Submit manuscript...
MOJ
eISSN: 2471-139X

Anatomy & Physiology

Case Report Volume 9 Issue 1

Pulmonary hypertension is associated with unilateral congenital hypoplasia of the left pulmonary artery

Enrique Barimboim,1 Leonardo Ripa,2 Sabrina Álvarez,1 Javier Abdala,1 Hugo Devia,1 Andrea Fragapane,3 Yasmin Riveros 1

1Pulmonology Service, Central Hospital, Argentina
2Hemodynamics Services, Central Hospital, Argentina
3Internal Medicine Service, Central Hospital, Argentina

Correspondence: Enrique Barimboim, MD, Pulmonology Service, Central Hospital, 2897 Moreno (5500) Mendoza, Argentina, Tel +542616259107

Received: August 03, 2022 | Published: August 22, 2022

Citation: Barimboim E, Ripa L, Álvarez S, et al. Pulmonary hypertension is associated with unilateral congenital hypoplasia of the left pulmonary artery. MOJ Anat Physio. 2022;9(1):5‒-8. DOI: 10.15406/mojap.2022.09.00318

Download PDF

Summary

We present an infrequent clinical case of hypoplasia of the left pulmonary artery associated with pulmonary hypertension, aggravated by the terminal renal failure of undetermined aetiology. The patient was hospitalized several times due to acute unilateral pulmonary oedema. The probable mechanisms involved, and the proposed therapeutic alternatives are discussed.

Keywords: Pulmonary hypertension, embryopathies, pulmonary artery hypoplasia, Pulmonary Arteries, absence, Pulmonary Arteries, stricture

Introduction

The clinical case we present represents a challenge from the point of view of diagnosis and therapeutic management. Firstly, due to the very low incidence of this pathology, especially in medical services that assist, like us, adult patients, and secondly due to the narrow therapeutic margin that the patient's condition allows. The incidence of unilateral pulmonary artery hypoplasia (UPAH) is very low and is considered a rare disease.1 This pathology is generally diagnosed in childhood and most patients who do not have an associated cardiac anomaly have mild or even absent symptoms until adulthood, which leads to a considerable delay between the onset of symptoms and the final diagnosis. The absence of the pulmonary artery is caused by the involution of the sixth proximal aortic arch. Its severity is variable, but it is increased by pulmonary hypertension (PH). Isolated hypoplasia is extremely rare. As of 2017,2,3 only 11 cases of isolated UPAH in adulthood have been published. The incidence increases with reports of total absence of the artery, with higher ranges, but with different clinical connotations. This case illustrates some of the complications that these patients can suffer.

Presentation

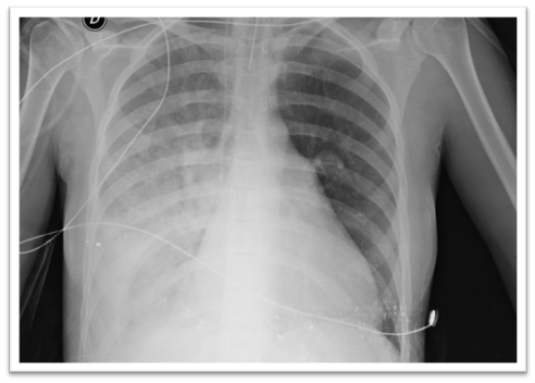
This is a 30-year-old woman with multiple hospitalizations for reporting dyspnea, associated with hemodynamic decompensation, including symptoms of unilateral acute pulmonary oedema (and who has required mechanical respiratory assistance as part of her treatment (Figure 1). She refers to having symptoms since she was 9 years old when she noticed fatigue with usual efforts. Dyspnea was progressive. At the age of 11, she was treated by a pediatric cardiology service where she was diagnosed with stenosis of the left pulmonary artery and underwent balloon angioplasty, after which she was discharged, without being able to record follow-up studies. We consider that the patient was in a stage with few symptoms of her disease and according to her report, she had a normal life. At the age of 22, she suffered a syncope for which she was hospitalized briefly. At the age of 23, during a trip to Peru, she was diagnosed with acute pulmonary oedema associated with altitude. A year later she started with high blood pressure records. The cause of this was the development of severe kidney disease that led to terminal chronic kidney failure (ERSD) Its aetiology could not be determined. She has been undergoing dialysis treatment ever since.

