Submit manuscript...
MOJ
eISSN: 2471-139X

Anatomy & Physiology

Research Article Volume 2 Issue 7

Particle size dependent teratogenicity of silver nanoparticles in mice

Pani Jyoti Prakash,1 Singh Royana,1 Mishra Surendra Pratap,2 Raghunath S More,1 Kumari Preeti1

1Department of Anatomy, Banaras Hindu University, India
2Department of Biochemistry, Banaras Hindu University, India

Correspondence: Royana Singh, Department of Anatomy, Institute of Medical Sciences, Banaras Hindu University, Varanasi -221005, Uttar Pradesh, India

Received: August 08, 2016 | Published: December 30, 2016

Citation: Prakash PJ, Royana S, Pratap MS, et al. Particle size dependent teratogenicity of silver nanoparticles in mice. MOJ Anat Physiol. 2016;2(7):191–198. DOI: 10.15406/mojap.2016.02.00074

Download PDF

Abstract

Nanoparticles because of their unique properties have widespread application in biomedicine and many industrial sectors. The present study was undertaken to determine the potential effects of AgNPs of different size on pregnant dams and fetal development after maternal exposure on gestational days (GD) 6-19 in mice. AgNPs, of 20nm and 1300nm respectively were administered to pregnant mice by oral gavages at concentrations of 0.5mg/kg/day and 1mg/kg/day. All dams were subjected to Cesarean section on GD 20. The fetuses were evaluated for signs of embryotoxic and teratogenic effects. AgNPs caused a decrease in Catalase and Reduced Glutathione activities at ≥ 0. 5 mg/kg/day and a reduction in glutathione content at 1mg/kg/day in maternal liver tissues. However, no treatment-related deaths or clinical signs were observed in any of the animals treated with AgNPs. Fetal liver tissue showed significant decrease in Catalase and Reduced Glutathione activities. Histomorphological alterations in the fetal liver were observed at 1300nm particle group which were exacerbated in 20nm group. The results show that a repeated oral dose of AgNPs during pregnancy caused oxidative stress in fetal hepatic tissue which is not only dose dependent but also depends on the particle size.

Keywords: AGNPS colloidal solution, swiss albino mice, dynamic light scattering, zeta potential

Abbreviations

AgNPs, silver nanoparticles, GD, gestational days; ROS, reactive oxygen species; ↓GSH, reduced glutathione

Introduction

Nanoparticle due to enormous small size occupies a position in various fields of nano science and nanotechnology which majorly includes biomedicine and bioscience with sub stream of therapeutic and diagnostic. Silver nanoparticle is important because of its application on catalysis, optics, electronics, magnetic and medical field which include diagnostic and therapeutic application. Colloid silver nanoparticle had exhibited distinct properties in past such as catalytic, antibacterial,1 good conductivity, and chemical stability. Silver nanoparticles have its application in the field of bio labeling, sensor, antimicrobial, catalysis, electronic and other medical application such as drug delivery2 and disease therapeutics with diagnosis. Overwhelming and unexpected growth of daily day today consumer application of silver nanoparticles (AgNPs) in human beings has increased the prospective likelihood of endanger. Exposure to silver nanoparticles has been associated with inflammatory, oxidative, genotoxic & cytotoxic response. It causes adverse health effect in the respiratory tract as well as in extra pulmonary organs. Due to its widespread application and this unexpected growth of AgNPs made consumer products has put at risk and menace to world population. Despite their increasing use, there exist major knowledge gaps in the toxicological profile for AgNPs. One such gap concerns the potential effects of prenatal AgNPs exposure on the developing fetus, as well as effects on reproductive organs and fertility in both males and females.

