Submit manuscript...
Journal of
eISSN: 2373-4426

Pediatrics & Neonatal Care

Case Report Volume 15 Issue 1

Hyper IgE Syndrome, emphasis on radiological findings: A case of pulmonary complications in a pediatric patient

Jennifer Richardson Maturana,1 Nathalia Jacome Perez,2 Luz Ángela Moreno Gómez,3 Rubén Danilo Montoya Cárdenas,3 Lina Maria Castaño Jaramillo,4 Carlos Enrique Camargo Crespo5

1Pediatric Radiology Fellowship, Universidad Nacional de Colombia, HOMI, Fundacion Hospital Pediátrico La Misericordia, Colombia
2Radiology Resident, University of Santander, Colombia
3Pediatric Radiology Specialist. HOMI, Fundacion Hospital Pediátrico La Misericordia, Colombia
4Pediatric Immunology Specialist, HOMI, Fundacion Hospital Pediátrico La Misericordia, Colombia
5Pediatric Neumonology Specialist, HOMI, Fundacion Hospital Pediátrico La Misericordia, Colombia

Correspondence: Jennifer Richardson Maturana, Department of Radiology, Pediatric Radiology Fellowship, Universidad Nacional de Colombia, HOMI, Fundacion Hospital Pediátrico La Misericordia, Bogotá, Colombia, Tel +573005351802

Received: March 19, 2025 | Published: April 7, 2025

Citation: Maturana JR, Perez NJ, Gómez LAM, et al. Hyper IgE Syndrome, emphasis on radiological findings: A case of pulmonary complications in a pediatric patient. J Pediatr Neonatal Care. 2025;15(1):77-80. DOI: 10.15406/jpnc.2025.15.00588

Download PDF

Abstract

Background: STAT3 hyper IgE Syndrome (STAT3-HIES), is a rare immunodeficiency that affects multiple organ systems. A clinical triad characterizes it and includes recurrent skin abscesses, frequent respiratory tract infections, and elevated levels of immunoglobulin E in the blood.

Case report: A 9-year-old female patient with STAT3-HIES was brought to the emergency department for cold abscesses. During her assessment, the patient was diagnosed with a large pneumatocele and cystic lung lesions detected by a CT scan. The patient underwent a successful surgical intervention, without complications.

Conclusions: This case underscores the importance of performing a complete and prompt evaluation along with multidisciplinary management in STAT3-HIES patients to prevent potentially life-threatening complications.

Keywords: hyper-IgE syndrome, job syndrome, signal transducer and activator of transcription 3 (STAT3)

Background

Hyper-immunoglobulin E syndrome (HIES) are a group of rare inborn errors of immunity, previously known as primary immune deficiencies, marked by high serum IgE levels (typically over 2000 IU/mL), eczema, and recurrent infections. The HIES can exhibit autosomal dominant or recessive patterns of inheritance, depending on the underlying genetic mutations.1

Autosomal dominant HIES (STAT3 deficiency)

STAT3 deficiency produces excessive pro-inflammatory cytokine production and impaired responses to certain cytokines. Variants in STAT3 are primarily missense or in-frame deletions, leading to a dominant negative effect that disrupts normal function. The presence of somatic mosaicism in some patients indicates a need for further research into genotype- phenotype correlations and the underlying mechanisms of HIES.1

The genetic cause of the autosomal dominant HIES is loss of function STAT3. A triad of symptoms characterizes the condition: recurrent staphylococcal abscesses, elevated serum immunoglobulin E (IgE) levels and recurrent respiratory infections, including pneumonia that may present with fewer symptoms, leading to advanced disease and significant lung damage before treatment, resulting in complications like pneumatoceles and bronchiectasis.1–3

The classic triad of symptoms has expanded to include various musculoskeletal and connective tissue abnormalities such as bone resorption, fractures, joint hypermobillity, Chiari malformations, dental issues; vascular anomalies; and characteristic facial features that typically develop during childhood and adolescence.2,3

Increased mortality in HIES patients, may be linked to delayed diagnosis, with reported cases of lymphoma, leukemia, and other cancers.

