Submit manuscript...
Journal of
eISSN: 2379-6359

Otolaryngology-ENT Research

Case Report Volume 2 Issue 5

Skull and soft tissue metastasis of an occult follicular thyroid carcinoma: a case report

Keyvan Mostofi

Department of Neurosurgery, Clinique chirurgicale de Bel Air, France

Correspondence: Keyvan Mostofi, Department of Neurosurgery, Clinique chirurgicale de Bel Air, Angouleme, France, Tel 0680575180

Received: April 05, 2015 | Published: May 28, 2015

Citation: Mostofi K. Skull and soft tissue metastasis of an occult follicular thyroid carcinoma: a case report. J Otolaryngol ENT Res. 2015;2(5):162-164. DOI: 10.15406/joentr.2015.02.00037

Download PDF

Abstract

Follicular thyroid carcinoma (FTC) is the second most common cancer of the thyroid after papillary carcinoma. Skull metastasis of thyroid carcinoma is rare and only about 1.7% of patients with differentiated thyroid carcinoma present bone metastasis. We present a very rare case of skull and soft tissue metastasis from an occult FTC in a 60-year-old female with 4years follow-up.

Keywords: skull metastasis, follicular thyroid carcinoma, tumor

Introduction

Follicular thyroid carcinoma (FTC) is the second most common cancer of the thyroid after papillary carcinoma. The incidence of FTC has been estimated to be 33-35% by recent studies.1‒7 According to Ito et al.,8 there are two types of FTC: minimally invasive FTC and widely invasive. Among them, minimally invasive FTC is most common whereas widely invasive one, which is less frequent type, is very aggressive and has a poor prognosis. FTC is more common in women and occurs in middle aged adults.6,7,9 Bone metastasis is the second frequent type of metastasis after lung metastasis.1‒7,9‒13 Skull metastasis of thyroid carcinoma is rare and only about 1.7% of patients with differentiated thyroid carcinoma present bone metastasis.3‒6 Few cases are reported. Metastasis of FTC is often osteolytic. The differential diagnosis of lytic skull lesions is skull metastasis from lung, breast and prostate.

We present a case of skull and soft tissue metastasis from an occult FTC with 4years follow-up.

Case report

A 60-year-old female patient native of St. Lucia was admitted in the department of Neurosurgery with a mass in the left parietal bone. There was no other medical history of note for this patient. The patient had discovered the mass herself three months ago. She had no other complaints. The mass measured 4cm x 5cm x 5cm approximately and was firm in consistency but lessstiff than bone tissue. Systemic and neurological examinations revealed no other abnormalities. Routine blood tests turned out to be normal.

MRI demonstrated a lytic extra dural mass with contrast enhancement, eroding bone and slight cerebral tissue shift (Figure 1). Thoracoabdominal CT was normal.

Figure 1 Sagittal T1 weighted magnetic resonance image (MRI) showing the mass with invasion of the scalp (arrows).

During surgery, we found an extra dural bone lytic lesion. The dura- mater was intact and was not invaded by the tumor. On the other hand, we found tumor invasion in the scalp. In fact, the normal tissue was not recognizable beside the tumor. We removed the tumour completely and scratched and coagulated the inner layer of scalp about 2cm around the resection. Therefore the resection was macroscopically complete.

The frozen section pieces taken from the inner layer of the scalp as well as the tumour itself showed the existence of thyroid tumour cells with signs of malignancy. We therefore decided to excision of the scalp on a broad base of it (8x8cm) (Figure 2).

Figure 2 Scalp and head after total removal the tumor and removed scalp and scraped bone.

We performed a scalp expansion to cover the resected portion of the scalp.

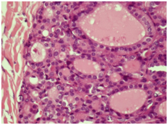
Histological examination showed the metastatic origin from a follicular carcinoma of the thyroid with extracapsular spread, nuclear polymorphism and increased nucleo-cytoplasmic ratio (Figure 3).

Figure 3 Vesicular appearance with marked cytonuclear atypia.