The effects of AgNPs on unborn and un hatched offspring’s evolution and present sequel on mother have not yet been concluded, it is still yet under experiment on animals and their progenies. Reported systemic toxicity has included changes in blood and tissue biochemistry like Catalase and Glutathione Reductase oxidative damage antioxidant product following oral AgNPs exposure due to oxidative stress in mother and progenies.3 Furthermore, AgNPs have been shown to exert toxic effects (e.g., generation of reactive oxygen species [ROS], apoptosis, and necrosis) on a variety of cell types in vitro.4 Mahabady MK5 reported decreased fetal weights and lengths and decreased placental weights following intra peritoneal injections of 0.4 or 0.8mg/kg/day “nano silver” to pregnant mice on gestation day (GD) 8 or 9. Silver concentrations in tissues were not quantified, but the authors reported that a limited TEM analysis revealed the presence of AgNPs in fetal liver and kidney.6 i.v. injected 50nm AgNPs (in citrate buffer) to pregnant mice once daily on GDs 7, 8, and 9 Ag at dose levels of 0.4 or 0.73mg/kg/day to see the teratogenic effects, on GD10, various tissue levels of silver were measured and embryos were examined. Incidences of morphological abnormalities in embryos were found similar across control and AgNPs treated groups. At concentrations ≥0.19nm, all embryos were deformed (e.g., pericardial edema, tail/spinal cord flexure) and/or died; the effects were concentration-dependent. The authors later repeated the experiment with larger AgNPs (42nm) and reported similar results:7 at concentrations ≥0.20nm, all embryos died; at 0.02nm, most of the embryos developed normally. At concentrations between 0.02 and 0.2nm, embryos were deformed. Similarly, Bar-Ilan et al.8 reported increases in mortality and malformations after exposing zebra fish embryos to AgNPs (3, 10, 50, and 100nm) at concentrations of 100 or 250 M for up to 120 hpf. Toxic effects were size-dependent, with exposure to smaller AgNPs resulting in greater toxicity.

Therefore, it is important to evaluate the effects of different size and dose AgNPs on pregnant dams and embryo-fetal development. The aim of this study was to determine the effects of AgNPs on pregnant dams and embryo-fetal development in Swiss Albino mice.

Material and methods

Rules and regulations

The study was carried out in strict conformity with laws and regulation for animal experiment after getting approval from central animal ethical committee of the institute (No. Dean/ 2014/CAEC/614/Dt.30.05.14).

Selection of animal types

Pregnant Swiss albino mice and pups.

Animal conservation, agronomy & pre calculated time mating

Male and non parous female Swiss albino mice from different bacterium free breeding colony were chosen for conduction of study. The mouse of an average weight of 20-35gms and average ages of 45days were used in this study. Mice were feed on diet pellets (Hindustan liver) and tap water ad libitum with appropriate bedding made up of dry husk inside the plastic polycarbonate cage. Animals were housed individually in plastic cages with stainless steel toppings. (1:1 male female ratio) In the air conditioned animal house, the temperature was maintained at an average of 25˚C with a minimum range of relative humidity of 55±5% and maintenance of 12 hrs day and night cycle. Confirmation of successful mating was made by the presence of spermatozoa in the vaginal swab slide smear. The following 24h was designated as day 0 of gestation (GD 0). At 9.00 AM. Mother weight was taken with feeding done every day. On day 7th, 8th & 9th of gestation plugged females were regularly chequed for pregnancy by abdominal palpation.

Characterization of silver nanoparticles experiment colloidal solution

The experiment silver colloidal solution examined and applied in this study was availed by laboratory preparation after raw chemicals purchased from Sigma Aldrich (AgNO3, PVP & NaBH4). AgNps in 0.33% PVP, 0.002M NaBH4 and anionic double distilled aqueous solution was prepared immediately and fresh before each oral gavege therapy. Silver nanoparticle colloidal solution was synthesized by magnetic and stirring cooling method9 and filter with 1300 and 20nm pore size nanofilter device respectively. The stock solution was prepared in an Erlen Mayer flask using Millipore water (ion free) and sonicated in an ultrasonicator for 2 min (145 watt, 25 kHz, pulse 69/1). Different size silver nitrate (AgNO3) transparent crystal bids for preparation of Test mixture was availed for this purpose and finally send for characterization by Dynamic light scattering,10 zeta potential, spectroscopy, Image-j11 and Transmission electron microscopy after preparing it into colloidal form. TEM characterization was performed using a Zeiss Libra 200 HT FE MC at an accelerating voltage of 200 kV. The colloidal samples were deposited on carbon-coated tungsten grids and were air dried overnight before TEM analysis. The test mixture was suspended in NaCl at concentrations of 0.5, 1mg/kg/b.w.