Laboratory abnormalities include serum IgE levels typically very high at birth, with eosinophilia frequently present, although not correlated. Other laboratory findings can vary, with normal total white blood cell counts but potential neutropenia and immunoglobulin deficiencies in some patients.3

Effective management strategies include bleach baths, antimicrobial prophylaxis, and careful monitoring of infections, with a multidisciplinary approach often required. Ongoing research is exploring the potential role of stem cell transplantation. Research into STAT3-HIES has helped scientists better understand the interactions between different signaling pathways in the immune system, improving the management of these patients.4

Autosomal recessive HIES (AR-HIES)

AR-HIES may refer to several inborn errors of immunity like DOCK8 deficiency, PGM3 deficiency, Comel Nether ton syndrome, IL-6 or IL-6 receptor deficiencies, among others. These patients typically present with elevated serum IgE and eosinophilia, but may also have recurrent or severe viral infections, and neurological complications. Some types of inborn errors of immunity that present with AR-HIES phenotype are better categorized as combined immune deficiencies and may require bone marrow transplantation.3,4

Case report

A 9-year-old female institutionalized patient with a history of STAT3-HIES was referred to the emergency room by interventional radiology to evaluate possible surgical management of lesions in the scalp and gluteal region that had evolved over more than one month, requiring multiple drainages. The patient has a past medical history of recurrent skin cold abscesses requiring drainage since the age of 2 years, oral yeast infections, and a previous episode of Staphylococcus aureus pneumonia with residual pneumatocele.

On clinical examination, the patient presented with characteristic facial features. A 7 x 5 cm mass was palpated in the occipital region of the scalp, accompanied by a serous discharge but without erythema. The right gluteal region exhibited drainage scars with mild erythema, but no pain, edema, or discharge. The oral mucosa showed candidal lesions on the lips and scattered across the cheeks; along with moderate hyper laxity. The hemogram revealed mild leukocytosis with neutrophilia. Tests for influenza and SARS-CoV-2 were negative. Kidney function was within normal limits, and elevated levels of IgE (6814 IU/mL) were found. The patient was taken for abscess drainage without complications. Cultures from the drained abscesses showed methicillin-resistant Staphylococcus aureus (MRSA) sensitive to trimethoprim/sulfamethoxazole (TMP-SMX), prompting targeted antibiotic therapy. The patient had a pathogenic loss of function variant in STAT3: c.1398C>A p. (Asn466Lys).

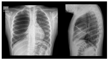
The soft tissue ultrasound of the scalp reported three collections with a total volume of 26 cc, and the gluteal ultrasound reported a small collection of 1cc. The chest x-ray showed an image of a radiolucent cyst in the apex of the right lung and middle lobe atelectasis. (Figure 1) A chest CT scan showed cystic lesions involving the right upper lobe and the segments of the left lobe, with bronchiectasis. (Figure 2)

Figure 1 Chest X-Ray.

Figure 2 CT Scan Approximate volume of 636 cc.

Given the risk of developing a spontaneous pneumothorax, and potential bacterial and fungal superinfection, a right posterolateral thoracotomy for the resection of the pulmonary cyst and the large right pneumatocele was performed. The cyst was filled with air and was firmly adhered to the upper right lobe, with a communication to the ipsilateral bronchus. Due to the firm adhesion, a right upper lobectomy was performed. The cyst was completely resected without complications besides slow healing. The procedure was completed without the need for ventilatory or vasopressor support. A postoperative chest X-ray showed adequate pulmonary re-expansion.

