Submit manuscript...
Journal of
eISSN: 2379-6359

Otolaryngology-ENT Research

Case Report Volume 2 Issue 2

Spontaneous uvula, soft palate and pharynx hematoma

Huseyin Gunizi

Baskent University Alanya Medical Center, Turkey

Correspondence: Huseyin Gunizi, Baskent University Alanya Medical Center, Saray Mh. Yunus Emre Cd No:1, 07400 Alanya/Antalya, Turkey

Received: January 14, 2015 | Published: February 9, 2015

Citation: Gunizi H. Spontaneous uvula, soft palate and pharynx hematoma. J Otolaryngol ENT Res. 2015;2(2):67-68. DOI: 10.15406/joentr.2015.02.00016

Download PDF

Abstract

In patients who receive hemodialysis, incidence of bleeding disorders is increased and the complications include various systemic bleeding. In these patients, an important factor that increases the severity of hemorrhage is chronic systemic heparinization. Hemorrhage that involves respiratory tract causes a severe clinical manifestation due to the risk of airway obstruction. Hematoma that involves uvula, soft palate and pharynx is a rare complication. Uvula hematomas which develop after trauma or thrombolytic therapy have been reported in the literature.1‒4 Here, we present a case receiving hemodialysis for 12years and has spontaneous submucosal hematomas that involves uvula, soft palate and posterior wall of oropharynx as a rare but serious complication due to heparin that involves uvula, soft palate and posterior wall of oropharynx.

Case presentation

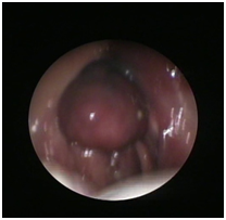
Eighty year-old male patient presented to our emergency department with dysphagia and dyspnea. The patient was diagnosed with chronic renal failure 12 years ago and had been receiving hemodialysis. Last hemodialysis with heparin was received 8 hours ago and the patient started to get the feeling of something stuck in the throat and had dyspnea. In examination, a hematoma on uvula and soft palate that significantly obstructed oropharynx, and 2x3 cm submucosal hematoma on posterior wall of oropharynx were observed (Figure 1). In fiberoptic laryngoscopy, larynx was normal and rima glottis was not obstructed. In anamnesis, there was no dental intervention or trauma history. Oxygen saturation was determined as 98%, body temperature was normal. Due to high saturation and open air passage, emergency tracheotomy or laryngeal intubation was not considered. In laboratory analysis, prothtrombin time (PT) was 18.3 seconds, active partial thromboplastin time (APTT) was immeasurably long (>200). Hemoglobin was 10.6, leukocyte count was 7190, thrombocyte count was 225.000, BUN was 31mg/dL, creatinine was 5.2mg/dL , Na was 140mEq/L, K was 4.7mEq/L. Due to normal oxygen saturation, emergency surgery was not considered. The patient was transferrred to the ward due to high APTT, and fresh frozen plasma replacement was performed. Parenteral steroid and antibiotic therapy were initiated. Dialysis without anticoagulant was performed during follow-up period. Hematomas on uvula, soft palate and oropharynx were resolved. Physical examination and laboratory findings of the patient recovered expeditiously and APTT value was decreased to therapeutic levels, so the patient was discharged and advised to come back for policlinic controls.

Figure 1 Uvula hematoma.

Introduction

At the present time, anticoagulation is needed to prevent coagulation during hemodialysis. However, this administration may cause various bleeding complications. Patients must be evaluated for the risk of bleeding before anticoagulation administration. The administration should be adjusted not to cause bleeding and not to worsen the bleeding. Patients with active blood loss such as gastrointestinal bleeding, patients who had surgical intervention within three days, patients with pericarditis, patients who had head injury and with hemorrhagic diathesis are at high-risk for bleeding and hemodialysis should be performed without anticoagulation in such patients.5

Discussion

Incidence of bleeding disorders have increased and the complications include various systemic bleeding. In these patients, an important factor that increases the severity of hemorrhage is chronic systemic heparinization during hemodialysis. Systemic heparinization is commonly used to prevent cardiovascular and cerebrovascular diseases. However, various systemic bleeding complications may occur due to thrombocyte function disorder that develops secondary to heparin administration.6 Hemorrhaegic diathesis in renal failure usually cause gastrointestinal bleeding and subdural hematoma. In the literature, uvula, soft palatine and pharynx hematomas are rarely seen.1,6‒8 Hematomas in these regions develop following trauma and thrombotic therapy. Soft palate, uvula and pharyngeal hematomas cause various clinical manifestations according to hematoma size, localization and formation rate. Control process is challenging because of hematoma formation and airway obstruction that develops secondary to hematoma formation. It may become a life-threatening complication and require urgent intervention.

In patients with mild and moderate obstruction findings, treatment approach is generally evaluation of airway with flexible laryngoscopy and then monitoring of respiratory status and fresh frozen plasma transfusion to correct the existing coagulopathy. Prophylactic antibiotic therapy should be initiated.

