Submit manuscript...
MOJ
eISSN: 2576-4519

Applied Bionics and Biomechanics

Review Article Volume 1 Issue 6

A comparative study between fundus imaging and optical coherence tomography for the early diagnosis of Alzheimer’s disease

Sandeep CS,1 Sukesh Kumar A,1 Mahadevan K,2 Manoj P3

1Department of ECE College of Engineering, University of Kerala Trivandrum, India
2Department of Ophthalmology S GM&RF, University of Kerala Trivandrum, India
3Department of Neurology SGM&RF, University of Kerala Trivandrum, India

Correspondence: Sandeep CS, Department of ECE College of Engineering, University of Kerala Trivandrum, India

Received: March 12, 2017 | Published: December 22, 2017

Citation: Sandeep CS, Kumar SA, Mahadevan K, et al. A comparative study between fundus imaging and optical coherence tomography for the early diagnosis of Alzheimer’s disease. MOJ App Bio Biomech. 2017;1(6):201–204. DOI: 10.15406/mojabb.2017.01.00032

Download PDF

Abstract

Alzheimer’s disease (AD) is a neurodegenerative condition as well as changes in retina region that leads to permanent memory loss. AD is presently creating lot of problems in care taking. There are lot of tests and imaging modalities to be performed for an effective diagnosis of the disease. The most popular of them are Magnetic Resonance Imaging, Positron Emission Tomography and Single Photon Emission CT Scanning. They can provide valuable information regarding the changes in brain regions for diagnosing AD. But the detailed study made on AD suggests that there are some variations on the retina region of the AD patients and therefore retina can be used as a biomarker for the early diagnosis of AD. There are different techniques available for eye examination. Most prominent of them are Fundus Imaging and Optical Coherence Tomography (OCT). In this paper we have made a comparative study based on the above mentioned techniques to prove which is more suitable for the early diagnosis of AD.

Keywords: alzheimer’s disease, retina, early diagnosis, fundus imaging, oct

Abbreviations

CT, computed tomography; MRI, magnetic resonance imaging; PET, positron emission tomograhy; SPE, single photon emission; AD, alzheimer’s disease

Introduction

Alzheimer’s disease (AD) is a progressive disorder of the brain as well as retina that causes cognitive impairment. This leads to permanent memory loss and disrupt the daily routine activities.1‒6 The two important hallmarks of AD are amyloid beta protein, extracellular and tau protein, intracellular that accumulate near the neurons which blocks the signals from brain to neuron and viceversa.7 These two proteins affects the entorhinal cortex and hippocampal regions as well as the internal layers of the retina that leads to change or degradation in cerebrospinal fluid (CSF) levels.8 There are different types of tests for diagnosing AD. Some of them are illustrated below. Initially we can screen AD with some neuropsychological tests like Mini Mental State Examination, memory clock drawing etc to find the memory impairment.9 The most important imaging modalities which are used for diagnosing AD are Computed tomography (CT) scan, magnetic resonance imaging (MRI), Positron Emission Tomograhy (PET) and Single Photon Emission CT Scanning (SPECT), in which CT and MRI are non invasive. Although powerful invasive techniques such as PET and SPECT can be used for early diagnosis, but it may results some side effects also. These modalities will help to figure out irregularities in the brain structure and brain tissues due to normal ageing or other previous accidents or diseases in connection with brain such as tumor, hydrocephalus, history of strokes, and white matter disease which are the reason for memory impairment. MRI and CT are non invasive, the predecessor is more sensitive than CT to find out irregularities in the brain region.10‒13 Cerebrospinal fluid (CSF) examination which was done earlier is now not a part of the routine examination of AD.14 We know that the dementia of Alzheimer’s type is a brain related disease, but investigations and reports made on AD shows that there is evidence of visual problems such as reading, finding or seeing or moving objects and difficulty in recognizing color features.15 The study on AD shows that there is visual cortex defects. But the recently made investigations show that anterior visual pathways, degeneration of nerves in optics and retinal ganglion cells loss are also connected with AD.16,17 The main reason in the visual disabilities is due to the deposits of amyloid beta (Aß) protein and acetylcholine has been found in the retina.16,18 The starting of AD pathology may occur in the visual association area.19 AD shows loss of visual properties early in the disease and functional losses correlate with cognitive losses. The losses of visual function in AD have different aspects that are usual with neuronal losses affecting the eye, such as age-related macular degeneration and glaucoma.20 In normal cases without memory impairment there was an absence of such pathology in the hippocampus area where the symptoms of AD begins, which processes memory. The loss of visual function other than acuteness may be the initial significant indication of AD. Age-related macular degeneration degrades all frequencies of contrast sensitivity; demonstrate color disorders across all wavelengths, and decrease in foveal detection of motion.21‒23 The researchers are stating that instead of starting in the brain’s regions that process memory, such as the hippocampus, AD may actually start in the portion of the brain that integrates visual function or the vision associated area. In people with AD, contrast sensitivity degrades in the lower spatial frequencies are found motion perception,24 i.e., the ability to detect movement, is reduced25‒27 there are visual field defects,28,29 and color discrimination of blue, short wave length hues have been found to be reduced.30 All of these tests and scans can help to show the memory recall of a patient and the possible areas where the patient lacks deficiency. For an effective and early diagnosis of AD, a population based study is necessary and required on clinical trials. A biomarker can be called as an indicator to measure the severity or presence of some disease state. Therefore retina of the eye can be considered as a biomarker as there is degradation in the reinal layer of AD Patients. In this paper we have focused on imaging modalities related to eye such as fundus imaging and Optical Coherence Tomography. Also we have made an attempt to state that which method is better.

