Submit manuscript...
MOJ
eISSN: 2471-139X

Anatomy & Physiology

Research Article Volume 9 Issue 1

Lead biosorption and histological changes in gills and liver of juvenile african catfish (Clarias gariepinus) treated with neem (Azadirachta indica) and mango leaves (Mangifera indica)

Gosomji I J,4 Koplamma N B,1 Iheukwumere C C ,1 Azua E T,2 Bilbonga G3

1Department of Botany, Joseph Tarka University, Nigeria
2Department of Zoology, Joseph Tarka University, Nigeria
3Department of Animal Production and Health, Federal University Wukari, Nigeria
4Department of Veterinary Anatomy, University of Jos, Nigeria

Correspondence: Gosomji I J, Department of Veterinary Anatomy, University of Jos, Plateau State, Nigeria, Tel +2348136 070134

Received: August 30, 2022 | Published: September 28, 2022

Citation: Koplamma NB, Iheukwumere CC, Azua ET, et al. Lead biosorption and histological changes in gills and liver of juvenile african catfish (Clarias gariepinus) treated with neem (Azadirachta indica) and mango leaves (Mangifera indica). MOJ Anat Physio. 2022;9(1):15-18. DOI: 10.15406/mojap.2022.09.00320

Download PDF

Abstract

Lead (Pb) is non-biodegradable in nature, thus accumulate in the environment especially the aquaculture. This study was aimed at investigating lead biosorption and histological changes in gills and liver of juvenile African catfish (Clarias gariepinus) treated with neem (Azadirachta indica) and mango leaves (Mangifera indica). A total of 180 healthy juveniles of Clarias gariepinus were used for the period of six (6) weeks of this experiment. They were divided into two groups of pulverized neem and mango leaves with ninety (90) in each. They were further divided into three groups of thirty (30) with each comprising of two experimental groups of 10mg/L and 15mg/L of Pb and control. Experiment of biosorption was conducted in muscle, gills and liver while the histology was conducted in the gills and liver only. The results of pulverized neem showed a significant difference (P<0.0001) of biosorption of 15mg/L Pb in muscle, gills and liver with higher value (0.0017) in muscle while in pulverized mango, both 10mg/L and 15mg/L appeared statistically significant (P<0.0001) with liver (0.003) and gills (0.003) respectively had higher statistical values. There was irreversible histological damages of the gills in PNL and 15mg/L of Pb and PNL and 10mg/L Pb and a reversible histological damage in PML and 15mg/L Pb and PML and 10mg/L Pb groups. The histology of the liver appeared irreversibly damage in groups PNL and 15mg/L of Pb and PML and 15mg/L and reversibly damage in PNL and 10mg/L Pb and PML and 10mg/L Shows fatty degenerated parenchyma with focal necrosis with slight sinusoidal distortion. In conclusion, biosorption of lead is more effective with PML since the damage to the tissues are minimal and reversible.

Keywords: Lead, Biosorption, Histology, Neem, Mango, Fish

Introduction

Heavy metals contamination is of great toxic impact on the environment especially in aquaculture.1 Lead as one of the heavy metals get introduced into streams by various industrial activities or exploitation of this metal.2 It is non-biodegradable in nature, thus makes their threat multiplied by their accumulation in the environment through food chain.3 In water bodies, it is absorbed by fish through the skin, gills, digestive tracts and some key metabolic organs resulting in sub lethal or lethal tendency, depending on the concentration of the accumulated metal in the fish.4

However, heavy metals in water were successfully removed through conventional methods which include chemical precipitation and oxidation, ion exchange, membrane separation, reverse osmosis and electro dialysis. These methods have been reported to be costly, not very effective, and require high energy input. The search for alternative new technologies for the removal of toxic metals or heavy metals from waste water has focused attention on biosorption.4 Biosorption is very effective, easiest, safest and of low cost method for the treatment of waste effluents containing heavy metals.5,6 Recent studies have shown that lead (Pb) can be removed using plant materials such as Ficus benghalensis L.,7 rape seed,8 Ralstonia solanacearum.9 However, there are paucity of reports on lead biosorption and histological changes on gills and liver of the juvenile African catfish (Clarias gariepinus) treated with neem (Azadirachta indica) and mango leaves (Mangifera indica).