Experimental groups

Healthy female mice were randomly assigned to five experimental groups containing 10 each: which were further grouped according to the size of the AgNPs into halves. AgNPs treatment groups received 0.5 and 1mg/kg/day of 1300nm AgNPs and 20nm Ag NPs respectively and a control group which received equal volume of vehicle alone. The test mixture was administered daily by gavages to pregnant mice from GD 6-19 after daily. Weight with triple beam balance under all aseptic precaution was taken. The daily application volume was calculated in advance, based on the most recently recorded body weight of the individual animal on spot. All pregnant females were examined daily throughout the gestation period for mortality, morbidity, general appearance and behavior.

Dissection, liver tissue collection

All mothers went through Cesarean section on GD 20. The uterus was observed for the live and dead pups as well as the resorption if any. Early resorption sites were evaluated and crown rump length of all the pups was measured. All mothers were subjected to complete gross postmortem examination Livers of all group mothers was collected following dissection under aseptic measures. The pups after thorough external examination along with their placenta went through laparotomy for liver dissection. Liver of fetuses of all the groups was collected following dissection in aseptic condition under dissecting microscope. Rests of the fetus were preserved in 10% buffered formalin. Freshly dissected liver were divided into half, while one was kept for biochemical oxidative stress analysis , the other half was fixed for histomorphology.

Treated and control tissue antioxidant analysis

Weighted frozen liver tissue both from the mother and the fetus was separately homogenized in an elongated U shaped glass homogenizer with 50mM PBS (Phosphate Buffer Saline) (pH 7.4) and 50 mM normal saline to obtain 1:10 (w/v) whole homogenates. The homogenates were then centrifuged at 10000 g for 10min at 4˚C to discard any cell debris. The supernatant was used to measure Reduced Glutathione (↓GSH) from freshly dissected tissue12 and the activities of antioxidant enzymes Catalase (CAT) from freshly dissected tissue of mothers and fetuses was determined by the method of OxiselectTM Catalase standard curve assay kit method13,14 and Worthington assay.15

Evaluation of the liver cell morphology

Liver tissue cell morphology was evaluated by Transmission Electron Microscopy.16 Nuclear DNA abnormality of fetuses liver tissue of different group was assessed by isolation of genomic DNA by 2% Agarose Gel electrophoresis method.17‒19

Statistical analyses

Pregnant female and the litters were considered as the unit for statistical measurement. One-way analysis of variance (ANOVA) was applied to quantitative continuous data such as maternal body weight, food consumption (Supplementary Table 1), average fetal body weight per litter, and placental weight. The number of corpora lutea, total implantations, live and dead fetuses, and gender ratio were evaluated statistically using ANOVA test. The proportions of litters with malformations and developmental variations were compared using the same. The statistical analysis was performed by comparing the treatment groups with the control group using the Prism 5 software and SPSS software 21. Significant probability values are represented as p<0.05 (*) and p<0.01 (**).

Results

Characterization of silver nanoparticles colloidal solution

The Dynamic light scattering test showed cumulant result of avg. 1300.3nm size silver nano particles with poly dispersity index 0.538 for the colloidal silver solution which was filtered with 1300nm size sieve pore. The refractive index was found 1.3328 and viscosity was found 0.8858 (cp) and scattering intensity was found 11101 (cps) for the colloidal silver of bigger size (Figure 1).

The Dynamic light scattering test showed cumulant result of avg. 20.9nm size silver nano particles with poly dispersity index 0.061 for the colloidal silver solution which was filtered with 20nm size sieve pore. The refractive index was found 0.0328 and viscosity was found 0.0885 (cP) and scattering intensity was found 1001 (cps) for the colloidal silver of smaller size. The diluents selected for this test was water and the test carried out at 25˚C surrounding temperature. Spectroscopic result showed highest peak at 400 wave lengths (<0.35 maximum excitation) and lowest peak at 600 wave lengths (<0.05 minimum excitation) of light wave conductance in no filtered solution field (Graph 1).

Figure 1 TEM images of 1300 size silver nano particles.

Graph 1 Spectroscopy of colloidal silver before filtration.

