Submit manuscript...
Journal of
eISSN: 2379-6359

Otolaryngology-ENT Research

Case Report Volume 4 Issue 3

Wegener’s Granulomatosis in A Saudi Patient Presenting As Refractory Chronic Rhinosinusitis Following Septoplasty and Fess – A Case Report

Mohiyuddin AQ Ali, Sultan O. Al-Harthy

ENT Department, Northwest Armed Forces Hospital, Saudi Arabia

Correspondence: Mohiyuddin A.Q. (FCPS), ENT Department, Northwest Armed Forces Hospital, PO Box 88206, Saudi Arabia

Received: June 16, 2016 | Published: July 1, 2016

Citation: Ali MAQ, Al-Harthy SO (2016) Wegener’s Granulomatosis in A Saudi Patient Presenting As Refractory Chronic Rhinosinusitis Following Septoplasty and Fess – A Case Report. J Otolaryngol ENT Res 4(3): 00101. DOI: 10.15406/joentr.2016.04.00101

Download PDF

Abstract

This is a case report of a 45year old Saudi man who presented in Northwest Armed Forces Hospital, Tabuk, Saudi Arabia with unresolving rhinosinusitis and septal perforation following FESS and Septoplasty. He later on developed pulmonary and renal problems and was at last diagnosed as having Wegener’s granulomatosis. He was put on standard treatment that resulted in remission. The purpose of this article is to highlight the fact that Wegener’s granulomatosis should be suspected if we come across a patient with chronic sinusitis refractory to treatment especially if patient develops septal perforation. A brief review of literature is also presented.

Keywords: wegener’s granulomatosis, septal perforation, encysted pneumothorax, saudi patient, c-anca

Introduction

Wegener’s granulomatosis is a rare multi-system disease that can cause diagnostic problems. It has rarely been reported from Saudi Arabia and we report this case of Wegener’s granulomatosis from Northwestern Saudi Arabia. This case report also demonstrates that sometimes this disease presents itself as refractory chronic rhinosinusitis.

Case report

A 45year old Saudi man presented to the outpatient ENT clinic of NWAFH with complaints of diffuse headache, nasal obstruction and blood-stained rhinorrhea for the last 3-4weeks after septoplasty and FESS elsewhere. The operation was done because of long-standing symptoms of nasal blockade, thick rhinnorhea, off and on facial pain, headaches and epistaxis. He also started to have right ear pain starting 3-4days prior to presentation. On examination, he was looked sick although he was afebrile. His nose was full of blood-stained mucopurulent discharge and crusts. The nasal mucosa was congested and unhealthy and there was a large septal perforation in the anterior part. The right tympanic membrane was congested and the rest of examination was normal. He had earlier taken a course of oral antibiotics after the surgery for a few days. The brain CT was normal but paranasal sinuses demonstrated sinus opacities and septal perforation. It seemed to be a case of post-operative infection. Swab was taken from nose for culture and sensitivity and he was advised antibiotics, decongestant, analgesics, frequent saline irrigations of the nose and sent home.

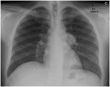
After five days patient returned with the complaints of persistent headache, nasal obstruction, rhinorrhea, right-sided otorrhea and dry cough. He was sick and but still afebrile. He was admitted and right ear swab was sent for culture and sensitivity. The nasal and ear swabs yielded no growth. He was put on IV antibiotics with nasal and antral irrigations twice-daily. His baseline blood works including CBC and renal functions were normal but ESR was 88mm. c-ANCA was sent as Wegener’s granulomatosis was also one of our differential diagnoses. Chest x-ray was within normal except for a left hilar shadow (Figure 1). Biopsy taken under local anesthesia from the edges of septal perforation was reported as non-specific inflammation.

Figure 1 Left hilar opacity.

After 5-7days, his local sinonasal symptoms improved but he was as sick as before. Besides persistent headache, he started to have progressive cough and remittent fever. He was also having occasional hemoptysis. The pulmonologists were consulted and they changed the antibiotic and advised tuberculin test, sputum analysis and culture for AFB all of which were negative. They also advised chest CT that showed left lower lung lobe cavitation (Figure 2). More biopsies were taken from the nose and sinuses under general anesthesia and the pulmonologists also did fiber-optic bronchoscopy as per prior arrangement under the same anesthesia, and it was seen that the tracheobronchial tree was congested. However, they did not take any biopsy. There was strong suspicion of pulmonary tuberculosis and anti-tuberculosis therapy was commenced. The biopsy from the nose and sinuses showed non-caseating granuloma but still there was no specific diagnosis.

Figure 2 Left lung lobe cavitation.

