Submit manuscript...
MOJ
eISSN: 2471-139X

Anatomy & Physiology

Review Article Volume 2 Issue 4

Techniques of research in anatomy

Zennure SA, Yunus Emre K, Tania M, Guler KY

Department of Anatomy, Istanbul University Cerrahpasa Medical Faculty, Turkey

Correspondence: Zennure Sahin, Department of Anatomy, Istanbul University, Cerrahpasa Medical Faculty, Turkey, Tel 902124143057

Received: March 10, 2016 | Published: May 23, 2016

Citation: Zennure SA, Yunus EK, Tania M, et al. Techniques of research in anatomy. MOJ Anat Physiol. 2016;2(4):110–115. DOI: 10.15406/mojap.2016.02.00053

Download PDF

Introduction

Using accurate technique in anatomy research is as important as thoroughly knowledge about the human anatomy. The human anatomy is one of the main sciences in medical studies. Research in anatomy sheds new lights on the other medical sciences. According to the aim and field of the research, select on the technique is important. Recently, many techniques have been used. In this study we reviewed and compared the most common used techniques to evaluate their use in our exams.

Dissection

In anatomy dissection is a research technique frequently used to observe tissue and the human body and for researches. Before the dissection, the cadavers are embalmed to disinfect and temporary protect against molder. The embalming technique in today is first of all injection correct amount of the embalming solution in an artery in the inguinal region or the neck. The solution is injected in correct rate by a pump and spread to the entire tissue and cells. The pumping is carried out until the surface colour changes develop; these changes indicate the spread of the solution exactly. The arterial solution concentration and the injected total volume changes according to some parameters’ such as body weight, degree of the decay and degree of the dehydration.1 The cheaper embalming techniques than the others in today is that the formalin pumping to carotis communis artery 10% in winter and 12-15% in summer. The solution must have an average of 7-10kg. It is carried out until practically the sparkling blood comes from the mouth and nose of the cadaver. Also there is the more expensive technique. This technique has ½ lt 96% alcohol in the 7.5kg water and 2 lt. formalin mix or the other solution is the 1lt. 96% alcohol and 2lt. phenol mix in the 7 kg Pure glycerin. Glycerin provides softness and alcohol provides to liquefy the lipids. The tanks in which the cadavers are steadily in there have 10-15% solutions of the 3% crystallized phenol.2 Different solutions have been used for embalming technique for years. Each technique has advantages and disadvantages therefore we choose a technique which is most correct.3 On the other hand, the pieces are conserved in the jars with formalin.2 The bones are waited in the 96% alcohol for a month and provided to liquefy the lipids. Then they are put in ½ terebentin solution and then they are painted the varnish.2

The main principles of the dissection are:1

  1. The preparator who Will embalm the cadaver, must have information about the structure will see in that day before start to daily study.
  2. The preparator must use tools accurately and as possible as must be attempted to blunt working.
  3. The preparator must perform dissection carefully as if it is performed on a living creature.
  4. The preparator must not remove the structures from themselves locations unless necessary and while the person goes to the deep levels she/he must give up the superficial structures at the same locations as possible as.

What is the blunt working?

It can be possible that the issues can be cut by a sharp instrument to emerge structure into the issues but especially inexperienced people can cut the important structures. The blunt working means that it is an practice technique with the blunt instruments.1 In the blunt working, we can utilize all of the blunt instruments such as our fingers, closed pen set and tip of the scissors. This working provides to follow the vessels and nerves either they are uncut or the branches of these vessels can be find out. When we use the sharp instruments we can cut and so lose the thin branches however if we use the blunt instruments these thin branches stick the our blunt instrument and we are taken attention. So we protect to cut these branches.1

The main instruments of dissection are: scalpel, nippers, scissors, dissecting forceps and channeled sound (Figure 1). The second instruments are tissue forceps, retractor, mayo hager, mosquito forceps, handsaw, mallet, hooks etc., (#fig2Figure 2).2

Figure 1 a. Scalpel, b. Dissecting scissors, c. Channelled sound.

Figure 2 d. Dissecting forceps, e. Tissue forceps, f. Retractor, g. Mayo hager, h. Mosquito forceps.

