Submit manuscript...
MOJ
eISSN: 2471-139X

Anatomy & Physiology

Case Report Volume 2 Issue 3

Maxillary molar with two palatal canals type I: case report

Lorena do Nascimento Paes Barreto,1 Carla Cabral dos Santos Accioly Lins2

1Departament of Prosthetics and Oral Facial Surgery, Federal University of Pernambuco, Brazil
2Departament of Anatomy, Centre for Biological Sciences, Federal University of Pernambuco, Brazil

Correspondence: Carla Cabral dos Santos Accioly Lins, Federal University of Pernambuco, Centre for Biological Sciences- Departament of Anatomy, Av. Prof. Moraes Rego s/n, 50730- 000 Recife, Brazil, Tel +55 8121268555, Fax +55 81-21268554

Received: March 07, 2016 | Published: March 28, 2016

Citation: Barreto LDNP, Lins CCDSA. Maxillary molar with two palatal canals type i: case report. MOJ Anat Physiol. 2016;2(3):51–53. DOI: 10.15406/mojap.2016.02.00043

Download PDF

Abstract

This study aimed to describe a case report of endodontic treatment of a maxillary first molar with two roots and two palatal canals type I. The patient was referred to the Federal University of Pernambuco for endodontic treatment in left maxillary first permanent molar. After the clinical, physical and radiographic examination, the diagnosis was irreversible pulpitis. Radiographic examination showed a suggestive picture of a second palatal root. During access surgery, an alteration was observed in the pulp chamber and was then located the fourth canal, called distopalatal. The chemomechanical preparation was performed with rotary instruments of ProTaper Universal™ system and the irrigation was made with sodium hypochlorite 1%. At the end, there was an irrigation with 17% ethylene diamine tetra acetic acid, drying and filling with gutta-percha and Fill apex MTA cement, using the lateral condensation technique. This case demonstrates an unusual anatomical condition, enhancing that the knowledge of internal anatomy, as well as their diversity, is of key importance for successful endodontic treatment, and the dental surgeon should always be alert to possible morphological changes of tooth groups.

Keywords: anatomy, molar tooth, root canal treatment

Introduction

With the constant evolution of Endodontics and the techniques used, it is vital for the clinician a deep knowledge of the internal anatomy of the root canal system in order to increase the effectiveness of endodontic treatments, and thereby increase the success rate of same.1 The scientific evidence demonstrates, that clinical efficacy is clearly associated with a full instrumentation, disinfection, obturation of root canals and correct coronary rehabilitation.2 Therefore, the clinician must know the more usual anatomy, but also must know how to diagnose and identify the most common derivations, the frequency which they occur and how to approach.3 The maxillary molars have one of the most challenging anatomies for endodontists, and their morphology is extensively revised.4‒6 The literature shows that this tooth has an average of 95% of three roots and an incidence of around 55% to 70% of four root canals, two of which are usually present in the mesiobuccal root.1 The prevalence of two palatal canals is described ranging from 0,4%7 to 5,1%.8 In 1991, Christie et al.9 conducted a retrospective study of endodontic treatment of 16 maxillary molars and 6 maxillary molars extracted with two palatal roots. Based on this evaluation, the authors classified these teeth into three types: I, II and III according to the degree of separation of the roots and their differences. The grade I refer to roots totally independent, the grade II to partially fused roots and grade III the roots completely fused. Later was added the type IV to this classification, which comprehends the fusion between the mesial and palatal roots.1 The continuous study about the first molar is relevant, since this dental group shows an extremely complex anatomy and high rates of endodontic therapy.10 The omission of the location of root canals during endodontic treatment is classified as the second cause of failure, only losing to errors of diagnosis and treatment plans. In this sense, it is of key importance to study the characteristics of endodontic morphology, seeking to deal with the frequencies of number, location, direction and shape of the root canals. Thus, this study aimed to describe a clinical case report of endodontic treatment of a maxillary first molar with two roots and two palatal canals type I.