Effect of 1300 and 20nm size AgNPs on pregnant mothers

No significant differences in body weight (Table 1) or food consumption (Supplementary Table 1) were observed between the groups. At the scheduled autopsy, no treatment-related gross findings were observed in mothers of any group. Absolute liver weights and other organ weights in all treatment groups increased insignificantly compared with those in the control group (Table 2). As shown in Table 3, fresh liver Catalase activity in the form of relative concentration increased insignificantly when compared with the control group mothers and fetuses and reduced glutathione content in the 0.5 and 1mg/kg b.w. treated group decreased insignificantly when compared with the control group mothers and fetuses.

Parameters

Control (Zero conc)

AgNPs mg/kg/day

1300nm Size (0.5mg/kg dose)

20nm Size
(0.5mg/kg dose)

1300nm Size (1mg/kg dose)

20nm Size
(1mg/kg
dose)

Gestational day 0

3.1±0.05a

3.09±0.05

3.07±0.049

3.05±0.048

3.04±0.047

Gestational day 5

3.6±0.06

3.59±0.059

3.58±0.57

3.57±0.56

3.56±0.55

Gestational day 10

4.3±0.08

4.28±0.059

4.26±0.057

4.25±0.055

4.24±0.054

Gestational day 15

5.1±0.09

5.09±0.089

5.087±0.088

5.085±0.086

5.084±0.085

Gestational day 20

5.9±0.11

5.88±0.109

5.87±0.108

5.85±0.107

5.83±0.106

Supplementary Table 1 Altered rate of food consumption per day of pregnant mice treated with AgNPs during gestational days in 5 days gap intervals (0, 5, 10, 15 & 20 GD)

aValues are presented as means ± SD (gm).

Parameters

Control (Zero Conc)

AgNPs mg/kg/day

1300nm Size (0.5mg/kg dose)

20nm Size (0.5mg/kg dose)

1300nm Size (1mg/kg dose)

20nm Size
(1mg/kg
dose)

No. of mice mated

10

10

10

10

10

No. of pregnant mice

10

10

10

10

10

Gestational day 0

30.5±1.5a

30.25±1.45

30.23±1.47

30.18±1.44

30.15±1.42

Gestational day 5

34.6±1.95

34.1±1.89

33.94±1.91

33.88±1.88

34.6±1.95

Gestational day 10

37.3±2.65

36.8±2.59

36.77±2.54

37.73±2.52

37.3±2.65

Gestational day 15

40.1±3.15

39.6±3.09

39.53±3.01

39.48±2.99

40.1±2.97

Gestational day 20

44.5±3.45

44.1±3.38

44.07±3.34

44.03±3.32

44.01±3.29

Weight gain during pregnancy

14.21±1.95

13.85±1.93

13.85±1.93

13.84±1.93

13.82±1.87

Table 1 Body weight changes of pregnant mice treated with AgNPs during gestational days in 5 days

a Values are presented as means ± SD (gm).

Parameters

Control
(Zero Conc.)

AgNPs mg/kg/day

1300nm Size (0.5mg/kg
dose)

20nm Size
(0.5mg/kg dose)

1300nm Size (1mg/kg
dose)

20nm Size
(1mg/kg
dose)

No. of mother

10

10

10

10

10

Body weight at term

44.5±3.45

44.1±3.38

44.07±3.34

44.03±3.32

44.01±3.29

Liver gm

3.627±0.45

3.590±0.43

3.588±0.41*

3.553±0.32**

3.549±0.29

Per body wt.%

0.081±0.13

0.080±0.127

0.079±0.122

0.080±0.096

0.080±0.088

Table 2 Absolute and relative organ weights of pregnant mice treated with AgNPs during gestational days 6-19

aValues are presented as Means ± SD(gm)

*Insignificant difference at p>0.05 level when compared with the control group.

