Submit manuscript...
MOJ
eISSN: 2471-139X

Anatomy & Physiology

Research Article Volume 7 Issue 4

Lead-induced oxidative stress in postnatal developing cerebellum of Wistar rats: role of aqueous extract of Cucumis sativus Linn and vitamin C

Innocent O Imosemi,1 Adu Y Olawande,1 Olatunde Owoeye,1 Adefolarin O Malomo1,2

1Department of Anatomy, College of Medicine, University of Ibadan, Nigeria
2Department of Surgery, College of Medicine, University of Ibadan, Nigeria

Correspondence: Innocent O Imosemi, Department of Anatomy, College of Medicine, University of Ibadan, Ibadan. Nigeria, Tel +234 706 802 5958

Received: July 11, 2020 | Published: July 30, 2020

Citation: Imosemi IO, Olawande AY, Owoeye O, et al. Lead-induced oxidative stress in postnatal developing cerebellum of Wistar rats: role of aqueous extract of Cucumis sativus Linn and vitamin C. MOJ Anat Physiol. 2020;7(4):104-113. DOI: 10.15406/mojap.2020.07.00299

Download PDF

Abstract

Lead (Pb) is one of the most abundant heavy metal whose toxicity causes environmental and health problems, with the brain being highly sensitive to lead toxicity. There is limited literature regarding the protection of the developing brain against lead-induced toxicity. However, plant-derived products with antioxidant activity have been useful in reducing lead-induced neurotoxicity. This study investigated the role of Cucumis sativus (C. sativus) (Cucumber) and vitamin C in lead-induced oxidative stress in postnatal developing cerebellum of Wistar rats.

Twenty-five pregnant Wistar rats weighing between 160 and 180g were divided into five groups (n=5). Group I served as control and received water, group II received 50mg/kg of lead acetate, group III received 200mg/kg aqueous extract of C. sativus, group IV received 200mg/kg of C. sativus and 50mg/kg of lead acetate and group V received 200mg/kg of vitamin C and 50mg/kg of lead acetate. The interventions were administered orally using an oral gavage from the first day of gestation to postnatal day 21. Neurobehavioural assessment (forelimb grip strength and negative geotaxis) was carried out on pups of day 21 and then sacrificed. Some cerebella of pups of days 1, 7, 14, 21 and 28 were fixed in 10% formol-saline for histological and immunohistochemical evaluations, while others (day 21) were preserved in in phosphate buffered saline at 4°C and pH 7.2 for oxidative stress assays. Data were analysed using ANOVA at p<0.05.

Decreased body weight of Pb-treated pups on days 14 and 21, decreased forelimb grip and increased negative geotaxis, increased lipid peroxidation (LPO), decreased glutathione (GSH) levels, superoxide dismutase (SOD), catalase (CAT) and glutathione peroxidase (GPx) activities was seen in the lead-treated day 21 pups compared with the control and other treated groups. Histologically, in the cerebellar cortex, there was persistent external granular layer (EGL) on day 21 in the treated groups compared with the control, decreased molecular layer (ML) thickness and depleted Pc in the Pb-treated day 28 pups, and increased astrocyte population on day 21 pups compared with the control and C. sativus groups. Lead induced oxidative stress which caused behavioural deficit and morphological changes in the postnatal developing cerebellum of rats. Aqueous extracts of Cucumis sativus and vitamin C decreased the rate at which lead induced neurotoxicity.

Keywords: lead poisoning, oxidative stress, cucumis sativus, neurobehavioral, cerebellar development

Introduction

Lead (Pb) is one of the most abundant heavy metals and its toxic effect causes environmental and health problems because of its stability in contaminated site and complexity of mechanism in biological toxicity.1 Lead is widely used in industries, batteries, paints, plastic, ceramic, secondary foundries and welding. Humans and animals may be exposed to lead through food, contaminated water and air pollution caused by industrial emission and gasoline containing lead compounds.2 Exposure to lead mainly occurs through the respiratory and gastrointestinal systems. Absorbed lead is stored in soft tissues before its conjugation in the liver, then passed to the kidney where a small quantity is excreted in urine while the remaining accumulates in various body organs, affecting many biological activities at the molecular, cellular and intercellular levels, which may result in morphological alterations,3,4 affecting the central nervous system (CNS), haematopoietic, renal and reproductive systems.5,6 The nervous system appears to be the most sensitive and chief target for lead-induced toxicity,7,8 causing permanent brain damage and even death.9 Lead has been reported to cross the blood-placental barrier and blood-brain barrier (BBB) in developing animals, accumulating in foetal tissues and causing damage to the brain, including the glial cells.10–12 Accumulation of lead in the CNS of fetuses and young may result in encephalopathy, presenting major symptoms such as, headache, irritability, poor attention span, dullness, loss of memory, muscular tremor, hallucinations, convulsions, delirium, lack of coordination, ataxia, paralysis and coma.13 Needleman et al.14 reported that the developing nervous system of foetuses and young children absorb higher fraction of lead as such, are especially vulnerable to the neurological effects of lead, impairing the transduction of nerve impulses, causing muscular weakness, especially of the exterior muscles, fatigue and lack of muscular co-ordination.15

