Submit manuscript...
Journal of
eISSN: 2379-6359

Otolaryngology-ENT Research

Case Report Volume 11 Issue 2

Synovial sarcoma of the para pharyngeal space: a case report and literature review

Anass Chaouki, Merzouqui B, Zouhair N, Beghdad M, Abada R, Rouadi S, Roubal M, Mahtar M

Department of ENT, University Hospital Centre IBN ROCHD, North Africa

Correspondence: Anass Chaouki, Department of ENT, Hassan 2 university casablanca morocco, hay essalam yasmine NR 06 appart 05, Morocco, Tel 618984627

Received: January 28, 2019 | Published: March 26, 2019

Citation: Chaouki A, Merzouqui B, Zouhair N, et al. Synovial sarcoma of the para pharyngeal space: a case report and literature review. J Otolaryngol ENT Res.2019;11(2):116?117. DOI: 10.15406/joentr.2019.11.00419

Download PDF

Abstract

Synovial sarcoma (SS) is a malignant neoplasm that arises from primitive pluripotential mesenchymal cells . It is a high-grade histological variety of sarcoma and it accounts for 7-10% of all soft tissue sarcomas. Head and neck locations represent only 0.7% to 10% of all cases. Primary parapharyngeal synovial sarcoma (PPSS) is rare representing only 0.5% of all tumors of the head and neck region. We describe through a clinical case the clinical, radiological and histological features of PPSS and we discuss its therapeutic management.

Keywords: synovial sarcoma, parapharyngeal space, surgery, radiation therapy, chemotherapy

Introduction

Synovial Sarcoma is a rare malignant tumor. It occurs in adolescents and young adults. Limbs and extremities are the most commonly affected site. Head and neck locations represent only 0.7% to 10% of all cases. Synovial Sarcoma of the parapharyngeal space is rare representing only 0.5% of all tumors of the head and neck region.1,2 The aim of our presentation is to describe through a clinical case the clinical, radiological and histological features of parapharyngeal Synovial Sarcoma and to discuss its therapeutic management.

Case report

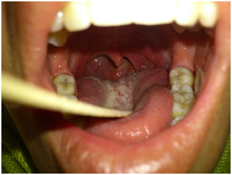
A 23-year-old female, with no relevant medical history, presented to the ENT out patient clinic for neck pain and left otalgia for the past 1 year, dysphagia for solids, snoring and dysphonia for the past 4months. Her general state was marked by significant weight loss. Clinical examination found a bulging of the left posterolateral wall of the pharynx with a regular mucosa. (Figure 1) There were no paralysis of cranial nerves nor abnormalities at otoscopy. Cervico-facial CT scan show a heterogeneous mass of the left parapharyngeal and retropharyngeal spaces of the oro and hypopharynx, measuring 6cm of diameter evoking a necrotic tumor (Figure 2). Endoscopy of the upper aero-digestive ways revealed a regular bulging with an intact mucosa of the posterolateral wall of the oro and hypopharynx with no laryngeal involvement. Deep biopsy -after incision of the mucosa- revealed a monophasic mesenchymal proliferation composed mainly of uniform spindle cells forming interlacing fascicles which was consistent with synovial sarcoma after immunohistochemistry: positive for anti-CD99, anti-bcl and Anti-vimentin, negative for anti-PS 100, anti-cytokeratin, anti-desmin and anti-CD34. Extension work up including chest CT scan, abdominal ultrasonography and bone scintigraphy have not found any distant metastases. The patient underwent a chemotherapy pending for radiotherapy according to the multidisciplinary ENT-Oncology staff decision. After the 2nd cure of chemotherapy, the patient presented respiratory symptoms that prompted a chest CT scan showing multiple pulmonary metastases. Patient then underwent a palliative chemotherapy.

Figure 1 A bulging of the left posterolateral wall of the pharynx with a regular mucosa.

Figure 2 Cervico-facial CT scan-axial section: heterogeneous mass of the left parapharyngeal and retropharyngeal spaces of the oro and hypopharynx.