Neurological disorders and retina

There are different neurological diseases that may cause degradation of retina. Most common of them are Diabetic Retinopathy (DR), Multiple Sclerosis (MS), Parkinson’s disease (PD) and Alzheimer’s disease (AD). The increasing prevalence of diabetes and its associated eye diseases like DR, cause blindness in patients younger than age 65years. DR presents with vascular and neuronal alterations in the retina, as a result of chronically high glucose concentrations that form advanced glycosylation end products. These concentrations can damage the basement membranes and can produce proliferative DR, in which new abnormal vessels form and can bleed easily. Multiple sclerosis is a neurodegenerative disorder affecting more than 1.3smillion people worldwide. It occurs due to an aberrant immune process, causing antibodies and inflammatory factors to form against myelin-related proteins, resulting in the demyelination of neurons. Parkinson’s disease is the second most common neurodegenerative disorder after Alzheimer’s disease. Parkinson’s is primarily a progressive motor disorder associated with degeneration of dopaminergic neurons in the substantia nigra. Research has shown Parkinson’s to be a multisystem disorder with additional nonmotor impairments and pathology occurring outside the basal ganglia. Dopamine plays a major role in motor function, but it is also an important neurotransmitter/neuromodulator in the retina. The Figure 1 shows how the brain and eye are related. From the figure we can see that eye is an extension of the brain. So neurological changes in brain also affects the eye and the visual cortex. The disease progression of the above diseases can be examined using different Imaging Modalities such as MRI, Scanning Laser Ophthalmoscopy, Fundus Imaging or Optical Coherence Tomography. But in this paper we have focused on Fundus Imaging and OCT on AD patients and reveals how the retina of AD patients can be scanned, which gives sufficient results for the early diagnosis of AD.

Figure 1 Neurological Disease related to eye

Fundus imaging and AD

In the previous section we can see that there is different disease associated with eye. Due to this reason atmost care should be taken to differentiate AD from other neurological diseases. In this section let us discussed the benefits of fundus imaging and AD. It is a technique in which Fundus camera records the neurosensory tissue in our eyes which translates the optical images into the electrical impulses. The retina of the eye can be captured directly as the pupil is used as incoming and outgoing path for the fundus camera's illuminating and imaging light rays. The patient sits at the fundus camera with their chin in a chin rest and their forehead against the bar. An ophthalmologist focuses and aligns the fundus camera. A flash light emits from the camera as the ophthalmologist presses the shutter release, creating a fundus photograph. Fundus imaging can be performed with the help of filters with different colors, or with specialized dyes. Figure 2 shows the fundus image taken from fundus camera showing normal and AD. We can see the nerve layers from the fundus photography. From the findings it is seen that retinal veins in AD patients are narrower than the control subject. A standard approach in automatic fundus image analysis includes image acquisition, preprocessing, image segmentation, feature extraction, feature selection and classification.

Figure 2 Fundus image of Normal (left) and AD (right) (Source, SGM&RF)