After about a week there was no improvement in the patient’s condition. By this time, the c-ANCA was reported as positive. Hence, a diagnosis of Wegener’s granulomatosis was made. He was then transferred to the internists’ care. Although the patient was out of our care but for the sake of interest rest of his clinical course is described from this point. Soon, he developed acute renal failure and in a matter of five days, his urea increased from 4.9mmol/L to 51mmol/L and serum creatinine to 1200umol/L. There was significant proteinuria of 6g/dl. He required hemodialysis for about two weeks and also a few sessions of plasmapheresis. His renal biopsy was done that showed crescentic glomerulonephritis (Figure 3). The nasal biopsies were sent for second opinion and also demonstrated vasculitis (Figure 4). He was put on pulsed intravenous cyclophosmamide 0.4mg/m2 and oral prednisolone 80mg OD followed by oral cyclophosmamide 100mg OD and prednisolone 60mg OD. Soon the general condition of the patient improved and his renal profile also became normal. He was then managed on out-patient basis on maintenance therapy of cyclophosmamide and prednisolone in varying doses ranging from 50-100mg OD and 20-40mg OD respectively depending upon the disease activity. For example, he had ‘flares’ of the disease in the form of left exudative pleural effusion that needed multiple tapping. It finally resolved. Then, he had left pneumothorax that was encysted (Figures 5 & 6) and it resolved on its own. Currently, 7-years on, the patient is in clinical remission and follows every month with us for decrusting of nose due to severe atrophic rhinitis.

Figure 3 Renal biopsy showing crescetic glomerulonephritis.

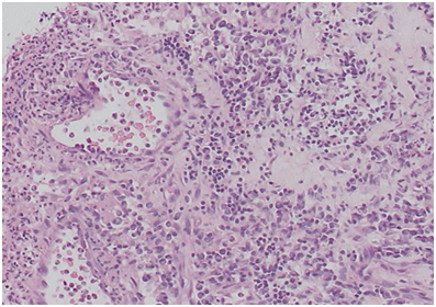
Figure 4 Nasal biopsy showing vasculitis.

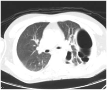
Figure 5 Left encysted pneumothorax.

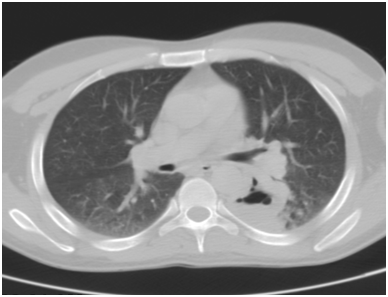
Figure 6 CT scan of this pneumothorax and other cysts.

Discussion

Wegener’s granulomatosis is a clinicopathologic complex of necrotizing granulomatous vasculitis of the upper and lower respiratory tract and glomerulonephritis.1 The patients initially present to the otolaryngologists with sinonasal symptoms2 and usually managed as chronic rhinosinusitis and some of them even undergo nasal surgeries. This goes on until someone suspects a chronic systemic disease like Wegener’s granulomatosis. Hence for early diagnosis, a high index of suspicion is required.3,4

Incidence of this disease has not been reported from Saudi Arabia. But in USA it has been estimated at approximately one to three cases per million population.5 The exact etiology is unknown but the present evidence point to an autoimmune etiology.3,6 Investigations have failed to establish association of Wegener’s granulomatosis with HLA-DR2 as reported by some researchers.3,7

The clinical presentation is quite diverse. Some patients present with constitutional symptoms such as fever, night sweats, weight loss, malaise, weakness and arthralgias.8 But the disease is classically associated with head and neck, pulmonary and renal manifestations.3 Head and neck manifestations include sinonasal features such as nasal obstruction, pain on dorsum, rhinorrhea, crusting chronic sinusitis and even collapse of nasal bridge and septal perforation. Indeed chronic sinusitis has been regarded as the ‘sentinel’ diagnosis in previously undiagnosed Wegener’s granulomatosis.3 Ears, orbit, oral cavity and larynx may also be involved. Pulmonary features include cough, hemoptysis and pleurisy. Renal involvement is not present in all the patients at the time of presentation, yet most of the patient invariably go on to develop it in some form and crescentic necrotizing glomerulonephritis and ESRD is usually the outcome in those with severe disease.8,9

Diagnosis is on high index of suspicion and requires clinicopathological correlation. Some non-specific laboratory tests such are erythrocyte sedimentation rate (ESR) and C-reactive protein (CRP) are elevated but may be normal in extensive systemic disease.3 Before the discovery of antineutrophil cytoplasmic antibodies (ANCA), biopsy of the involved site was the primary means of diagnosis and still considered important by many, but it lacks sensitivity.3 ANCA has two staining patterns – cytoplasmic (called c-ANCA) and perinuclear (called p-ANCA). A positive c-ANCA is highly sensitive and specific for Wegener’s granulomatosis, 90% and 98% respectively.3 In patients with Wegener’s granulomatosis, the c-ANCA titer may reflect disease activity and a rise in c-ANCA titer may predict a flare or relapse.6,9,10