Lead has been reported to induces toxicity via generation of free radicals resulting in oxidative stress,16,17 disrupting the prooxidant/antioxidant balance, contributing to tissue injury via oxidative damage by modifying biomolecules such as lipids, proteins and DNA.18 Oxidative stress-related disorders in humans can be prevented or ameliorated by supplementation with compounds containing high antioxidant activity19 and the use of medicinal and phenolic plants possessing high antioxidant property for protection against heavy metal toxicity has become of great interest to researchers.20 Cucumis sativus (Cucumber) a seasonal vegetable crop cultivated worldwide consumed fresh in salads or fermented (pickles) or as a cooked vegetable,21 belongs to the Cucurbitaceae family. Cucumis sativus is a very good source of vitamins A, B6, beta-carotene and C, calcium, potassium, magnesium, phosphorus, thiamin, folate, pantothenic acid, manganese copper and dietary fiber, which support its role as a nueroprotective agent.22 The medicinal benefits of C. sativus in promoting healthy hair growth, treatment of skin infections like eczema, expulsion of intestinal and tapeworms and lowering of blood pressure are well documented.23,24 Pharmacologically, the hepatoprotective,25 antidiabetic,26 anti-ulcer and wound healing27 and antioxidant28 activities of C. sativus have been reported but literature on the use of medicinal plants, which are affordable and easily accessible in ameliorating or protecting Pb neurotoxicity is limited. Cucumis sativus contains an anti-inflammatory flavonol called fisetin and antioxidant flavonoids called quercetin which help improves memory and protecting nerve cells in neurodegenerative illnesses such as aging, cancer, Alzheimer’s disease and chronic heart disease.29 Considering the regulatory functions of the cerebellum in motor co-ordination, equilibrium, smooth eye movements and maintenance of muscle tone,30 the documented toxicity of lead exposure and the antioxidant property of C. sativus, this study was designed to investigate the protective effects of aqueous extracts C. sativus on lead-induced oxidative stress in the postnatal developing cerebellum of Wistar rat.

Materials and methods

Preparation of aqueous extract of Cucumis sativus

Cucumis sativus (Cucumber) was purchased from Bodija market in Ibadan, Oyo state, Nigeria, identified and authenticated at Forestry Research Institute of Nigeria, FRIN (FHI: 112307). The vegetables were washed thoroughly in clean water, cut into smaller pieces and then blended until puree is formed while gradually adding water. The Puree was allowed to steep with hot water for about 15-20 minutes and then strained and the filtrate was preserved in a refrigerator at adequate temperature (2-8°C) until when needed. The extract at a dose of 150 mg/kg body weight was administered orally.

Experimental animals

Twenty five (25) female Wistar rats weighing between 160 and180g were housed in the central animal house, College of Medicine, University of Ibadan, Nigeria. They were acclimatized to laboratory room conditions (12 hour dark/light periods) for two week before the onset of the experiment. The rats were fed with rat chow, and water ad libitum. The rats were mated and pregnancy confirmed by the presence of vaginal plug or smear and taken as the first day of conception. All the animals received humane care according to criteria outlined in the Guide for the Care and Use of Laboratory Animals (prepared by the National Academy of Science and published by the National Institutes of Health, 2011).

Experimental design

The pregnant rats were divided into five groups (n=5) as follows; Group I: Received distilled water daily and served as control group

Group II: Received 50 mg/kg per lead acetate daily31

Group III: Received 150 mg/kg per C. sativus daily

Group IV: Received 150 mg/kg C. sativus + 50mg/kg lead acetate daily

Group v: Received 200 mg/kg vitamin C32 + 50mg/kg lead acetate daily

The interventions were administered orally, between the 8 and 10 am using oral gavage from day 1 of pregnancy through postnatal day 21. The doses administered were calculated using the average weight of the animals in each group. Aqueous extracts of C. sativus and vitamin C was administered one hour before administration of lead acetate.

Sacrifice of the experimental animals and brain tissue harvest

After birth, the pups of days 1, 7, 14, 21, and 28 were weighed, neurobehavioural studies was done (on pups of day 21) and sacrificed by quick cervical dislocation. The brains and cerebella of the pups dissected out, weighed and some cerebella fixed in 10% formol-saline for histological and immunohistochemical studies, while others were preserved in phosphate buffered saline at 4°C and pH 7.4 for oxidative stress evaluation.

Neurobehavioural test

Forelimb grip strength test: This test (for muscular strength and balance) involved placing the fore paws of the rat on a horizontally suspended metal wire (measuring about 2mm in diameter and 1m in length), placed one meter above a landing surface filled with soft bedding. The length of time that each rat was able to stay suspended by its forelimb alone, before falling off the wire was recorded. A maximum time of 5 minutes was allotted to each rat for this test.33

Negative geotaxis: The unlearned response to gravitational cues is referred to as negative geotaxis.34 In this test (measure equilibrium), the rats were placed facing downwards and against gravity on a wooden plane, inclined at an angle of 45 degrees to the horizontal. The rats were left to re-orient themselves properly to a position where their tail pointed in the direction of gravity, and the time taken for each rat to successfully re-orient itself properly was recorded. For every rat that failed to re-orient itself, the time was recorded as 60s.35

Oxidative stress marker and antioxidants: The cerebellar tissues were homogenized in ice cold phosphate buffer at pH 7.4. The resulting homogenates were centrifuged at 4°C at 1500 rmp for 10 minutes and the supernatant used for oxidative stress evaluation. Protein concentrations of the cerebellar tissue were determined using Bradford method36 and the following oxidative stress marker and antioxidants were assayed for using spectrophotometer; lipid peroxidation (LPO) in line with the method described by Varshney & Kale37 reduced glutathione (GSH) in line with the method used by Beutler et al.38 catalase (CAT) in accordance with Claiborne,39 superoxide dismutase (SOD) activity following Misra and Fridovich’s method40 and glutathione peroxidase (GPx) activity by the method of Rotruck et al.41

Tissue processing for histological and immunohistological studies

Histological preparations: Cerebellar tissues from the pups of all groups were fixed in 10% formo-saline, processed employing routine paraffin embedding and stained with Haematoxylin and Eosin for histomorphological evaluation. The slides were examined and evaluated under a 500-pixel Leica digital binocular microscope and the following were evaluated in the cerebellar cortex; thickness of the external granular layer (EGL) and molecular layer (ML), and Purkinje cell density and astrocyte population using the computer software, image-j.