OCT and AD

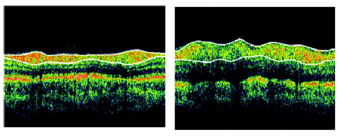
Optical Coherence Tomography (OCT) is a promising as well as noninvasive retina imaging technique that provides cross-sectional images of the eye retina with quality resolution pictures. During the OCT process, six linear scans centered on the Optical Nerve Head (ONH) is obtained, and the OCT software derives the ONH parameters in an automatic manner. The scan also gives horizontal and vertical cup-to-disc ratios. For the measurement of Retinal Nerve Fibre Layer (RNFL), the usable RNFL thickness circle scan mode which consists of 3 scans that are circular with twice the radius of 3.4mm centered on the ONH should be used. Thus the overall, average and quadrant RNFL thicknesses should be calculated automatically. At the OCT scanning, the subject the clinicians should give instructions to fixed on a target internally to bring the ONH within view of the practioner. For the analysis of RNFL thickness the best-quality scan such as focused picture of the fundus, sufficient signal-to-noise ratio, and the presence of a centered, circular ring around the ONH should be chosen. The average of the RNFL thicknesses in each quadrant of the study eye should be compared with the AD patients and the normal subjects. The OCT image of normal and AD is shown on Figure 3. From the figure itself we can identify the loss of nerve layers as well as the thinning of the layers.

Figure 3 OCT image of Normal (left) and AD (right) (Source, SGM&RF)

Discussion

Fundus imaging and OCT give every indication that the technologies can be practical in the evaluation of AD, even in the early stages when current techniques still have limited ability to differentiate AD from other age-related dementias. From the previous sections on fundus imaging and OCT, we can see both methods can be used for the early diagnosis of AD. But for better identification of the disease progression, OCT scan is better. OCT scan finds the microscopic loss of nerve layers of AD patients. Even though there are different neuropathology related tests, various imaging modalities, biomarkers and drug therapies etc for the diagnosis of AD, they are insufficient for a definite diagnosis. But if we can combine the features of all of the above using soft computing techniques such as fuzzy logic, neural computing, evolutionary computation and probabilistic reasoning, it may be possible to early diagnosis of the disease in a convenient way by making an expert system. Fuzzy logic can handle exactness, neural networks focus on learning, evolutionary computation deals with the design and operation of a system to make it as good as possible and probabilistic reasoning can handle the condition of being uncertain.

Conclusion

There are a lot of clinical tests, drug therapies and diagnostic tools such as biomarkers and imaging techniques are available for the diagnosis of Alzheimer’s disease. But the fact is that these techniques are inadequate for the definite diagnosis at the earlier stages because a definite diagnosis of AD can be done through autopsy of the brain. So a newly reliable and efficient method should be developed in order to diagnose the disease with the advanced Biomedical Engineering technology using the aid of various clinical tests, imaging techniques. The recently made investigations on retina of AD patients provide a breakthrough in the initial screening, early diagnosis or monitoring the treatment of AD. Fundus imaging is more economical than OCT, but from the image scans discussed from previous sections, it is clear that OCT can provide accurate results than fundus imaging for the early diagnosis of AD. The screening tests for identifying the AD patients early can be conducted with minimum effort. A clinical follow up for carry out the diagnosis can be set with the above approach on OCT. The early prediction of AD can be made with the above mentioned methods in a reliable and effective way with the help of OCT. As we know that this disease is progressing worldwide with no suitable diagnosis, an effective approach towards this can be made with a point of view to diagnose AD in their early stage with minimum effort, cost and time.

Acknowledgements

The authors are thankful to Sree Gokulam Medical College and Research Foundation, Trivandrum, Kerala, India.

Conflict of interest

The authors declare that there is no conflict of interest.