Discussion

Synovial sarcoma of the head and neck is rare, accounting for only less than 10% of all head and neck soft tissue sarcomas.1 It occurs mainly in young adults with a male preponderance. 3 It is first described in the head and neck by Jernstrom in 1954 in the hypopharynx.4Very few reports of primary parapharyngeal synovial sarcoma (PPSS) have been published so far, and most of these reports have been based on histological and immunocytochemical examination. Although SS are often adjacent to joints, especially around the knees, uuythey do not originate from synovial tissue but from pluripotential mesenchymal cells near or remote from articular surfaces. The lesion arises from malignant degeneration of these primitive mesenchymal cells.5,6

There are no specific features of SS of parapharyngeal space in clinical manifestations and imaging modalities.7 Tumors are usually asymptomatic until it attains sufficient volume to cause pressure effects on adjacent structures causing progressive dysphagia or even dyspnea.2 The positive diagnosis is made by histology and Immuno-histochemistry staining. The classic form of SS has biphasic (spindle and epithelial cells) and monophasic pattern.1The latter has a single cellular component which is the dominant as in our patient, it is rarer than its counterpart and difficult to identify. Because its histopathologic features are many and varied, it is often misdiagnosed as fibrosarcoma, malignant schwannoma or salivary gland tumor. Molecular analysis makes the definitive diagnosis, especially when the tumor arises in an unusual location, such as the PPSS. Ninety per cent of head and neck SS is related to a specific translocation between chromosome X and 18, t(x; 18)(p11.2;q11.2).8

Surgery is the treatment of choice even if the probability of local recurrence is very high reaching 40–80% in adult and 90% in childhood. An extensive resection is mandatory, sometimes requiring bone or nerve sacrifice. Adjuvant radiotherapy seems to have improved local control.6 Chemotherapy has no significant impact on the disease-free interval in head and neck synovial sarcomas.9 The therapeutic regimen should eventually include wide surgical excision of the tumor to ensure free-disease margins followed by radiation therapy when appropriate, with or without adjuvant chemotherapy.1

No established indication for a prophylactic neck dissection is recommended since lymph node metastases are uncommon in the natural course of the disease.10 Combined modality therapy yields better results; however, the 5-year survival rate of these patients is poor and ranges from 25% to 55%.1 High metastatic potential is seen in lung and bones. Local and regional recurrences occur approximately in 80% of cases, with lung metastasis being the usual cause of death in patients with SS of the head and neck.11,12

Favorable prognostic indicators include an early diagnosis, small tumor size (<5cm), younger age (<20years) and a wide surgical excision.1,2

Conclusion

PPSS is extremely rare in daily practice and remains difficult to diagnose. Its therapeutic protocol is not yet clearly established. It represents a real diagnostic as well as a therapeutic challenge.

Acknowledgments

None.

Conflicts of interest

The authors do not report any conflicts of interest.

References

  1. Ming Zhu, Jun Li, Ke-Jing Wang, et al. Primary synovial sarcoma of the parapharyngeal space: a clinico-pathologic study of five cases. World Journal of Surgical Oncology. 2012;10:158.
  2. Aseel Doubi, Motaz Doubi, Nabil Al Zaher, et al. Synovial sarcoma of the hard palate: The third case in the medical literature. Hematol Oncol Stem Cell Ther. 2019;12(1):60–63.
  3. Cadman NL, Soule EH, Kelly PJ. Synovial sarcoma. An analysis of 134 tumors. Cancer. 1965;18:613–627.
  4. Jernstrom P. Synovial sarcoma of the pharynx: report of a case. Am J Clin Pathol. 1954;24(8):957–961.
  5. Mohd Nor Hazman a, Jayapragasam Kasthoori Jayarani a,Gnana Kumar a, et al. Retropharyngeal synovial sarcoma-A rare location. European Journal of Radiology Extra. 2008;68:e103–e106.
  6. Agada Frank O, Karsai Laszlo, Murphy Justin, et al. Biphasic synovial sarcoma of the posterior pharyngeal wall: a case report. Ear Nose Throat J. 2005;84:302–306.
  7. Wushou A, Miao X. Tumor size predicts prognosis of head and 208 neck synovial cell sarcoma. Oncol Lett. 2015;9:381–386.
  8. Sturgis E, Potter B. Sarcomas of the head and neck region. Curr Opin Oncol. 2003;15(3):239–252.
  9. Peter B, Jeanne MK, Franco G, et al. Synovial sarcoma–identification of low and high risk groups. Cancer. 1999;85(12):2596–2607.
  10. Dei Tos AP, Dal Cin P, Sciot R, et al. Synovial sarcoma of the larynx and hypopharynx. Ann Otol Rhinol Laryngol. 1998;107(12):1080–1085.
  11. Hanada T, Iwashita M, Matsuzaki T, et al. Synovial sarcoma in the parapharyngeal space: case report and review of the literature. Auris Nasus Larynx. 1999;26(1):91–94.
  12. Lee N, Shin E. Treatment outcomes for patients with synovial sarcoma of the head and neck. Expert Rev Anticancer Ther. 2008;8(3):371–373.
Creative Commons Attribution License

©2019 Chaouki, et al. This is an open access article distributed under the terms of the, which permits unrestricted use, distribution, and build upon your work non-commercially.