Immunohistochemistry: Cerebellar tissues were immunostained with Glial fibrillary acidic protein (GFAP) for astrocyte population (neuroglia) using the Avidin biotin immunoperoxidase method. Briefly, cut formalin-fixed paraffin sections were treated with 3% hydrogen peroxide (H2O2) for 15min, to block endogenous peroxidase. Then, washed in phosphate buffered saline (PBS) and treated with GFAP primary antibody (GFAP, mouse monoclonal antibody 1:100 dilution, Leica Biosystems Inc. Ilinois, USA) at room temperature for 60 min. The sections were washed in 3 changes of PBS for 5 min each, incubated with horseradish peroxidase (HRP) secondary biotinylated anti-mouse antibodies and washed in 3 changes of PBS for 5mins. The sections were then incubated with diaminobenzidine (DAB) for 3 to 5min and counterstained with Haematoxylin solution for 2mins and blued briefly. Sections were dehydrated in alcohol, cleared in xylene and mounted in DPX. Images were captured from the cerebellar cortex with a 500-pixel Leica binocular microscope. Astrocyte population was counted using the software, image j.

Statistical analysis

Data collected was further analysed as mean±SD employing one-way analysis of variance (ANOVA) followed by Tukey Posthoc for multiple comparison using the Graph Pad prism 5.0 at p<0.05.

Results

We hypothesized that C. sativus extracts and vitamin C have no significant protective effect on lead-induced oxidative damage in postnatal developing cerebellum of rats. However, in the course of the experiment, the control and C. sativus group remained active throughout and there was no gross deformity in all the groups.

Effect on the body weight

There was progressive increase in the body weight of pups from day 1 through day 28 in both the control and treated groups however, a decreased body weight was observed in the lead acetate-treated group on day 14 and 21 compared with the control and on day 28 compared with C. sativus + Pb group at p<0.05 (Table 1).

Group        

Day 1

Day 7

Day 14

Day 21

Day 28

Control

4.98±0.04

10.6±0.90

19.8±1.09

30.0±0.40

39.8±1.50

Pb

4.82±0.04

9.40±0.55

17.6±1.14a

26.2±0.80a

36.8±1.64

C.sativus

4.98±0.11

10.2±0.44

19.4±0.89

29.6±0.84

39.8±0.44

C.sativus+Pb

5.04±0.09

10.2±0.44

19.6±1.14

28.8±2.16

41.6±4.78b

Vit.C+Pb

4.96±0.05

9.40±0.89

19.4±0.89

29.0±1.00

38.8±1.09

Table 1 Mean body weight in grams of control and treated pups of days 1, 7, 14, 21 and 28
Values (n=5) are expressed as mean±SD in grams. Pb, lead acetate; C. sativus, Cucumis sativus; Vit.C, Vitamin C; ap<0.05 compared with control, bp<0.05 compared with Pb group.

Effects on Forelimb grip strength and Negative geotaxis of day 21 Pups

There was significant reduction in the forelimb grip strength and increased time spent on negative geotaxis in the Pb-treated group compared with the control at p<0.05 but no significant difference between the control and other treated groups at p>0.05 (Figure 1).

Figure 1(A) Forelimb grip strength (mins) (B) Negative geotaxis (secs) of day 21 pups. Values (n=5) are expressed as mean±SD. Pb- lead acetate, C. sativus- Cucumis sativus, Vit.C- Vitamin C. *p<0.05 vs control.

Effect on oxidative stress markers

Group

LPO

GSH

CAT

SOD

GPx

 

µmol/mg

µg/mg

Unit/mg

Unit/mg

µg/mg

Control

0.18±0.03

2.36±0.23

0.88±0.13

0.58±0.07

0.35±0.04

Pb

0.34±0.05a

0.23±0.05a

0.39±0.08a

0.33±0.04a

0.15±0.03a

C. sativus

0.15±0.04b

2.12±0.23b

0.89±0.10b

0.50±0.03b

0.33±0.01b

C. sativus+Pb

0.21±0.04b

0.98±0.17a,b

0.54±0.18

0.48±0.03a

0.27±0.01a,b

Vit C+Pb

0.24±0.03b

0.64±0.07a,b

0.56±0.13b

0.43±0.03a

0.25±0.01a,b

Table 2 Oxidative stress markers of the cerebellum (per mg protein) of day 21 pups
Values (n=5) are expressed as mean±SD. Pb, lead acetate; C. sativus, Cucumis sativus; Vit.C, vitamin C; CAT, catalase; LPO, lipid peroxidase; SOD, superoxide dismutase; GSH, glutathione; GPx, glutathione peroxidase; ap<0.05 compared with control, bp<0.05 compared with Pb group.

Effects on the thickness of the External granular layer (EGL) of the cerebellar cortex

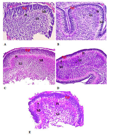
There was no significant difference in the thickness of the external granular layer of cerebellar cortex of all of the groups on days 7 and 14 pups at p>0.05 (Table 3, Figures 2 & 3). However, the EGL persisted in the treated groups (thicker in the Pb-and Vit C+Pb treated groups) compared with the control group of day 21 pups (Figure 4).

