Submit manuscript...
MOJ
eISSN: 2471-139X

Anatomy & Physiology

Case Report Volume 6 Issue 6

Anatomical considerations of the thumb carpo-metacarpal joint ligaments, based on a case report of isolated joint dislocation

Guzmán Ripoll,1,2 Damián Glumcher,2 Gonzalo Fossati1

1Service of Plastic Surgery and Microsurgery, Hospital Pasteur, Uruguay
2Department of Anatomy, Claeh University, Uruguay

Correspondence: Guzmán Ripoll, Department of Anatomy, Claeh University, Maldonado, Service of Plastic Surgery and Microsurgery, Hospital Pasteur, Montevideo, Uruguay, Tel +59899665633

Received: October 22, 2019 | Published: December 6, 2019

Citation: Guzmán, Ripoll, Glumcher D, et al. Anatomical considerations of the thumb carpo-metacarpal joint ligaments, based on a case report of isolated joint dislocation. MOJ Anat & Physiol. 2019;6(6):214-216. DOI: 10.15406/mojap.2019.06.00275

Download PDF

Abstract

Background: Trapeziometacarpal joint (TM joint) dislocation is an uncommon lesion, mentioned primarily in isolated case reports. Various treatment modalities are used, including conservative and surgical options; however no gold standard approach exists for this rare injury. We present such a case, and review the current literature concepts about the anatomy of the TM joint and its stabilizing ligament.

Case Report: We report a case of a patient presenting an acute TM joint dislocation, handled with closed reduction maneuvers under regional block anesthesia and a splint for 6 weeks. With complete full recovery of thumb function.

Discussion: Isolated dislocation of the TM joint is a rare lesion in the hand, caused by an injury to the ligament stabilizers. An complete understanding of the anatomy is necessary to make a correct diagnosis and treatment. Despite this, there are differences between different authors about which ligaments have a greater function in the stability of the joint. Since Bettinger’s description, it was maintained that the main stabilizer of this joint whas the palmar oblique ligament, known by the name of beak ligament.

Conclusion: We believe that according to the current evidence the DRL, or a dorsal root ligament complex, is the main stabilizer of the TM joint, although findings are not conclusive. Understanding the anatomy of the region is important for comprehending the physiopathology of this rare dislocation, and avoids misconceptions of widely established anatomical concepts in the different literature. What will be essential for surgical treatment?

Keywords: anatomy, ligamentous attachment, trapeziometacarpal joint, dislocation, thumb

Abbreviations

TM joint, trapeziometacarpal joint; OAL, anterior oblique; DRL, dorsoradial; POL, posterior oblique; IML, intermetacarpal

Introduction

The wide range of mobility of the thumb and its capacity for opposition are one of the main evolutionary elements that differentiate our species from the rest of the animals. To understand this mobility, we should consider the thumb as an articular complex that includes the joints: scaphotrapezial, trapeziometacarpal, metacarpophalangeal, and interphalangeal. We will focus only on the trapeziometacarpal joint.1,2

The TM joint, is a biconcave-convex or reciprocal saddle joint. From an evolutionary standpoint, joint stability was sacrificed in order to grant greater mobility.1,2 According to Bettinger et al.2 to stabilize this join, a complex ligamental apparatus developed, composed of 16 ligaments.

The trapeziometacarpal joint (TM joint) dislocation without fracture is a rare event, and there are only 39 cases published in English literature from 1983-2008.3–5 This injury is usually caused by an axial loading and flexion of the thumb metacarpal, with a dislocation in a dorsal direction. It is believed that this dislocation is due to a variety of injuries, from a disruption of the dorsoradial ligament with distal stripping of the anterior oblique ligament to complete avulsion of all ligaments.3,6

While there are multiple anatomical studies about the stabilizing ligaments of the TM joint, it is still discussed by the various authors which are the most relevant ligament in the complex for maintaining joint stability. The aim of this paper is based in a case report, to present a literature review of the current concepts about the anatomy of the TM joint ligaments.