References

  1. Sandeep CS, Sukesh Kumar A. Early Prediction of Alzheimer’s Disease by Examining Changes in Eye Parameters. J Anal Pharm Res. 2017;5(6):1‒4.
  2. Sandeep CS, Sukesh Kumar A, Mahadevan K, et al. Dimensionality Reduction of Optical Coherence Tomography Images for the Early Diagnosis of Alzheimer’s Disease. American Journal of Electrical and Electronic Engineering. 2017;5(2):58‒63.
  3. Sandeep CS, Sukesh Kumar A. A Review on the Early Diagnosis of Alzheimer’s Disease (AD) through Different Tests, Techniques and Databases. AMSE JOURNALS –2015-Series. 2015;76(1):1‒22.
  4. Sandeep CS, Sukesh Kumar A, Susanth MJ. The Online Datasets Used to Classify the Different Stages for the Early Diagnosis of Alzheimer’s Disease (AD). International Journal of Engineering and Advanced Technology. 2017;6(4):38‒45.
  5. Sandeep CS, Sukesh Kumar A. A Psychometric Assessment Method for the Early Diagnosis of Alzheimer’s disease. International Journal of Scientific & Engineering Research. 2017;8(3):901‒905.
  6. Frost S, Martins RN, Kanagasingam Y. Ocular biomarker for early detection of Alzheimer’s disease. J Alzheimers Dis. 2010;22(1):1‒16.
  7. Ohno Matsu K. Parallel findings in age-related macular degeneration and Alzheimer’s disease. Prog Retin Eye Res. 2011;30(4):217‒238.
  8. Locascio JJ, Growdon JH, Corkin S. Cognitive test performance in detecting, staging, and tracking Alzheimer’s disease. Arch. Neurol. 1995;52(11):1087‒1099.
  9. Farrer L, Brin M, Elsas L, et al. Statement on the use of apolipoprotein E testing for Alzheimer disease (AD). JAMA. 1995;274(20):1627‒1629.
  10. Bradshaw JR, Thomson JLG, Campbell MJ. Computed tomography in the investigation of dementia. BMJ. 1983;286(6361):277‒280.
  11. Katzman R. Should a major imaging procedure (CT or MRI) be required in the workup of dementia? an affirmative view. J Fam Pract. 1990;31(4):401‒410.
  12. Ivnik RJ, Malec JF, Smith GE, et al. Neuropsychological tests’ norms above age 55: COWAT, BNT, MAE Token, WRAT-R Reading, AMNART, STROOP, TMT, and JLO. Clin Neuropsychol. 1996;10(3):262‒278.
  13. Becker PM, Feussner JR, Mulrow CD, et al. The role of lumbar puncture in the evaluation of dementia: the Durham Veterans Administration/Duke University study. J Am Geriatr Soc. 1985;33(6):392‒396.
  14. Krasodomska K, Lubinski W, Potemkowski A, et al. Pattern electroretinogram (PERG) and pattern visual evoked potential (PVEP) in the early stages of Alzheimer’s disease. Doc Ophthalmol. 2010;121(2):111‒121.
  15. Oliveira LT, Louzada PR, Mello FG, et al. Amyloid-b decreases nitric oxide production in cultured retinal neurons: a possible mechanism for synaptic dysfunction in Alzheimer’s disease? Neurochem Res. 2011;36(1):163‒169.
  16. Berisha F, Feke GT, Trempe CL, et al. Retinal Abnormalities in early Alzheimer’s disease. Invest Ophthalmol Vis Sci. 2007;48(5):2285‒2289.
  17. Kesler A, Vakhapova V, Korczyn AD, et al. Retinal thickness in patients with mild cognitive impairment and Alzheimer’s disease. Clin Neurol Neurosurg. 2011;113(7):523‒526.
  18. Guo L, Duggan J, Corderio MF. Alzheimer’s disease and retinal neurodegeneration. Curr Alzheimer Res. 2010;7(1):3‒14.
  19. McKee A, Au R, Cabral H, et al. Visual association pathology in preclinical Alzheimer disease. J Neuropathol Exp Neurol. 2006;65(6):621‒630.
  20. Valenti DA. Anterior Visual System and circadian function with reference to Alzheimer’s disease. Vision in Alzheimer’s disease. Interdisciplinary Topics in Gerontology. 2004;34:1‒29.
  21. Shabana N, Cornilleau P, Carkeet A, et al. Motion perception in glaucoma patients: a review. Survey Ophthal. 2003;48(1):92‒106.
  22. Mei M, Leat S. Suprathreshold contrast matching in maculopathy. Invest Ophthalmol Vis Sci. 2007;48(7):3419-3424.
  23. Feigl B, Brown B, Lovie-Kitchin J. Monitoring retinal function in early age-related maculopathy: visual performance after one year. Eye. 2005;199(11):1169‒1177.
  24. Cronin-Golomb A, Rizzo J, Corkin S. Visual function in Alzheimer’s disease and normal aging. Ann NY Acad Sci. 1991;640:28‒35.
  25. Thiyagesh SN, Farrow TFD, Parks RW, et al. The neural basis of visuospatial perception in Alzheimer’s disease and healthy elderly comparison subjects: an fMRI study. Psychiatry Res. 2009;172(2):109‒116.
  26. Mapstone M Dickerson K, Duffy CJ. Distinct mechanisms of impairment in cognitive ageing and Alzheimer’s disease. Brain. 2008;13196:1618‒1629.
  27. Gilmore GC, Wend HE, Naylor L. Motion perception and Alzheimer’s disease. J Gerontol. 1994;49(2):52‒57.
  28. Armstrong R. Visual field defects in Alzheimer’s disease patients may reflect differential pathology in the primary visual cortex. Optom Vis Sci. 1996;73(1):677‒682.
  29. Trick G, Trick L, Morris P. Visual field loss in senile dementia of the Alzheimer’s type. Neurology. 1995;45(1):68‒74.
Creative Commons Attribution License

©2017 Sandeep, et al. This is an open access article distributed under the terms of the, which permits unrestricted use, distribution, and build upon your work non-commercially.