Figure 2 Photomicrograph of the cerebellar cortex of day 7 pups stained with H&E, with magnification x100. There was no significant difference in the Egl thickness in the control and treated groups.
A, Control; B, Pb-treated; C, C. sativus; D, C. sativus+Pb and E, Vit. C+Pb. Egl, external granular layer; Ml, molecular layer; Pl, purkinje layer; Gl, granular layer

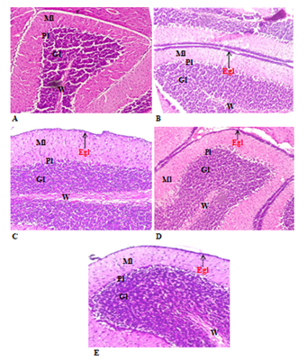
Figure 3 Photomicrograph of the cerebellar cortex of day 14 pups stained with H&E, with magnification x100. There was no significant difference in the Egl thickness in the control and treated groups.
A, Control; B, Pb-treated; C, C. sativus; D, C. sativus+Pb and E- Vit. C+Pb. Egl, external granular layer; Ml, molecular layer; Pl, purkinje layer; Gl, granular layer; W, white matter

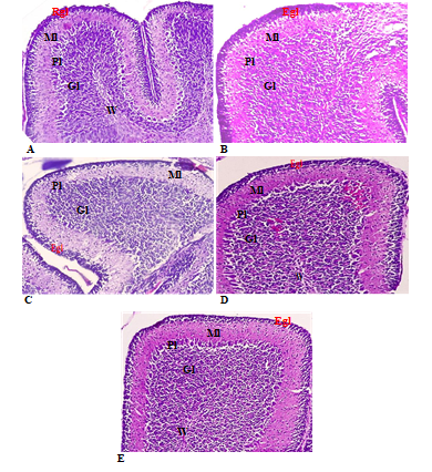
Figure 4 Photomicrograph of the cerebellar cortex of day 21 pups stained with H&E, with magnification x100.
A, Control group with absent Egl; B, Pb group with 3-4 cell-layer Egl; C, C. sativus group with 1-2 cell-layer Egl; D, C. sativus+Pb group with 2-3 cell-layer Egl; E, Vit. C+Pb group with 2-3 cell-layer Egl; Egl, external granular layer; Ml, Molecular Layer; Pl, purkinje layer; Gl, granular layer; W, white matter

Groups

Control

Pb

C. sativus

C. sativus+Pb

Vit.C+Pb

Day 7

0.07±0.03

0.05±0.01

0.07±0.03

0.05±0.01

0.04±0.00

Day 14

0.02±0.00

0.03±0.01

0.02±0.01

0.02±0.01

0.02±0.01

Table 3 Thickness of the external granular layer (mm) of the cerebellum of day 7 and 14 pups
Values (n=5) in mm are expressed as mean±SD. Pb, lead acetate; C. sativus, Cucumis sativus; Vit.C, Vitamin C; p>0.05

C. ativus group with 1-2 cell-layer Egl, D- C. sativus + Pb group with 2-3 cell-layer Egl. E- Vit. C+Pb group with 2-3 cell-layer Egl. Egl-External Granular Layer, Ml- Molecular Layer, Pl-Purkinje Layer, Gl- Granular Layer, W- White Matter.

Effect on the thickness of the molecular layer

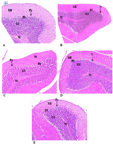
Decreased molecular layer (ML) thickness was seen in the Pb, C. sativus+Pb, Vit. C +Pb on day 28 pups when compared with control and C. sativus groups at p<0.05 (Table 4, Figure 5).

Figure 5 Photomicrograph of the cerebellar cortex of day 28 pups stained with H&E, with magnification x100.
A, Control group; B, Pb group with decreased ML thickness and depleted Pc; C, C. sativus group; D, C. sativus+Pb group with decreased ML thickness; E, Vit. C+Pb group with decreased ML thickness; Ml, molecular layer; Pl, purkinje layer; Gl, granular layer; W, white matter; Pc, purkinje cell

Groups

Control

Pb

C. sativus

C. sativus+Pb

Vit.C+Pb

Day 28

0.30±0.06

0.17±0.04a

0.28±0.03b

0.23±0.03a

0.22±0.03a

Table 4 Thickness of the molecular layer (mm) of the cerebellum of day 28 pups
Values (n=5) in mm are expressed as mean±SD. Pb, lead acetate; C. sativus, Cucumis sativus; Vit.C, Vitamin C. ap<0.05 compared with control, bp<0.05 compared with Pb group.

Effect on the Purkinje cell density

There was a non-significant decrease in the Purkinje cell (Pc) density of Pb and vit C groups of day 28 pups compared with the control and C. sativus groups at p>0.05 (Table 5, Figure 5).

Groups

Control

Pb

C. sativus

C. sativus+Pb

Vit.C+Pb

Pc density/1.3mm

17.6±2.30

15.0±3.16

18.8±3.49

16.0±4.06

14.8±2.77

Table 5 Purkinje cell (Pc) density of day 28 pups of the control and treated groups
Values (n=5) are expressed as mean±SD. Pb, lead acetate; C. sativus, Cucumis sativus; Vit.C, Vitamin C; p>0.05.