Relate of case

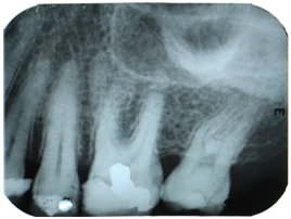
A male patient, melanoderm, aged 28, was referred to the Dental school clinic of the Federal University of Pernambuco seeking perform endodontic treatment of the tooth 26. The patient reported a throbbing and located pain in the tooth, which did not cease with the use of painkillers. After clinical and radiographic examination, it was found that there was an extensive temporary restoration in contact with the pulp chamber (Figure 1). The diagnosis was made with the cold testing of the pulp vitality, using the Endo Ice (Maquira, Brazil), which had a positive response, intense and prolonged, and the vertical percussion test was also positive. The diagnosis was irreversible pulpitis, establishing the need for endodontic treatment. Initially, the terminal infiltration anesthesia was performed and the absolute isolation with rubber dam clamp 201 (Duflex, SSWhite, Pennsylvania, USA). The next step was the access surgery with the diamond bur, round, number 1016 (KG Sorensen, São Paulo, Brazil) coupled to a high speed pen and, the divergence of surrounding walls was obtained with the Endo-Z (Maillefer, Ballaigues , Switzerland). The entry holes of the root canals were located using the explorer No. 47 (Duflex, SSWhite, Pennsylvania, USA). After exploration of the root canals with Flexofile #10 and #15 (Dentsply, Maillefer, Ballaigues, Switzerland), four independent root canals were located, two of them buccal and two palatal (Figure 2).

Figure 1 Maxillary molar with four roots: Initial pretreatment radiograph.

Figure 2 Maxillary molar with four roots: Instruments placed in their positions.

Figure 3 Obturation of the four root canals.

For irrigation it was used a fresh solution based on sodium hypochlorite 1% (Phormula Ativa, Recife, Brazil). The actual working length (AWL) was determined at 1 mm short of the radiographic apex. For the irrigation of the root canals it was used the system with syringe FCF (FCF, São Paulo, Brazil) of 3 mL with needle 27G long (Injecta, Diadema, Brazil). The irrigation was performed at the beginning of the instrumentation, between the changes of the instruments and at the end of biomechanical preparation. All root canals were instrumented with the ProTaper Universal™ rotary system using an electric motor X-Smart (Dentsply, Maillefer, Ballaigues, Switzerland) at a constant speed of 300rpm. Initially, the instrument SX was introduced into the 2/3 of the AWL, then the dental file S1 was used in 4mm short of the AWL, then the instruments S1 and S2 were introduced in the AWL and, finally, it were used the dental files F1, F2 and F3 in AWL. At the end of the preparation, there was an irrigation with 1mL of 17% ethylene diamine tetra acetic acid (EDTA) (Biodinâmica, Paraná, Brazil) during 1 minute to remove the smear layer, irrigation with sodium hypochlorite 1% and drying of the root canals with points of absorbent paper (Dentsply, Maillefer, Ballaigues, Switzerland). Afterwards, there was the application of calcium hydroxide paste (Calen, SSWhite, Pensilvânia, EUA) as intracanal medication and coronary sealing of the tooth with zinc oxide and eugenol dressing (Biodinâmica, Paraná, Brazil). After 7days, the medication was removed using Flexofile, and it was made an abundant irrigation with sodium hypochlorite 1%; it was made the drying with points of absorbent paper (Dentsply, Maillefer, Ballaigues, Switzerland), the cone fit radiograph was performed followed by filling with gutta-percha main and accessory cones (Dentsply, Maillefer, Ballaigues, Switzerland) and with endodontic cement MTA Fillapex (Angelus, Paraná, Brazil), using the lateral condensation technique. After radiography for visualization of lateral condensation, it were made the vertical condensation of the material with condenser Paiva nº 3 (Golgran Indústria e Comércio de Instrumentos Odontológicos Ltda., Pirituba, SP, Brazil) and cleaning of the pulp chamber with eucalyptol (Biodinâmica, Paraná, Brazil) (Figure 3). The tooth was provisionally sealed and the patient was referred for restorative treatment.

