Submit manuscript...
Journal of
eISSN: 2373-4426

Pediatrics & Neonatal Care

Review Article Volume 6 Issue 5

Could Increased Pyloric Transit time Differentiate Early Onset Infantile Hypertrophic Pyloric Stenosis: a Case Study and Review

Artemiy Kokhanov, Pallavi Kumar, Rita P Verma

Department of Pediatrics, Nassau University Medical Center, USA

Correspondence: Rita P. Verma, M.D.,F.A.A.P, Nassau University Medical Center, Department of Pediatrics, 2201 Hempstead turnpike, East Meadow, NY 11554, USA, Tel 5165726177

Received: February 14, 2017 | Published: April 25, 2017

Citation: Kokhanov A, Kumar P, Verma RP (2017) Could Increased Pyloric Transit time Differentiate Early Onset Infantile Hypertrophic Pyloric Stenosis: a Case Study and Review. J Pediatr Neonatal Care 6(5): 00259. DOI: 10.15406/jpnc.2017.06.00259

Download PDF

Summary

Early onset infantile hypertrophic pyloric stenosis (EOIHPS) is difficult to diagnose, as the typical triad of projectile vomiting, a pyloric mass and the ultrasonographic evidence of pyloric hypertrophy is absent. Delay in its diagnosis is associated with increased morbidity and mortality. Although almost 80 cases of EOIHPS are reported, its clinical presentation has not been been well defined. Surgical decision-making remains controversial due to lack of accepted diagnostic criteria. Further prospective studies are needed to determine definitive ultrasonographic and clinical diagnostic criteria to better establish a decision analysis algorithm. We present a case describing specific clinical features of EOIHPS compared to classic characteristics found in infantile hypertrophic pyloric stenosis (IHPS) to better distinguish and aid in the diagnosis of the disease. The review suggests that a combination of prolonged gastric transit time with normal pyloric dimensions; visible postprandial gastric peristalsis; and unrelenting regurgitative, at times projectile vomiting support the diagnosis of EOIHPS. Such a presentation might be considered for the diagnosis of EOIHPS and possibly for making decision regarding surgical intervention in the absence of untrasonographic confirmation of the morbidity.

Introduction

Infantile hypertrophic pyloric stenosis (IHPS) is a well recognized surgical condition in neonates typically presenting with post-prandial non-bilious projectile vomiting during the first 3-8weeks of life. It is the most common surgical cause of non-bilious vomiting in newborn infants.1 About 19% cases of IHPS present before 21days of life out of which 2 % are reported to occur as early as 10-14days of postnatal age.2 Such cases are difficult to diagnose as the classical triad of projectile vomiting, a palpable “olive” mass and the standard ultrasonographic evidence are almost invariably absent. Delay in the diagnosis of early onset IHPS (EOIHPS) has been associated with increased morbidity and mortality.3 The need for specific ultrasonographic diagnostic criteria for EOIHPS has been emphasized but not yet defined. Likewise, the symptomatology and presenting features of EOIHPS have not been well described in the literature. We aimed to study the clinical presentation and review the available literature in order to obtain an insight into the presentation and progression of this disease entity. The purpose was to provide a detailed clinical presentation which could be utilized to increase the index of suspicion for EOIHPS in the absence of definitive ultrasonographic evidence. 

Case report

An appropriate for gestational age male neonate was born vaginally at 39weeks of gestation with apgar scores of 9 and 9 at 1 and 5minutes of life respectively, to a 19-year-old gravida 1 para 0 female. The antenatal course and obstetrical history were noncontributory. The infant was started on feeds with enfamil 20cal/oz formula in the newborn nursery in addition to breast feeding as per mother’s preference. After the first 3-4 feedings, he developed frequent non-projectile post-prandial regurgitations of small amount of formula. The physical examination was entirely normal and no “olive “mass was palpated.

On day of life (DOL) 2, the infant suffered from one episode of forceful projectile non-bloody non-bilious emesis. The formula was empirically changed to Enfamil AR. No further projectile vomiting was noted for the next 2-3days but the infant began to display some fussiness during and immediately after feeds with small post-prandial regurgitations. Feeding was modified further and nutramigen was initiated with a provisional diagnosis of milk protein allergy. He suffered from another episode of projectile non-bloody non-bilious emesis of large amount of undigested formula on DOL 4.