Immunohistochemical evaluation

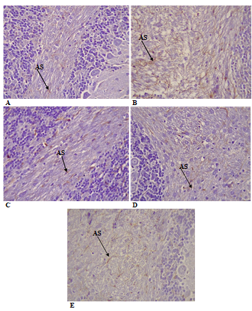
Astrocyte population: Using the Glial fibrillary acidic protein (GFAP) immunostain, there was increased astrocyte population in the cerebellar cortex of the treated groups but significantly in the Pb group compared with the control group on day 21 (Table 6, Figure 6).

Figure 6 Photomicrograph of the cerebellar cortex showing the astrocyte population of day 21 pups stained with GFAP antibody, with magnification x400.
A, Control group; B, Pb group with increased astrocyte population; C,C. sativus group; D, C. sativus+Pb group; E, Vit. C+Pb group; AS, Astrocyte

Groups

Control

Pb

C. sativus

C. sativus+Pb

Vit.C+Pb

Pc density/1.3 mm2

26.8±7.76

46.2±6.22a

37.8±5.12

40.0±7.91

39.4±5.86

Table 6 Astrocyte count in the cerebellar cortex of day 21 pups
Values (n=5) are expressed as mean±SD. Pb, lead acetate; C. sativus, Cucumis sativus; Vit.C, Vitamin C; ap<0.05 compared with control

Conclusion

The naturally occurring sources of antioxidants used in various studies have demonstrated promising outcomes with regard to their effects on metal-induced toxicity.42–45 The present study demonstrated the ability of aqueous extract of Cucumis sativus in protecting or ameliorating oxidative stress induced by lead acetate in the post natal developing cerebellum of rats.

Body weight changes serve as a sensitive indication of the general health status of animals46 and used as an adverse effect of chemical and drugs.47 The mean body weight of rats in this study showed reduction in the Pb- treated group of days 14, 21 and 28 pups when compared with control. This finding agrees with the study of Nwokocha et al.48 who reported that rats that are continuously exposed to heavy metals such as cadmium, arsenic, mercury and lead usually results in reduction in the body weight. The reduction in body weight might be due to anorexia which occurs as a result of exposure to lead.49 Haouas et al.50 also reported that lead toxicity causes malabsorption of nutrients and less efficient metabolic processes resulting in decreased weight gain. However, administration of Cucumis sativus and vitamin C improved the body weight compared with the Pb-treated group probably due to the antioxidant property of Cucumis sativus and vitamin C.

The forelimb grip measures the muscular strength of rat. In this study, Pb group had decreased muscular strength and increased time of negative geotaxis when compared with the control. This decrease could be as a result of oxidative stress, affecting the motor coordination by the cerebellum. The result of the forelimb grips agrees with the study of Owoeye & Ojora31 on the protective effect of tomato pomace powder on lead-induced oxidative stress in adult Wistar rats where they reported similar result but disagreed with the negative geotaxis in which they reported no significant difference in all the groups. Cucumis sativus and vit. C ameliorated the effect of lead acetate on the neurobehavioral study.

Heavy metals, including lead induce oxidative stress by generation of free radicals and this has been the focus of toxicological research in the decade, to evaluate the possible mechanism of the toxicity.51 Oxidative stress occurs as a result of an imbalance between the productions of reactive oxygen species (ROS) and the cell’s ability to reduce ROS, detoxify reactive intermediates and repair damage that may occur in cellular molecules. This imbalance may occur as a result of increased ROS production, a decrease in defense mechanisms or both.52 Even though the exact mechanism of lead toxicity is not very well known, however, many researches had reported that it can cause generation of ROS and inhibits the antioxidant enzyme activities in tissues.53 Our study showed an increased LPO in the cerebellum of day 21 pups exposed to lead, corroborating the reports of El-Masry54 and Bennet et al.55 The observed increased in LPO significantly decreased GSH levels, and CAT and SOD activities. The reduced antioxidant activity agrees with the findings of Hatice et al.56 who reported significant inhibition of SOD, CAT, GPx and glutathione-S-transferase activities and increased malondialdehyde (MDA) concentration (a bye-product of lipid peroxidation in rat brain exposed to lead nitrite and mercuric chloride. El-Sokkary et al.16 and Wang et al.57 also reported decreased antioxidant function as a result of oxidative stress due to lead-induced neurotoxicity. There was significant increase in GSH levels, and SOD, CAT and GPx activities with a corresponding reduction in LPO in the developing rat cerebellum when extract of C. sativus and vit C were administered to lead-treated rats. This improvement in the antioxidant system could be attributed to the antioxidant property of C. sativa and vit. C. Takeota & Dao58 reported that flavonoids and phenols are antioxidant agents which help in mopping up free radicals and Saidu et al.59 reported that C. sativus contains alkaloid, glycosides, saponins, flavonoids, phenol, tannins and terpenes.