Vascular corrosion casting

A beautiful study of the normal function and the pathological condition of an issue is based upon the precise understanding of the microvascular architecture of that issue.4,5 Light microscopy cannot provide the three-dimensional organization with adequate resolution. Therefore, the currently used method in the routine examination of the vascular system is scanning electron microscopy (SEM) of corrosion casts.6,7 It is a standard method, which allows three-dimensional visualization with good resolution of the micro vessels.7‒9

History of vascular corrosion casting and SEM methods

The method of corrosion casting has been known since the 16th century. On these days Leonardo da Vinci made the first casts by injecting dissolved wax into bovine cerebral ventricles and heart chambers.10 The modern corrosion casting methods are based on the idea of Jan Schwammerdam in the late 17th century dissolved the surrounding tissues after wax injection into the arteries, veins and ducts. Ruysch and Bidloo used a low melting point metal alloy to make casts of the bronchial tree before the 19th century.10 In 1950s, an important advance in the corrosion casting technique was made when new generated resin products (acrylic resins, polyester resins and silicone) were used as casting media.10 Von Ardenne M (1938) and Zworykin VK (1942) developed the main principles of scanning electron microscope. A great image can be have by the SEM has a magnification feature and it gives a grand deepness to the image.9,11 Takuro Murakami introduced the semi-polymerized methyl methacrylate resin for the SEM study of corrosion casts in 1971. It was a great advance for corrosion casting.15‒17

Steps in the microvascular corrosion casting/SEM method

The microvascular corrosion casting/SEM method can be used on excised human materials or experimental animals. This method has six steps.

  1. Precasting treatment: Before injecting the casting media into the blood vessels, the complete removal of the blood is necessary in order to fill the complete vascular bed and to acquire endothelial cell imprints on the surface of the cast. So, the target organs are perfused with saline or Ringer solution.
  2. Injection of casting medium: Right away after the precasting treatment, the injection medium is prepared by adding to the main reagent (resin) a catalyst/accelerator to begin polymerization. The casting media can be injected into the blood vessels using a syringe or a syringe connected to a perfusion device with a flow meter. It is important to adjust correctly the injection pressure in order to fill the vascular bed.
  3. Polymerization of casting medium: The injected specimens must be put in a hot water bath (600C) for 12–24hours to hasten or to complete the polymerization of the perfused casting medium. This immersion decreasesthe corrosion time and keeps the injected specimens in their normal form.
  4. Corrosive treatment: The encircling tissues must be removed to observe the vascular cast with the SEM. Therefore, the injected specimen is immersed into a highly concentrated (15–20%) sodium hydroxide or potassium hydroxide solution (at 600C, overnight or longer).
  5. Cleaning of corrosion casts: Washing the cast in running water is important to take away the white saponified materials resulted from the maceration of tissues.
  6. Dissection of corrosion casts: Dissection can be performed before the corrosion or during the corrosion or after the corrosion step. Gross dissection and microdissection must be performed to expose the structures of interest.
  7. Drying the casts: Air-drying or freeze-drying can be used. Usually, the vascular casts are dried in air is generally in room temperature.
  8. Conductive treatment of casts: Because the SEM uses electrons to produce an image, the cast specimen must be electron conductive. So, the sample is coated with a heavy metal (gold), and then observed in SEM with a hastening voltage of 5–10 kV.
  9. SEM observation of casts: Important and detailed information about the organization of blood vascular beds of various organs and tissues of humans or experimental animals can be obtained by SEM observation of corrosion casts. This method allows three-dimensional visualization with good resolution of the normal and abnormal microvessels, including the capillaries of various organs and tissues.10,18,19
  10. The improved casting methods and the new casting media used together with advanced imaging technologies enable to obtain essential qualitative and quantitative information regarding complex vascular networks both in healthy and diseased organs which are of great help not only to anatomists but, also, to pathologists and clinicians.7,10,14

Using of the endoscope and microscope

History, development and using of the microscope

It is admitted that two Dutch people was father and his son discovered the microscope. But, in 1590, Zacharias and Hans Jansen put two lenses into a tube and they discovered first real microscopy. After quarter of a century, Italian scientist Geovanni Faber used term of the microscope for he first time. Then, Dutch Anton von Leuwenhoek used the lenses were the best lenses in that century and he achieved to magnification the objects 270 times.20 Anton von Leuwenhoek produced more than 500 microscope throughout his life. In the 18th century, Robert Hooke and beginning of the 19th century Jackson Lister significantly contributed to development of the microscope.20 Eventually, in 1848, Dutch technician Karl Zeiss, physicist Ernst Abbe together began to produce the high qulity microscopes. Also, in 1893, Zeiss firm produced the binocular telescope for the first time.20 When be understood that the microscope can use to exam the anatomic structures for the first time in 1921, ear, nose and throat specialist Carl Nylen in Stokholm University used the surgical microscope for an otitis media operation. After that the microscope was used in the neuro surgeon and opthalmology operations. The microscopes that are used in today have a lot of advantages.20‒23 The main advantages are these:

  1. Homogeneously lighted to field of the anatomic structure will exam,
  2. Stereoscopic image,
  3. As will as can be magnified the anatomic structures and pathologies,
  4. Can be wathced colourly else three-dimensional on TV the images obtained by the microscope.20,23,24

Neural and vascular structures especially perforant branches can be seen much better by the features of the these advantages. And also, we can reach the deep structures with the lesser brain retraction and injury. We can remove the some structures from the brain and spinal cord credibly. In addition, we can make vessel anastomoses which might be impossible with a different technique.25,26 The disadvantages of using the microscope are that they are expensive and need an education.24

History, development and using of the endoscope

The endoscope was used in the neuro surgeon in 1910 to allow reaching easier the anatomic structures. After 1970s flexible endoscopies were developed and they were used more common. Especially development of the flexible endoscopes allowed seeing posterior surface of the anatomic and pathologic structures.26 The endoscope has larger outlook than the microscope but the endoscope don’t allow performing the technique of microsurgery. It only allows to cutting, drilling, conduct a biopsy and etc. Some of the advantages of these endoscopes are a highimage quality, ease to use, can be sterilize easy and can easily adapt to stereotaxic systems. The most important disadvantage is limiting of action in the field of the surgery. Also the main disadvantage of the pliable endoscopes is the image quality which is lower than the rigid endoscopes.25,26 The endoscope and microscope are used for researches in anatomy. Also in a lot of surgical departments are widely used these techniques for better understanding the anatomic structures and easier operations.

Radiologıcal anatomy

Anatomical information is indispensable to the training of specialists in diagnostic medical imaging. Radiological anatomy is part of the content of human anatomy. Medical students, physicians in general, and specialists must understand anatomical images to be able to identify pathologic conditions, control the results of their treatments, and monitor the progress of their patients. Radiologists need to comprehend anatomy and anatomists need to comprehend anatomical imaging.27,28

Imaging anatomy methods of diagnostic imaging

Conventional radiology, based on conventional radiology X-rays.28

  1. Ultrasound
  2. Computed tomography (CT)
  3. Magnetic resonance (MR)

Ultrasound

This method is widely used and is based on sound waves, which means that it has no side effects. It is different from other imaging techniques because it allows to dynamic and real time visualization of anatomical structures (Figure 3).28,29

Figure 3 Abdominal US (The lien is seeing).

Computed tomography

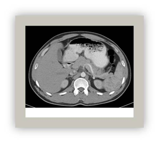
This is an imaging technique that provides complete anatomical information of a region of the human body since it images the entire region. It offers images in axial plane which can be reformatted into other planes an even turned into three-dimensional images thanks to volumetric data acquisition (Figure 4).28,30

Figure 4 Contrasty abdominal CT horizontal section.

Magnetic resonance

This method based on applying radio waves to a magnetic field. It provides an important image of the central nervous system and musculoskeletal soft tissues (Figure 5 & Figure 6).28‒31

Figure 5 The shoulder MR T1 TSE coronal section.

Figure 6 The right knee MR T1 TSE sagittal section.

Image analysis: display and post-processing

Image analysis means to be shared easily and extensively, because the format is common to all medical computer systems.31,32

Multiplanar reconstruction (MPR)

These are 2D images reconstructed secondarily from volumetric data had during the study. New images can be achieved on any plane (axial, coronal, sagittal or any obliquity) (Figure 7).28

Figure 7 Coronal MPR multiplanar reconstruction.

Maximum intensity projection (MIP)

This method is a volume-processing technique. Volume thickness can be chosen and turned in any direction.28

Shaded surface rendering (3D SSR)

This technique is a surface representation. This image is added with colors they are similar to the real structures. This image allows good visualization and compression from any perspective of primarily vascular and bone structures.28

Volume rendering (VR)

This technique uses all the volume data represents multiple structures and their relationships. Volume Rendering provides a three-dimensional view of the structures posterior to the section, facilitating the understanding of the section (Figure 8).28

Figure 8 Thorax CT 3d volume rendering.

