Submit manuscript...
Journal of
eISSN: 2379-6359

Otolaryngology-ENT Research

Case Report Volume 5 Issue 1

Unusual Presentation of Intralingual Dermoid Cyst with Review of the Literature

Amit Bhojwani,1 Kevin Jensen,2 Jon Robitschek2

1Department of Otolaryngology and Facial Plastic Surgery, Rowan University School of Osteopathic Medicine, USA
2Department of Otolaryngology and Facial Plastic Surgery, Joint Base Elmendorf- Richardson, USA

Correspondence: Amit Bhojwani, Department of Otolaryngology and Facial Plastic Surgery, Rowan University School of Osteopathic Medicine, 2 East Laurel Road, Ste 2600, Stratford, NJ 08084, USA

Received: October 21, 2016 | Published: November 29, 2016

Citation: Bhojwani A, Jensen K, Robitschek J (2016) Unusual Presentation of Intralingual Dermoid Cyst with Review of the Literature. J Otolaryngol ENT Res 5(1): 00129. DOI: 10.15406/joentr.2016.05.00129

Download PDF

Abstract

We report a case of a 57-year-old female who presented with pain overlying her right temporomandibular joint as well as trismus. The patient was found to have a 2cm x 3cm cyst within her tongue musculature on CT scan that was later diagnosed as an intralingual dermoid cyst by pathology. These entities are exceedingly rare in the head and neck. A transoral midline glossotomy approach was undertaken to completely excise the cyst without complication and she had an uneventful recovery without recurrence of her cyst. This case is unique in multiple ways. First, the patient was close to 60years of age. Most of these patients are in their 2nd-3rd decade of life. Most dermoid cysts are found in the sublingual, submental space, or submandibular spaces, which is unlike our patient, who was found to have an intralingual cyst. These patients classically present with dyspnea, dysphagia, or dysphonia. Lastly, the patient presented with right TMJ pain and trismus, which were not related to the cyst itself. Thus, the cyst was an incidental finding on routine imaging.

Keywords: intralingual dermoid, dermoid cyst, epidermoid cyst, dermoid, epidermoid, sublingual, submandibular, lingual, tongue, cyst

Introduction

Dermoid cysts, a type of epidermoid cyst, are rare entities with approximately 7% found in the head and neck region.1,2 When they occur in the oral cavity, they are most often found in the floor of mouth.2,3 These cysts grow slowly, are well-circumscribed and are encapsulated.2 Moreover, they are most commonly found in the sublingual, submental, or submandibular regions.2,4 Most occur in patients between the ages of 15 and 35 and have no gender predilection.2 Often, these patients will present with dyspnea, dysphagia, or dysphonia.2,4 We report a rare case of an intralingual dermoid cyst in a patient who did not present until she was 57years of age. Upon presentation, she complained of right temporomandibular joint pain and trismus and was subsequently diagnosed with intralingual dermoid cyst.

Case report

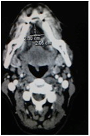
A 57-year-old Caucasian female was flown from a remote location to the emergency department for emergent consultation for a possible sublingual abscess. She complained of increasing right jaw pain and difficulty opening her jaw. The patient was afebrile and non-toxic appearing. Physical examination revealed right temporomandibular joint pain upon palpation, trismus, and slight fullness of the oral tongue and floor of the mouth. Initial laboratory data was within normal limits and was not significant for an acute inflammatory process. Computed tomography with intravenous contrast was performed and revealed a 2x3 centimeter intralingual hypodense fluid collection possibly representing an abscess (Figure 1). A trans-oral needle aspiration was performed to determine the nature of the cystic lesion. Approximately three cubic centimeters of yellow, thick, cheesy material was aspirated and sent for cytology. The patient was then discharged with a presumed diagnosis of dermoid cyst, dietary modifications for her temporomandibular joint syndrome, prophylactic oral clindamycin, and recommendation to return for surgical excision of the cyst. One week later, the patient returned to the emergency department complaining of increased swelling of the oral tongue and floor of mouth. The patient once again remained afebrile and non-toxic appearing. A repeat trans-oral needle aspiration revealed purulence and the patient was subsequently admitted to the hospital for intravenous ampicillin/sulbactam and scheduled for excision of the cyst at the next available operating time.