The neonate was transferred to the NICU and temporarily made nil by mouth with intravenous hydration. The serum electrolytes profile was normal with serum chloride and bicarbonate levels of 100 and 22mmol/l respectively. Full strength nutramigen was restarted and tolerated well. The infant appeared healthy, displayed a normal weight gain pattern, demanded frequent feeds and fed eagerly.

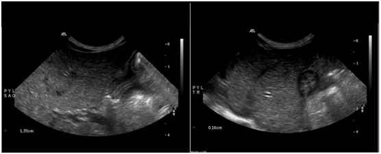
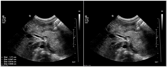
He remained relatively asymptomatic until DOL 7 after which he restarted with episodes of post-prandial non-bilious vomiting 4-5times a day, which were occasionally projectile. An ultrasonography of the abdomen on DOL 10 revealed a high normal pyloric canal length (PCL) of 14mm and a normal pyloric muscle thickness (PMT) of 2mm (Figure 1). Post prandial transmission of intraluminal content through the pylorus was mildly delayed. The radiological findings were deemed inconclusive of pyloric stenosis. Formula and breast milk were thickened. The infant began to arch his back and cry after feedings whilst he demanded frequent feeds and fed vigorously. Famotidine was started for a presumptive diagnosis of gastro esophagral reflux on DOL 11. Occasional intermittent non-bilious and projectile vomiting persisted; however, electrolytes remained normal. On physical examination visible post prandial gastric peristalsis was noted to occur starting during the first week, which became more common with increasing chronological age, but olive mass was not palpated. An upper GI series was done on DOL 17, which demonstrated holdup of ingested contrast within the stomach, though some oral contrast was visualized in the small bowel. Gastroesophageal reflux was noted up to the level of the clavicles. At this stage, evolving pyloric stenosis was suspected and a repeat abdominal ultrasonography was performed on DOL 20. Longitudinal images by sonogram demonstrated a PCL of 17mm and PMT of 3.5mm consistent with IHPS, along with a pylorus that did not distend with administration of water into the stomach (Figure 2).

Figure 1 Results of ultrasonography studies performed on day of life 10.

Figure 2 Results of ultrasonography studies performed on day of life 20.

A total of twelve episodes (<10% of total number of feedings) of projectile emesis were noted, until the definitive ultrasonographic diagnosis was established on DOL 20, and only two of these episodes occurred before DOL 7. On DOL 21, the patient underwent laparoscopic pyloromyotomy without complications. The infant was started on oral feeds at 6hours postoperatively and was advanced slowly to full feeds without any complications or vomiting. He was discharged on full feeds on DOL 24. During subsequent follow up visits at two weeks post-operatively and at 2months of postnatal age he was thriving normally with no further episodes of vomiting.

Discussion

The paucity of diagnostic information relevant to EOIHPS has been recognized and a need to generate a decision analysis algorithm using prospective studies, in order to make a definitive and timely decision for surgical intervention has been emphasized.2 The lack of specific symptomatology, atypical clinical presentation, normal ultrasonographic pyloric dimensions and absence of “olive” add to the diagnostic dilemmas. EOIHPS cases could be clinically indistinguishable from the ubiquitous gastroesophageal reflux of newborn infants, or the occasional milk protein allergy. Moreover, the index of suspicions for EOIHPS at this stage of life is low among clinicians.

