Submit manuscript...
Journal of
eISSN: 2373-4426

Pediatrics & Neonatal Care

Case Report Volume 5 Issue 5

Accidental Button Cell Ingestion Causing Perforation of Meckels Diverticulum - A Case Report and Review of Literature

Rajesh Gupta,1 Anjali Gupta,2 Archika Gupta3

1Department of surgery, B R Ambedkar University, India
2Consultant Radiologist, India
3Department of surgery, B R Ambedkar University, India

Correspondence: Rajesh Gupta, Associate Professor of Surgery, Department of Surgery, S N Medical College, Agra, 501, Raj Apartment, Delhi gate, Agra 282002, UP, India, Tel 920000000000

Received: February 16, 2016 | Published: November 9, 2016

Citation: Gupta R, Gupta A, Gupta A (2016) Accidental Button Cell Ingestion Causing Perforation of Meckels Diverticulum - A Case Report and Review of Literature. J Pediatr Neonatal Care 5(5): 00198. DOI: 10.15406/jpnc.2016.05.00198

Download PDF

Abstract

Accidental ingestion of button cells by children is quite common , majority of which passes out uneventfully. But button cell ingestion lodging inside a meckels diverticulum and causing perforation is extremely rare, with hardly 4 cases reported in world literature. A surgeon should always be wary of this possibility when an ingested button cell remains lodged in a the intestine for prolonged period of time even if the child is not symptomatic initially. We report a case where a 3 year old child had perforated meckels diverticulum due to a button cell lodged inside it.

Keywords: button cell, meckels diverticulum, perforation

Introduction

Button batteries are increasingly used in a variety of new electronic gadgets. Button cells may have a fatal outcome.1,2 Conversely, they may result in little to no ill effect on the child.3 The clinical course of a child with a button battery depends on several factors, including the location, duration of mucosal or exposure, remaining voltage in the battery, and chemical composition of the battery.1 Perforation of a Meckel’s diverticulum is known to be caused by a variety of foreign bodies like fish bones, needles etc.4 but its perforation by a button cell is very rare and hardly 4 cases have been reported so far to the best of our knowledge.5 We report a case of a three year old child who had perforation of meckels diverticulum due to a button cell lodged inside it over three days.

Case presentation

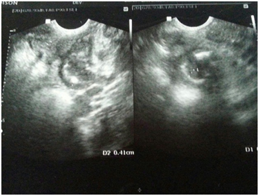
A three year old, male child was brought to the emergency with complaints of pain in abdomen for one day and non passage of stools and flatus for 2 days. There was one episode of bile tinged vomiting on the day of presentation to us. On examination, the child was sick looking, with tachycardia and mild distension of abdomen. The abdomen was guarded and tenderness present in the right para umbilical region along with a vague lump on palpation. An ultrasound was advised which revealed bowel wall thickening with mesenteric lymphadenopathy in the right iliac fossa. The thickened bowel loops showing an angulated intraluminal focus ? foreign body (Figure 1). A Xray abdomen was done which showed an oval foreign body in the mid abdomen overlying spine (Figure 2). The attendents were enquired about possibility of any foreign body ingestion and then they revealed that child had ingested a button cell, 3 days back. In view of these findings and condition of the child, decision to do a laparotomy was taken. Pre-operative routine investigations showed a leukocytosis with WBC counts of 15500 and polymorph count of 89%. Laparotomy was done under general anesthesia. There was a clump of bowel loops present in the right lumber region at the site of palpable lump on clinical examination. After adhesilysis a contained leak of bowel contents along with a perforated meckel’s diverticulum was found. The perforated site was showing a charred circular patch which was stuck up to the adjacent mesentery, which also showed similar charred area (Figure 3). On palpation of meckels diverticulum, a firm circular object was felt, which turned out to be a leaked button cell. This was lodged in the diverticulum, near its apex. The size of button cell was 1 cm x 1 cm. A segmental resection of the meckels was done with end to end anastomosis (Figure 4). The post operative recovery was uneventful. The child was discharged on post op day 7. The child has been in follow up for 2 years now and is doing well. The parents were advised to be carefull with the button cells and keep the child away from them.

Figure 1 An ultrasound showing, bowel wall thickening with mesenteric lymphadenopathy in the right iliac fossa. The thickened bowel loops showing an angulated intraluminal focus? foreign body.

Figure 2 Plain Xray showing a button cell lodged in mid abdomen.

Figure 3 Intra op picture, showing meckels diverticulum with a button cell, causing charring and perforation.

Figure 4 Segmental resection and anastomosis of perforated meckels diverticulum.

Discussion

Button cells are small coin shaped batteries used to power small portable electronic devices.6 Button batteries do not usually cause problems unless they become lodged in the GI tract. The most common place for button cells to become lodged in, and resulting in serous clinical sequels, is the esophagus.7 The mechanism of injury in these patients is liquefaction necrosis of the mucosa that occur because sodium hydroxide is generated by the electrical current produced by the battery usually at the anode surface.8,9 Most children who ingest a BB remain asymptomatic and pass the battery in their stool within 2-7 days. Button cells are most likely to lodge in oesophagus, but once they pass from it, they are likely to pass through GI tract uneventfully.10-12 Most accidents that have evolved to complications or death present the common factor that the diagnosis was delayed.13 A simple x-ray examination is the preferred method in cases of suspicion of battery ingestion, whether the patients are symptomatic or not. Between 1990 and 2009, there were more than 65,000 accidents with batteries among individuals under the age of 18 years in the United States, with an increase from 4 to 7.4 cases/100,000 children over that period.14 The first report of death resulting from ingestion of button batteries was in 1977, which occurred in the case of an infant who ingested a photographic camera battery.15 Since then, numerous reports have been published in the medical literature, with 13 fatal cases identified in a recent review study.16 Lithium batteries with their higher voltage and larger size are more liable to be impacted more, and cause more damage than conventional cells. Management of a button cell ingestion depends upon the location of lodgement. A button cell impacted in oesophagus should be removed immediatedly by endoscopy. While the cell which is lodged in stomach for more then 24 hours , should also be removed endoscopically.17

