Submit manuscript...
Journal of
eISSN: 2379-6359

Otolaryngology-ENT Research

Case Report Volume 9 Issue 4

Venous Angioleiomyoma of the Auricle: A Case Report

Mohannad Al Qudah,1 Samah Rjoub,2 Faisal Knaan,2 Mohammed Al Ameri1

1Department of Special Surgery Division of ORL HNS Jordan University of Science Technology, Jordan
2Department of Pathology Jordan University of Science Technology, Jordan

Correspondence: Mohannad Al Qudah Professor of Otolaryngology Department of Special Surgery Jordan University of Science Technology P O Box 3030 Irbid 22110 Jordan, Tel 0096 2 27200600

Received: October 16, 2017 | Published: December 13, 2017

Citation: Al-Ameri M, Rjoub S, Knaan F, Al-Qudah M (2017) Venous Angioleiomyoma of the Auricle: A Case Report. J Otolaryngol ENT Res 9(4): 00295. DOI: 10.15406/joentr.2017.09.00295

Download PDF

Abstract

Angioleiomyoma is a relatively uncommon benign tumor of smooth muscle that arises from the muscularis layer of blood vessel walls. It is usually seen in the lower extremity. Auricular angioleiomyoma is very rare with only a few cases have been described in the literature.

We herein report a case of 37-year-old healthy gentleman who presented with painless, slowly growing left auricular mass at the helix and diagnosed with angioleiomyoma based on pathological confirmation after the mass being excised with primary closure under local anesthesia.

Introduction

Angioleiomyoma, also known as vascular leiomyoma, is a rare, benign, solitary tumor that originates from the vascular smooth muscle (tunica media). It usually presents as a painful nodule in middle age patients in the lower extremities.1 The tumor is difficult to be diagnosed clinically since it has no unique characteristics.

We report a case of a venous angioleiomyoma of the auricle of a middle age male patient and describe the clinical presentation, pathological feature and current management. To the best of our knowledge this location is extremely rare.

Case report

A 37year old medically free gentleman presented to our clinic seeking for treatment of left small purple auricular helix mass, Figure 1. The patient noted the mass 4year ago, its' size increased slowly with time, no history of pain, ulceration, bleeding or discharge. The mass was non-tender and soft on palpation. It did not show any signs of thrill or bruit. Other otolaryngology examination was unremarkable.

Figure 1 Preoperative appearance of a mass on the left auricle.

Under sterile technique with local anesthesia infiltration, a properly designed elliptical incision was made, the nodule was dissected from the skin with the aid of scissors and mini retractors, and complete surgical excision with primary closure was performed. The patient tolerated the procedure well, and he experienced no complications.

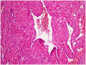
The mass measured 7mm *7mm *5mm. Microscopic examination showed variable sized blood vessels with thickening of the wall by thick muscular layer merging within smooth muscle bundles. Focal adipose metaplasia identified. No hemorrhage, necrosis, mitotic activity, vasculitis, or fibromuscular dysplasia observed, Figure 2.

Figure 2 Hematoxylin and eosin stain histopathological microscopic appearance of the lesion.

Discussion

Leiomyomas are benign tumors of smooth muscle cells that can be categorized into three clinic- pathological varieties: 1- Cutaneous leiomyomas (pilar leiomyoma, genital leiomyoma); 2- Angiomyoma (vascular leiomyoma or angioleiomyoma); and 3- Leiomyoma of deep soft tissue (somatic leiomyoma, gynecologic leiomyoma).1,2

Angioleiomyomas are smooth muscle tumors that arise from tunical media layer of small arteries and veins. They may occur anywhere in the skin or subcutaneous tissue, and account for 5% of all benign neoplasms of soft tissues. The tumors are usually small (2 to 15mm), solitary, round, firm, skin-colored, and well-encapsulated. They present commonly between third and fifth decades of life.1,2

The tumor classified into three histological types. 1-Capillary or solid: the most common type, which is closely compacted smooth muscle and many small, slit-like vascular channels. 2-Venous: thick, easily identifiable muscular walls distinguish this type. 3- Cavernous: the least common form, characterize by dilated vascular channels with less smooth muscle.1,3

Angioleiomyomas occur most frequently in the lower extremity of females with capillary form is the most commonly observed and pain is the most common presentation, whereas the venous type is the most frequent type found in the head and neck region and usually seen in males and presents with either a painless subcutaneous or submucosal nodule.3

The clinical presentation of head and neck angioleiomyoma is nonspecific, laboratory and radiological investigations are usually not helpful in diagnosis.4 Other benign subcutaneous tumors like: Fibroma, neurofibroma, neurilemmoma, pleomorphic adenoma, subcutaneous leiomyoma, hemangioma, angiofibroma, fibromyoma, leiomyoblastoma, angiomyolipoma, vascular leiomyosarcoma, lipoma, and other tumors of perivascular cells (glomus tumors and myopericytoma) are among the differential diagnosis and so carful pathological examination is needed to reach the diagnosis.4

The pathogenesis is still debated. Proliferation of smooth muscle within a haemangioma produces a vascular leiomyoma and that further proliferation produces a simple leiomyoma. There are general agreement that vascular leiomyoma arises from veins. These lesions may be hamartomas.3 Duhig and Ayer also suggest that an appreciable number of angioleiomyomas are not true tumors but are instances of vascular malformations.5 Minor trauma, venous stasis and hormonal changes especially that of estrogen have been proposed as etiological features. The presence of chronic inflammatory cell infiltrates in some lesions support the venous stasis theory.3

Conclusion

Angioleiomyomas are rare, benign smooth muscle that can be presented in the external ear as a skin nodule. The clinical presentation of angioleiomyoma is nonspecific and it is not easily to be differentiated from other benign subcutaneous tumors without pathological examination. Complete surgical excision, with primary closure when possible, is the mainstay of treatment

Conflict of interest

Author declares there are no conflicts of interest.

Financial disclosures

None.

Acknowledgment

None.

Funding

None.

References

Creative Commons Attribution License

©2017 Al-Ameri, et al. This is an open access article distributed under the terms of the, which permits unrestricted use, distribution, and build upon your work non-commercially.