Figure 1(a-c) Pre-operative CT images with intravenous contrast demonstrating the intralingual fluid collection consistent with presumed abscess but post-operatively confirmed by pathology as a dermoid cyst. 

The patient was taken to the operating room and placed under general anesthesia with nasotracheal intubation. A Jennings mouth gag was utilized for exposure. A vertical incision was made directly along the ventral midline of the tongue dividing the sublingual frenulum vertically to just above the submandibular duct ampullae. The cyst was identified and circumferentially freed from the oral tongue musculature with blunt dissection. A penrose drain was placed into the intralingual space and the patient remained intubated for 24hours. Extubation the following day was uncomplicated. The cultures were positive for a common oral flora indicating contamination from the first needle aspiration. The penrose drain was removed several days later and the patient was discharged home without complication. The patient made a full recovery without post-operative complications, reported marked improvement in her temporomandibular joint pain with dietary modifications, and denied any return of oral tongue fullness. At the six-month post-operative visit, the patient exhibited no evidence of recurrence. 

Discussion

Generally, epidermoid cysts are commonly diagnosed soon after birth while dermoid cysts are often diagnosed in the young adult population.5 There are three histopathological variants of epidermoid cysts:

  1. Epidermoid cyst, which contains squamous epithelium.
  2. Dermoid cyst, which contains skin adnexa.
  3. Teratoma, which contains all three germ layers.1,5

Two theories describe the potential origin of these cysts: congenital versus acquired. Congenital cysts result from entrapment of epithelium secondary to failure of surface ectoderm regression and acquired cysts are secondary to infection or trauma.1,2,5 During the third to fourth weeks of intrauterine life, the first and second brachial arches fuse. A cyst may arise if the tissue becomes confined during the fusion. Acquired cysts are believed to arise from epithelial cell embedded in deeper tissue5,6 (Figure 2).

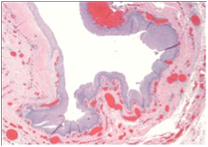
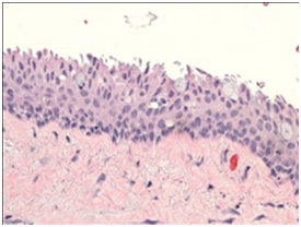
Figure 2(a & b) Pathologic confirmation of dermoid cyst. Gross examination of specimen revealed a pink-tan cyst measuring 2.2 x 2 x 1.5 centimeters. Histologic examination showed squamous epithelium with scattered mucous glands consistent with dermoid cyst.

The differential diagnosis of such lesions is extensive and includes salivary gland tumor, infectious process, mucocele, ranula, cystic hygroma, duplication foregut cyst, thyroglossal duct cyst, and branchial cleft cyst.6,7 Although rare, dermoid cyst must be kept in mind in the differential diagnosis when a patient presents with enlargement of his/her tongue. Initial imaging studies are helpful in operative planning and differential diagnosis. Ultrasound imaging may help differentiate cysts from other entities such as vascular, cystic, or solid lesions.6 The appearance of dermoid cyst on ultrasound will demonstrate multiple echogenic nodules within the cyst.8 A CT and/or MRI scan provides characteristics of the lesion as well as size and anatomical relationships to surrounding structures. CT scan may show contrast enhancement of the rim of cyst.9 These masses appear well-defined and unilocular.9 Furthermore, these cysts may contain fat, calcifications, or mixed-density fluid, and may appear as a “sack of marbles,” which is pathognomonic for dermoid cyst.8 Given the extensive differential diagnosis, fine needle aspiration is an important part of the initial work-up to provide insight into the pathological nature of the lesion, thus allowing for adequate pre-operative planning for excision of the mass. However, definitive diagnosis is made upon permanent section of the cyst at the time of surgical removal. Surgical intervention requires enucleation of the entire cyst and capsule to prevent recurrence.4

