Genomic changes involve chromosomal deletion of 3p14 and 9p21 region in leukoplakia, p53 mutation in leukoplakia10 as well as erythroplakia,11 expression of TGF-β in OSMF,12 mutation of DKC-1gene in dyskeratosis congenita and deletion of p14 in proliferative verrucous leukoplakia. Besides genomic changes and protein abnormalities, telomerase activity13 and aneuploidy14 are also reported in OPMDs, as over expression of telomerase enzyme maintains the structure and function of telomeres and prevents apoptosis of cancerous cells.
Tobacco associated lesions
Leukoplakia
a predominantly white, non-scrapable lesion of the oral mucosa that cannot be characterized clinically or histologically as any other definable lesión.15 This lesion is seen most often in middle aged and older men. Depending on the clinical presentation, leukoplakia can be divided in to homogenous and non-homogenous forms.16 Homogenous form displays a uniform pattern of reaction throughout lesion with a uniform white patch and shallow ridges in the epithelium17 (Figure 1). The non-homogenous form is of 3 types (1) Speckled with mixed white and red appearance on the surface but predominantly white (2) Nodular with small polypoid outgrowth (3) Verrucous with wrinkled or corrugated surface appearance. Common site of occurrence is commissure, buccal mucosa, lips, tongue, palate, alveolar ridge, floor of mouth, gingiva.6
Erythroplakia
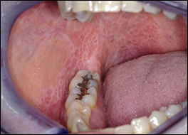
Predominantly bright red velvety plaque lesion of oral mucosa that cannot be characterized clinically or histologically as any other definable lesion.15,18 Erythroplakia most frequently occur in male aged 50-70. Common site of involvement is tongue, buccal mucosa, floor of mouth, retromolar pad, and soft palate. In some people the lesion is associated with burning sensation17,19 (Figure 2).
Palatal keratosis associated with reverse smoking
Seen in patients of low socio-economic class and is more common in females especially after 3rd decade of life. Lesion associated with habit present as palatal keratosis, excrescence, leukoplakia and ulcerations to frank malignancy. Most commonly affected areas are the palate and tongue. Risk of malignant transformation is 19 times more than that of smokers.16 The above discussed lesion (tobacco pouch keratosis and palatal keratosis) are generally not considered as OPMD.However there is a chance of being either wrongly diagnosed or neglected. To high lighten their presence, it is included in the description.3
Smokeless tobacco keratosis (Tobacco pouch keratosis)
Smokeless tobacco keratosis is characterized by a white plaque in the buccal or labial vestibule where the tobacco is held. This entity observed in 60% of stuff dippers.16 Risk of developing OSCC is 4 times greater in smokeless tobacco users compared to non-users .In 98% of patients breaking the habit leads to normal mucosa within 2-6 weeks.
Non tobacco associated lesions
Proliferative verrucous leukoplakia (PVL)
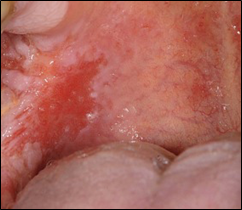
Aggressive form of oral leukoplakia. Most patients with PVL, occurs more frequently on the gingiva20 (Figure 3).
Oral lichen planus
Ranges from asymptomatic reticular white lesion in the atrophic mucosa to erosive ulcerative areas while the most characteristic feature is the presence of lace like network of fine white lines called Wickham striae.15 Lesions are frequently bilaterally symmetrical.17 Clinical variants of OLP includes reticular, erosive, papular, and plaque like. Patients may present with burning sensation of oral mucosa. Frequently of malignant potential is 0.3% to 3%19 (Figure 4).
Oral submucous fibrosis (OSMF)
Chronic disease affecting any part of oral cavity and sometimes pharynx and oesophagus. It is characterized by a mucosal rigidity of varying intensity due to fibro-elastic changes in the juxta epithelial layer resulting in a progressive inability to open the mouth.15 It has a malignant transformation rate of about 0.5-0.6%.16 Clinical symptoms include, burning sensation in the mouth while consuming spicy food, excessive salivation, restricted tongue movement, depapillation, blanching of oral mucosa, fibrous band in the buccal mucosa, deviation of uvula and soft palate, hearing loss due to stenosis of eustachian tube, gradual reduction in mouth opening17,19 (Figure 5).