Discussion

In order to obtain success in endodontic treatment, it is necessary to have knowledge of internal dental anatomy, recognize anatomical variations, either in normal situations or not, allowing a lower incidence of failures and mistakes during endodontic procedures.11 To investigate a possible additional canal, the operator must understand the complex anatomical variability of the tooth to be treated, perform radiographs with varying angles, ensuring adequate access and visualization of the canals and examine the lines of the pulp chamber floor that indicate the mouths of the canals.12 According to Christie et al.9 it would be possible to find two palatal roots in maxillary molars once every three years of endodontic practice daily. The low incidence was also reported the study of 520 maxillary second molars and found an incidence of only 1.4% of maxillary molars with two palatal roots.13 Several studies have shown a high incidence of a fourth canal in maxillary first molars, especially in the mesiobuccal root. Study the internal anatomy of 370 maxillary molars and reported that the first, second and third molars showed the fourth canal in 25%, 42% and 32% of cases, respectively.14 Incidence reports of 51,5% of four root canals and 48,5% of three canals.15 An incidence of 90% of the presence of the fourth canal was found. However, the authors did not mention in their studies the presence of a root or an additional palatal canal.16 Among the anatomical variations of the system of root canals in maxillary molars, the less frequent seems to be the one in palatal root,17,18 in which, the incidence of more than one palatal canal was seen in less than 2% of the cases,19 collaborating with who observed, during 40years of daily clinical practice, the presence of 16 maxillary molars with two palatal canals.9 Weine et al.15 classified the root canals using the mesiobuccal root of 208 maxillary first permanent molars, which were cut, buccal-lingual, along their axial axes. With acquisition of the specimens it were measured three different types of root canals: Type I: single canals from chamber to the apex; Type II canals that starts in the pulp chamber, double but that join between 1-4mm from the apex, ending in a single canal; type III: two separate canals from the pulp chamber to the apex. This classification adding the root canal type IV, which occurs when the canal, starts single in the pulp chamber, but, bifurcates before reaching the dental apex.20

Through the study of 2400 permanent teeth, including 100 maxillary first molars, using the clearing technique, created a classification according to the number and presentation of root canals:21

  1. Type I: one single root canal extending from the pulp chamber to the apex (1).
  2. Type II: separate root canals leaving the pulp chamber and joining short of the apex to form one canal (2-1).
  3. Type III: one root canal leaving the pulp chamber before dividing into two canals within the root and then merging to exit as one single canal (1-2-1).
  4. Type IV: two separate root canals extending from the pulp chamber to the apex (2).
  5. Type V: one root canal leaving the pulp chamber and dividing short of the apex into two separate and distinct root canals with separate apical foramina (1-2).
  6. Type VI: two separate root canals leaving the pulp chamber, merging in the body of the root, and again dividing short of the root apex to exit as two separate and distinct canals (2-1-2).
  7. Type VII: one root canal leaving the pulp chamber, dividing and rejoining within the body of the root canal and finally re-dividing into two distinct canals short of the apex (1-2-1-2).
  8. Type VIII: three separate and distinct root canals extending from the pulp chamber to the apex (3).

The present work reported a case of endodontic treatment on a left maxillary first permanent molar with four roots, being: one distopalatal, one mesiopalatal, one mesiobuccal and one distobuccal, and four independent root canals. The palatal roots were classified as type I9 and the palatal canals have been classified as type I.15,21

The importance of knowing the anatomical variations of maxillary molars, was reported a case of a maxillary first molar, with a palatal canal with a trifurcation in the apical third, with three separate foramina.22 Maggiore et al.23 narrated the endodontic treatment of a maxillary first molar with six canals, observing three distinct canals and only one palatal root. Baratto Filho et al.1 reported a case of a maxillary first molar with five canals, with two separate palatal roots, resembling the clinical case described in this work.

Conclusion

The morphological changes, when ignored, can hinder the endodontic therapy. The resolution of cases with unusual anatomy requires changes in the method of diagnosis, and treatment, seeking to decrease the persistence of signs and symptoms, thereby reducing the possible causes of a retreatment.

Acknowledgements

None.

Conflict of interest

Author declares that there is no conflict of interest.

