Submit manuscript...
Journal of
eISSN: 2475-5540

Stem Cell Research & Therapeutics

Research Article Volume 10 Issue 1

Challenges and solutions in reducing setup and shifting errors in head and neck cancer radiotherapy: a multi-modality strategy for parotid gland protection

Meher Nigar Sharmin, Dr. Deepak Shankar Ray, Md. Mahfuzur Rahman, Parvez Mosharraf

Khwaja Yunus Ali Medical College & Hospital, KYAMCH Cancer Center, Bangladesh

Correspondence: Meher Nigar Sharmin, Assistant Professor, Chief Medical Physicist and Radiation Control Officer, KYAMCH Cancer Center, Enayetpur, Sirajganj, Bangladesh

Received: March 11, 2025 | Published: April 14, 2025

Citation: Sharmin MN, Ray DS, Rahman M, et al. Challenges and solutions in reducing setup and shifting errors in head and neck cancer radiotherapy: a multimodality strategy for parotid gland protection. J Stem Cell Res Ther. 2025;10(1):44-47. DOI: 10.15406/jsrt.2025.10.00181

Download PDF

Abstract

Radiotherapy for head and neck cancer poses notable challenges, largely due to the region's intricate anatomy and the proximity of sensitive structures like the parotid gland. Achieving accurate patient positioning and precise targeting is crucial to ensure effective treatment while protecting surrounding healthy tissue. Yet, even minor setup inaccuracies or patient movement during therapy can lead to compromised target coverage, misalignment, and increased risk of side effects- particularly damage to organs such as the parotid gland, which can result in xerostomia.This study examines the core difficulties of delivering radiotherapy in such complex anatomical areas and outlines a comprehensive, multi-faceted strategy to address them. Techniques like 3DCRT and Intensity-Modulated Radiation Therapy (IMRT) are recognized for their capacity to minimize exposure to critical organs while maintaining therapeutic effectiveness.The integration of advanced imaging, collaborative clinical teamwork, and individualized quality assurance further supports safer, more accurate treatment delivery.Emerging technologies such as image-guided radiation therapy (IGRT), adaptive radiotherapy, and real-time motion tracking are explored as practical solutions to reduce setup deviations and intra-treatment motion. These innovations collectively enable more precise dose delivery, improving clinical outcomes while safeguarding vital structures like the parotid gland. Ultimately, and the study highlights the necessity of a coordinated, multidisciplinary approach to enhance both the safety and success of radiotherapy in treating head and neck cancers.

Keywords: head and neck cancer, radiotherapy, setup errors, shifting errors, multi-modality, parotid gland, adaptive radiotherapy, image-guided radiotherapy, immobilization devices

Introduction

Radiotherapy plays a crucial role in treating head and neck cancers by delivering high doses of radiation to tumors while trying to minimize harm to nearby healthy tissues. However, challenges such as setup errors and patient movement can reduce treatment precision, potentially resulting in the tumor not receiving enough radiation or causing damage to sensitive areas like the parotid glands. These glands are important for producing saliva, and damage to them can lead to xerostomia (dry mouth), which greatly impacts a patient's quality of life. Given the complex anatomy and the closeness of vital organs in this region, precise targeting is critical. This study examines common issues related to patient positioning and movement and looks into multi-modality approaches like advanced imaging, adaptive radiotherapy, and improved stabilization methods to boost treatment accuracy and better protect the parotid glands.1

Challenges in head and neck radiotherapy

Anatomical complexity: Treating cancers in the head and neck area is particularly challenging because of the many vital structures packed closely together- like the spinal cord, brainstem, and salivary glands. Because of this tight spacing, radiotherapy has to be extremely precise to avoid accidentally harming healthy tissues.

Set-up errors: Set-up errors happen when there's a mismatch between how the patient was supposed to be positioned for treatment and how they actually end up positioned. These errors can come from things like the patient shifting, feeling uncomfortable, small mistakes in alignment, or the limits of the devices used to keep them still. Even minor misalignments can affect how accurately the radiation hits its target.

Shifting errors: As treatment progresses, the patient’s anatomy can change- tumors might shrink, patients might lose weight, or swelling could occur. These internal changes, along with mechanical issues or involuntary movement, can shift the tumor or nearby organs from their original positions, potentially throwing off the planned radiation doses.2,3

Impact on parotid glands: The parotid glands, responsible for saliva production, are very sensitive to radiation. If they’re damaged during treatment, it can lead to xerostomia (dry mouth), which significantly affects a patient’s daily comfort and quality of life. Even with today’s advanced planning and technology, protecting these glands remains a key challenge because of how close they are to the areas being targeted.