Parameter

Control

AgNPs mg/kg/day

1300nm Size
(0.5mg/kg dose)

20nm Size (0.5mg/kg dose)

1300nm Size
(1mg/kg dose)

20nm Size (1mg/kg dose)

No. of mothers

CAT=10/
↓GSH=10(All Total10)

10

10

10

10

Catalase (unit mg/protein)

FT=24.943±14.86a

FT=25.954±14.76

FT=25.445±15.86

FT=26.545±14.75

FT=26.976±15.75

Reduced Glutathione(unit/mg protein)

FT=0.472±0.71a

FT=0.466±0.166

FT=0.434±0.68

FT=0.462±0.168

FT=0.428±0.66

Table 3 Antioxidant enzymes Catalase, Reduced Glutathione levels in the fresh livers of pregnant mice treated with AgNPs on gestational days 20

aValues are presented as Means ± SD

CAT: Catalase; ↓GSH: Reduced Glutathione Fresh Tissue; FT: Fresh Tissue

Histomorphology

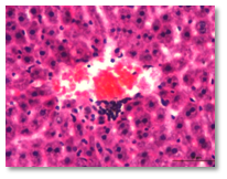
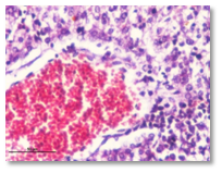
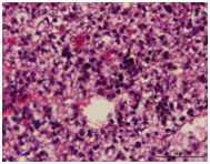
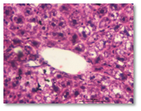
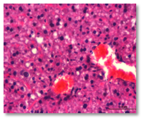
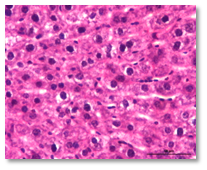
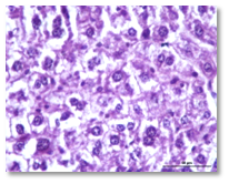
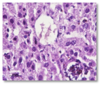
Treatment with AgNPs of 1300nm size caused multiple hemorrhagic patches in 0.5mg/kg b.w. dose treated group in the matrix of liver 6µm sections of mothers as well as fetuses when compared with the control in panoramic view at 400X magnification. In adult mother liver deformed hepatocyte, infiltration of neutrophils are also a feature and the intensity of such was found more in 1mg group in comparison to 0.5mg group. Blood smearing entire parenchyma, Lymphocytes and Kuffer cells infiltrating the sinusoidal area. Hepatocyte under gone necrosis and showed multiple clear spaces the vacuolization’s commonly seen in mothers and fetus of 0.5 and 1mg/kg 1300nm size silver nano particles treated groups liver sections. At lower dose smaller silver nano particles (20nm size) showed intensive hemorrhages with more vacuolization’s giving a honey comb shape appearance with few necrosed scattered hepatocytes and neutrophil compared to control but the intensity of such sign and symptoms found slight more in 1mg/ kg dose treated group in comparison to 0.5mg/kg dose treated group.1mg/kg treated group showed multiple fibrosis and calcified regions in the matrix (Figure 2 (a-e) (i-v)).

Figure 2a Histology 40X view of control mother liver.

Figure 2b Histology 40X view of 0.5 mg and 1300 nm size AgNPs treated group mother liver.

Figure 2c Histology 40X view of 0.5 mg and 20 nm size AgNPs treated group mother liver.

Figure 2d Histology 40X view of 1 mg and 1300 nm size AgNPs treated group mother liver.

Figure 2e Histology 40X view of 1 mg and 1300 nm size AgNPs treated group mother liver.

Figure 2i Histology 40X view of control fetus liver.

Figure 2ii Histology 40X view of 0.5 mg and 1300 nm size AgNPs treated group fetus liver.

Figure 2iii Histology 40X view of 0.5 mg and 20 nm size AgNPs treated group fetus liver.

Figure 2iv Histology 40X view of 1 mg and 1300 nm size AgNPs treated group fetus liver.

Figure v Histology 40X view of 1 mg and 1300 nm size AgNPs treated group fetus liver.

Effect of 1300 and 20nm size AgNPs on fetuses

Catalase activity in the form of relative concentration increased significantly when compared with the control group fetuses and reduced glutathione content in the 0.5 and 1mg/kg b.w. treated group decreased significantly when compared with the control group fetuses (Table 4).