Histology examination of cerebellar cortex section on days 7, 14, 21 and 28 pups, showed no significant difference in the thickness of the external granular layer (EGL) of cerebellar cortex of all the groups on days 7 and 14. There was persistent EGL in the experimental groups compared with the control on day 21. The EGL is the most metabolically active part of the developing cerebellar cortex, whose differentiation gives rise to majority of the cells (outer stellate, basket, Golgi and granule cells) of the cerebellar cortex. The EGL disappeared on day 20 after birth in rats.60 The persistent EGL observed in the treated groups may be due to delayed differentiation and migration of the cells of the EGL probably as a result of oxidative stress induced by lead. The ML becomes the most superficial layer of the cerebellar cortex after the complete disappearance of the EGL61,62 and its thickness is determined by the amount of cells and fibres present63 but mainly by gradual growth of new parallel fibres.64 There was a significant reduction observed in the thickness of molecular layer in Pb group when compared with control. The mechanism involved in the reduction of the thickness of the ML in the Pb-treated animals is not very clear but neuronal cell death induced by oxidative stress in the GL or delayed parallel fibre formation caused by delayed granule cell formation could have affected the density of unmyelinated parallel fibres in the ML, hence, the reduction. There was non-significant decrease in the number of Purkinje cells in the Pb- and vit. C+Pb-treated groups which may be to oxidative stress induced by Pb exposure. Oxidative stress has been implicated in the loss of Purkinje cells.65–67

The developing nervous system is preferentially vulnerable to lead exposure with alteration in neuronal and glial cells of the brain. In the central nervous system (CNS), astrocytes express GFAP which is important in many CNS processes, including cell communication and the functioning of the blood brain barrier, formation of glial scars and repair after CNS injury.68,69 Glial fibrillary acidic protein expression can be regarded as a sensitive and reliable immunohistochemical marker that labels most, if not all, reactive astrocytes that are responding to CNS injuries.70 The present study revealed there was a significant increase in astrocyte population in Pb group when compared with control indicating astrogliosis. However, administration of cucumis sativus and vit. C decreased the overexpression of GFAP probably by mopping up free radicals and reducing oxidative stress induced by Pb.

Conclusion

The results obtained from this study showed that rats treated with lead acetate during pregnancy till postnatal day 21, induced oxidative stress causing behavioural and morphological alterations in the developing cerebellum of the pups, with the observed decrease in body weight, reduced muscular strength, increased negative geotaxis, increased LPO, and decreased GSH, SOD, CAT and GPx, reduced ML thickness and Purkinje cells, and astrogliosis. However, the administration of aqueous extract of Cucumis sativus and vitamin C ameliorated the damage caused by lead in the developing rat cerebellum.

Acknowledgments

We appreciate Professor E. O. Farombi for the use of his Drug Metabolism and Toxicology Research Laboratories, Department of Biochemistry, College of Medicine, University of Ibadan, Nigeria for the biochemical assays.

Conflicts of interest

Authors declare that there is no conflict of interest.

Funding

None.

