Submit manuscript...
Journal of
eISSN: 2379-6359

Otolaryngology-ENT Research

Case Report Volume 6 Issue 5

Tonsillar Leiomyosarcoma with Coexistent Tuberculous Mediastinal Lymphadenopathy

Adel Alfayez,1 Abdulaziz Alenazi,2 Mohammed Alateeq,3 Fahad Altamimi4

1Otorhinolaryngology Department Imam Abdulrahman Bin Faisal University, Saudi Arabia
2College of Medicine Hail University, Saudi Arabia
3College of Medicine Hail University, Saudi Arabia
4Otorhinolaryngology Department King Saud Medical City, Saudi Arabia

Correspondence: Abdulaziz saud al Enazi ENT Resident PSMMC R3 University of Dammam KFUH Associated Editor Journal of Otolaryngology ENT Research JOENTR, USA, Tel +966-509090995

Received: February 13, 2017 | Published: April 13, 2017

Citation: Alenazi A, Alateeq M, Alfayez A, Altemami F (2017) Tonsillar Leiomyosarcoma with Coexistent Tuberculous Mediastinal Lymphadenopathy. J Otolaryngol ENT Res 6(5): 00179. DOI: 10.15406/joentr.2017.06.00179

Download PDF

Abstract

Objective: We report a case of leiomyosarcoma arising in the tonsil in a 34-year-old women.

Method: Case report and review of the English language literature (using PubMed, Ovid and Proquest databases).

Results: Case of tonsillar leiomyosarcoma coexistent tuberculous mediastinal lymphadenopathy confirmed histopathological with left tonsil leiomyosarcoma and right tonsillar caseating granuloma to be reported in the English language literature.

Conclusion: This case rise the alerts of tonsillar Tuberculosis coexistent with the possibility of malignancy tuberculosis of oral cavity especially in patients with unusual presentation.

Keywords: tonsils, leiomyosarcoma, mediastinal lymphadenopathy, tonsillectomy

Introduction

Soft tissue sarcomas of the head and neck are account for less than 10% of all soft tissue sarcomas and less than 1% of all neoplasm of this region, Eeles et al.,1 reported that Soft tissue sarcomas comprise less than 1% of head and neck malignant tumors. Leiomyosarcoma is the malignant smooth muscle tumor accounting for only 4% the head and neck sarcomas.2‒4 Tuberculosis and leiomyosarcoma occurrence in oral cavity is rare and unusual. Primary tuberculosis of the tonsil in the absence of active pulmonary tuberculosis is rare.5

Occurrence of this neoplasm in the oral cavity is exceedingly rare due to the paucity of smooth muscle content. Tuberculosis of oral cavity and upper airway is rarely seen, and tuberculous affection of palatine tonsils is extremely uncommon clinical entity.6

Leiomyosarcoma generally occurs in the female genital tract, especially in the uterus, gastrointestinal tract, retroperitoneal and rarely in the head and neck.7 In the head and neck, leiomyosarcomas have been reported within the larynx, cervical oesophagus, skin, sinonasal tract and oral cavity, with most cases arising from the latter two sites.3,4 Its presentation is unusual in head and neck and infrequency has been associated with both delayed diagnosis and misdiagnosis, the overall prognosis is poor.8 Immunohistochemical assay for actin, desmin, HHF 35 and vimentin helps in confirming the diagnosis of leiomyosarcoma.9 Early diagnosis and multimodality treatment form the basis of management.10 In the present report a new case of tonsillar leiomyosarcoma with simultaneous tuberculous mediastinal lymphadenopathy is presented with physical examination findings, diagnostic modality and management results in order to contribute and discuss the literature about this rare malignant tumor of the tonsils.

Case report

A 34-years-old Indonesian female house made presented in ER at 20/11/2015 with shortness of breath, cough and sputum for 2-3months. Patient was at her usual state of health till 3-4months back, when she started to develop shortness of breath associated with cough and sputum which was whitish to dusty in color, moderate amount and odorless. After that she starts to loss her appetite and gave a history of weight loss 3-10kg with a night sweating. There were no hemoptysis, no chest pain, no paroxysmal nocturnal dyspnea, no orthopnea and no history of contact with febrile similar condition. There was a history of admission under care of otolaryngology two weeks ago 7/11/2015 for bilateral tonsillectomy due to chronic tonsillitis and asymmetrical enlargement of tonsils. On examination: patient is febrile, underweight, not seems to be in pain or respiratory distress, pale but not jaundiced or cyanosed. She has clubbing and neck examination reveals that she has right submandibular lymphadenopathy. CVS, respiratory and abdominal exam are unremarkable. CBC shows microcytic hypochromic anemia and biochemistry shows BUN 9.6 and Creatinine 107. Chest X-ray was done and it shows bilateral nodular opacity covering both lungs field. AFB positive ++++ and PPD is negative. HIV confirmatory test positive and CD4 count 43 PCR HIV 11,000,000 copies/ml. H1N1 and MERS-Co.V are negative. Blood+urine cultures negative. Post-tonsillectomy histopathology report reveals that right tonsil shows caseating granuloma and the left tonsil shows leiomyosarcoma. On the other hand the tumor itself in the left tonsil documented as EBV positive tumor. Gross description of the right tonsil specimen consist of tonsil measured 2*2*1cm. 1 blk/all. The left tonsil specimen consist of tonsil measured 3*1.5*1.5cm. 1 blk/all. At that time the patient was diagnosed as a case of chronic TB and she receives anti-TB regimens for 6months. Unfortunately when she finished the first month, her sponsor report to the hospital that they want to send her to her mother country. The social worker was involved and the doctors explain for her the importance of completion the period for TB medications.

