Submit manuscript...
MOJ
eISSN: 2471-139X

Anatomy & Physiology

Research Article Volume 4 Issue 1

A novel approach towards fine needle aspiration cytology with ultrasound-guide and cyto-assistance: utility of cytofoam- core in differential diagnosis of nodular mass in parenchymatous superficial organs

Stefania Erra

Department of Surgical Pathology, Santo Spirito Hospital, Italy

Correspondence: Stefania Erra, Department of Surgical Pathology, Santo Spirito Hospital, Casale Monferrato, 15033, Italy

Received: June 08, 2017 | Published: July 6, 2017

Citation: Erra S. A novel approach towards fine needle aspiration cytology with ultrasound-guide and cyto-assistance: utility of cytofoam- core in differential diagnosis of nodular mass in parenchymatous superficial organs. MOJ Anat Physiol. 2017;4(1):208–209. DOI: 10.15406/mojap.2017.04.00120

Download PDF

Abstract

Fine Needle Aspiration Cytology is useful for preoperative diagnosis of nodular mass in parenchymatous organs or to determine some characteristics of noted neoplasia in order to benefit of a tailored therapy in selected cases. In most hospital, FNAC has a multidisciplinary approach, thanks to the presence of specialist in various profiles during exam.

As regards our team-work, an innovative approach towards differential diagnosis of some tumors has been tested. Rapid on Site Evaluation permits to recognize the tumors that can be investigated with a new kind of needle, the cytofoam core. In this review, our experience is related.

Introduction

Fine Needle Aspiration Cytology (FNAC) represents a very indispensable instrument for clinical and surgical management of nodular mass in parenchymatous organs. In fact, it allows not only a morphological evaluation of tumor cellular component, but it consents immunophenotypic characterization too. In many instances, to get a good material is important in determining the molecular and sometimes genomic structure of the lesion.

For such reasons, cytopathologists are in favor on Rapid on Site Evaluation (ROSE). In fact, the presence of pathologist during US-guided FNAC provides a higher quality of the exam.1 There is a general agreement that ROSE practice let to obtain more abundant and reliable diagnostic material, with a significant reduction in inadequate withdrawals.2

In order to further improve the quality of the sample obtained by the FNAC, our team-work is adopting a new type of needle, the cytofoam-core. It allows to obtain a cytological sample useful for on-site assessment of adequacy and at the same time sufficient for definitive morphologic and immunophenotypic determination.

Materials and methods

In patients with breast, thyroid, and lymph node suspected pathologies, needle aspirate was performed using the cytofoam-core device. It’s a 23G diameter needle containing an adsorbent support that can hold a part of cellular elements. This adsorbent structure at the base of the needle is named FOAM,that represents a kind of sponge material (Figure 1).


Figure 1 Cytofoam-core before and after use.

After the needle aspiration, FOAM is extracted from the needle and its formal in fixed and paraffin embedded as a tissue sample (Figure 2). On the other hand, the needle content is placed on a slide and colored on site for the estimate of adequacy.

Figure 2 Histological slides of cytofoam-core.

Results

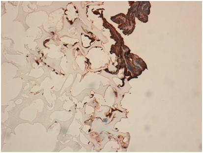
Our team work has obtained very good results from adopting this novel approach in the context of ROSE. The immuno-phenotype of two lymphoid lesions (Figure 3) and the hormonal target of ten breast cancer cells on adsorbed cells on FOAM was determined, with results consistent with those obtained from micro-histological biopsy by tru-cut, performed in second instance to verify the reliability of the new device. Cytofoam-core was also used for immune phenotypic evaluation of ten suspected thyroid lesions on which it was possible to detect the point mutation B-RAF V600E, with full histologic correlation in each of the investigated cases (Figure 4).

Figure 3 CD20 immuno-positivity in small cell non Hodgkin Lymphoma on FOAM.

Figure 4 B-RAF-V600E point mutation positivity on immunohistochemistry in Thyroid papillary carcinoma.

Conclusion

As regards the reliability of the method, the histologic correlation of the cases was 100%. In cases of breast cancer, it was possible to determine the receptor structure for neo-adjuvant therapies, above all in elderly subjects or in patients with important systemic comorbidities, when the cutting needle biopsy is not recommended.

The use of the cytofoam core in suspected thyroid lesions allowed for greater reliability in diagnosing patient reports due to the good outcome of HBME-1 and Galectina-3monoclonal antibody immunoreactivity as well as the ability to find B-RafV600E point mutation.

In diagnosis of selected tumor mass, FNA with cytofoam-core replaces the tissue characteristics, achieving reliable diagnostic results, saving time and resources for the healthcare team and less discomfort for patients.3

In fact, FNAC with cytofoam core corresponds to a FNAC with a simple needle, because the same are time for exam and patient physical discomfort. Unlike any cytological set-up, the FOAM allows to manage a cytology sample as a micro hystologic one, with the utility to make differential diagnosis and molecular determination. This is possible because FOAM is formalin fixed, so that the antigenicity of the cells is preserved.

The most important limit to the use of FOAM is the cellularity of the tumors. It is indispensable to have a high cellularity to allow cell adsorption to the foam, so it cannot be useful for sclerosing neoplasia. A second limit depends on the needle length that is indicated for superficial organs only.4

The ease of use of FOAM and its low cost make it an adaptable tool in all aspiration cytopathology services.5 with some good experience in this novel practice, anyone can improve diagnostic capacity in a preoperative phase or in determination of prognostic factors and predictive response to targeted therapy in selected patients.

Acknowledgements

This study has been funded by Foundation Foltra (Teo, Spain).

Conflict of interest

Author declares that there is no conflict of interest.

References

Creative Commons Attribution License

©2017 Erra. This is an open access article distributed under the terms of the, which permits unrestricted use, distribution, and build upon your work non-commercially.