Parameter

Control

AgNPs mg/kg/day

1300nm Size
(0.5mg/kg dose)

1300nm Size
(1mg/kg dose)

20nm Size (0.5mg/kg dose)

20nm Size (1mg/kg dose)

No. of mothers

CAT=30/ ↓GSH=30(All Total60)

30

30

30

30

Catalase(unit mg/protein)

FT=12.33±17.38a

FT=15.88±7.38

FT=17.08±7.36

FT=15.08±7.37

FT=17.28±7.37

Reduced Glutathione(unit/mg protein)

FT=1.2±0.486a

FT=0.63±0.33

FT=0.35±0.22

FT=0.77±0.482

FT=0.48±0.312

Table 4 Antioxidant enzymes Catalase, Reduced Glutathione levels in fresh livers of fetuses treated with AgNPs on gestational day 20.

a Values are presented as Means ± SD.

*Significant difference at p<0.03 level when compared with the control group.

CAT: Catalase; ↓GSH: Reduced Glutathione Fresh Tissue; FT: Fresh Tissue

Cellular morphology

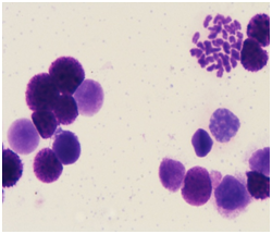
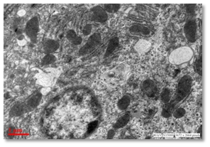
On TEM microscopy: AgNPs of 1300nm size caused perimembranous condensation with scattered percolation of silver in extra cellular and intracellular region (Figure 3A). 20nm size AgNPs caused mitochondrial blebbing with degeneration of lysosome, endoplasmic reticulum and Golgi bodies in addition to perimembranous condensation and percolation in a hepatocyte and extra hepatocyte panoramic view of liver tissue (Figure 3B) (Figure 3C). Karyotyping by Giemsa stain made on 45days grown mice fetus (20nm size silver nanoparticles) bone cells isolated by bone medulla KCl flushing method (Mice bone marrow cell karyotyping by extraction of medullary lymphoblast cells from medullary region of dependable limb bone by both end cut protocol) indicated degenerated and break chromosomes in 0.5 & 1mg/kg body weight (20nm size silver nano particles) treated group. (Figure 4A) (0.5mg dose 20nm AgNPs treated fetal liver tissue showed multiple DNA degradation of column (Column 2) (Figure 4B) when compared with the control. (Column 1,3-5) (Figure 4B).

Figure 3A 1micrometer view of fetus liver of 1300 nm size silver nano particles treated group mother liver tissue.

Figure 3B & C 1 and 0.5micrometer view of TEM of fetus liver of 20 nm size silver nano particles treated group mother liver tissue.

Figure 4A Karyotyping of mice bone medullay lymphoblast marrow cells from 20 nm size silver nano particles treated group.
Figure 4B Isolation of genomic DNA (Deoxy Ribo Nucleic acid) in 5 column view by 2% agarose gel electrophoresis method of 20 nm size silver nanoparticles treated group extracted from finely macerated pups liver tissue.

Discussion

Silver NPs from laboratory prepared sources and filtered by 1300 and 20nm size sieve pore were evaluated for their accurate preliminary size by DLS, Zeta potential, Image-j, TEM and ultraviolet visible (UV-Vis) spectroscopy. We found that Reduced Glutathione levels of mother and fetuses treated group were diametrically opposed against elevation in the form of insignificant depletion of value (Table 3) (Table 4) after exposure to the silver nano particles in repeated oral gavages therapy in increase dose order which corresponds to 1300 and 20nm size whereas Relative concentration of Catalase found Insignificant for mother and significant for fetuses. Reduce Glutathione showed in significant decrease in treated group mothers and fetuses liver tissues in various study groups (P>0.005) when compared with control whereas Catalase showed insignificant increase in treated group mothers (P>0.005) but significant increase in treated group fetuses liver tissues (P<0.005) when compared with control.