Solution through multi-modality approaches to minimize errors

Advanced imaging techniques

  1. Cone-beam computed tomography (CBCT): CBCT provides high-resolution, 3D imaging that allows for accurate patient positioning and verification of tumor location before each treatment session
  2. Magnetic resonance imaging (MRI): MRI offers superior soft tissue contrast, enabling better delineation of the tumor and surrounding structures, including the parotid glands
  3. Positron emission tomography (PET): Helps in accurately delineating tumor boundaries

Adaptive radiotherapy (ART): Adaptive Radiotherapy (ART) is a dynamic approach that modifies the treatment plan in response to anatomical changes, such as tumor shrinkage or patient weight loss, over the course of therapy. By incorporating periodic imaging, ART ensures that radiation remains accurately focused on the tumor while minimizing exposure to surrounding healthy tissues.4-6 This method addresses set-up variations and anatomical shifts, maintaining optimal dose distribution throughout treatment.

Image-guided radiotherapy (IGRT): Image-Guided Radiotherapy (IGRT) integrates imaging with treatment delivery, enabling real-time adjustments to patient positioning and radiation targeting. By using frequent imaging-such as cone-beam CT (CBCT), MRI, or fluoroscopy- before and during each session, IGRT helps detect and correct deviations from the planned position. This approach minimizes setup and shifting errors, ensuring precise and consistent radiation delivery throughout the treatment course.

Technological innovations

  1. Intensity-modulated radiotherapy (IMRT): IMRT is a sophisticated technique that enables precise modulation of radiation beam intensity across the treatment field. This allows high radiation doses to be delivered to the tumor while effectively sparing surrounding healthy tissues, including the parotid glands and other critical structures .IMRT enhances tumor targeting accuracy and reduces the risk of side effects associated with radiation exposure to non-target areas.
  2. Volumetric modulated arc therapy (VMAT): VMAT is an advanced form of IMRT that delivers radiation in a continuous arc around the patient. It provides highly conformal dose distributions, optimizing coverage of the tumor while reducing radiation exposure to surrounding organs at risk (OARs) .VMAT is especially beneficial for treating tumors located near sensitive anatomical structures such as the brainstem, spinal cord, and optic nerves, offering improved dose conformity and treatment efficiency.
  3. Surface guided radiotherapy (SGRT): SGRT utilizes advanced surface imaging technology to continuously monitor the patient's position throughout treatment. This non-invasive technique offers real-time feedback and allows for immediate corrections to patient setup, significantly reducing both setup and intrafraction motion errors. SGRT improves treatment precision and enhances patient safety and comfort.
  4. Equivalent uniform dose (EUD) and biologically based optimization: EUD algorithms and biologically based optimization methods are used during treatment planning to improve dose distribution. These techniques account for the biological response of tissues, allowing for more effective sparing of critical structures while maintaining tumor control. By optimizing the plan based on biological impact, they enhance the overall therapeutic ratio and reduce potential complications.

Immobilization devices for head and neck radiotherapy

  1. Thermoplastic masks:These are molded specifically for each patient to gently hold the head and neck in place. By limiting movement, they help ensure the patient is positioned the same way during every treatment session.
  2. Vacuum cushions:Designed for comfort and support, these cushions adapt to the patient's shape, helping to keep them still and relaxed throughout the procedure.
  3. Bite blocks and mouthpieces: These tools help stabilize the jaw and limit movement inside the mouth, making sure everything stays properly aligned while the radiation is delivered.

Materials and methods

Patient selection: This study retrospectively examined 60 patients diagnosed with head and neck squamous cell carcinoma (HNSCC) who received radiotherapy at a single tertiary care cancer center from January 2022 to December 2023. To be included, patients needed a histologically confirmed HNSCC diagnosis, had to have undergone curative-intent radiotherapy with efforts to spare both parotid glands, and must have had complete data available for both 3D conformal radiation therapy (3DCRT) and intensity-modulated radiation therapy (IMRT). Patients were excluded if they had previously received radiation to the head and neck area, exhibited notable anatomical abnormalities, or had incomplete treatment documentation.