EOIHPS by definition presents during the first 3weeks of life and cases occurring in utero and as early as the first day of life have been reported.4−6 Symptoms of EOIHPS rarely appear at birth.5 Leaphart et al studied 60 cases of EOIHPS with an aim to determine their specific PMT, out of which 2% were diagnosed between 10-14days of life.2 The incidence of the disease was 19% in their case series. These infants did not differ demographically from those with IHPS, but were less likely to display a palpable “olive” mass. Close relatives of such infants had a four times higher occurrence of IHPS suggesting a genetic predisposition.7 On ultrasonography (US), the thickness of pylorus in EOIHPS was measured at 3.7 ± 0.65mm at diagnosis for surgery, compared to 4.6 ± 0.82mm in IHPS (p<0.05). The authors proposed 3.5mm as a “cutoff” number for PMT in “younger patients”. They demonstrated a linear relationship of PMT and PCL with chronological age and body weight, which was corroborated by Said et al, who documented increasing PMT with weight and postnatal age in patients with IHPS.8 In our case, the PMT on DOL 10 was 2mm, which increased to 3.5mm by DOL 20, the proposed cutoff point for the diagnosis of EOIHPS. Damien et al performed a case control study of EOIHPS, which included 14 cases and confirmed the presence of family history in close relatives.9 They reported a PML of 17.1mm and PMT of 3.5 +0.2mm in their cohort. These infants had longer hospital stay compared to those with IHPS and US was diagnostic in 50% compared to 81% of controls (p=0.06). Failure to pass gastric contents was noted in all cases with EOIHPS. Neither of the two authors specified the presenting symptomatology of EOIHPS in their reports. Chan et al described a term newborn with multiple congenital anomalies who developed symptoms of vomiting, increased gastric residuals, slow gastric transit time and normal ultrasonographic pyloric dimensions with PML being 17mm and PMT 1.8mm on DOL 4.10 These increased to 2.7 and 11.7 respectively on DOL 11. Due to persistent symptoms of vomiting, the infant underwent a diagnostic exploratory surgery with confirmation and successful surgical repair of EOIHPS on DOL 14. The clinical presentation of this infant was consistent with ours in terms of unrelenting non projectile vomiting and delayed passage of intraluminal gastric contents with normal pyloric dimensions. 

The available literature on EOIHPS has been directed towards the radiographic diagnosis and its lack thereof,2,9 and not on the presenting symptomatology. It is concluded that the morbidity is difficult to diagnose as the classical triad of projectile vomiting, a palpable “olive” and the standard ultrasonographic evidence is invariably absent.2,9 Our review intended to study and document the representative early signs and symptoms and their progression in EOIHPS. In our index case, feeding difficulty started at birth and mostly consisted of variable regurgitation of gastric content in small to moderate volumes. The typical projectile vomiting appeared during the 2nd and early 3rd week of life and was noted to occur for <10% of all feedings until the ultrasonographic diagnosis was made on DOL 20. Visible gastric peristalsis after feeding was marked and invariably present after first few days of life. The passage of gastric content via pylorus was delayed in ultrasonographic examination with normal PMT and PCT measurements. Increased post prandial fussiness and arching of back were frequently noted. “Olive” was not felt at any stage. Unconjugated hyperbilirubinemia, a frequent clinical association of IHPS occurring in 14% of cases, and termed as icteropyloric syndrome, was not seen.11 The outstanding clinical picture was that of a healthy, appropriately interactive, thriving “hungry feeder and vomiter” who displayed significant post-prandial visible gastric peristalsis and radiographic evidence of delayed passage of gastric contents through pylorus in the presence of normal pyloric dimensions. A comparative analysis of our case with the clinical presentation of about 1000 recently reported cases of IHPS tables 1 and 2 revealed that the common features of the latter were those of projective vomiting, palpable olive mass, abnormal US and electrolyte anomalies, with some occurrences of visible gastric peristalsis.3,12−16 In a report including 329 diagnosed patients of IHPS, at least 1 sign or symptom of the classic triad of olive mass, projectile vomiting and visible peristalsis was present in 87% of patients and only 17% had the complete triad.12 The mean age at presentation of IHPS was 5weeks. In comparison, the cases of EOIHPS occurred before 3weeks of life2,9,10 and the persistent vomiting was generally non projectile.9,10 Post prandial visible gastric peristalsis was consistently present and was associated with slow ultrasonographic passage of intraluminal gastric contents with normal pyloric measurements in all 16 reported cases, including ours.9,10

Research Studies
(Year, Number of Cases)

Projectile Vomiting (%)

Palpable Olive
Mass, (%)

Gastric Peristalsis
Before Emesis, (%)

Electrolyte Abnormalities
(%)

Weight Loss,
(%)

Hematemesis,
(%)

Dehydration,
(%)

Abnormal Pyloric Measurements in Ultrasound,
(%)