References

  1. Baratto Filho F, Fariniuk LF, Ferreira EL, et al. Clinical and macroscopic study of maxillary molars with two palatal roots. Int Endod J. 2002;35(9):796‒801.
  2. Martins JNR. First upper premolar with three canals: diagnosis and treatment- four case reports. Revista Portuguesa de Estomatologia, Medicina Dentária e Cirurgia Maxilofacial. 2011;52(1):43‒51.
  3. Friedman S. Prognosis of initial endodontic therapy. Endodontic Topics. 2002;2(1):59‒88.
  4. Kulild JC, Peters DD. Incidence and configuration of canal systems in the mesiobuccal root of maxillary first and second molars. J Endod. 1990;16(7):311‒317.
  5. Buhrley LJ, Barrows MJ, Begole EA, et al. Effect of magnification on locating the MB2 canal in maxillary molars. J Endod 2002;28(4):324‒327.
  6. Gopikrishna V, Bhargavi N, Kandaswamy D. Endodontic management of a maxillary first molar with a single root and a single canal diagnosed with the aid of spiral CT: a case report. J Endod. 2006;32(7):687‒691.
  7. Libfeld H, Rotstein I. Incidence of four-rooted maxillary second molars: literature review and radiographic survey of 1,200 teeth. J Endod. 1989;15(3):129‒131.
  8. Saler S, Goel BR. Frequency of fourth root canal in the maxillary first molar, an in-vitro study. Karnataka University [Dissertation], Dharwad, India; 1995:67.
  9. Christie WH, Peikoff MD, Fogel HM. Maxillary molars with two palatal roots: a retrospective clinical study. J Endod. 1991;17(2):80‒84.
  10. Portes ML, Oliveira S, Carlik J. Three-dimensional study of the Palatine canal curvature of upper molar palatal root. Rev Paul Odontol. 2000;12(1):32‒37.
  11. Rodighiero AS. The influence of clinical microscope in fourth root canals location in the first upper molars. Faculdade Ingá- UNINGÁ [Dissertation], Passo Fundo, Brazil; 2002. 51p.
  12. Johal S. Unusual maxillary first molar with 2 palatal canals within a single root: a case report. J Can Dent Assoc. 2001;67(4):211‒214.
  13. Peikoff MD, Christie WH, Fogel HM. The maxillary second molar: variations in the number of roots and canals. Int Endod J. 1996;29(6):365‒369.
  14. Pécora JD, Woelfel JB, Sousa Neto MD, et al. Morphology study of the maxillary molars part II: internal anatomy. Braz Dent J. 1992;3(1):53‒57.
  15. Weine FS, Healey HJ, Gerstein H, et al. Canal configuration in the mesiobuccal root of the maxillary first molar and its endodontic significance. Oral Surg Oral Med Oral Pathol. 1969;28(3):419‒425.
  16. Santos MV, Costa Júnior S, Meohas E, et al. Anatomical Study of the impact of canal orifice in maxillary first molars with access through conventional or wear one in the region of its mouth. Cadernos UniFOA. 2010;13(1):39‒47.
  17. Slowey RR. Root canal anatomy road map to successful endodontics. Dent Clin North Am. 1979;23(4):555‒573.
  18. Weng XL, Yu, SB, Zhao SL, et al. Root canal morphology of permanent maxillary teeth in the Han nationality in Chinese Guanzhong area: a new modified root canal staining technique. J Endod. 2009;35(5):651‒656.
  19. Stone LH, Stroner WF. Maxillary molars demonstrating more than one palatal root canal. Oral Surg Oral Med Oral Pathol. 1981;51(6):649‒652.
  20. Weine FS. Endodontic Terapy. 2nd ed. St Louis, USA; 1972. 152p.
  21. Vertucci FJ. Root canal anatomy of the human permanent teeth. Oral Surg Oral Med Oral Pathol. 1984;58(5):589‒599.
  22. Wong M. Maxillary first molar with three palatal canals. J Endod. 1991;17(6):298‒299.
  23. Maggiore F, Jou YT, Kim S. A six canal maxillary first molar: case report. Int Endod J. 2002;35(5):486‒491.
Creative Commons Attribution License

©2016 Barreto, et al. This is an open access article distributed under the terms of the, which permits unrestricted use, distribution, and build upon your work non-commercially.