There are studies which have reported that in case of submucosal hematoma, awake fiberoptic intubation is safe.9 In this complication, firstly the airway of the patient should be taken under control. If the airway is significantly obstructed by the hematoma and intubation is impossible, emergency tracheostomy may be required. In the literature, it has been reported that in case of severe tongue hematoma and significantly obstructed airway, patients require urgent intervention.7,10‒11 However, in patients without significant airway obstruction, coagulopathy management and follow-up would be enough.

Researchers have reported that surgical drainage is not safe in respiratory tract hematomas, that it worsens the obstruction and causes complications such as rehemorrhage. Evgeni et al. has reported that after early surgical drainage, the case was complicated with systemic infection.9 It has been observed that non-operative approach is more useful in such patients. It may be perfomed at a later date in the absence of spontaneous drainage of hematoma. Hematomas are generally resolved spontaneuosly short time after withdrawal of anticoagulant administration. Gill et al.,12 has reported that uvula hematoma has developed in a patient receiving thrombolytic therapy due to acute myocard infarction. Hematoma development was attributed to the trauma during laryngeal intubation and uvulectomy was performed in the patient. In the literature, some researchers state that routine tracheotomy/cricothyrotomy should be performed in patients with hemorrhage and hematoma that may cause airway obstruction.13‒15 However, prophylactic intubation may increase the hematoma development due to existing hemorrhagic diathesis, and compromise the airway. Tracheotomy procedure may cause development of a new source of bleeding.

After hemodialysis with heparin, the pre-existing hematomas may be magnified or new hematomas may develop. Thus, hemodialysis should be performed without anticoagulation in patients with high-risk of bleeding and who are considered to have a risk of bleeding.

Patients with active blood loss such as gastrointestinal bleeding, patients who had surgical intervention within three days, patients with pericarditis, patients who had head injury and with hemorrhagic diathesis are at high-risk for bleeding and hemodialysis should be performed without anticoagulation in these patients. Regional heparinization as an alternative dialysis method is performed instead of hemodialysis without heparin -but not too often.

Conclusion

Serious complications may occur due to hemorrhagic diathesis development in patients receiving hemodialysis. Hemodialysis should be performed without anticoagulation in patients with high-risk of bleeding and who are considered to have a risk of bleeding. We believe that airway must be maintained in cases of hematoma which compromises the airway.

Acknowledgements

None.

Conflits of interest

The authors declare that there are no conflicts of interest.

References

  1. Gray P. An unusual case of traumatic haematoma of soft palate. J Laryngol Otol. 1991;105(12):1116–1117.
  2. Pervis J, Mason JD, Jones NS. Streptokinase and Facial Heamatoma. Postgrad Med J. 1995;71(832):114–115.
  3. Gill P, Sadler P. Uvula hematoma: an unusual complication of streptokinase. Anesth Analg. 1999;89(2):307–308.
  4. Kayrak M, Ulgen MS, Yazici M, et al. Uvula haematoma: a rare complication after thrombolysis and intensive anti-platelet treatment. Ann Card Anaesth. 2007;10(2):140–141.
  5.  Sanders PW, Curtis JJ. Management of anticoagulation for hemodialysis. Dialysis Therapy. In: Nissenson AR, Fine RN, editors, Mosby-Year Book Inc., USA: St Louis; p. 49–52.
  6. Onoyama K, Ibayashi S, Nanishi F, et al. Cerebral hemorrhage in patients on maintenance hemodialysis. CT analysis of 25 cases. Eur Neurol. 2007;26(3):171–175.
  7.  Saah D, Elidan J, Braverman I, et al. Traumatic macroglossia. Ann Otol Rhinol Laryngol. 1993;102(9):729–730.
  8. Kaya M, Ceylan M, Kocak SN, et al. Antikoagulan Tedaviye Bagli Farinks Hematomu: Olgu Sunumu. Turk J Anaesth Reanim. 40(5):287–289.
  9. Evgeni B, Leonid K, Schwartz A, et al. Spontaneous sublingual hematoma: Surgical or non-surgical management? International Journal of Case Reports and Images. 2012;3(1):1–4.
  10. Williams PJ, Jani P, McGlashan J. Lingual haematoma following treatment with streptokinase and heparin;anaesthetic management. Anaesthesia. 1994;49(5):417–418.
  11. Ahmed J, Philpott J, Lew-Gor S, et al. Airway obstruction: a rare complication of thrombolytic therapy. J Laryngol Otol. 2005;119:819–821.
  12. Gill P, Sadler P. Uvula hematoma: an unusual complication of streptokinase. Anesth Analg. 1999;89(2):307–308.
  13. Rosenbaum L, Thurman P, Krantz SB. Upper airway obstruction as a complication of oral anticoagulation therapy. Report of three cases. Arch İntern Med. 1979;139(10):1151–1153.
  14. Duong TC, Burtch GD, Shatney CH. Upper-airway obstruction as a complication of oral anticoagulation therapy. Crit Care Med. 1986;14(9):830–831.
  15. Uppal Hs, Ayshford CA, Syed MA. Spontaneous supraglottic haemorrhage in a patient receving warfarin sodium treatment. Emerg Med J. 2001;18(5):406–407.
Creative Commons Attribution License

©2015 Gunizi. This is an open access article distributed under the terms of the, which permits unrestricted use, distribution, and build upon your work non-commercially.