References

  1. Tiwari HL, Seema T, Tripathi IP. Lead Pollution -An overview, treatment; alternative medicine review. Journal of clinical therapeutic. 2013;11:2–22.
  2. Dioka CE, Orisakwe OE, Adeniyi FA, et al. Liver and renal function tests in Artisans occupationally exposed to lead in mechanic village in Nnewi, Nigeria. Int J Environ Res Health. 2004;1(1):21–25.
  3. Sidhu P, Nehru B. Lead intoxication: Histological and oxidative damage in rat cerebrum and cerebellum. The Journal of Trace Elements in Experimental Medicine. 2004;17(1):45–53.
  4. Flora G, Gupta D, Tiwari A. Toxicity of lead: a review with recent updates. Interdiscip Toxicol. 2012;5(2):47–58.
  5. Kalia K, Flora SJ. Strategies for safe and effective therapeutic measures for chronic arsenic and lead poisoning. J Occup Health. 2005;47(1):1–21.
  6. Berrahal AA, Nehdi A, Hajjaji N, et al. Antioxidant enzymes activities and bilirubin level in adult rat treated with lead. CR Biol. 2007;330(8):581–588.
  7. Kumar BK, Rao YP, Noble TO, et al. Lead-induced alteration of apoptotic proteins in different regions of adult rat brain. Toxicol Lett. 2009;184(1):56–60.
  8. Hassan AA, Jassim HM. Effect of treating lactating rats with lead acetate and its interaction with vitamin E or C on neurobehavior, development and some biochemical parameters in their pups. Iraqi Journal of Veterinary Sciences. 2010;24 (1):45–52.
  9. Cleveland LM, Minter ML, Cobb KA, et al. Lead hazards for pregnant women and children: Part 1: immigrants and the poor shoulder most of the burden of lead exposure in this country. Part 1 of a two-part article details how exposure happens, whom it affects, and the harm it can do. Am J Nurs. 2008;108(10):40–49.
  10. Xu Y, Li G, Han C, et al. Protective effects of Hippophae rhamnoides L. juice on lead-induced neurotoxicity in mice. Biol Pharm Bull. 2005;28(3):490–494.
  11. Abdel Moneim AE, Dkhil M, Al-Quraishy S. Effects of flaxseed oil on lead acetate-induced neurotoxicity in rats. Biol Trace Elem Res. 2011;144(1-3):904–913.
  12. Gundacker C, Hengstschlager M. The role of the placenta in fetal exposure to heavy metals. Wien Med Wochenschr. 2012;162(9-10):201–206.
  13. Flora SJS, Flora G, Saxena G. Environmental occurrence, health effects and management of lead poisoning. Lead. 2006;158–228.
  14. Needleman H. Lead poisoning. Annu Rev Med. 2004;55:209–222.
  15. Sanders T, Liu Y, Buchner V, et al. Neurotoxic effects and biomarkers of lead exposure: A Review. Res Environ Health. 2009;24(1):15–45.
  16. El-Sokkary GH, Kamel ES, Reijer RJ. Prophylactic effects of melatonin in reducing lead-induced neurotoxicity in the rat. Cell Mol Biol Lett. 2003;8(2):461–470.
  17. Wang J, Wu J, Zhang Z. Oxidative stress in mouse brain exposed to lead. Ann Occup Hyg. 2006;50(4):405–409.
  18. Halawa HM, El-Nefiawy NE, Makhlouf NA, et al. Evaluation of honey protective effect on lead induced oxidative stress in rats. JASMR. 2009;4(2):197–208.
  19. Havsteen BH. The biochemistry and medical significance of the flavonoids. Pharmacol Ther. 2002;96(2-3):67–202.
  20. Senapati SK, Dey S, Dwivedi SK, et al. Effect of garlic (Allium sativum L.) extract on tissue lead level in rats. J Ethnopharmacol. 2001;76(3):229–232.
  21. Sotiroudis, Melliou G, Sotiroudis E, et al. Chemical analysis, antioxidant and antimicrobial activity of three Greek cucumber (Cucumis sativus) cultivars. J Food Biochem. 2010;34(1):61–78.
  22. Vivek KB, Ji-Eun K, Yong-Ha P, et al. In vivo pharmacological effectiveness of heat-treated cucumber (Cucumis sativus L.) juice against CCI4- induced detoxification in a rat model. Indian Journal of Pharmaceutical Education and Research. 2017;51(2):280–287.
  23. Kashif W, Kamran QM, Jilani MS. Effect of different nitrogen levels on growth and yield of Cucumber (Cucumis sativus L.). J Agric Res. 2012;46(3):259–266.
  24. Shrivastava A, Roy S. Cucurbitaceae: Ethnomedicinally important vegetable family. Journal of Medicinal Plants Studies. 2013;1(4):16–20.
  25. Heidari H, Kamalinejad M, Eskandari M. Hepatoprotective activity of Cucumis sativus against cumene hydroperoxide induced-oxidative stress. Res Pharm Sci. 2012;7(5):S936–S939.
  26. Sharmin R, Khan MRI, Akhter MA, et al. Hypoglycemic and hypolipidemic effects of Cucumber, white pumpkin and ridge gourd in alloxan-induced diabetic rats. Journal of Scientific Research. 2013;5(1):161–170.
  27. Patil MVK, Kandhare AD, Bhise SD. Effect of aqueous extract of Cucumis sativus Linn. fruit in ulcerative colitis in laboratory animals. Asian Pacific Journal of Tropical Biomedicine. 2012;2(2):S962–S969.
  28. Kumaraswamy L. A comparative study on antioxidant activities of three cultivars of Cucumis sativas (Linn). International Journal of Research in Biotechnology and Biochemistry. 2016;6 (1):1–5.
  29. Mercola. Nine Health benefits of Cucumbers [Internet]. 2014.
  30. Afifi AK, Bergman RA. Functional neuroanatomy: text and atlas. 2nd ed. New York: McGraw– Hill; 2005:201–222.
  31. Owoeye O, Ojora KA. Tomato pomace alleviated motor abnormality, oxidative impairments and neurotoxicity induced by lead acetate in male rats. Afr J Biomed Res. 2015;18(3):201–210.
  32. Imosemi IO, Osinubi AA, Saalu LC, et al. Phenytoin-induced toxicity in the postnatal cerebellar development in rat: effect of Calotropis procera on selective biochemical and haematological variables. Int J Biol Chem Sci. 2010;4(6):2387–2396.
  33. Tamashiro KLK, Wakayama T, Blanchard RJ, et al. Postnatal growth and behavioral development of mice cloned from adult cumulus cells. Biology and Reproduction. 2000;63(1):328–334.
  34. Motz BA, Alberts JR. The validity and utility of geotaxis in young rodents. Neurotoxicology and Teratology. 2005;27(4):529–533.
  35. Kreider JC, Blumberg MS. Geotaxis and beyond: Commentary on Motz and Alberts (2005). Neurotoxicology and Teratology. 2005;27(4):535–537.
  36. Bradford MM. A rapid and sensitive method for the quantitation of microgram quantities of protein utilizing the principle of protein binding. Annals of Biochem. 1976;72(1-2):248–254.
  37. Varshney R, Kale R. Effect of calmodulin antagonist on radiation induced lipid peroxidation in microsomes. Int J Radiat Biol. 1990;58(5):733–743.