The patient had a second Thoracoabdominal and pelvic CT which showed no metastasis. The tumour markers showed the following results: thyroglobuline 13ng/l, antigen CEA: 2,2ng/ml. Thyroid assessment demonstrated this results: TSH: 0.7 microunity/ml, calcitonine 4 pg / mL, T4: 5.5mcg/dL T3; 3 nmol/L. Calcemia was 97mg/l.

Whole-body bone scintigraphy showed no other bone metastasis. The patient also underwent a thyroid scintigraphy with iodine-123 and technetium-99 and Ultrasound-Guided Thyroid Biopsy followed by total thyroidectomy. Surgical sampling results confirmed that there was a follicular thyroid carcinoma. The patient has been followed since her surgery. She has a substitution treatment and has an annual Whole-body bone scintigraphy and Thoracoabdominal and pelvic CT followed by biannual blood tests until four years. After four years follow-up, she is fine and has no signs of metastasis elsewhere.

Discussion

The rate of skull metastasis is around 15 - 25% in cancer patients.6 Tumors most frequently encountered are breast cancer, lung cancer, prostate cancer, thyroid cancer and melanoma.14 Follicular thyroid carcinoma (FTC) is the second most common cancer of the thyroid. Cranial metastasis of follicular thyroid carcinoma occurs about 1% of cases.1‒7,9,13,15 Nagamine et al.,16 reported 12 cases of skull metastasis of thyroid carcinoma and found a mean age of 60 years. There are very rare case reports of skull metastasis of thyroid follicular carcinoma 15,17‒20,21 while the incidence of Skull metastasis of occult follicular thyroid carcinoma is extremely rare.19,20,22 They are usually single, and asymptomatic. Diagnosis of the tumor is easy. The patient usually finds himself the tumor which is a palpable masse, loosely attached with firm consistency. On MRI preoperatively, it is an epidural lytic and vascular mass with irregular edge. The differential diagnosis of an osteolytic skull lesion are primary tumour like cholesteatom, epidermoid cyst, fibrous dysplasia and metastatic breast, lung, kidney cancer and neuroblastoma.22 Although the primary tumor is well differentiated, the prognosis is not good and the survival rate after 10years is around 27%.23‒26

The surgery is obviously principal treatment for solitary skull metastasis with complete excision because there is risk of recurrence in case of incomplete resection. If the dura-mater is not invaded, meticulous cleaning and coagulating is enough. If the dura is infiltrated, removal and reconstruction is necessary. A sufficient circumferential margin of scalp is recommended. Search of the original tumor and distant metastasis in particular bone metastasis is essential. There is no established consensus protocol about postoperative follow-up. In that case we recommend a regular postoperative follow up.

Acknowledgments

None.

Conflicts of interest

Author declares there are no conflicts of interest.

Funding

None.