Virtual endoscopy

This technique affords fascinating insights into vascular, bronchial, laryngeal and gastrointestinal anatomy, among others (Figure 9).28 It is obvious that all methods of diagnostic imaging and images they provide must become an absolutely necessary part of the teaching anatomy.

Figure 9 Virtual bronchoscopy (Courtesy of Prof. Dr. F. KANTARCI from Istanbul

Plastination

Plastination was invented by Dr Gunther Von Hagens. He is a German anatomist.33 Plastination is an anatomical technique. This is an excellent method for preservation of tissue for a very long period of time. Plastination have more and more important role in the long-term preservation for anatomical teaching. Generally silicon is the gold standard in the preparation of plastinates but epoxy resins and polyester-copolymer can use in this method. Plastination involves fixation, dehydration, impregnation and hardening (curing).33,34

History of the plastination method

This method was discovered by Gunther Von Hagens when he worked at the University of Heidelberg Institute of Pathology and Anatomy, plastination method developed in 1978. Until today various substances was used for example: silicone, epoxyresin, and polyester-copolymer.33,35 This method have four stages: fixation, dehydration, forced impregnation, hardenin (curing).34 Firstly the specimen to be plastinated is fixed by a fixative2,3 and then dissected. Specimens pass through standard formalin fixation process. Fixation provides firmness and good shape to specimens, reduces shrinkage and putrefaction.4 Fixatives often used are 5-20% formalin solution. Several arteries are use in this stage. This process takes approximately 3-4days.33,34 And than the second stage is dehydration. At this stage we use acetone. Specimens kept for dehydration in pure acetone bath three times in -25°C freezer plastination. Tissue/acetone rate should be 1.10. The density of the acetone in the acetone bath should be measured everyday. When acetone density does not change for 3 successive days, we finish this stage. The water content of the final bath should be below 1%. Fat in the tissue during the dehydration is replaced by acetone. This phase lasts 4 weeks. The third stage is impregnation. This is the most important step of plastination. Silicon with acetone in this phase displaces and vacuum pumps are used at this phase. This phase lasts 2-4weeks.33,34 The temperature of this phase should be –25 degrees. Ksilol can use this phase. This phase with ksilol lasts fastly and silicon penetrates to tissue more quickly.33,34 The last phase of the plastination is curing. More polymers in this phase is removed out of the tissue. This phase early lasts 4-6 weeks. The last step in this phase is a drying gas.33,34

Advantages of the plastination method

The original tissue characteristics are maintained for a long time. We can use plastinates without the need for protective equipment such as masks. Plastinates do not smell formaldehyde. It is a realeducational material. It looks great and very thin sections can be protected by plastination. The risk of infection is minimal.33,34,36,37

Anthropometric measurements

It has been used for identification, for the purposes of understanding human physical variation, and in various attempts to correlate physical with racial and psychological traits. Anthropometry involves the systematic measurement of the physical properties of the human body, primarily dimensional descriptors of body size and shape. Changes in lifestyles, nutrition, and ethnic composition of populations lead to changes in the distribution of body dimensions, and require regular updating of anthropometric data collections.38 Measurement of body weight: Babies are weighed on scales baby. Babies should be weighed naked. You have to remove the child from the mother of clothes and shoes. Measurements must be precise.38,39

Height measuring

We use infant meter for height measurement up to 2years. Shoes and socks should be removed. Stadiometer is used to measure the height above the age of 2. Frankfort plane is important above 2years of age. This plane called also eye-ear plane, Frankfort horizontal, Frankfort plan. This is a cephalometric plane joining the anthropometric landmarks of external auditory meatus and orbit.38‒40

Waist measuring

The person must be on a flat surface. The tape measure should be in the bending property. A tape measure at least 150cm should be used. During the measurement thick clothing should be removed. Firstly, the tape measure should be placed to the top spot of the right pelvis. The measuring is done parallel to the ground as the tape measure passes through the navel.38,40

Hip circumference measurement

This measurement is done during standing relaxed with arms at the sides and wearing at most light clothing. The level of the measurement should be in a horizontal plane at the level of the greater trochanter of the femur.40