  38. Beutler E, Duron O, Kelly BM. Improved method for the determination of blood glutathione. J Lab Clin Med. 1963;61:882–888.
  39. Claiborne A. Catalase activity. In Handbook of methods of oxygen radical research. Boca Raton, FL. 1985:283–284.
  40. Misra HP, Fridovish I. The role of superoxide anion in the autoxidation of epinephrine and a simple assay for superoxide dismutase. The Journal of Biological Chemistry. 1972;247(10):3170–3175.
  41. Rotruck JT, Pope AL, Ganther HE, et al. Selenium: biochemical role as a component of glutathione peroxidase. Science. 1973;179(4073):588–590.
  42. Moustafa GG, Khalil S, Hussein MM, et al. The cytotoxic and ultrastrctural perturbations of aluminum exposed nile catfish with special reference to the mitigating effect of vitamin C. J Life Sci. 2012;9(4):5198–5210.
  43. Khalil S, Awad A, Elewa Y. Antidotal impact of extra virgin olive oil against genotoxicity, cytotoxicity and immunotoxicity induced by hexavalent chromium in rat. International Journal Veterinary Science and Medicine. 2013;1(2):65–73.
  44. Khalil SR, Hussein MM. Neurotransmitters and neuronal apoptotic cell death of chronically aluminum intoxicated Nile catfish (Clarias gariepinus) in response to ascorbic acid supplementation. Neurotoxicology. 2015;51:184–191.
  45. Khalil SR, Elhady WM, Elewa YH, et al. Possible role of Arthrospira platens is in reversing oxidative stress-mediated liver damage in rats exposed to lead. Biomed Pharmacother. 2018;97:1259–1268.
  46. Salawu OA, Chindo BA, Tijani AY, et al. Acute and Sub-acute toxicological evaluation of the methanollic sterm back of Cross opteryx fibrin fugain rats. Afri J Pharmacol. 2009;3(12):621–626.
  47. Mikinda JT, Syce JA. Acute and Chronic toxicity of the aqueous extract of Artemisia arfa in rodents. J Ethno pharmacol. 2007;112(1):138–144.
  48. Nwokocha CR, Owu DU, Ufearo CS, et al. Comparative study on the efficacy of Garcinia kola in reducing some heavy metal accumulation in liver of Wistar rats. J Ethnopharmacol. 2011;135(2):488–491.
  49. Klaassen CD. Heavy metals and heavy-metal antagonists. In: Joel G Hardman, Lee E Limbird, editors. Goodman and Gilman’s The Pharmacological Basis of Therapeutics. 10th ed. New York: McGraw-Hill; 2001.
  50. Haouas Z, Sallem A, Zidi I, et al. Hepatotoxic effects of lead acetate in rats: histopathological and cytotoxic studies. Journal of Cytology and Histology. 2014;5(5):256.
  51. Valavanidis A, Vlahogianni T, Dassenkis M, et al. Molecular biomarker of oxidative stress in aquatic organisms in relation to toxic environmental pollutants. Ecotoxicol Environ Saf. 2006;64(2):178–189.
  52. Joseph K, Kafilat S, Bawa-Allah A. Toxicological effects of lead and zinc on the antioxidant enzyme activities of post juvenile Clarias gariepinus. Resources and Environment. 2012;2(1):21–26.
  53. Franco R, Sánchez-Olea R, Reyes-Reyes EM, et al. Environmental toxicity, oxidative stress and apoptosis: menage a trois. Mutat Res. 2009;674(1-2):3–22.
  54. El-Masry TA, Emara AM, El-Shitany NA. Possible protective effect of propolis against lead induced neurotoxicity in animal model. J Evolutionary Biol Res. 2011;3(1):4–11.
  55. Bennet C, Bettaiya R, Rajanna S, et al. Region specific increase in the antioxidant enzymes and lipid peroxidation products in the brain of rats exposed to lead. Free Radic Res. 2007;41(3):267–273.
  56. Hatice B, Suna K, Hatice K, et al. The effects on antioxidant enzyme systems in rat brain tissues of lead nitrate and mercury chloride. Gazi University Journal of Science. 2015;28(2):169–174.
  57. Wang C, Liang J, Zhang C, et al. Effect of ascorbic acid and thiamine supplementation at different concentrations on lead toxicity in liver. Ann Occup Hyg. 2007;51(6):563–569.
  58. Takeoka GR, Dao LT. Antioxidant constituents of almond [Prunusdulcis (Mill.) D.A. Webb] hulls. J Agr Food Chem. 2003;51(2):496–501.
  59. Saidu AN, Oibiokpa FI, Olukotun IO. Phytochemical screening and hypeoglycemic effect of methanolic fruit pulp extract of Cucumis sativus in alloxan-induced diabetic rats. Journal of medicinal plants Research. 2014;8(39):1173–1178.
  60. Hatten ME, Heintz N. Mechanisms of neural patterning and specification in the developing cerebellum. Annu Rev Neurosci. 1995;18:385–408.
  61. Altman J, Bayer SA. Time and distribution of a new cell type in the rat cerebellar cortex. Exp Brain Res. 1977;29(2):265–274.
  62. Marzban H, Del Bigio MR, Alizadeh J, et al. Cellular commitment in the developing cerebellum. Front Cell Neurosci. 2014;8:450.
  63. Rakic P, Sidman RL. Histogenesis of cortical layers in human cerebellum particularly the lamina dissecans. J Comp Neurol. 1970;139(4):473–500.
  64. Rakic P. Neuron-glia relationship during granule cell migration in developing cerebellar cortex. A Golgi and electron microscopic study in Macacus Rhesus. J Comp Neurol. 1971;141(3):283–312.
  65. Lopez IA, Acuna D, Beltran-Parrazal L, et al. Evidence for oxidative stress in the developing cerebellum of the rat after chronic mild carbon monoxide exposure (0.0025% in air). BMC Neurosci. 2009;10:53.
  66. Imosemi IO. The role of antioxidants in cerebellar development. A review of literature. Int J Morphol. 2013;31(1):203–210.
  67. Ameri MG, Karam AA. Morphological and biochemical features of cerebellar cortex after exposure to zinc oxide nanoparticles: possible protective role of Curcumin. Anatomical Rec. 2018;301(8):1454–1466.
  68. Paetau A, Elovaara I, Paasivuo R, et al. Glial filaments are a major brain fraction in infantile neuronal ceroid-lipofuscinosis. Acta Neuropathol. 1985;65(3-4):190–194.
  69. Venkatesh K, Srikanth L, Vengamma B, et al. In vitro differentiation of cultured human CD34+ cells into astrocytes. Neurol India. 2013;61(4):383–388.
  70. Sofroniew MV, Vinters HV. Astrocytes: biology and pathology. Acta Neuropathol. 2010;119(1):7–35.
Creative Commons Attribution License

©2020 Imosemi, et al. This is an open access article distributed under the terms of the, which permits unrestricted use, distribution, and build upon your work non-commercially.