Submit manuscript...
Journal of
eISSN: 2373-4426

Pediatrics & Neonatal Care

Case Report Volume 12 Issue 2

NSAIDS: Pain killers or kidney killers?

Srishti Gulati,1 Munawer Ahmed,1 Sanjeev Gulati,1 Abha Sabhiki2

1Department of Nephrology and Kidney Transplant, India
2Department of Nephrology, Pathology and Histopathology, India

Correspondence: Dr. Sanjeev Gulati, MD,DNB (Paeds), DNB,DM (Nephrology), FRCPC(Canada), FIAP, FISN, FISOT, Principal Director, Nephrology and Kidney Transplant, Fortis group of Hospitals, NCR, New Delhi, India

Received: June 06, 2022 | Published: August 5, 2022

Citation: Gulati S, Ahmed M, Gulati S, et al. NSAIDS: Pain killers or kidney killers? J Pediatr Neonatal Care. 2022;12(2):110-112. DOI: 10.15406/jpnc.2022.12.00465

Download PDF

Introduction

Acute Kidney Injury is a common complication among hospitalized children.1 It causes significant morbidity and mortality.2 Pediatric AKI may be a prerunner to CKD in later stages.3 Its etiology is often multifactorial.4,5 Drugs are often an under diagnosed and unrecognized cause of AKI in children. NSAIDs are easily available over the counter medications and are frequently prescribed in children for a variety of reasons. Of these Ibuprofen is probably the most frequently used drug in children. However there is a paucity of data regarding the risk of AKI with Ibuprofen in children, especially infants. Most of the children have developed mild Acute Kidney Injury secondary to Acute Tubular necrosis and have shown spontaneous recovery. We report here a 9 month old infant who developed severe AKI following Ibuprofen administration secondary to Tubulo Interstitial Nephritis (TIN) requiring dialysis.

Case report

A 9 month old boy was referred to our hospital from a secondary care facility on account of generalized body swelling and inability to pass urine since 48 hours. These followed a history of fever, cough, cold and vomiting 5 days back when the patients parents took the child to the local pediatrician where on investigation the child had anaemia and leucocytosis (hb 9.3, TLC 13900), and was advised oral cefixime, ibuprofen and i.v. ondansetron. After administration of the medication the boy developed decreased urine output and there was no symptomatic improvement in his condition. Laboratory investigation showed hemoglobin 10.4, TLC 14.6, platelet 6.24, BUN 121, Creatinine 5.62, Sodium 124, potassium 6.8, LDH 558, PBF examination showed microcytic and hypo chromic RBC with mild degree of anisocytosis and poikilocytosis. No tear drop or pessary cells, total counts are raised predominance of neutrophils, platelets appear to be adequate. Patient was treated with i.v. fluids. The boy continued to be anuric. Repeat Labs showed Creatinine of 6.4, BUN 123, Sodium 119, potassium 6.32, Hb 10.6, TLC 17 300. USG abdomen was suggestive of acute bilateral renal parenchymal disease with empty urinary bladder (right kidney 8.1cm, left kidney 7.7cm). AS the child showed was deteriorating clinically and remained anuric hence was airlifted to our centre.

On examination he weighed 11.7 kg. He was afebrile, conscious, irritable; had peri-orbital puffiness, anasarca, B.P. 100/40mmHg, PR 130, RR 30, Saturation 99% on room air. Rest of the systemic examination was normal CNS. Venous blood gas revealed pH 7.26, pO2 30, pCO2 31.6, HCO3 13.8, sodium 117, potassium 5.7. Laboratory reports showed Hb 9, TLC 21.2, platelet 747, CRP 65, Procalcitonin 1.53, peripherial smear showed mild anisocytosis, normocytic normochromic to microcytic hypochromic leucocytosis with mild eosinophilia. BUN 54, Creatinine 7.3, sodium 126, potassium 6.5, C3 97, C4 36.8. LFT and coagulation profile values were within normal range. Urine culture, Blood cultures were negative, urine protein/creatinine ratio was 1.24, stool sample showed no growth. Chest X ray showed no signs of pleural effusion or chest infection. Patient was initiated on intravenous antibiotics piperacillin + tazobactum. On account of low urine output (10 ml), persistent hyperkalemia (6.1meq/L) and elevated s. creatinine levels (7.0 mg/dl) decision to commence with peritoneal dialysis was taken. Single cuff PD catheter was inserted under LA and peritoneal dialysis was initiated (dwell volume of 400 ml, inflow 10 min, dwell time of 30 mins, outflow 25 min). USG abdomen was suggestive of bilateral renal disease, mild ascites, right kidney 7.8cmx3.3cm, and left kidney 7.5x3.9cm. Patient underwent 5 sessions of peritoneal dialysis during his stay in the hospital. Dialysis was discontinued on 8th day of admission. His urine output gradually increased and creatinine showed declining trend. Subsequently the patient had proteinuria, hyperkalemia and the kidney function showed fluctuating creatinine levels. Patient was managed conservatively with anti-hyperkalemia medication intravenous furosemide, calcium gluconate, dextrose plus human insulin infusion and intravenous soda bicarbonate). In view of non-resolving kidney function (Creatinine 1.5mg/dl) and proteinuria (urine protein/creatinine 2.74, 24 hr Urine protein 32.9) kidney biopsy was done. Biopsy report showed that renal tubules were widely separated by interstitial edema. There was patchy acute tubular injury, interstitial edema with an associated infiltrate of lymph mononuclear cells with few admixed eosinophils. Glomerular and blood vessels are unremarkable. Based on this a diagnosis of Tubular Interstitial Nephritis was made and the child was administered intravenous methyl prednisone 250 mg in 100ml normal saline for three days followed by oral prednisone in a dose of 1mg, kg /day. Patient was discharged from the hospital with creatinine of 0.9mg/dL, BUN 28 mg/dL, sodium 135, potassium 5.3 and no protein in his urine. Post discharge on follow in OPD the patient had BUN 37, Creatinine 0.5, sodium 137, potassium 4.9, and bicarbonate 24.9. (pl add units).