There are only 4 cases reported in world literature about a button cell, getting lodged inside a meckel’s diverticulum, and causing its perforation.17,18 Therefore , if there is history of its ingestion then a careful monitoring should be done, if xrays reveal a button cell. If the cell persists in intestine at a fixed place for few days and an exploration is warranted to prevent complications.5 Abdominal tenderness, a static position of the foreign body on repeated plain abdominal radiographs and leukocytosis are worrying features. These factors were present in our case also.17,18

In the case reported by Karaman et al.,19 the button battery perforated a Meckel’s diverticulum which was adherent to the cecum and appendix. Willis and Ho18 described an area of superficial necrosis in the ileum that probably represented a point of contact with the perforated Meckel’s diverticulum. Bülent et al reported the case where the button cell was lodged in meckels, which was stuck to proximal ileum and rectum. In our case the perforated meckels with the button cell, was stuck up to adjacent mesentery, causing localized charring. Therefore its necessary to carefully examine the adjacent loops for any evidence of injury.

Conclusion

An ingested button cell or any alkaline battery is a recipe for disaster and cannot be taken lightly. All these children require a careful monitoring for symptoms and if they seem to stuck up in any segment of intestine for a prolonged period of time and if symptoms appear, then an exploration is indicated. Presence of Meckels diverticulum should be suspected if button cells appears lodged in mid abdomen.

Acknowledgement

None.

Conflict of interest

Authors declare that there is no conflict of interest.

References

  1. Hamilton JM, Schraff SA, Notrica DM. Severe injuries from coin cell battery ingestions: 2 case reports,” J Pediatr Surg. 2009;44(3):644‒647.
  2. Soerdjbalie-Maikoe V, van Rijn RR. A case of fatal coin battery ingestion in a 2-year-old child. Forensic Sci Int. 2010;198(1-3):e19‒22.
  3. Litovitz TL. Battery ingestions: product accessibility and clinical course. Pediatrics. 1985;75(3):469‒476.
  4. Rosswick RP. Perforation of Meckel’s diverticulum by foreign bodies. Postgrad Med J. 1965;41(472):105‒107.
  5.  Ozokutan BH, Ceylan H, Yapıcı S, et al. Perforation of Meckel’s diverticulum by a button battery: Report of two cases. Ulus Travma Acil Cerrahi Derg. 2012;18(4):358‒360.
  6. Hamawandi AMH, Baram A, Karboli TA, et al. Button Battery Ingestion in Children: Experience in Kurdistan Center for Gastroenterology and Hepatology. Pediat Therapeut. 2015;5:258.
  7. Kramer RE, Lerner DG, Lin T, et al. Management of ingested foreign bodies in children: a clinical report of the NASPGHAN Endoscopy Committee. J Pediatr Gastroenterol Nutr. 2015;60(4):562‒574.
  8. Yoshikawa T, Asai S, Takekawa Y, et al. Experimental investigation of battery-induced esophageal burn injury in rabbits. Crit Care Med. 1997;25(12):2039‒2044.
  9. Tanaka J, Yamashita M, Yamashita M, et al. Esophageal electrochemical burns due to button type lithium batteries in dogs. Vet Hum Toxicol. 1998;40(4):193‒196.
  10. Barros D'Sa EA, Barros D'Sa AAB. Mercury battery ingestion. Br Med J. 1979;1:1218.
  11. Reilly DT. Mercury battery ingestion. Br Med J. 1979;1(6167):859.
  12. Litovitz T. Battery ingestions: Product accessibility and clinical course. Pediatrics. 1985;75(3):469‒476.
  13. Takesaki NA, Reis MC, Miranda ML, et al. Hemorrhagic shock secondary to button battery ingestion. Sao Paulo Med J. 2014;132(3):184‒188.
  14. Sharpe SJ, Rochette LM, Smith GA. Pediatric battery-related emergency department visits in the United States, 1990-2009. Pediatrics. 2012;129(6):1111‒1117.
  15. Blatnik DS, Toohill RJ, Lehman RH. Fatal complication from an alkaline battery foreign body in the esophagus. Ann Otol Rhinol Laryngol. 1977;86(5 Pt 1):611‒615.
  16. Brumbaugh DE, Colson SB, Sandoval JA, et al. Management of button battery-induced hemorrhage in children. J Pediatr Gastroenterol Nutr. 2000;52(5):585‒589.
  17. Litovitz T, Whitaker N, Clark L, et al. Emerging battery-ingestion hazard: clinical implications. Pediatrics. 2010;125(6):1168‒1177.
  18. Willis GA, Ho WC. Perforation of Meckel’s diverticulum by an alkaline hearing aid battery. Can Med Assoc J. 1982;126(5):497‒498.
  19. Karaman A, Karaman I, Erdoğan D, et al. Perforation of Meckel’s diverticulum by a button battery: report of a case. Surg Today. 2007;37(12):11156.
Creative Commons Attribution License

©2016 Gupta, et al. This is an open access article distributed under the terms of the, which permits unrestricted use, distribution, and build upon your work non-commercially.

Citations