Chalya et al.,3102

100

23.5

44.4

Hypokalemia: 66
Hyponatremia: 40
Hypochloremia: 33.3

72.5

-

58.8

100

Glatstein et al.,15 118

97

13.6

-

Hypochloremia: 23
Met. alkalosis: 14.4

-

-

8

100

Gotley et al.,12 329

79

44

25

Hyponatremia: 13
Hypochloremia: 29
Met. alkalosis: 61

-

-

36

89

Papadakis et al.,13  100

-

-

-

Hypokalemia: 3
Hypochloremia: 9.0
Met. alkalosis: 10

-

-

-

96

Shaoul et al.,16 70

67

50

-

Hypochloremia: 32
Met. alkalosis: 20

-

-

18

100

Singh et al.,1444

100

72.7

63.6

Hypokalemia: 61.4
Hyponatremia: 52.3

-

-

-

100

Hypochloremia: 77.7
Met. alkalosis: 78.8

Taylo, et al.,17 362

-

48

28

-

-

16

-

-

Table 1 Clinical presentation of IHPS in recent reports are shown. Ultrasound was not performed in some cases to establish diagnosis due to high clinical index of suspicion.
When performed, it was abnormal in100% of the cases

Research Studies
(Year, Number of Cases)

Projectile Vomiting (%)

Palpable Olive
Mass, (%)

Post Prandial Gastric Peristalsis
(%)

Electrolyte anomalies (%)

Weight Loss,
(%)

Positive family History,
(%)

Dehydration,
(%)

Abnormal Pyloric measurements in Ultrasound in EOIHPS
(%)

Leaphart et al.,2 60

NR

30 vs. 70 in IHPS

NR

NR

NR

32 vs. 8 in IHPS

NR

About <5%
Mean PMT 3.7 mm at surgery vs. 4.6 mm in IHPS
Delayed passage of gastric content - not reported

Demian.,9 16

88

NR

NR

31 (metabolic alkalosis)

NR

31 vs. 0 in IHPS

NR

In 50 %, Mean PMT 3.5 mm at surgery vs. 4.9 mm in IHPS.
Delayed passage of gastric contents -100 %

Chan.,10 1

None

0

100

NR

NR

NR

NR

No
Delayed passage of gastric content- 100%

Our case

<10% of feedings

0

100

0

0

0

0

No,
Delayed passage of abdominal content -100%

Table 2 Clinical and ultrasonographic features of EOIHPS are compared with IHPS. Leaphart’s study was aimed at determining PMT and PCL in EOIHPS, whereas, Demian compared EOIHPS and IHPS cases with emphasis on radiographic evidence. Delayed passages of gastric contents with normal PMT, as well as postprandial visible gastric peristalsis were present in all cases of EOIHPS when reported
NR= not reported, PMT= pyloric muscle thickness, PCL=pyloric canal length

The outstanding dilemmas in the cases of EOIHPS are those of timely diagnosis and decision for surgery. Definitive diagnosis might not be available until surgery in certain conditions, which is undertaken due to strong clinical evidence and metabolic complications.10 Defining the elusive US criteria for EOIHPS has been proposed, which can be accomplished after comparing the progression of ultrasonographic dimensions of those infants who display the characteristic early clinical features and eventually progress on to EOIHPS, with healthy age and maturation-matched neonates. As the incidence of IHPS is about 3-10/1000, and only 19% of such cases are EOIHPS, it would require a large multicenter prospective study to achieve such conclusions.

Based on the case report and available literature, it is reasonable to suggest that in the absence of ultrasonographic evidence of abnormal PMT and PCL, increased gastric transit time, especially if associated with visible post prandial gastric peristalsis should be strongly considered for the diagnosis of EOIHPS in neonates younger than three weeks of age. We emphasize the relevance of gastric transit time in the diagnosis and differentiation of EOIHPS from those of gastroeasophageal reflux, milk protein allergy and other causes of early postnatal emesis, including evolving IHPS, and suggest increased utility of this valuable ultrasonographic finding in clinical evaluation of infants presenting with vomiting during early postnatal period. A triad of persistent vomiting, visible postprandial gastric perstalsis and increased gastric transit time in ultrasonography with a PMT of 3mm or less during the first 3weeks of life might prompt a strong index of suspicion for EOIHPS and might possibly be adjudged as an indication for surgical intervention. Future studies are indicated to further investigate and reinforce the utility of this radiographic evidences for a timely and appropriate management of the complex cases of early onset infantile hypertrophic pyloric stenosis, which present ambiguously with vomiting during the early postnatal life in newborn infants.