Discussion

STAT3-HIES, is a rare inborn error of immunity characterized by elevated serum IgE levels, recurrent infections, eczema, and various connective tissue and skeletal abnormalities. Here we present a case illustrating the pulmonary complications in a 9-year-old patient, who had experienced recurrent cold abscesses since the age of 2, along with recurrent skin and oral yeast infections. The patient presented for evaluation and treatment of abscesses in the scalp and gluteal region. During the assessment, the medical team discovered that she also had pulmonary complications, including a large pneumatocele and cystic lesions in the right upper lobe, as confirmed by imaging. While the skin abscesses were successfully drained and treated, the patient was admitted for further management of her lung complications. A right posterolateral thoracotomy was performed, leading to the resection of the pulmonary cyst and pneumatocele through a right upper lobectomy. The procedure was completed without complications, and the patient was closely monitored postoperatively to ensure adequate lung re-expansion and recovery.

The immunological dysfunction in STAT3-HIES leads to complications such as pneumonia, abscess formation, and bronchiectasis, often leading to severe outcomes and necessitating early diagnosis and comprehensive management. The connective tissue alterations may also be associated with the frequency of complications such as bronchiectasis and pneumatocele.

The role of radiologists is essential in guiding early and accurate diagnosis, as late diagnosis can significantly impair respiratory function and overall development in affected children. This case is similar to previous reports in the literature, where different patients diagnosed with STAT3-HIES also presented with a history of skin abscesses, and respiratory complications, ending up in surgery.5

STAT3-HIES is a complex medical condition, leading often to recurrent lung disease and complications; and high-resolution CT is the preferred imaging technique for assessing lung involvement in these patients. The role of CT includes detecting lung abnormalities, characterizing findings, assessing disease extent, and aiding in differential diagnosis, although it rarely provides a definitive diagnosis.6

High-resolution CT is used with a standard protocol that minimizes radiation exposure while maintaining image quality. Limiting radiation exposure in these patients is important as they may have increased malignancy rates. Common findings include bronchiectasis and peribronchial thickening. Associated signs may include centrilobular nodules and air trapping, often linked to chronic infections.6

Timely surgical intervention, combined with targeted antibiotic therapy, is essential in preventing further complications such as bronchopleural fistula and superinfections. Long- term management involves prophylactic antimicrobials and continued monitoring for recurrent infections and regular follow-ups.

Conclusions

Hyper IgE Syndrome (HIES) is a rare primary immunodeficiency disorder characterized by recurrent infections, eczema, and elevated serum IgE levels. Pulmonary complications, particularly in pediatric patients, are a major cause of morbidity and can present with distinctive radiological findings that aid in early diagnosis and management.

In this case, imaging played a crucial role in identifying the pulmonary manifestations of HIES, including:

  1. Pneumatoceles: Thin-walled cystic lesions, often secondary to recurrent bacterial pneumonia, particularly Staphylococcus aureus.
  2. Bronchiectasis: Irreversible airway dilation due to chronic infection and inflammation.
  3. Parenchymal consolidations: Suggestive of recurrent pneumonias, often with delayed resolution.
  4. Fibrotic changes: Resulting from chronic inflammatory damage, contributing to progressive respiratory dysfunction.

Recognizing these radiological patterns are essential for differentiating HIES from other immune-deficiencies and chronic pulmonary diseases. Early imaging evaluation, combined with clinical and laboratory findings, enables prompt diagnosis and tailored management, improving patient outcomes. (Appendix)

Future studies should further explore the evolution of radiologic findings in HIES and their correlation with disease severity and treatment response.

Ethics approval and consent to participate

Informed consent was obtained from the patient's parents, with subsequent approval from the ethics committee of our hospital (Fundacion Hospital la Misericordia) in minute N. 94, available to send support for this if the journal requires it.

Acknowledgments

None.

Funding

This article does not have funding for its production.

Conflicts of interest

The authors declare that they have no financial interests or personal relationships that could have influenced this work.

References

Creative Commons Attribution License

©2025 Maturana, et al. This is an open access article distributed under the terms of the, which permits unrestricted use, distribution, and build upon your work non-commercially.