Kidney biopsy report:

Acute Tubulointerstitial Nephritis

Discussion

Drugs are not an uncommon cause of AKI in children. Nephrotoxic medications in the intensive care unit contribute to nearly 25% of AKI cases.6,7 Common offenders include aminoglycoside antibiotics, non-steroidal anti-inflammatory agents, radio contrast and immunosuppressive drugs such as calcineurin inhibitors.8,9

In sick children it is often a challenge to identify the precise etiological factors and hence drugs are perhaps an under diagnosed and underreported cause of AKI in children. NSAIDs are frequently prescribed in children for a variety of reasons and are perhaps the most common AKI risk to which children are regularly exposed. They can cause both acute tubular necrosis and acute interstitial nephritis. NSAID associated AKI has been reported in after use of ibuprofen naproxen, ketorolac, diclofenac, dipyrone, ketoprofen, flurbiprofen, sulindac, rofecoxib and niflumic acid either alone or in combination.10,11

In the setting of normal effective circulating volume NSAID’s do not alter renal blood flow. However in situation complicated with decreased true or effective circulating volume renal blood flow becomes dependent on prostaglandin-mediated vasodilatation of the pre glomerular arteriole. NSAID administration leads to unopposed pre glomerular arteriole constriction via action of endogenous catecholamine and other vasoactive compounds. This results in decreased GFR, decreased natriuresis, leading to ischemia and acute tubular necrosis.12–14

Majority of children have been reported to develop ATN secondary to NSAID use. TIN has been less frequently reported with NSAIDS.15 A study conducted involving 1015 children over 10 years with AKI, revealed that 27 had NSAID associated AKI. Of these 6 patients were diagnosed with TIN by clinical course and biopsy results.16 TIN occurs within hours to months after starting the drug and effect may not be dose related. Drug induced TIN is a hypersensitivity reaction medicated through humoral and cell medicated mechanism.

Only 3 case series have reported on NSAID induced AKI in infants. Lantz et al reported 7 cases of ARF over a 10 year period. All cases were secondary to intake of recommended doses niflumic acid. Renal biopsy revealed evidence of immune mediated interstitial nephritis. Hypersensitivity signs (fever, skin rash, eosinophilia, and/or increased IgE) were present in all cases, leukocyturia in five cases, and hematuria in six cases.11

Kallanagowdar et al reported 2 cases of AKI associated with use of ketorolac of which one was an infant aged 0.75 yr reached a peak creatinine of 2.2 mg/dl and recovered in 4 days.17 Wong et al reported 1 case of ibuprofen induced AKI in a 9 month old infant.18 C. M. John et al described 4 cases of NSAID induced renal failure occurring in a children's hospital. They could not prove a cause and effect relationship and stressed the need for further research to define the true risk of the potential renal complications of NSAID in patients at risk of dehydration.19

In the index case AKI occurred within days of intake of the drug. The infant presented with severe renal failure requiring dialysis. No signs of hypersensitivity were present. Despite discontinuation of the drug for more than 2 weeks, the child continued to have renal dysfunction and proteinuria. The diagnosis of TIN was confirmed by renal biopsy. On giving steroid therapy both the proteinuria and renal dysfunction resolved within 4 next weeks. Thus renal biopsy in AKI has both diagnostic and therapeutic value.

Preventing AKI when possible should be goal of every clinician. It should be noted that in our population many children who are deemed to have developed multifactorial AKI do have NSAID exposure as one of their multiple factor for AKI. Many patients develop AKI as a complication of inpatient therapy for unrelated primary illness or condition. Kidney biopsies are not frequently performed in these sick children. Hence it is possible that the role of NSAID as an etiology associated with AKI in children. Surprisingly younger children with NSAID associated AKI may have more severe disease than older children. Therefore, early diagnosis and treatment is the key. A greater awareness needs to be created amongst the patient’s families as well as the pediatricians regarding the possible nephrotoxic potential of NSAIDS (Table 1, Figure 1 & 2).

