Submit manuscript...
Journal of
eISSN: 2379-6359

Otolaryngology-ENT Research

Case Report Volume 7 Issue 6

Unsuspected Hyoid Bone Fracture Following a Sport Laryngeal Trauma

Alessandro Marcocci, Maria Emanuela Schiraldi, Francesco Fiorino

ENT Department, University of Verona, Italy

Correspondence: Alessandro Marcocci, MD, ENT Department, University of Verona, Piazzale LA Scuro, 10; 37134 Verona, Italy, Tel +393494082423

Received: February 28, 2017 | Published: June 21, 2017

Citation: Marcocci A, Schiraldi ME, Fiorino F (2017) Unsuspected Hyoid Bone Fracture Following a Sport Laryngeal Trauma. J Otolaryngol ENT Res 7(6): 00223. DOI: 10.15406/joentr.2017.07.00223

Download PDF

Abstract

A 39years old man sustained a fracture of the hyoid bone following closed neck injury while weight-lifting in the gym. Though commonly occurring in association of other neck fractures of the laryngeal skeleton, the fracture was isolated. Isolated hyoid bone fractures resulting from trauma other than strangulation are very rare, and occur more frequently in young men more than in women. These fractures are usually managed conservatively with good results, as indeed our case was.

Introduction

We present the case of an isolated hyoid bone fracture following laryngeal trauma. The patient, a 39year-old man, was weight-lifting when the barbell hit his neck causing laryngeal trauma.

Case report

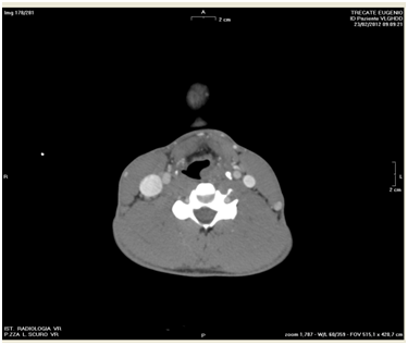
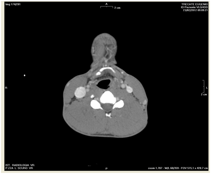
A 39year-old man was struck by a barbell at the cervico-facial junction while exercising at gym. He was referred to our ENT department after a assessment in the Emergency Department. The patient was alert and cooperative and his presenting symptoms were dysphonia, neck pain, odynophagia and dysphagia. He did not complain of shortness of breath, cough or gagging. Examination of the neck did not reveal swelling or surgical emphysema. He underwent flexible nasolaryngoscopy which showed significant swelling of the left side of larynx (left arytenoid, left aryepiglottic fold and left piriform recess). The mobility of the left vocal fold was impaired however there were no signs of compromise of the supra-glottic airway nor injury of the hypo pharynx nor bleeding. A Computerized Tomography with contrast showed isolated fracture of the hyoid bone in the right para-median region (Figure 1) and oedema of the left larynx (Figure 2).

Figure 1 The right para-median region.

Figure 2 Oedema of the left larynx.

The patient was therefore admitted to ENT department where he was started on high-dose IV Steroids (Beclometasone 4mg twice a day for three days) to reduce pain and swelling. The dose of Steroids was then gradually reduced and after a week it was suspended. We administered prophylactic IV antibiotics (Ampicillin/Sulbactam 1.5g 8hourly) and Paracetamol (1g 8hourly) as pain relief. Since the patient had a high risk of aspiration and swallowing was difficult because of pain and oedema, we kept him Nil Per Os for three days, supplementing him with IV Normal Saline and 5% Glucose solutions. After three days we repeated a nasopharyngoscopy and we observed an improvement of the laryngeal haematoma and oedema as well as a reduction of dysphagia. The patient steadily improved and he was discharged a week later. A follow up endoscopy was performed two weeks after discharge and demonstrated a complete healing of the laryngeal trauma.

Discussion

Fractures of the hyoid bone are exceedingly rare1‒4 and account for 0,002% of all fractures.5 This type of fractures is more frequent in young men than in women and is very rare in children. A recent review of literature has showed that this type of fractures are increasingly resulting from road traffic accidents, while in the past strangulation was reported to be the most frequent cause.1,2,6

Fractures of the hyoid bone are infrequent because of the anatomic location of the bone. The U-shaped bone is well protected anteriorly and laterally by the protruded mandible and posteriorly by the cervical spine.3

The anatomic relationships of the hyoid bone make it extremely difficult for an isolated fracture to occur when patients are in a relaxed position. As a result of its relationship to the surrounding structures, fractures of the hyoid bone are often associated with injuries to the mandible, cervical spine, larynx, and pharynx. These related injuries tend to be more medically urgent, and as a result, fractures of the hyoid might not be recognised immediately.3 Presenting symptoms of patients with hyoid bone fractures can vary widely.

The most common symptoms includes pain in the anterior neck, abnormalities related to swallowing such as dysphagia or odynophagia, and pain upon head rotation. The most common finding on clinical examination is tenderness during palpation of the anterior neck, visible swelling of the neck, and inability to completely rotate the head.5 Standard fibre-optic endoscopy usually reveals pharyngeal lacerations, haematomas, oedema, and fragments of the hyoid bone protruding through the pharyngeal mucosa. Several techniques have been reported to improve visualisation of the pyriform sinuses and post-cricoid areas. These techniques includes: modified Valsalva manoeuvre, Trumpet manoeuvre and skin traction. Spielmann et al.,7 recommends the use of Valsalva manoeuvre during routine nasendoscopy.

Diagnosis is usually confirmed the use of CT scans.1,2,5,8 There is no consensus on the management of hyoid bone fractures in the literature. Cases are managed individually with decisions made on the basis of associated injuries, symptoms, and potential or actual complications.5 Management decisions can be made according to the classification of the fracture.

Closed hyoid bone fractures are usually uncomplicated and managed conservatively as long as the airway is secure1. The patient may be admitted and observed for a short period of time before being discharged home. Follow up within the next two weeks will usually show recovery of symptoms and a healing hyoid fracture. Although a method for closed reduction has been described in the literature, it is not usually necessary.

In the case of an external compound fracture, the neck wound must be explored and debrided, although hyoid bone removal itself is not essential. In compound fractures involving pharyngeal lacerations, surgical treatment involves exposure debridement and drainage of the retropharyngeal space and other soft tissue spaces. A nasogastric tube can assist these patients with healing of pharyngeal lacerations and by protecting from aspiration. In a minority of cases of hyoid fracture, operative management has been reported.

Conclusion

The case presented demontrates that hyoid bone fractures are quite subtle to diagnose. Nasoendoscopy is very important to assess the airway status, to identify laryngeal injuries and as a follow up method. CT scan is the method of choice to diagnose the fracture.

To the best of our knowledge, and according to literature, nonsurgical management of the fractures of the hyoid bone is the most common method of treatment. We feel that monitoring the upper airway status is critical and it is important to admit the patient to hospital to give him close examination.

Acknowledgments

None.

Conflicts of interest

Author declares there are no conflicts of interest.

Funding

None.

References

Creative Commons Attribution License

©2017 Marcocci, et al. This is an open access article distributed under the terms of the, which permits unrestricted use, distribution, and build upon your work non-commercially.