Simulation and immobilization: Before starting treatment, all patients underwent CT simulation while lying on their backs. They were fitted with a five-point thermoplastic mask that extended from the top of the head to the shoulders to maintain consistent positioning. CT scans were taken at 3 mm intervals. Diagnostic MRI and CT simulation images were aligned with the planning CT scans to ensure accurate identification of target areas and organs at risk (OARs), with special emphasis on the bilateral parotid glands.

Treatment planning: Treatment type either 3DCRT or IMRT was determined based on tumor features, patient anatomy, and the clinical protocols active at the time. Treatment plans were created using the MONACO Treatment Planning System (Elekta Medical Systems). IMRT plans used multiple fixed gantry angles to shape radiation doses in a way that offered strong tumor coverage while minimizing exposure to healthy surrounding tissues, particularly the parotid glands.High-risk planning target volumes (PTV66) were scheduled to receive 66 Gy over 33 sessions (2 Gy per session. Organs at risk including the spinal cord, brainstem, and both parotid glands were outlined as part of the planning. Whenever possible, physicist aimed to keep the mean dose to the parotid glands at or below 26 Gy. Plan quality was checked using dose-volume histogram (DVH) metrics, ensuring high-risk PTVs got at least 95% of the intended dose (V95 ≥ 95%) and that dose limits for OARs were met.

Data collection and analysis: Positional changes during treatment were tracked using cone-beam CT (CBCT). Shifts along the side-to-side (X), front-to-back (Y), and up-and-down (Z) directions were measured and summarized as mean ± standard deviation over all sessions. The decision to use either 3DCRT & IMRT was customized for each patient, taking into account the oncologist’s experience, expected benefits in dose distribution, anatomical considerations, and sometimes how urgently treatment needed to begin (Figure 1).

Figure 1 Intensity modulated radiotherapy planning of head and neck cancer.

Patient selection: This retrospective study involved 60 patients diagnosed with locally advanced head and neck squamous cell carcinoma (HNSCC), treated between [insert year range, e.g., 2022–2023]. All participants received definitive radiotherapy, with or without concurrent chemotherapy. Eligibility criteria included:

  1. A histological diagnosis of HNSCC,
  2. Availability of complete planning CT, CBCT datasets, and treatment records, and
  3. Clear delineation of the parotid glands on planning scans. Patients with previous head and neck radiation treatment were excluded.

Radiotherapy planning and delivery: Each patient was immobilized using a personalized thermoplastic mask that covered the head and shoulders. Planning CT scans with a 3 mm slice thickness were performed in the treatment position and imported into a treatment planning system (TPS), such as MONACO by ELEKTA Medical Systems.

Tumor volumes including the gross tumor volume (GTV), clinical target volume (CTV), and planning target volume (PTV) were outlined following institutional guidelines. Organs at risk (OARs), including both parotid glands, the spinal cord, and brainstem, were delineated on the planning CT by an experienced radiation oncologist. IMRT used to administer a total dose of 66Gy in 33 fractions to the PTV.

CBCT-based image guidance: Daily cone-beam CT (CBCT) scans were taken before each treatment session using an onboard imaging system (e.g., Varian OBI). Initial patient alignment used skin markers and lasers, followed by image registration based on bony landmarks.Translational setup deviations (in mm) were recorded along the lateral (X), longitudinal (Y), and vertical (Z) directions. Adjustments were made if deviations exceeded 2 mm in any direction. Retrospective review of CBCT images was conducted to evaluate interfraction variability and its effect on the position of the parotid glands.

DVH and dosimetric analysis: Dose–volume histogram (DVH) parameters for the parotid glands were gathered from both the initial and revised plans using the TPS.

Key metrics included

  1. Mean Dose (Dmean)
  2. V20, V26, V30: Percent of gland volume receiving ≥20 Gy, 26 Gy, and 30 Gy
  3. Dmax: Maximum dose received by the parotids

Delivered doses were compared to planned doses using cumulative data from CBCT-aligned imaging where available.

Statistical analysis: Descriptive statistics summarized setup errors and DVH values. To compare mean parotid dose and DVH parameters before and after CBCT-guided corrections, paired t-tests.