On extensive review of the literature via PubMed, most cases involving the tongue itself were found to involve patients in their neonatal or infancy years.4,10 Two cases involved adults, one in his 20s and the other in his 30s, which is consistent with the presentation of most dermoid cysts.10,11 Our case is the sixth to describe a dermoid cyst in the tongue itself10 and the first case to describe a patient nearly 60years of age with this entity. Second, our patient presented with TMJ pain and trismus, but did not complain of dysphagia, dysphonia, or dyspnea secondary to compression from the mass. This clinical presentation suggests that these cysts may go unnoticed for an extended period of time and may be found incidentally. A patient may not present classically: s/he may be out of the expected age range for dermoid cyst, may present with symptoms other than trouble speaking, breathing, or swallowing, and the cyst may involve the lingual musculature instead of the floor of mouth. Given the unexpected presentation of our patient, clinicians should keep dermoid cyst in mind when considering the differential diagnosis of a sublingual or intralingual mass.

Conclusion

Most patients who are found to have dermoid cyst are between 15-35years of age and have typical signs/symptoms of airway obstruction, dysphagia, or trouble with phonation. We reviewed a case in which the patient did not follow the typical age group or clinical presentation associated with this entity. Therefore, a prudent clinician must keep in mind other entities, such as dermoid cyst, in the differential diagnosis when considering lesions in the intralingual musculature, floor of mouth, sublingual, or submandibular spaces. Further evaluation and diagnosis of these lesions can be confirmed with CT scanning and fine-needle aspiration. Surgical excision is the treatment of choice.

Acknowledgments

None.

Conflicts of interest

Author declares there are no conflicts of interest.

Funding

None.

References

  1. Jain H, Singh S, Singh A. Giant Sublingual Dermoid Cyst in Floor of the Mouth. J Maxillofac Oral Surg. 2012;11(2):235‒237.
  2. Vieira EM, Borges AH, Volpato LE, et al. Unusual Dermoid Cyst in Oral Cavity. Case Rep Pathol. 2014;2014:389752.
  3. Jadwani S, Misra B, Kallianpur S, et al. Dermoid Cyst of the Floor of the Mouth with Abundant Hair: A Case Report. J Maxillofac Oral Surg. 2009;8(4):388‒389.
  4. Ohta N, Watanabe T, Ito T, et al. A Case of Sublingual Dermoid Cyst: Extending the Limits of the Oral Approach. Case Rep Otolaryngol. 2012;2012:634949.
  5. Akinbami BO, Omitola OG, Obiechina AE. Epidermoid Cyst of the Tongue Causing Airway Obstruction. J Maxillofac Oral Surg. 2011;10(4):349‒353.
  6. Sergio M Lima, Bruno R Chrcanovic, Alfredo MB de Paula, et al. Dermoid Cyst of the Floor of the Mouth. The Scientific World Journal. 2003;3(2003):156‒162.
  7. Myssiorek D, Lee J, Wasserman P, et al. Intralingual Dermoid Cysts: A Report of Two New Cases. Ear Nose Throat J. 2000;79(5):380‒383.
  8. Mirza S, Fadl S, Napaki S, et al. Case Report of Complicated Epidermoid Cyst of the Floor of the Mouth: Radiology-Histopathology Correlation. Qatar Med J. 2014;2014(1):12‒16.
  9. Mittal MK, Malik A, Sureka B, et al. Cystic Masses of Neck: A Pictorial Review. Indian J Radiol Imaging. 2012;22(4):334‒343.
  10. Arya AA, Babanagare SV, Naik C, et al. Hair Discharging from the Frenulum: Unusual Presentation of a Lingual Dermoid Cyst. Natl J Maxillofac Surg. 2014;5(2):251‒253.
  11. Z Sun, L Sun, Y Gao, et al. Lingual dermoid cyst with congenital discharging sinus: a rare entity. J Laryngol Otol. 2013;127(2):211‒214.
Creative Commons Attribution License

©2016 Bhojwani, et al. This is an open access article distributed under the terms of the, which permits unrestricted use, distribution, and build upon your work non-commercially.