Treatment with cyclophosphamide and prednisolone as suggested by Fauci8,11 still remains the gold standard. Initial aim is to induce remission (induction therapy) with these drugs. The duration of this treatment phase varies. But after an initial favorable response, the dose of prednisolone is tapered off so that patient is ultimately on cyclophosphamide only. Cyclophosphamide is continued for at least one year after complete remission. After that it is also tapered off to either complete discontinuance or lowest possible dose to prevent a flare (maintenance therapy).8 Others advocate a combination of prednisolone and less toxic agents such as azathiprine or methotrexate.2,3 If the patient has a relapse or ‘flare’, then he is again switched back to cyclophosphamide until the remission is re-induced. For diseased localized to upper respiratory tract, studies have shown the benefit of long term use of trimethoprim-sulphomethaxazole in preventing relapses.12 It has even seen to induce remission in early phase of the disease according to one study.13 Even in patients with severe disease, its use is beneficial for pneumocystitis carinii prophylaxis because the patient is immunocompromised as he is on long term cytotoxic agents.9 The prognosis has improved significantly after the introduction of cytotoxic agents for treatment. Now 5-year survival is more than 80% as compared to earlier 2-year mortality rate of more than 90%.8,14

Conclusion

We have reported a case of Wegener’s granulomatosis from North-western Saudi Arabia who presented initially with ENT manifestation. Wegener’s granulomatosis is a rare multi-system disease. A high index of suspicion is needed for diagnosis. C-ANCA should be sent as soon as this disease is suspected. The disease responds well to cytotoxic agents and corticosteroids and the prognosis has improved with these agents. In certain cases of chronic nasal blockade and crusting not responding to usual measures then this disease should be considered.

Acknowledgments

None.

Conflicts of interest

Author declareas there are no conflicts of interest.

Funding

None.

References

  1. Leavitt RY, Fauci AS, Bloch DA, et al. The American college of rheumatology 1990 criteria for the classification of Wegener’s granulomatosis. Arthritis Rheum. 1990;33(8):1101‒1107.
  2. McDonald TV. Granulomatous disease. In: McCaffrey T (Eds.), Rhinologic diagnosis and treatment. Thieme, New York,
    USA. 1996.
  3. Cotch MF, Hoffman GS, Yerg DE, et al. The epidemiology of Wegener’s granulomatosis. Estimates of the five-year period prevalence, annual mortality, and geographic disease distribution from population-based data sources. Arthritis Rheum. 1996;39(1):87‒92.
  4. vander Woude FJ, Rasmussen N, Lobatto S, et al. Autoantibodies against neutrophils and monocytes: tool for diagnosis and marker of disease activity in Wegener's granulomatosis. Lancet. 1985;1(8426):425‒429.
  5. Elkon KB, Sutherland DC, Rees AJ, et al. HLA antigen frequencies in systemic vasculitis: increase in HLA-DR2 in Wegener’s granulomatosis. Arthritis Rheum. 1983;26(1):102‒105.
  6. Fauci AS, Haynes BF, Katz P, et al. Wegener’s granulomatosis: prospective clinical and therapeutic experience with 85 patients for 21 years. Ann Intern Med. 1983;98(1):76‒85.
  7. Boomsma MM, Stegeman CA, van der Leij MJ, et al. Prediction of relapses in Wegener’s granulomatosis by measurement of anti-neutrophil cytoplasmic antibody levels: a prospective study. Arthritis Rheum. 2000;43(9):2025‒2033.
  8. Fauci AS, Katz P, Haynes BF, et al. Cyclophosphamide therapy of severe systemic necrotizing vasculitis. N Engl J Med. 1979;301(5):235‒238.
  9. Sangle S, Karim MY, Hughes GR, et al. Sulphamethoxazole-trimethoprim in the treatment of limited paranasal Wegener’s granulomatosis. Rheumatology (Oxford). 2002;41(5):589‒590.
  10. Reinhold-Keller E, DeGroot K, Rudert H, et al. Response to trimethoprim /sulphamethoxazole in Wegener’s granulomatosis depends on the phase of disease. QJM. 1996;89(1):15‒23.
  11. Luqmani RA, Bacon PA, Moots RJ, et al. Birmingham Vasculitis Activity Score (BVAS) in systemic necrotizing vasculitis. QJM. 1994;87(11):671‒678.
  12. Aasarod K, Iversen BM, Hammerstrom J, et al. Wegener’s granulomatosis: clinical course in 108 patients with renal involvement. Nephrol Dial Transplant. 2000;15(5):611‒618.
  13. D’Cruz DP, Baguley E, Asherson RA, et al. Ear, nose and throat symptoms in subacute Wegener’s granulomatosis. BMJ. 1989;299(6696):419‒422.
  14. Gubbels SP, Barkhuizen A, Hwang PH. Head and neck manifestations of Wegener’s granulomatosis. Otolaryngol Clin North Am. 2003;36(4):685‒705.
Creative Commons Attribution License

©2016 Ali, et al. This is an open access article distributed under the terms of the, which permits unrestricted use, distribution, and build upon your work non-commercially.