Acknowledgment

None.

Conflicts of interest

Author declares there are no conflicts of interest.

Funding

None.

References

  1. Peters B, Oomen MW, Bakx R, et al. Advances in Infantile Hypertrophic Pyloric Stenosis. Expert Rev Gastroenterol Hepatol. 2014;8(5):533−541.
  2. Leaphart CL, Borland K, Kane TD, et al. Hypertrophic Pyloric Stenosis in Newborns Younger Than 21 Days: Remodeling the Path of Surgical Intervention. J Pediatr Surg . 2008;43(6):998−1001.
  3. Chalya PL, Manyama M, Kayange NM, et al. Infantile Hypertrophic Pyloric Stenosis at a Tertiary Care hospital in Tanzania: A surgical Experience with 102 Patients Over a 5-Year Period. BMC Res Notes .2014; 8(1): 690.
  4. Tashjian DB, Konefal SH. Hypertrophic Pyloric Stenosis in Utero. Pediatric Surgery International. 2002;18(5−6):539−540.
  5. Ali KI, Haddad MJ. Early Infantile Hypertrophic Pyloric Stenosis: Surgery at 26 Hours of Age. Eur J Pediatr Surg. 1996;6(04):233−234.
  6. Hsu P, Klimek J, Nanan R. Infantile Hypertrophic Pyloric Stenosis: Does Size Really matter. J Paediatr Child Health . 2014;50(10): 827−828.
  7. Chung E. Infantile Hypertrophic Pyloric Stenosis: Genes and environment. Arch Dis Child. 2008;93(12):1003−1004.
  8. Said M, Shaul DB, Fujimoto M, et al. Ultrasound Measurements in Hypertrophic Pyloric Stenosis: Don't Let the Numbers Fool You. Perm J . 2012;16(3):25−27.
  9. Demian M, Nguyen S, Emil S. Early Pyloric Stenosis: A Case Control Study. Pediatr Surg Int . 2009;25(12):1053−1057.
  10. Chan SM, Chan EK, Chu WC, , et al. Hypertrophic pyloric stenosis in a newborn: a diagnostic dilemma. Hong Kong Med J. 2011;17(3):245−247.
  11. Hua L, Shi D, Bishop PR, et al. The Role of UGT1A1*28 Mutation in Jaundiced Infants with Hypertrophic Pyloric Stenosis. Pediatr Res Pediatric Research. 2005;58(5):881−884.
  12. Gotley LM, Blanch A, Kimble R,et al. Pyloric Stenosis: A Retrospective Study of an Australian Population. Emerg Med Australas. 2009;21(5): 407−413.
  13. Papadakis K, Chen EA, Luks FI, et al. The Changing Presentation of Pyloric Stenosis. Am J Emerg Med. 1999;17(1):67−69.
  14. Singh K, Singh KG, Laishram RS, et al. A Clinical Study of Infantile Hypertrophic Pyloric Stenosis. IOSR-JDMS. 2015;14(12):16−19.
  15. Glatstein M, Carbell G, Boddu SK, et al. The Changing Clinical Presentation of Hypertrophic Pyloric Stenosis: The Experience of a Large, Tertiary Care Pediatric Hospital. Clin Pediatr. 2011;50(3):192−195.
  16. Shaoul R, Enav B, Steiner Z, et al. Clinical Presentation of Pyloric Stenosis: The Change is in Our Hands. Israel Medical Association Journal (IMAJ). 2016;6(3):134−137.
  17. Taylor ND, Cass DT, Holland AJ. Infantile hypertrophic pyloric stenosis: has anything changed?” J Paediatr Child Health. 2013;49(1):33−37.
Creative Commons Attribution License

©2017 Kokhanov, et al. This is an open access article distributed under the terms of the, which permits unrestricted use, distribution, and build upon your work non-commercially.