Submit manuscript...
Journal of
eISSN: 2475-5540

Stem Cell Research & Therapeutics

Case Report Volume 1 Issue 4

The devastating effect of protein c deficiency

Minesh Kooblall, Derek Nash, Lorcan O Connell, Peter Branagan

Respiratory Department, Beaumont Hospital, Ireland

Correspondence: Minesh Kooblall, Respiratory Department, Beaumont Hospital, Dublin, Ireland

Received: August 15, 2016 | Published: September 19, 2016

Citation: Kooblall M, Nash D, O’Connell L, et al. The devastating effect of protein c deficiency. J Stem Cell Res Ther. 2016;1(4):166-167. DOI: 10.15406/jsrt.2016.01.00028

Download PDF

Hypothesis

Protein C is a major component to our body’s natural anti-coagulation system. We illustrate this using a case of a young woman presenting with severe thrombotic complications as a result of Protein C deficiency.

Approach

This girl presented with a saddle pulmonary embolus, one of the most feared thrombotic complications in a young female. After initial emergency management, it was a thorough and concise family history that led us to her underlying diagnosis.

Result

Following swift management, thorough history and initialisation of long term treatment/prophylaxis to reduce morbidity/mortality this young lady is back to her premorbid baseline currently, albeit with the caveat of likely life-long anticoagulation therapy.

Conclusion

Protein C is a rare, but potentially devastating cause of inherited Thrombophilia. As seen in this case early recognition and treatment of acute complications is necessary to prevent mortality/morbidity, followed by a good family history in the less acute setting to clarify the diagnosis.

Protein C is a vitamin K-dependent anticoagulant protein synthesized in the liver. Upon activation, protein C inactivates coagulation factors Va and VIIIa, which are necessary for thrombin generation and factor X activation. Most patients with inherited protein C deficiency are heterozygous for a genetic defect that reduces protein C levels, activity, or both (ie, transmission is autosomal dominant). A number of acquired conditions also can reduce protein C levels, including acute thrombosis, disseminated intravascular coagulation (DIC), liver disease, vitamin K antagonist (VKA) anticoagulants, meningococcal infection, and others.1 The following case illustrates a life threatening condition that Protein C deficiency can cause.

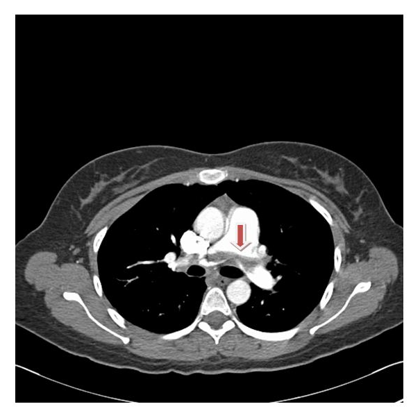
 A 23 year old woman previously well presented with a sudden onset severe chest pain and shortness of breath. She was on oral contraceptive pills and has a family history of Protein C deficiency. Her father had recurrent pulmonary embolism from the age of 32 and her grandmother had a history of recurrent strokes from the age of 30. On examination, she was tachycardic, tachypneic and hypoxic. Her CXR was normal (Figure 1). However her CT pulmonary angiograghy showed a saddle pulmonary embolus (Figure 2). She was anticoagulated and booked for an echocardiogram.

Figure 1 Normal CXR.

Figure 2 CTPA showing pulmonary embolus.

The incidence of inherited protein C deficiency is approximately 0.2 to 0.5 percent in the general population and 2 to 5 percent in individuals with venous thromboembolism. Individuals with hereditary protein C deficiency lack the natural anticoagulant function of activated protein C and are at risk for clinical phenotypes associated with increased thrombotic risk including VTE, warfarin-induced skin necrosis, and (in homozygotes) neonatal purpura fulminans. There may also be an association with stroke and fetal loss although these risks are likely to be small. Individuals identified by population screening may have no other clinical manifestations besides low protein C activity levels.

Pulmonary embolism if left untreated has a mortality of up to 30 percent. This is significantly reduced using anticoagulation. The highest risk occurs within the first seven days, with death most commonly due to shock. Prognostic models that incorporate clinical findings (eg, Pulmonary Embolism Severity Index [PESI] and the simplified PESI [sPESI] (and/or biochemical markers that indicate right ventricle strain (natriuretic peptides, troponin) can predict early death and/or recurrence.2

As we have seen in this article a thorough family history is an important component to every history and examination. It’s important to realise that this is not always possible/practical to elicit a detailed family history in the hustle and bustle of an emergency room, it is vital once the initial emergency management has been performed.3

Thankfully the patient has recovered well and is back to her functional baseline. She continues on her Warfarin therapy. She will likely need to continue on anticoagulant therapy for the remainder of her life, which poses its own problems, although this is outside the scope of this article.

Acknowledgements

None.

Conflict of interest

The author declares no conflict of interest.

References

Creative Commons Attribution License

©2016 Kooblall, et al. This is an open access article distributed under the terms of the, which permits unrestricted use, distribution, and build upon your work non-commercially.