Figure 1

In recent years she has had 5 hospitalizations in our hospital for presenting symptoms and images compatible with unilateral acute pulmonary oedema and one for an alveolar haemorrhage that we interpret as an accident since the patient was anticoagulated due to a PE. She currently has functional class III dyspnea. Her vital signs are, blood pressure 100/50 mm Hg; Heart rate 100/m, regular; Respiratory rate 20/m; SatO2 96% breathing room air; Body mass index 22.8kg/m2. Among her most salient physical data, a well-developed fistula in her right arm stands out. The 2nd heart sound appears to increase, and a 4/6 systolic murmur is heard in the pulmonary focus that radiates to the neck, axilla and interscapular region. She has mild bi-malleolar oedema. In the respiratory system, few dry rales were heard in the suitable base and a slight decrease in the vesicular murmur in the left lung field.

Complementary exams: Laboratory data: Hematocrit 35%; Arterial blood gases: pH 7.40; PCO2 37.9 mmHg; PO2 82mmHg; HCO3 23.1mmol/L; BE -1.5; SatO2 95.2% (FiO2 0.21); Pro-BNP 15,000ng/L; D-dimer 1030 ug/L; Immunological Studies (-); Serology for HIV, Hepatitis B and C negative.

Spirometry: FVC 2.65 L (71%); FEV1 1.82 L (57%); FEV1/FVC 68.7. Interpreted as a moderately severe obstructive ventilatory limitation with response to B2, associated with a decrease in FVC due to probably associated restriction.

6-minute walk test: 341m (48.85% predicted) She presented desaturation up to 87%.

ECG: heart rate 75/minute, axis +130°, bi atrial overload, posterior left hemiblock, right ventricular hypertrophy and overload.

Doppler echocardiogram: left ventricular diastolic diameter 48 mm; left ventricular systolic diameter 32mm; left ventricular ejection fraction 63%; right atrium 24 cm2; systolic displacement of the plane of the tricuspid annulus (TAPSE) 20mm; Bi atrial dilatation, Left ventricular concentric hypertrophy, systo-diastolic flattening of the septum. Right ventricular hypertrophy with preserved systolic function. Mild mitral, tricuspid, and pulmonary regurgitation. Moderate pulmonary hypertension.

Lung perfusion ventilation scintigram: low probability of PE. Decreased perfusion in the left lung.

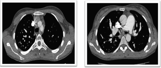
CT angiography of the neck, thorax, and pelvis: Dilation of the main pulmonary artery (33 mm), right pulmonary artery and its branches, a finding suggestive of PH. The left pulmonary artery decreased in calibre, reaching 11 mm, with dilation at the level of its bifurcation in its lobar branches. Enlargement of the right atrium and wall of the right ventricle. No other vascular abnormalities were observed in the remaining explored territories (Figures 2 and 3).

Figure 2

Figure 3

Right pulmonary catheterization: blood pressure 140/70 (mean 90) mm Hg; left ventricle108/6 (mean 10) mmHg; right atrium 10 mmHg; pulmonary artery pressure (PAP) 74/20 (mean 43) mm Hg; right ventricle73/0 (mean 9) mmHg; wedge pressure (WP) 14 mmHg; cardiac index 2.4 L/min/m2; pulmonary vascular resistance 8uW. A volume overload test was performed with 400 ml. No increase in WP or mPAP was observed. A patent dilated right PA was observed, without signs of PE. Hypoplastic left PA with a deficit of distal arborization and absence of vessels to the lower lobe.

 Diagnostics:

  1. Congenital hypoplasia of the left pulmonary artery.
  2. Pulmonary hypertension due to congenital pulmonary artery stenosis (Nice Group 4.2.4)3
  3. Nephropathy of undetermined aetiology. End-stage chronic renal failure

Discussion

Pulmonary hypertension (PH) implies an increase in the mean pressure of the pulmonary artery (PA) above 20 mm Hg, together with an increase in pulmonary resistance above 3 wood and a wedge pressure of less than 15 mm Hg. This is a serious condition that will lead to failure of the right ventricle and death. It is classified into 5 large groups (Niza, 2018)3 Group 1, pulmonary arterial hypertension; Group 2, due to LV disease; Group 3, due to respiratory pathology and/or hypoxia; Group 4 for chronic thromboembolic disease and other obstructions of pulmonary arteries and Group 5 for diseases with multifactorial mechanisms not fully clarified to date.