Material and methods

Experimental site and location

The experiment was conducted from 30th September to 13th November, 2020 in the Fisheries Department, University of Agriculture, Makurdi, located in the Southern Guinea Savannah zone of Nigeria.

Preparation of pulverized Azadirachta indica and Mangifera indica leaves:

Neem (Azadirachta indica) and mango (Mangifera indica) leaves were obtained from the University of Agriculture, Research Farm. The leaves were chopped, washed and allowed to dry at laboratory temperature at 28 ± 3˚C. It was oven dried at 70˚C for 30hrs and 200˚C for 6hrs. The dried leaves were pulverized into fine powder and sieved with 0.25-0.5mm pore size and preserved in Ambian Bottles for use in subsequent experiment.

Source of water:

Water used was collected from the Borehole of Fisheries Department, University of Agriculture Makurdi, Benue State Nigeria. Temperature and pH were determined at the beginning and the end of the experiment using Hanna Multi- Parameters water tester Model HI 98129. The dissolved oxygen (DO) was measured using VWR Metre Model L89023

Experimental design:

A total of 180 healthy juveniles of Clarias gariepinus were used for this study. They were divided into two groups of pulverized neem and mango leaves with ninety (90) in each. They were further divided into three groups of thirty (30) with each comprising of two experimental groups of 10mg/L and 15mg/L of Pb and control. Each group was in an aquarium with dimension of 100×50cm containing 50 litres of water. Each treatment was replicated into three (3) and arranged in a completely randomized design at temperature of 25±3℃. (PNL). The experiment lasted for six (6) weeks.

Preparation of samples for analysis of lead (Pb) in fish

Approximately 10grams of the harvested samples (muscle, liver and gills) were homogenized. 1gram of the homogenate was used to achieve digestion. The 1gram was placed in a 100ml flask and mineralized under reflux using the mixture of 6ml, 2ml and 4ml of HNO3, HClO4 and H2O2 respectively. The procedure took 6 hour until a clear solution was obtained. The procedure was prepared in triplicate and carefully transferred to a flask. The digest were then analyzed for Pb using an atomic absorption spectrophotometer (Model: AAS Buck Scientific 205) with aqueous calibration standards prepared from the stock standard solutions of the respective elements as described by.10

Histology

The fish were sacrificed to remove gills and liver for histological examination. The removed samples were immediately fixed in 10% neutral buffered formalin for at least 24 hours. The formalin-fixed samples were then subjected to dehydration in grades of ascending alcohol concentrations (70%–100%), cleared in xylene, embedded in paraffin, and sectioned at 5 µm. The sections were then stained with hematoxylin-eosin and viewed with light microscope.

Statistical analysis

All data was analyzed using the JMP version 13 (2016).11 It was analyzed (P<0.05) using a one way analysis of variance (ANOVA). Significant differences in least square means were separated using a Turkey post-hoc test.

Results

Physicochemical analysis of the aquarium

The physicochemical analysis of the aquarium before the commencement of the experiment showed that, temperature 27.1℃, pH 7.80, dissolved oxygen (DO) 6.15mg/L, total dissolved solid (TDS) 221mg/L and electricity conductivity (EC) 223µS/cm. After the experiment, data showed were temperature 27.7℃, pH 7.80, DO 6.70mg/L, TDS 440mg/L and EC 1661µS/cm (Table 1).

Biosorption:

The results of Pb biosorption was observed in muscle, gills and liver using pulverized neem and mango leaves were recorded in Tables 1 and 2. There was no significant difference in Pb biosorption of muscle, gills and liver at 10mg/L Pb using pulverized neem (Table 2). At 15mg/L Pb, the result showed a significant difference (P<0.0001) in muscle, gills and liver with higher value (0.0017) in muscle using pulverized neem (Table 2). In pulverized mango, both 10mg/L Pb and 15mg/L Pb were statistically significant (P<0.0001). The liver (0.003) and gills (0.003) respectively had higher statistical values (Table 3).