References

  1. Rahmani N, Abbas Hashemi S, Fazli M, et al. Clinical management and out comes of papillary, follicular and medullary thyroid cancer surgery. Med Glas (Zenica). 2013;10(1):164‒167.
  2. Reeder M. Reeder and Felson’s gamut in radiology. Springer-Verlag New York, USA, ISBN. 2003;978‒0‒387‒95588‒9.
  3. Ruegemer JJ, Hay ID, Bergstralh EJ, et al. Distant metastases in differentiated thyroid carcinoma: a multivariate analysis of prognostic variables. J ClinEndocrinol Metab. 1988; 67(3):501‒508.
  4. Schlumberger M, Tubiana M, De Vathaire F, et al. Long term results of treatment of 283 patients with lung and bone metastases from differentiated thyroid carcinoma. J Clin Endocrinol Metab. 1986;63(4):960‒967.
  5. Shamim MS, Khursheed F, Bari ME, et al. Follicular thyroid carcinoma presenting as solitary skull metastasis: report of two cases. J Pak Med Assoc. 2008;58(10):575‒577.
  6. Sisson JC, Dewaraja YK, Wizauer EJ, et al. Thyroid carcinoma metastasis to skull with infringement of brain: treatment with radioiodine. Thyroid. 2009;19(3):297‒303.
  7. Soyder A, Unübol M, Sen O, et al. The predictive value of the clinical features of malignancy in cases of preoperative follicular thyroid neoplasia. Minerva Chir. 2012;67(6):475‒480.
  8. Ito Y, Hirokawa M, Masuoka H, et al. Distant metastasis at diagnosis and large tumor size are significant prognostic factors of widely invasive follicular thyroid carcinoma. Endocr J. 2013;60(6):829‒833.
  9. Tai P, Mould RF, Prysyazhnyuk A Ye, et al. Descriptive epidemiology of thyroid carcinoma. Current Oncology. 2003;10:54‒65.
  10. Niederle B, Roka R, Schemper M, et al. Surgical treatment of distant metastases in differentiated thyroid cancer: indication and results. Surgery. 1986;100(6):1088‒1089.
  11. Ogawa Y, Sugawara T, Seki H, et al. Thyroid follicular carcinoma metastasized to the lung, skull, and brain 12 years after initial treatment for thyroid gland--case report. Neurol Med Chir (Tokyo). 2006;46(6):302‒305.
  12. Ozdemir N, Senoğlu M, Acar UD, et al. Skull metastasis of follicular thyroid carcinoma. Acta Neurochir (Wien). 2004;146(10):1155‒1158.
  13. Portocarrero-Ortiz L, Garcia-Lopez R, Romero-Vargas S, et al. Thyroid follicular carcinoma presenting as skull and dural metastasis mimicking a meningioma: a case report. J Neuroonco. 2009;l95(2):281‒284.
  14. Wang CY, Wu GY, Shen MJ, et al. Comparison of distribution characteristics of metastatic bone lesions between breast and prostate carcinomas. Oncol Lett. 2013;5(1):391‒397.
  15. Venkatesh S, Leavens ME, Samaan NA. Brain metastases in patients with well-differentiated thyroid carcinoma: study of 11 cases. Eur J Surg Oncol. 1990;16(5):448‒450.
  16. Nagamine Y, Suzuki J, katakura R, et al. Skull metastasis of thyroid carcinoma. Study of 12 cases. J Neurosurg. 1985;63(4):526‒531.
  17. Adeloye A, Odeku EL, Williams AO. Metastatic tumours of the brain and its enveloping structures in Ibadan, Nigeria. Afr J Med Sci. 1976;5(3):181‒184.
  18. Aiyoshi Y, Ogata E. Report on a case of functioning thyroid carcinoma provoking thyrotoxicosis with review of literature. Endocrinol Jpn. 1978;25(6):623‒629.
  19. Calderón-Garcidueñas AL, González-Schaffinni MA, Farías-García R, et al. Cranial metastasis of thyroid follicular carcinoma. Report of a case. Gac Med Mex. 2001;137(4):357‒360.
  20. Inci S, Akbay A, Bertan V, et al. Solitary skull metastasis from occult thyroid carcinoma. J Neurosurg Sci. 1994;38(1):63‒66.
  21. Yamada T, Yokota F, Yambe Y, et al. Large skull metastasis of follicular thyroid carcinoma. BMJ Case Rep. 2011.
  22. Akdemir I, Erol FS, Akpolat N, et al. Skull metastasis from thyroid follicular carcinoma with difficult diagnosis of the primary lesion. Neurol Med Chir (Tokyo). 2005;45(4):205‒208.
  23. Bradley WG. Neurology in Clinical Practice: The neurological disorders. Taylor & Francis, UK, ISBN. 2004;9997625897.
  24. Kim SH, Kosnik E, Madden C, et al. Lytic skull metastasis from a follicular thyroid carcinoma in a child. Pediatr Neurosurg. 1998;28(2):84‒88.
  25. Kruter RH, Liedtke M, De Castro JA, et al.T3 hyperthyroidism and thyroid cancer. Clin Endocrinol (Oxf). 1982;16(2):121‒125.
  26. Wong GK, Boet R, Poon WS, et al.Lytic skull metastasis secondary to thyroid carcinoma in an adolescent. Hong Kong Med J. 2002;8(2):149‒151.
Creative Commons Attribution License

©2015 Mostofi. This is an open access article distributed under the terms of the, which permits unrestricted use, distribution, and build upon your work non-commercially.