Results

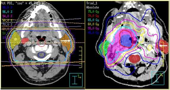
Out of 60 head and neck radiotherapy cases examined, half were treated using 3D Conformal Radiotherapy (3DCRT), and the other half received Intensity Modulated Radiation Therapy (IMRT). The analysis focused on the average dose delivered to the parotid gland, using the QUANTEC threshold of under 20 Gy as the benchmark to minimize xerostomia risk.In patients treated with 3DCRT, the mean parotid dose consistently surpassed the recommended limit, reflecting the technique’s limited ability to adequately spare the gland. On the other hand, IMRT showed markedly better dose distribution, with all cases achieving mean parotid doses below 26 Gy, several nearing the ideal target of under 20 Gy.Overall, the findings highlight IMRT’s clear dosimetric superiority over 3DCRT when it comes to protecting the parotid gland in head and neck radiotherapy (Figure 2).

Figure 2 Isodose distributions contrasting conventional (left) and IMRT (right) H&N treatment plans.

Discussion

Clinical relevance of treatment approaches: Our research highlights the clinical value of utilizing advanced radiotherapy methods for treating head and neck cancers. Patients who received three-dimensional conformal radiotherapy (3DCRT) showed a greater occurrence of xerostomia, mainly because of high radiation doses to the parotid glands often surpassing 40 Gy. In comparison, intensity-modulated radiotherapy (IMRT) significantly reduced radiation exposure to the parotid glands, keeping average doses under the 20 Gy limit suggested by QUANTEC guidelines. All participants received a uniform tumor dose of 66 Gy across 33 sessions, enabling a direct evaluation of normal tissue preservation between the two methods.The inability of 3DCRT to adequately protect nearby healthy tissues further supports the advantage of IMRT in minimizing salivary gland damage. This benefit has meaningful effects on patient quality of life, particularly regarding oral comfort, eating, and speech after therapy. A meta-analysis by Marta and colleagues verified that IMRT is more effective than 3DCRT in reducing cases of grade ≥2 xerostomia among head and neck cancer patients.

Progress in radiotherapy accuracy: Beyond IMRT, newer technologies like adaptive radiotherapy and real-time image-guided radiotherapy (IGRT) enhance treatment accuracy even further. These techniques accommodate anatomical changes between and during treatment sessions, helping ensure that radiation is delivered precisely and healthy tissues are spared. Proton therapy, known for its precise dose delivery using the Bragg peak, offers another way to better target tumors while limiting exposure to surrounding areas. Together, these advancements represent a shift toward more personalized and flexible treatment strategies for head and neck cancer.

Role of collaborative efforts: The successful use of these sophisticated treatments depends on strong teamwork among radiation oncologists, medical physicists, radiologists, and radiotherapy technicians. Ongoing education and communication across specialties are critical to maintaining high-quality care and fully integrating new technologies into daily practice.

Study constraints: Although our findings highlight the benefits of IMRT and related technologies, some limitations should be considered. Since the study is retrospective, it carries certain biases and doesn't establish causation. The sample size was relatively small, which may affect how broadly the results can be applied. Also, variations in patient anatomy, tumor location, and disease stage weren't thoroughly separated, which might influence the outcomes. Limited data on patient-reported quality of life and long-term effects also restrict the understanding of late-onset complications. Additionally, the absence of randomization between treatment groups introduces a risk of selection bias. Future studies that are prospective, randomized, and involve larger, more diverse populations with standardized measures are needed to confirm these results.

Conclusion

Successful treatment of head and neck cancer depends on achieving tumor control while maintaining function and quality of life. By tackling positioning and movement errors using multi-modality approaches, healthcare providers can more effectively shield delicate structures like the parotid glands and lessen side effects such as dry mouth. These methods mark a significant advancement in providing safer and more targeted treatments.

Acknowledgments

I want to extend my heartfelt gratitude to the dedicated team of medical physicists, radiotherapy oncologists, technologists, nurses, and all healthcare professionals in Bangladesh who continue to improve patient care despite the persistent challenges posed by limited resources. I am deeply thankful to the patients, whose resilience and determination inspire ongoing progress in cancer treatment. I also acknowledge the valuable contributions of radiotherapy specialists and researchers advancing multi-modality strategies in head and neck cancer management.

Conflicts of interest

The authors declare that there are no conflicts of interest.

References

Creative Commons Attribution License

©2025 Sharmin, et al. This is an open access article distributed under the terms of the, which permits unrestricted use, distribution, and build upon your work non-commercially.