 

BUN   

Sr. creatinine   

Na    

K    

Weight    

Urine output    

Hco3    

Hb   

TLC    

Platelets count

Day 0

54

7.3

126

6.5

9.8

9.4

21

793

PD DAY 1   

128

6.1

30 ml

19.9

8

12

654

PD DAY 5

48

5.4

134

6.4

12.1 kg

19.1

7.3

11

959

DAY 8

24

2.1

143

3.6

11.5 kg

14  times

9.8

18

796

DAY 11

34

1.2

140

4.9

10.37 kg     

20 times

10

806

DAY 14

49

1

134

6.3

9.95 kg

9 times

14

DAY 15

34

0.9

137

5.6

9.71 kg

185 ml

30.2

DAY17

50

1.5

138

6.6

20

9.8

19.4

586

DAY18

49

1.8

136

4.5

8.6

DAY19

45

1.9

136

5.2

19.4

10.5

DAY20

40

1.8

134

5.8

8.2

10.2

DAY21

38

1.4

135

5.8

7.8

8.1

Day 90

37

0.5

137

4.9

 

 

24.9

 

 

 

Table 1 Clinical, Hematological and biochemical parameters during hospital stay

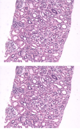
Figure 1 H&E low power view showing normal glomerulus, diffuse interstitial infiltrates, interstitial edema.

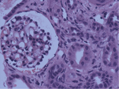
Figure 2 PAS stain showing normal glomerulus and interstitial infiltrates.

Acknowledgments

None.

Conflicts of interest

The author declares no conflicts of interest.

References

  1. Schneider J, Khemani R, Grushkin C, et al. Serum creatinine as stratified in the RIFLE score for acute kidney injury is associated with mortality and length of stay for children in the pediatric intensive care unit. Crit Care Med. 2010;38(3):933–939.
  2. Askenazi DJ, Ambalavanan N, Hamilton K, et al. Acute kidney injury and renal replacement therapy independently predict mortality in neonatal and pediatric noncardiac patients on extracorporeal membrane oxygenation. Pediatr Crit Care Med. 2011;12(1):e1–e6.
  3. Askenazi DJ, Feig DI, Graham NM, et al. 3–5 year longitudinal follow-up of pediatric patients after acute renal failure. Kidney Int. 2006;69(1):184–189.
  4. Williams DM, Sreedhar SS, Mickell JJ, et al. Acute kidney failure: a pediatric experience over 20 years. Arch Pediatr Adolesc Med. 2002;156(9):893–900.
  5. Hui-Stickle S, Brewer ED, Goldstein SL. Pediatric ARF epidemiology at a tertiary care center from1999 to 2001. AmJ Kidney Dis. 2005;45(1):96–101.
  6. Mehta RL, Pascual MT, Soroko S, et al. Spectrum of acute renal failure in the intensive care unit: the PICARD experience. Kidney Int 2004;66(4):1613–1621.
  7. Uchino S, Kellum JA, Bellomo R, et al. Acute renal failure in critically ill patients: A multinational, multicenter study. JAMA. 2005;294(7):813–818.
  8. Venkataraman R. Can we prevent acute kidney injury? Crit Care Med. 2008;36(4 Suppl):S166–S171.
  9. Jones DR, Lee HT. Perioperative renal protection. Best Pract Res Clin Anaesthesiol. 2008;22(1):193–208.
  10. Zaffanello M, Brugnara M, Angeli S, et al. Acute non-oliguric kidney failure and cholestatic hepatitis induced by ibuprofen and acetaminophen: a case report. Acta Paediatr. 2009;98(5):903–905.
  11.  Lantz B, Cochat P, Bouchet JL, et al. Short-term niflumic-acid-induced acute renal failure in children. Nephrol Dial Transplant. 1994;9(9):1234–1239.
  12. Taber SS, Mueller BA. Drug-associated renal dysfunction. Crit Care Clin. 2006;22(2):357–374.
  13. Lameire N, Van Biesen W, Vanholder R. Acute renal failure. Lancet. 2005;365(9457):417–430.
  14. Patzer L. Nephrotoxicity as a cause of acute kidney injury in children. Pediatr Nephrol. 2008;23(12):2159–2173.
  15. Nikolić V, Bogdanović R, Ognjanović M, et al. Acute tubulointerstitial nephritis in children. Srp Arh Celok Lek. 2001;129(Suppl 1):23–27.
  16. Jason M Misurac, Chad A Knoderer, Jeffrey D Leiser, et al. Nonsteroidal Anti-Inflammatory Drugs Are an Important Cause of Acute Kidney Injury in Children. J Pediatr. 2013;162(6):1153–1159.
  17. Kallanagowdar C, LeBreton A, Aviles DH. Acute renal failure. Clin Pediatr(Phila). 2006;45(8):771–773.
  18. Wong W, Coward RJ, Morris MC. Ibuprofen induced acute renal failure in an infant. N Z Med J. 2001;114(1140):431.
  19. John CM, Shukla R, Jones CA. Using NSAID in volume depleted children can precipitate acute renal failure. Arch Dis Child. 2007;92(6):524–526.
Creative Commons Attribution License

©2022 Gulati, et al. This is an open access article distributed under the terms of the, which permits unrestricted use, distribution, and build upon your work non-commercially.