During the early stages of embryological development, in the fifth week (days 29 to 35) the development of both ventricles, the corresponding outflow tract, the separation of the pulmonary artery that derives from the aortic sac and the pulmonary valve is in its normal position to the left and anterior to the aortic valve. The aortopulmonary septum adopts a spiral shape and divides the truncus arteriosus into the aorta and the pulmonary artery (PA).

The distal truncus arteriosus or bulbus cordis gives rise to the aortic and pulmonary sigmoid valves and participates in the formation of the distal portion of the ventricular infundibula and the proximal portion of the great arteries The arterial segment is made up of the ascending aorta and the main trunk of the pulmonary artery.

The main branches of these arteries form from the aortic arches. Experimental studies have shown that most of the great arteries originate from the walls of the aortopulmonary sac and the aortopulmonary septum, and not from the truncus arteriosus, as had been traditionally considered since the latter has been seen to only intervene in the development of the proximal portion, that is, in the region immediately above the aortic and pulmonary valve planes. The aortic arches are vascular formations included in the mesenchyme of the pharyngeal arches, which communicate the pulmonary aortic sac with the right and left dorsal aortas that extend the entire length of the embryo. The arteries of the face and chest are formed from the aortic arches. neck, branches of the aorta and pulmonary trunk, aortic arch, and ductus arteriosus. From the VI left aortic arch, the proximal part of the left pulmonary artery will arise and from its distal portion, the ductus arteriosus, which will close at birth. From the right aortic arch VI, the proximal part of the right pulmonary artery will form. The peri pulmonary arterial plexus, through a branch from each lung, will be connected to the proximal portion of the VI aortic arch. In other words, intrapulmonary PAs arise from the pulmonary buds, extrapulmonary PAs arise from the proximal portion of the sixth aortic arch, and the larger PA derives from the aortic trunk-sac.4-6

The absence of the PA is caused by the involution of the sixth proximal aortic arch. If the ductus closes after birth, the intrapulmonary PA loses its blood supply and decreases in size. PA agenesis is more common on the right side. The absence of the left PA has been generally associated with other congenital heart defects such as tetralogy of Fallot, atrial septal defects, coarctation of the aorta, right aortic arch, truncus arteriosus, patent ductus, and pulmonary atresia. The prevalence of unilateral absent isolated PA has been estimated at 1 in 200,000 to 1 in 300,000 adults.5,6

Congenital anomalies of the pulmonary arteries can be described in the following ways:7

  1. Unilateral absence of PA
  2. Anomalous origin of the left PA (sling)
  3. PA trunk aneurysm
  4. Other congenital anomalies, such as pulmonary valve stenosis.
  5. Atresia, hypoplasia, or segmental stenosis of the PA

All these alterations are associated with anomalies in the development of the lung, whose perfusion will be provided by other collateral vessels dependent on the bronchial or intercostal arteries. A very useful diagnostic method is the scintigraphy of pulmonary ventilation and perfusion. When ventilation is present, and perfusion is decreased, as in the case of our patient, three diagnostic possibilities could be considered: agenesis of the PA, stenosis of the pulmonary artery branch, or massive PE.8 In our case, it led to a misdiagnosis of PE.

Within PA stenoses, the classic classification, proposed several years ago by Franch and Gay9 mentions 4 different types:

  1. Type I, central or proximal, in the trunk of the artery
  2. Type II, intermediate or hilar, affects the distal end of the common pulmonary artery or its main branches.
  3. Type III, peripheral, affecting the distal ends of the PA branches
  4. Type IV, combined. Central or intermediate and peripheral.

In turn, these lesions may be unique or associated with other congenital heart defects. We have been able to find in our literature review, a report on the association with stenosis of the renal arteries9 Our patient has a terminal renal failure of undetermined cause. A multi-slice - CT angiography was requested, and we were unable to find any other vascular anomalies. However, we must highlight the chronic kidney damage that occurs with a loss of size of both kidneys, therefore it is very difficult to retrospectively evaluate the cause that led to it.