Case report

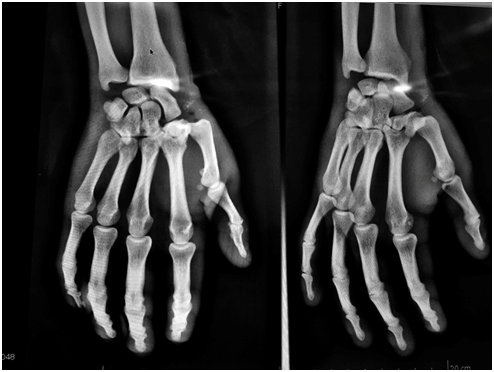
A 30-year-old male patient with no known co morbidities presented to the emergency room of Hospital Pasteur (Montevideo, Uruguay) with acute right hand trauma due to a 2 meter-high fall, impacting with an open hand and thumb in abduction and extension. On physical exam, edema and pain in the thumb with functional impotence were observed. Radiographs showed dorsal TM joint dislocation without fracture (Figure 1). Closed reduction maneuvers were performed under local anesthesia with Xilocaine 2%. Post procedure radiographs showed good position and congruity after the closed reduction. Finally, the hand was protected with a Thumb Spica Cast for 6 weeks. Once the cast was removed, exist a complete recovery with complete mobility and without joint instability in his thumb. Having the approval of the ethics committee of our hospital, as well with the patient’s signed authorization consent. Based on this case, we carried out a literature review of new published concepts of the stabilizing ligament system of the TM joint.

Figure 1 Rx image of the patient, showing dorsal and radial dislocation of the TM joint.

Discussion

Isolated TM joint dislocation is associated with various degrees of joint capsule and ligament damage. Existing to this day, misconceptions about which ligament is the one that presents the greatest function in joint stabilization to avoid dislocation.

The TM joint, is a biconcave-convex or reciprocal saddle joint. From an evolutionary standpoint, this joint sacrificed stability to gain greater mobility. In order to preserve as much stability as possible, a complex ligament apparatus evolved alongside these changes. The composition of this apparatus is variable according to different authors, ranging between 3 and 16 ligaments.6–8 Currently, Bettinger description of 16 ligaments is the most accepted.2

Of these, according to Pieron, it is accepted that there are 4 ligaments that have the greatest function in joint stability: anterior oblique (OAL) or beak ligament, dorsoradial (DRL), posterior oblique (POL), and intermetacarpal (IML).9 It is unclear which, among these 4 ligaments, is the most relevant one. Eaton & Littler10 in his description of the surgical technique of ligament reconstruction for trapeziometacarpal arthrosis, believed that the OAL was the key structure in maintaining joint stability and preventing dorsoradial subluxation. For a long time this concept was accepted, being repeated in the different bibliography until today.

Harvey & Bye11 found the POL to be key structure in maintaining joint stability. While Pagalidis et al.12 disagreed, proposing that IML was the most important. Shah et al.13 in a metacarpal trapezius dislocation case report, found that the injured ligament was the DRL. This concept was endorsed by Strauch et al.6 in a cadaveric study looked for the ligament that fulfilled the greatest function in preventing TMJ joint dislocation. They established that an intact DRL prevents this dislocation, although they do not rule out that the beak ligament has a stabilizing joint function. This concept was repeated by Van Brenk et al.14 who concluded that sectioning the DRL produced the greatest dorsoradial subluxation of the thumb metacarpal. Bettinger2 in his anatomical description of the ligament complex, establishes as a hypothesis based on the results of his description, that given the size and thickness of the DRL, it should have a key function in the stabilization of the thumb.

Edmunds1 defines a dorsal ligament complex, composed of the DRL and POL, being this largest, thickest, strongest, and most important ligament of the TM joint. Hagert et al.15 find that the 3 dorsal ligaments had significantly more nerve endings (Pacinian corpuscles, Ruffini endings, or Golgi-like) than the 2 volar ligaments. Concluding that the presence of mechanoreceptors in the dorsal TM joint ligaments infers a proprioceptive function of these ligaments in addition to their biomechanical importance in TM joint stability.

Ladd et al.16 described three dorsal deltoid-shaped ligaments, compounded by the radial back, central dorsum, and posterior oblique ligament. These are significantly thicker than the volar ligaments, with a significantly greater cellularity and greater sensory innervation compared with the previous oblique ligament. They also emphasized that the beak ligament is consistently a thin structure with a histologic appearance of capsular tissue with low cellularity.