Catalase and Reduced Glutathione levels are the indicator of oxidative stress.20 Various previous studies21 concluded exposure to silver nanoparticles causes significantly decreased the levels of Reduced Glutathione in rat serum and tissues. GSH is an antioxidant that can quench free radicals or serve as a substrate for other antioxidant enzymes, such as Glutathione Peroxidase and Glutathione Reductase (↓GSH). The decreased levels of ↓GSH after exposure to silver nano particles may be due to complexing of silver nano particles with Thiol groups leads to production of ROS and oxidative stress22,23 or increase use of ↓GSH downplay the effect of free radicals after exposure to silver nano particles.24 These nano particles have a strong affinity for thiol groups22 and may therefore predispose to a decrease in ↓GSH content, there by leading to the formation of complexes between radical species and cellular proteins or other biomolecular structure.

Our results show that 6-19-day oral repeated dosing of AgNPs during pregnancy caused oxidative stress in maternal hepatic tissues, as evidenced by a decrease in liver CAT and ↓GSH activities at a dose of 0.5 and 1mg/kg/day, but did not cause any significant developmental toxicity in same dose in Swiss Albino mice. In contrast, no changes in liver function parameters or histopathology were reported in past combined repeated-dose toxicity study of AgNPs with reproductive/developmental toxicity.25 Hadrup et al.26 also reported that 28day repeated oral dose of 9mg AgNPs/kg/day did not induce any hepatotoxic effects in rats. In the present study, although 6-19-day repeated oral doses of AgNPs to pregnant mice caused an increase in hepatic oxidative stress level at 0.5 and 1mg/kg/day 1300 and 20nm size silver nanoparticles treated group but no treatment related significant effects, including clinical signs, body weight changes, food intake, gross findings, observed at any of the above test dose. Insignificant decreased of absolute liver weights observed in the treatment groups were also considered evidence for proof and not treatment-related, as the changes did not show a dose-response relationship and were within the limits of normal biological variations.27 Our results agree with those of previous studies.25,26 It is evident that the smaller size cause more injury when colloidal silver induces in animals through repeatedly oral gavages testing. AgNPs accumulate outside and inside the mitochondria, lysosome and other structure. It is possible that this is the direct cause of mitochondrial damage and the disturbed function of the respiratory chain resulting in ROS generation and oxidative stress. Despite the presence of AgNPs inside the cytoplasm, the nuclear membrane is found intact and is round in shape in respective hepatocyte. DNA fragmentation is a DNA column deformity. DNA column is practically observed by genomic DNA isolation through 2% Agarose gel electrophoresis method. DNA fragmentation is commonly observed in either genetically inherited diseased condition or traumatic condition executed by experimental intra nucleoli insertion of nanoparticulate, which is also observed in our small size colloidal AgNPs repeated oral gavages testing to animals.

Conclusion

Smaller size AgNPs through repeated oral gavages testing causes more injury at cell and tissue level in comparison to bigger size whereas higher dose also cause the same. Repeated oral gavages AgNPs testing on pregnant mothers causes oxidative stress teratogenicity in offspring’s which is significant but insignificant in pregnant mothers and this chemistry which is not only dose dependant but also size dependant.

Acknowledgements

Authors sincerely acknowledge University Grants Commission, New Delhi and Department of Anatomy Institute of Medical Sciences Banaras Hindu University Varanasi, Uttarpradesh, India for all financial support for this manuscript.

Conflict of interest

Author declares that there is no conflict of interest.