Discussion

Leiomyosarcomas are infrequently seen in the head and neck as there are less smooth muscle derivative structures cutting-edge these constituencies. Tuberculosis of Tonsils is very uncommon variation of extra-pulmonary TB. Tongue and palate are the common sites; however tonsillar tuberculosis stays a rare localization.11 The cause Tuberculosis of the tonsil can be from infection by contact with object having tubercle bacilli. Tonsillar TB frequently presents with sore throat and cervical lymphadenopathy. TB in tonsils usually brings tonsillar malignancy. The patient might be present with tonsillitis which is long-lasting or recurrent with enlargement of tonsils and sore throat. Influencing factors for TB tonsillitis:

  1. Bad oral hygiene
  2. Tooth extraction recently
  3. Periodontitis
  4. Leukoplakia

The clinical presentations are enlarging tonsils, sore throat, difficulty swallowing and pain during swallowing, cervical lymphadenopathy with constitutional symptom (fever - night sweat -weight loss). Diagnosis of tonsillar tuberculosis is based on histopathological results and Identification of tubercle bacilli.11‒13 Leiomyosarcomas of tonsils in TB patient is uncommon and we didn’t find a study or case report mention that the TB patient may develop tonsillar leiomyosarcoma such as in our case. Leiomyosarcomas are regularly seen in gastrointestinal and uterine. Head and neck leiomyosarcoma represent less than 1% of all malignant tumors at this site. Leiomyosarcoma in HIV patient increase in number of reported since mid-1990 and there was case report shows AIDS related EBV have association with smooth muscle tumor.14

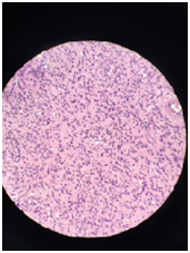
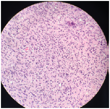
In fact our case present with chronic tonsillitis, SOB, cough and weight loss. On examination there was unilateral tonsillar hypertrophy and slough. Tonsillectomy was done then followed by histopathology investigation which shows Figure 1-4: Right tonsil reveal caseating granuloma and zeihl-neelsen stain shows AFB positive. Left tonsil reveal smooth muscle tumor consistent with leiomyosarcoma. Our patient was subsidiary finding HIV +ve. We need further studies to recognize accurately the mechanism behind this interesting case and other cases as well. We would put a query concerning this case: - is there any relation between TB patient who have HIV +ve and leiomyosarcomas?

Pathological Figures (1-4) Fascicles of spindle cells with mild to moderate atypia, surface necrosis and ulceration. Mitotic, mitosis/10 high power field.
The case was sent to higher center KFSH&RC shows EBV positivity which may raise the possibility of EBV-Associated smooth muscle tumor.

Conclusion

The clinician should remain always alert to the possibility of malignancy coexistent either primary or secondary tuberculosis of oral cavity especially in patients with unusual presentation.

Acknowledgments

None.

Conflict of interest

Author declares there are no conflicts of interest.

Funding

None.

References

  1. Krishnamurthy A, Sidappa KT. Adult soft tissue sarcoma of head and neck. Indian journal of cancer. 2011;48:284‒288.
  2. Yadav J, Bakshi J, Chouhan M, et al. Head and Neck leiomyosarcoma. Indiesn otolarngol Head and neck surg. 2011;65(Suppl 1):1‒5.
  3. Sharma R, Tyagi I, Panday CK, et al. Oropharyngeal leiomyosarcoma. Ind J Otolaryngol Head Neck Surg. 2004;56(3):230‒232.  
  4. Gavriel H, Yeheskeli E, Hermann G, et al. Leiomyosarcoma of parepharngeal space: a very rare entity. Ear Nose Throat J. 2014;93(7):E5‒E7.
  5. Kant S, Verma SK, Sanjay. Isolated Tonsil Tuberculosis. Lung India. 2008;25(4):163‒164.
  6. Das A, Das SK, Pandit S, et al. Tonsillar tuberculosis: a forgotten clinical entity. J Fam Med Primary Care. 2015;4(1):124‒126.
  7. Taghipour Zahir S, Sharahjin NS. Leiomyosarcoma of the maxilla in a 24-year-old man who initially presented with odontalgia, and suffered from tumour mismanagement. BMJ Case Rep pii: bcr. 2013;2013200933.
  8. Çöloglu H, Özkan B, Uysal A, et al. Tonsillar leiomyosarcoma. J Craniofac Surg. 2013;24(6):e561‒e564.
  9. Schenberg ME, Slootweg PJ, Koole R. Leiomyosarcoma of the Oral cavity. Report of four cases and review of the literature. J Craniomaxillofac Surg. 1993;21(8):342‒347.
  10. Divyambika CV, Sathasivasubramanian S, Krithika CL, et al. Pediatric oral leiomyosarcoma: Rare case report. J Can Res Ther. 2012;8(2):282‒285.
  11. Gupta KB, Tandon S, Jaswal TS, et al. Tuberculosis of Tonsil with Unusual Presentation. Ind J Tub. 2001;48:223‒224.
  12. Chumakov Fl, Gerasimenko NV. Isolated tuberculosis of pharyngeal and palatine tonsil. Vestn Otonnolanngol. 2000;2:58.
  13. Hajioff D, Snow Mil, Thaker H, et al. Primary tuberculosis of the posterior oropharyngeal wall. J Laryngol Otol. 1999;113(11):1029‒1030.
  14. Purgina B, Uma NM Rao, Miettinen M, et al. AIDS-Related EBV-Associated Smooth Muscle Tumors: A Review of 64 Published Cases. Pathology Research International. 2011; 2011(2011): 10.
Creative Commons Attribution License

©2017 Alenazi, et al. This is an open access article distributed under the terms of the, which permits unrestricted use, distribution, and build upon your work non-commercially.