Temperature (0C)

DO (mg/L)

TDS (mg/L)

EC (μS/cm)

Before experiment

27.1

6.15

221

223

After experiment

27.7

6.7

440

1661

Table 1 Physicochemical analysis of the aquarium before and after the experiment

Least square mean concentration of lead

Tissues

10 mg/L

15 mg/L

Control

Muscle

0.001

0.0017a

0

Gills

0.001

0.0010b

0

Liver

0.003

0.0010b

0

SEM

0

4.55e-5

0

P value

-

0.0001*

0

Table 2 Lead biosorption of tissues of juvenile Clarias gariepinus in aquarium treated with pulverised neem leaves
Means with different superscript (a-b) in the same column are significantly different. Standard Error of Mean (SEM).

Least square mean concentration of lead

Tissues

10 mg/L

15 mg/L

Control

Muscle

0.0011b

0.0011b

0

Gills

0.0011b

0.0030a

0

Liver

0.0030a

0.0010b

0

SEM

7.36e-6

5.17e-6

0

P value

0.0001*

0.0001*

-

Table 3 Lead biosorption of tissues of juvenile Clarias gariepinus in aquarium treated with pulverised mango leaves
Means with different superscript (a-b) in the same column are significantly different. Standard Error of Mean (SEM).

Histopathology of the gills and liver

The gills of juvenile Clarias gariepinus exposed to graded dose of lead (Pb), pulverized neem leaves (PNL) and mango leaves (PML) were observed varied histological changes (Figure 1). At PNL and 15mg/L of Pb it was observed congested gill filament vessel, partially obliterated secondary lamellae. The result obtained in PML and 15mg/L Pb was typically a depletion of primary gill filaments. At PML and 10mg/L Pb, it was observed congested gill filament vessel while at PNL and 10mg/L Pb the primary gill filaments were congested vessel and secondary lamellae appeared obliterated (Figure 1).

Figure 1 Photomicrograph of the gills of juvenile Clarias gariepinus exposed to graded dose of lead (Pb), pulverized neem leaves (PNL) and mango leaves (PML). (A) Control: Shows primary gill filaments (star) with lateral extension kwon as secondary lamellae. Gill filaments have a central cartilaginous support (black oval surrounding the cartilage), H and E. Scale bar, 2.5μm. (B) PNL and 15mg/L of Pb: Shows congested gill filament vessel (blue oval), partially obliterated secondary lamellae. (C) PNL and 10mg/L Pb: Shows primary gill filaments (star) with congested vessel (blue oval), and obliterated secondary lamellae (D) PML and 15mg/L Pb: Shows primary gill filaments (star) with depleted cells. (E) PML and 10mg/L Pb: Shows congested gill filament vessel (blue oval).

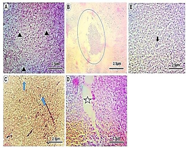
The liver of juvenile Clarias gariepinus exposed to PNL and 15mg/L of Pb was observed depletion of hepatic parenchyma and infiltration lymphocytic cells into the parenchyma (Figure 2). The hepatic parenchyma appeared depleted with fatty degeneration in PML and 15mg/L Pb (Figure 2). The result of PNL and 10mg/L Pb appeared to have fatty degenerated parenchyma with focal necrosis while PML and 10mg/L Pb was observed to have fatty degenerated parenchyma with sinusoidal distortion (Figure 2).

Figure 2 Photomicrograph of the liver of juvenile Clarias gariepinus Fig. Photomicrograph of the livers of juvenile Clarias gariepinus exposed to graded dose of lead (Pb), pulverized neem leaves (PNL) and mango leaves (PML). (A) Control: Shows the parenchyma composed of polyhedral hepatocytes typically with central nuclei. The nuclei of these cells are elongated and protrude into the sinusoidal lumen. (B) PNL and 15mg/L of Pb: Shows the depletion of hepatic parenchyma and infiltration lymphocytic cells into the parenchyma. (C) PNL and 10mg/L Pb: Shows fatty degenerated parenchyma with focal necrosis (black arrow). (D) PML and 15mg/L Pb: Shows the depletion of hepatic parenchyma (star) with fatty degeneration. (E) PML and 10mg/L PbShows fatty degenerated parenchyma with sinusoidal distortion (blue arrow).