References

  1. Sharma VK, Yngard RA, Lin Y. Silver nanoparticles: Green synthesis and their antimicrobial activities. Adv Colloid Interface Sci. 2009;145(1‒2):83‒96.
  2. Jong WHD, Borm PJA. Drug delivery and nanoparticles: Applications and hazards. Int J Nanomedicine. 2008;3(2):133‒149.
  3. Sung JH, Ji JH, Park JD, et al. Sub chronic inhalation toxicity of silver nanoparticles. Toxicol Sci. 2009;108(2):452‒461.
  4. de Lima R, Seabra AB, Duran N. Silver nanoparticles: a brief review of cytotoxicity and genotoxicity of chemically and biogenically synthesized nanoparticles. J Appl Toxicol. 2012;32(11):867‒879.
  5. Mahabady MK. The evaluation of teratogenicity of nano silver on skeletal system and placenta of rat fetuses in prenatal period. African Journal of Pharmacy and Pharmacology. 2012;6(6):419‒424.
  6. Austin CA, Umbreit TH, Brown KM, et al. Distribution of silver nanoparticles in pregnant mice and developing embryos. Nanotoxicology. 2012;6(8):912‒922.
  7. Lee KJ, Browning LM, Nallathamby PD, et al. In vivo quantitative study of sized-dependent transport and toxicity of single silver nanoparticles using zebra fish embryos. Chem Res Toxicol. 2012;25(5):1029‒1046.
  8. Bar Ilan O, Albrecht RM, Fako VE, et al. Toxicity assessments of multi sized gold and silver nanoparticles in zebra fish embryos. Small. 2009;5(16):1897‒1910.
  9. Solomon SD,Bahadory M, Jeyarajasingam AV, et al. Synthesis of Silver Nanoparticles. Journal of Chemical Education. 2007;84:322‒325.
  10. Berne BJ, Pecora R. Dynamic Light Scattering. Courier Dover Publications; 2000.
  11. Schneider CA, Rasband WS, Eliceiri KW. NIH image to image-J: 25years of image analysis. Nat Methods. 2012;9(7):671‒675.
  12. Beutler E, Duron O, Kelly BM. Improved method for the determination of blood glutathione. J Lab Clin Med. 1963;61:882‒890.
  13. Aebi H. Catalase in vitro. Methods Enzymol. 1984;105:121‒126.
  14. Ames BN, Shigenaga MK, Hagen TM. Oxidants, antioxidants, and the degenerative diseases of aging. Proc Natl Acad Sci USA. 1993;90(17):7915‒7922.
  15. Beers R, Sizer I. A spectrophotometric method for measuring the breakdown of hydrogen peroxide by catalase. J Biol Chem. 1952;195(1):133‒140.
  16. Reimer L. Transmission electron microscopy: image formation and microanalysis. 4th ed. New York: Springer Verlag; 1997.
  17. Cho KS, Lee EH, Choi JS, et al. Reactive oxygen species-induced apoptosis and necrosis in bovine corneal endothelial cells. Invest Ophthalmol Vis Sci. 1999;40(5):911‒919.
  18. Lee MR, Elder FFB. Yeast stimulation of bone marrow mitosis for cytogenetic investigations. Cytogenet Cell Genet. 1980;26(1):36‒40.
  19. John SWM, Weitzner G, Rozen R, et al. A rapid procedure for extracting genomic DNA from leukocytes. Nucl Acids Res. 1991;19(2):408.
  20. Adeyami OS, Fambegbe M, Daniyan OR, et al. Yoyo bitters a poly herbal formulation influenced some biochemical parameters in Wister rats. J Basic Clin Physiol Pharmacol. 2012;23(4):135‒138.
  21. Adeyemi OS, Adewumi I. Biochemical alterations in Wistar rats following oral exposure to silver nanoparticles. Intl Schol Res Not. 2014.
  22. Srivastava M, Singh S, Self WT. Exposure to silver nano particles inhibits selenoprotein synthesis and the activity of thioredoxin reductase. Environ Health Perspect. 2011;120(1):56‒61.
  23. Salma AA, Amer HA, Shaemaa HA, et al. The effects of gold and silver nano particles on transaminase enzymes activities. Int J Chem Res. 2011;1:2249e2329.
  24. Adeyemi OS, Sulaiman FA. Biochemical and morphological changes in Trypanosoma brucei brucei-infected rats treated with homidium chloride and diminazene aceturate. J Basic Clin Physiol Pharmacol. 2012;23(4):179‒83.
  25. Hong JS, Kim S, Lee SH, et al. Combined repeated-dose toxicity study of silver nanoparticles with the reproduction/developmental toxicity screening test. Nanotoxicology. 2014;8(4):349‒362.
  26. Hadrup N, Loeschner K, Bergstrom A, et al. Sub acute oral toxicity investigation of nanoparticulate and ionic silver in rats. Arch Toxicol. 2012;86(4):543‒551.
  27. Lee JM, Lee MA, Do HN, et al. Historical control data from 13week repeated toxicity studies in Crj:CD (SD) rats. Lab Anim Res. 2012;28(2):115‒121.
Creative Commons Attribution License

©2016 Prakash, et al. This is an open access article distributed under the terms of the, which permits unrestricted use, distribution, and build upon your work non-commercially.