Three clinical presentations have been described, one in young children with failure cardiac and pulmonary hypertension (PH); Another in older people who consult for dyspnea on exertion and hemoptysis that could even be very important if it comes from an arterial vessel related to the aortic system or due to recurrent infections, although it has also been diagnosed as an incidental finding on chest images.10,11 The incidence of PH associated with these congenital defects has been reported between 19% and 44% in different case series and worsens the prognosis.1

The pathophysiological changes that would lead to the development of PH have been linked to the increase in blood flow in the present vascular system, which produces "shear stress" at the endothelial level with the release of vasoconstrictor mediators such as endothelin. In turn, this chronic vasoconstriction could lead to vascular remodelled which in turn would increase pulmonary vascular resistance.2 To date, there are no certain data that support the use of pharmacological therapies in these patients, although there are reports in the literature of their use. Some patients could be treated with balloon dilatations or other surgical procedure12 Aortopulmonary shunts or connections of the affected PA with the main PA have been reported. The earlier the procedure is performed, the greater chance of success it has because it would prevent hypoplasia of the vascular bed. However, in our case, it is very unlikely that it can be implemented, and it would even be high risk due to the clinical conditions of the patient. We assume that the intrapulmonary arteries are damaged, narrowed and would have fibrotic changes in their walls as has been described. Pharmacological treatment is indicated and is based on parenteral endothelin or prostacyclin inhibitors. The therapy could improve the long-term prognosis.13 The global mortality reported in all age groups has been 7% and children with PH would constitute the group with the worst prognosis. At present, after consultations have been carried out, a possible simultaneous kidney and double lung transplant have been considered as a therapeutic option.

Conclusion

We report a rare case of left pulmonary artery embryopathy not associated with another cardiac malformation, aggravated by moderate-grade pulmonary hypertension and end-stage renal failure (ESRD) that required appropriate therapeutic management after several hospitalizations for acute unilateral pulmonary oedema.

Acknowledgments

None.

Conflicts of interest

We declare no conflicts of interest.

References

  1. Bouros D, Pare P, Panagou P, et al. The varied manifestation of pulmonary artery agenesis in adulthood. Chest. 1995;108:670–676.
  2. Nitta M, Ozawa S, Oguma J, et al. Pulmonary artery hypoplasia associated with posterior mediastinal hematoma accompanied by a ruptured pseudoaneurysm of the oesophagal branch of the left gastric artery. Gen Thorac Cardiovasc Surg. 2017;65(7):425–428.
  3. Ten Harkel AD, Blom NA, Ottenkamp J. Isolated unilateral absence of a pulmonary artery: a case report and review of the literature. Chest. 2002;122(4):1471–1477.
  4. Simonneau G, Montani D, Celermajer DS, et al. Haemodynamic definitions and updated clinical classification of pulmonary hypertension. Eur Respir J. 2019;53(1):1801913.
  5. Kruzliak P, Syamasundar RP, Novak M, et al. Unilateral absence of pulmonary artery: pathophysiology, symptoms, diagnosis, and current treatment. Arch Cardiovasc Dis. 2013;106(8–9):448–454.
  6. Arteaga Martínez M, García Peláez I, Sánchez Gómez C. Desarrollo del sistema cardiovascular. In: Arteaga Martínez M, García Peláez I, editors. Embriología Humana y Biología del Desarrollo. 3rd edit. Buenos Aires: Panamericana 2021. p 333–389.
  7. Carter BW, Lichtenberger JP, Wu CC. Congenital abnormalities of the pulmonary arteries in adults. AJR Am J Roentgenol. 2014;202(4):308–313.
  8. Isawa T, Taplin GV. Unilateral Pulmonary Artery Agenesis, Stenosis, and Hypoplasia. Radiology. 1971;99:605–612.
  9. Franch RH, Gay BB Jr. Congenital stenosis of the pulmonary artery branches: a classification, with postmortem findings in two cases. Am J Med. 1963;35(4):512–529.
  10. Carambas C, Gomes J, Vivona V, et al. Congenital stenosis of the pulmonary artery branch: association with renal artery stenosis. Chest. 1979;75(3):402–404.
  11.  Bahler RC, Carson P, Traks E, et al. Absent right pulmonary artery. Problems in diagnosis and management.  Am J Med. 1969;46:64–71.
  12. Tonelli AR, Ahmed M, Hamed F, et al. Peripheral pulmonary artery stenosis as a cause of pulmonary hypertension in adults. Pulm Circ. 2015;5(1):204–210.
  13. Nagamatsu Y, Goda A, Ito J, et al. Novel diagnostic and therapeutic approaches to pulmonary hypertension due to the unilateral absence of a pulmonary artery. ESC Heart Fail. 2021;8(4):3427–3430.
Creative Commons Attribution License

©2022 Barimboim, et al. This is an open access article distributed under the terms of the, which permits unrestricted use, distribution, and build upon your work non-commercially.