Discussion

The neem and mango extracts have been reported to have antiparasitic and antibacterial properties. At higher concentration, the extracts can be slightly toxic/lethal in fish.12-16 Higher concentrations of the extracts results in convulsion, somersaulting, difficulty in swimming, immobilization and loss of balance, which will subsequently lead to death.14,17 Low concentration of Pb in tissues observed indicates the potency of pulverized neem and mango leaves. This appeared even much lower than the required standard concentration of Pb in tissues.18 With low concentration of Pb, biosorption appeared to be more effective. Similar findings observed decrease uptake of CU (II) with increased biosorbent dosage.19,20

Though biosorption was higher with higher PNL and PML concentration, the organs appeared reversibly and irreversibly damaged depending on the concentration of Pb. Histopathological examination revealed congested gill filament vessel, partially obliterated secondary lamellae, primary gill filaments with congested vessel (blue oval), and obliterated secondary lamellae, gill filaments with depleted cells. The extracts at concentrations of 5 and 7.5 gL-1 damaged the gills, but not influenced the osmoregulatory capacity of the Prochilodus lineatus (Winkaler et al., 2007). Slight pathological changes at the 30 mg/l concentration of NeemAzal T/S and significant changes at the highest concentration of 60 mg/l with morphological changes were found in the gill such as oedema of gill lamellae, focal separation of gill lamellar surface and aggregates of mononuclear cells.21

In this study, the histological damages in the gills observed in PNL and 15mg/L of Pb and PNL and 10mg/L Pb appeared irreversible due congestion and obliteration of the primary gill filament vessel, obliteration of secondary lamellae. While lesions observed in PML and 15mg/L Pb and PML and 10mg/L Pb groups appeared reversible. Similar findings were reported in the liver of heteroclarias juveniles exposed to lethal and sub-lethal concentrations of chlorpyrifos.22 Irreversible (B) PNL and 15mg/L of Pb and PML and 15mg/L Pb depletion of hepatic parenchyma and infiltration lymphocytic cells into the parenchyma. The depletion of hepatic parenchyma with fatty degeneration. Reversible PNL and 10mg/L Pb and PML and 10mg/L Shows fatty degenerated parenchyma with focal necrosis with slight sinusoidal distortion. Similar findings were obtained in freshwater cyprinid when examining lead and other metals in the liver.23

Conclusion

The effective decrease of Pb concentration in tissues used in this study has proven that PNL and PML are good biosorption agents. These can be effectively used in aquaculture environment with the tendency of Pb poisoning. Though PNL and PML are effective, PML seems to be more effective since the damage to the tissues are minimal and reversible.

Acknowledgments

None.

Conflicts of interest

All authors attest that there is no conflict of interest.

