Submit manuscript...
Journal of
eISSN: 2475-5540

Stem Cell Research & Therapeutics

Short Communication Volume 2 Issue 6

Immunocytochemical reactions in the brittle-star: ophiocomina nigra after immunization

Michel Leclerc Henrik Sundh,1 Bodil Hernroth2

1Department of Biological and Environmental Sciences, Gothenburg University, Sweden
2Christianstad University, Sweden

Correspondence: Michel Leclerc Henrik Sundh, 556 rue Isabelle Rom

Received: December 06, 2017 | Published: June 21, 2017

Citation: Sundh MLH, Hernroth B. Immunocytochemical reactions in the brittle-star: ophiocomina nigra after immunization. J Stem Cell Res Ther. 2017;2(6):197-198. DOI: 10.15406/jsrt.2017.02.00086

Download PDF

Abstrat

Immunizations of Ophiocomina nigra were performed with either Bovine Serum Albumine (BSA) or Horse-Radish Peroxydase (HRP) in aquarium containing running sea water. An immunocytochemical test was done in presence of HRP, diaminobenzidin, H2O2 for both animals: Control ones, BSA ones and HRP ones. Positive reactions only occur in injected animals to HRP. So the brittle star O.nigra as the sea star: Asterina gibbosa discriminates HRP from BSA: it is an antibody-like reaction. Plasmolymphocytic cells were evoked.

Keywords: ophiocomina nigra, bsa, hrp, axial organ, asterina gibbosa

Introduction

All echinoderms (Echinodermata), except holothurids, possess an axial organ (AO) as part of their coelomic and haemal system. Immunocytochemical positive reactions were observed in 1973 in the sea star Asterina gibbosa (Asterid, Echinoderm) after injections of various proteins.1 It seemed interesting to look for similar reactions in the Ophuirid: Ophiocomina nigra (another echinoderm) which possesses also an axial organ. The sea star axial organ, an ancestral lymphoïd organ shows immune adaptative reactions2 and presents a primitive antibody3 The question was: «Are the Ophiocomina and Asterina gibbosa axial organs similars from the point of view of immunocompetence ?» So, we have repeated an experimental protocol in Ophiocomina nigra which resembles to the sea star one of 1973, at the level, exclusively, of cytologic observations.

Materials and methods

Ophiocomina nigra were obtained from the Marine Biological Institute of Gothenburg and placed in aquarium with running sea water. 20 animals were put in three parts:

  1. Control ones (6 animals): first aquarium
  2. BSA (Bovine serum albumin) ones (7 animals): 2d aquarium
  3. HRP (Horse-radish peroxydase) ones (7 animals): 3d aquarium

Control animals were not immunized. On the other hand BSA animals received at time t=0 10µl of BSA (1mg/ml solution) and at time t=7days after , again, 10µl of BSA( same concentration). HRP animals received 10µl of HRP (Sigma Products) of a solution at 1mg/ml at times similar as those of BSA animals then a second injection of 10µl of HRP. 3days after the last injection. All animals were sacrifiied and axial organs (A.O) were excised. Fixation of A.O in glutaraldehyde occured (2% in cacodylate buffer). Then A.O were washed in buffer. Incubation in HRP (1mg/ml) was performed for all A.O. Washing in buffer was following. Incubation in diaminobenzidin(1mg/ml) and H2O2 (1 drop) was realized then washing in buffer occured O/N. We did dehydratation in alcohol and then embedding in paraffin. Sectioning was made at 4µ. We used Heathrow scientific LLC slides. Coloration was performed with Giemsa (1min). Observations were done with a microscope Zeiss.

Results

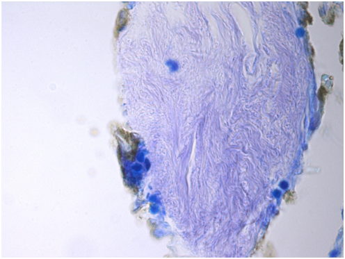
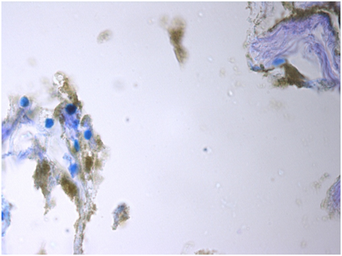
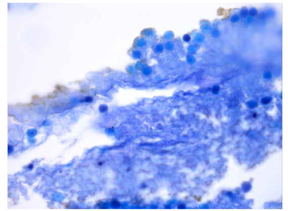
Briefly we observe neither labelling in control animals, nor in BSA treated animals. In immunized animals to HRP a positive labelling(color dark-brown) occurs in hyaloplasm in ergastoplasm and sometimes in the perinuclear space (Figures 1 & 2). Labelling is about 5% of the whole cell population. It is of 0% for BSA treated animals (Figure 3). Plasmolymphocytoplasmic and lymphocytes cells seem to exist in Ophiocomina nigra as for Asterina gibbosa but it must be corroborated by TEM observations.1

Figure 1 HRP (Magnification 1000).

Figure 2 HRP (Magnification 100).

Figure 3 BSA (Magnification 1000).

Discussion and conclusion

It is shown that antigen-antibody like reactions occur in the brittle star: Ophiocomina nigra. It opens an immense field of experiments we may compare to those of Asterids (another echinoderm): i-e research of lymphocytes (like sea star B and T lymphocytes) Research of Primitive Brittle star antibody, and brittle star genomic studies.4 In fact, It would be interesting to study the genome of O.nigra and to compare the sea star immune genes to brittle star ones. We hope that the present work will help in suggesting provocative and imaginative ideas on adaptative immunity in marine invertebrates.

Acknowledgements

None.

Conflict of interest

The author declares no conflict of interest.

References

Creative Commons Attribution License

©2017 Sundh, et al. This is an open access article distributed under the terms of the, which permits unrestricted use, distribution, and build upon your work non-commercially.