D'Agostino et al.17 showed that the DRL is significantly shorter and thicker than the AOL, which is thin and ill-defined, which supports the premise that the DRL is the main ligament that gives greater joint stability.

Conclusion

Isolated dislocation of the TM joint is a rare lesion in the hand, caused by injury of the ligament stabilizers. We believe that according to the current evidence the DRL, or a dorsal root ligament complex, is the main stabilizer of the TM joint, although findings are not conclusive. Understanding the anatomy of the region is important for comprehending the physiopathology of this rare dislocation, and avoids misconceptions of widely established anatomical concepts in the different literature. What will be essential for surgical treatment.

Acknowledgements

None.

Conflict of interest

The authors declare there are no conflicts of interest.

References

  1. Edmunds JO. Current concepts of the anatomy of the thumb trapeziometacarpal joint. J Hand Surg Am. 2011;36(1):170–182.
  2. Bettinger PC, Linscheid RL, Berger RA, et al. An anatomic study of the stabilizing ligaments of the trapezium and trapeziometacarpal joint. J Hand Surg Am. 1999;24(4):786–798.
  3. Bosmans B, Verhofstad MHJ, Gosens T. Traumatic thumb carpometacarpal joint dislocations. J Hand Surg. 2008;33(3):438–441.
  4. Khan A, Khan G, Khan Z. Pure trapezio-metacarpal dislocation - a rare injury. Int J Res Med Sci. 2016;4(4):1290–1291.
  5. Fotiadis E, Svarnas T, Lyrtzis C, et al. Isolated thumb carpometacarpal joint dislocation: a case report and review of the literature. J Orthop Surg Res. 2010;5:16.
  6. Strauch R, Behrman M, Rosenwasser M. Acute dislocation of the carpometacarpal joint of the thumb: an anatomic and cadaver study. J Hand Surg. 1994;19(1):93–98.
  7. Maes-Clavier C, Bellemère P, Gabrion A, et al. Anatomical study of the ligamentous attachments and articular surfaces of the trapeziometacarpal joint. Consequences on surgical management of its osteoarthrosis. Chir Main. 2014;33(2):118–123.
  8. Leversedge F. Anatomy and pathomechanics of the thumb. Hand Clin. 2008;24(3):219–229.
  9. Pieron AP. The mechanism of the first carpometacarpal (CMC) joint: an anatomical and mechanical analysis. Acta Orthop Scand Suppl. 1973;148:1–104.
  10. Eaton RG, Littler JW. Ligament reconstruction for the painful thumb carpometacarpal joint. J Bone Joint Surg. 1973;55(8):1655–1666.
  11. Harvey FJ, Bye WD. Bennett’s fracture. Hand. 1976;8(1):48–53.
  12. Pagalidis T, Kuczynski K, Lamb DW. Ligamentous stability of the base of the thumb. Hand. 1981;13(1):29–36.
  13. Shah J, Patel M. Dislocation of the carpometacarpal joint of the thumb. A report of four cases. Clin Orthop Relat Res. 1983;175:166–169.
  14. Van Brenk B, Richards RR, Mackay MB, et al. A biomechanical assessment of ligaments preventing dorsoradial subluxation of the trape- ziometacarpal joint. J Hand Surg Am. 1998;23:607–611.
  15. Hagert E, Garcia-Elias M, Forsgren S, et al. Immunohistochemical analysis of wrist ligament innervation in relation to their structural composition. J Hand Surg Am. 2007;32(1):30–36.
  16. Ladd AL, Lee J, Hagert E. Macroscopic and microscopic analysis of the thumb carpometacarpal ligaments. A cadaveric study of ligament anatomy and histology. J Bone Joint Surg Am. 2012;94(16):1468–1477.
  17. D’Agostino P, Kerkhof D, Shahabpour M, et al. Comparison of the anatomical dimensions and mechanical properties of the dorsoradial and anterior oblique ligaments of the trapeziometacarpal joint. J Hand Surg Am. 2014;39(6):1098–1107.
Creative Commons Attribution License

©2019 Guzmán,, et al. This is an open access article distributed under the terms of the, which permits unrestricted use, distribution, and build upon your work non-commercially.