References

  1. Hegazy WH, Hamed MA, Toufeek MES. Determination of some heavy metals in water of southern region of lake Manzala, Egypt. Egyptian Journal of Aquatic Biology and Fish. 2016;20(4):69–81.
  2. Dhiraj S, Mahajan G, Kaur MP. Agricultural waste material as potential adsorbent for sequestering heavy metal ions from aqueous solutions– A review. Bioresource Technology. 2000;996017–996027.
  3. Volesky B. Sorption and Biosorption. BV–Sorbex, Inc., Montreal, 2003;316.
  4. Sulaiman MS, Garba MD. Biosorption of Cu (II) Ions from aqueous solution using Azadirachta indica leaf powder. Chemical and Process Engineering Research. 2014;27:2224–7467.
  5. Oboh I, Aluyor E, Audu T. Biosorption of heavy metal ions from aqueous solution using a biomaterial. Leonardo journal of science. 2009;14:58–65.
  6. Saeed A, Iqbal M, Akhtar W. Removal and recovery of lead (II) from single and multimetal (Cd, Cu, Ni, Zn) solutions by crop milling waste (black gram husk). J Hazard Mater. 2005;11:65–73.
  7. Surisetty RV, Kozinski J, Nageswara LR. Biosorption of Lead Ions from Aqueous Solution Using Ficus benghalensis L. Journal of Engineering. 2013.
  8. Morosanu I, Teodosiu C, Paduraru C, et al. Biosorption of lead ions from aqueous effluents by rapeseed biomass. New Biotechnology, 2017;39(A):110–124.
  9. Pugazhendhi A, Boovaragamoorthy GM, Kuppusamy Ranganathan K, et al. New insight into effective biosorption of lead from aqueous solution using Ralstonia solanacearum: Characterization and mechanism studies. Journal of Cleaner Production. 2018;174:1234–1239.
  10. Aweke K, Taddese W. Distribution of trace elements in muscle and organs of Tilapia, Oreochromis niloticus, from lakes Awassa and Ziway, Ethiopia. Bulletin of Chemical Society of Ethiopia. 2004;18:119–130.
  11. JMP Version. Discovering JMP 13®, SAS Institute Inc., Cary, NC, USA. 2016.
  12. Winkaler EU, Santos TRM, Machado–Neto JG, et al. Acute lethal and sublethal effects of neem leaf extract on the neotropical freshwater fish Prochilodus lineatus. Comparative Biochemistry and Physiology. 2007;145:236–244.
  13. Saravanan M, Ramesh M, Malarvizhi A, et al. Toxicity of Neem Leaf Extracts (Azadirachta indica A. Juss) on Some Haematological, Ionoregulatory, Biochemical and Enzymological Parameters of Indian Major Carp, Cirrhinus mrigala. Journal of Tropical Forestry and Environment. 2001;01(01):14–26.
  14. Olufayo MO, Adeyanju AA. Haematological Effect of Sub–Lethal Concentrations of Neem Leaves (Azadirachta indica) on Heterobranchus bidorsalis. Forests and Forest Products Journal. 2012;5:37–41.
  15. Oniovosa UE, Aina OO, Alarape SA, et al. Effects of Neem Leaves Aqueous Extract on Organ Histology, Haematological Parameters and Biochemical Indices in Catfish. Alexandria Journal of Veterinary Science. 2017;54:17–24.
  16. Mondal P, Garai P, Chatterjee A. Toxicological and therapeutic effects of neem (Azadirachta indica) leaf powder in hole–in–the–head (HITH) disease of fish Anabas testudineus. Aquaculture Research. 2020;00:1–9.
  17. Ahsan MK, Alam MM, Parween S. Neem leaf juice as bio–safe anaesthetic against two live fish, Anabas testudineus and Channa punctate. International Journal of Aquatic Biology. 2006;4(4):233–238.
  18. WHO. (World Health Organisation). Guidelines for Drinking Water Quality. 4th Edition, NLM Classification: WA657, World Health Organisation, Geneva, Switzerland, 2011;pp. 307–433.
  19. Sethu V, Goey KS, Iffah FR, et al. Adsorption characteristics of Cu (II) ions in aqueous solutions using Mangifera indica (Mango) leaf biosorbents. Adsorption characteristics of Cu (II) ions in aqueous solutions using Mangifera indica (Mango) leaf biosorbents. Journal of Environmental Research and Development. 2010;5(2):262–278.
  20. Vaghetti JCP, Lima EC, Royer B. Application of Brazilian–pine fruit coat as a biosorbent to removal of Cr (VI) from aqueous solution—Kinetics and equilibrium study. Biochem Eng J. 2008;42(1):67–76.
  21. Chromcova L, Blahova J, Zivna D, et al. Neem Azal T/S – toxicity to early–life stages of common carp (Cyprinus carpio L.). Veterinarni Medicina. 2015;60:(1):23–30.
  22. Abdulkareem SI, Ajetunmobi MO, Yekini YO. Histopathological Alterations in some Tissues of Heteroclarias Juveniles Exposed to Lethal and Sub–lethal Concentrations of Chlorpyrifos and Ameliorative Potentials of Vitamin E to the Toxicity of the Pesticide. Tanzania Journal of Agricultural Sciences. 2020;9 (2):67–77.
  23. Saravpreet K, Khera KS, Kondal KJ. Heavy metal induced histopathological alterations in liver, muscle and kidney of freshwater cyprinid, Labeo rohita (Hamilton). Journal of Entomology and Zoology Studies. 2018;6(2):2137–2144.
Creative Commons Attribution License

©2022 Koplamma, et al. This is an open access article distributed under the terms of the, which permits unrestricted use, distribution, and build upon your work non-commercially.