Candida leukoplakia (chronic hyperplastic candidiasis)
Chronic form of candidiasis which is characterized by firm, non -scrapable, white leathery plaques on the cheeks, lips, palate, tongue. Generally epithelial dysplasia occurs 4-5 times more frequently in candida leukoplakia than in leukoplakia. It resolves completely following antifungal therapy.16
Actinic cheilitis
Premalignant condition frequently involving the lower lip. The main clinical presentation is diffuse poorly -defined atrophic erosive, ulcerative, keratotic plaques.15 Actinic cheilitis is one of the main cause of lip cancer. Long term ultraviolet exposure is the main etiological factor for actinic cheilitis.16,21
Dyskeratosis congenita
It is a rare inherited disease which is characterized by the classic triad of nail, dystrophy, reticular skin pigmentation and oral leukoplakia.15 Oral lesion as white keratotic patches occur in about 80% of cases.22 Typically, the buccal mucosa, tongue and oropharynx are affected. It has an increased potential of malignant transformation.16
Lupus erythematosus
It is a chronic immunological disorder that mainly consists of 3 types i.e., systemic, drug induced and discoid. Oral manifestation of SLE show ulceration, honeycomb plaques, non -specific erythema, purpura, petechiae. Oral manifestation of discoid LE are called “oral discoid lesions”.15 The presence of white keratinised plaque with elevated border and peripheral telangiectasia are all common clinical features of oral discoid lesion. Malignant transformation of DLE into SCC is observed on the lower lip.19
Diagnosis
Diagnosis of premalignant oral lesion consists of physical examination and biopsy. Various advanced diagnostic aid in detection of OMPD include vital staining, Lugols’ iodine staining, chemiluminescence, Velscope, Vizilite, Fluorescence, Spectroscopy etc. Yet, biopsy is considered as the gold standard in diagnosis.23 Tissue sampling is warranted to rule out frank malignancy. If moderate or severe dysplasia is present on the histopathology, excisional biopsy with appropriate margins should be strongly considered to formally exclude malignancy. Computed tomography from the skull base to the clavicle is recommended if malignancy is suspected or if the cervical adenopathy is present.19
Management
Treatment of potentially malignant disorder is focussed mainly on the prevention of oral carcinoma. The need for treatment is primarily based on the degree of dysplasia present on the histopathology.24,25 The proposed interventions include, cessation of risk factors, medical treatment (topical or systemic) surgical excision (scalpel, cryosurgery, photodynamic therapy, laser surgery) and follow up.19 Primarily level of management of any OPMDs’ is the elimination of risk factors including alcohol, tobacco, and betelnut.19,26 Tobacco cessation method is an important one which includes behaviour management and pharmacological means. In lesions that present mild dysplasia more conservative measure should be taken such as clinical follow up. However, patients with high-risk lesions excisional biopsy are the management of choice. Several non- surgical treatments including NSAIDs’ retinoids, and systemic lycopene may be effective.24 Lichen planus in a particular maybe managed with topical corticosteroids with varying degree of success. There is no effective treatment for dyskeratosis congenita. However, surgery and treatment with Bleomycin, Vitamin A, steroids, have been recommended.26
It is estimated that most of all cancers world-wide can be prevented through early detection, as it provides a greater chance of initiating early and successful treatment. But OPMDs are often undiagnosed due to lack of public awareness and due to lack of knowledge among medical professional. Prognosis and patient survival are directly related to stage and grade of cancer at initial diagnosis. Thus, accurate diagnosis and timely treatment is very important to prevent transformation of OPMDs’ into OSCC.
None.
The authors declared no potential conflict of interest.
None.
©2022 Shaji, et al. This is an open access article distributed under the terms of the, which permits unrestricted use, distribution, and build upon your work non-commercially.