Mid-upper arm circumference

We determine midpoint between acromion and olecranon and do the measurement of the circumference of the arm.39,40

Calf circumference

The highest point of the calf is determined and the circumference of the calf is measured parallel to the ground.40

Fathom length measurement

This measurement should be done in open arms and with contact of the back against the wall. The most remote spots of the extending fingers arm marked. The distance between these points is measured.40

  1. Body mass index

Formula; body weight (kilogram)/height*height (meter)

Obesity by BMI classification41

Low weight <18.5

Healthy weight 18.5-24.9

Overweight 25 . 0-29 . 9

Obese, class II 30.0-34.9

Obese, class II 35.0-39

Obese class III> 40

Body skin fold thickness measurement: The thickness of skin folds can also be used to estimate the body fat stores. Classical measurements are proposed in four areas: biceps, triceps, subscapularis, suprailiac. Triceps is only used in the elderly people.42,43

Acknowledgements

None.

Conflict of interest

Author declares that there is no conflict of interest.

References

  1. Fazıl N. Anatomi Disseksiyon. Doyuran publisher, İstanbul, Turkey; 1993. p. 1‒485.
  2. Olivier YH, Xavier PN, Stéphane P, et al. New approach to vascular injection in fresh cadaver dissection. J Reconstr Microsurg. 2004;20(4):311‒315.
  3. Esin Ü, Mehmet KÇ. Formaldehit kullanım alanları, risk grubu, zararlı etkileri ve koruyucu önlemler. YYU Veter Fak D. 2010;21(1):71‒75.
  4. Charlotte D, Patrick S, Pieter C, et al. Analyzing the human liver vascular architecture by combining vascular corrosion casting and micro-CT scanning: a feasibility study. J Anat. 2014;224(4):509‒517.
  5. Gaetano S. Microvasculature of the Cerebral Cortex: A Vascular Corrosion Cast and Immunocytochemical Study. Microsc Res Tech. 2014;77(4):257‒263.
  6. Cantenholz A. Examination of injected specimens by confocal laser scanning microscopy and scanning electron microscopy. Scanning Microsc. 1995;9(4):1245‒1253.
  7. Harmon CB, Gunther VH, Frank MT. An improved method for the presentation of teaching specimens. Arch Pathol Lab Med. 1901;105(12):674‒676.
  8. Eric PM, Gertrude MB, Axel L, et al. Polyurethane Elastomer: A New Material for the Visualization of Cadaveric Blood Vessels. Clin Anat. 2007;20(4):448‒454.
  9. Maximilian A, Moritz AK. Vascular casting for the study of vascular morphogenesis. Methods Mol Biol. 2015;1214:49‒66.
  10. Shea H, Oleksandr D, Richard AD. Vessel painting technique for visualizing the cerebral vascular architecture of the mouse. Methods Mol Biol. 2014;1135:127‒138.
  11. Joseph ON, Chiburdu EO, Charles UO. A Follow-Up Comparative Study of WOM odes of Learning Human Anatomy: By Dissection and From Prosections. Clin Anat. 1996;9(4):258‒262.
  12. Thomas K, Alexandra S, Eric PM, et al. Magnetic resonance angiography and vascular corrosion casting as tools in biomedical research: application to transgenic mice modeling Alzheimer’s disease. Neurol Res. 2004;26(5):507‒516.
  13. Da Tren C, Daeho H, Partha S, et al. In vitro and in vivo corrosion, cytocompatibility and mechanical properties of biodegradable Mg–Y–Ca–Zr alloys as implant materials. Acta Biomaterialia. 2013;9(10):8518‒8533.
  14. Fred EH, John ED. Vascular Corrosion Casting: Review of Advantages and Limitations in the Appli cation of Some Simple Quantitative Methods. Microsc Microanal. 2001;7(3):253‒264.
  15. Gıuvaraşteanu I. Scanning electron microscopy of vascular corrosion casts-standard method for studying microvessels. Rom J Morphol Embryol. 2007;48(3):257‒261.
  16. Sangiorgi S, De Benedictis A, Protasoni M, et al. Early-stage microvascular alterations of a new model of controlled cortical traumatic brain injury: 3D morphological analysis using scanning electron microscopy and corrosion casting. J Neurosurg. 2013;118(4):763‒774.
  17. Susumu T, Masamichi U, Takae Y. Experimental and Clinical Reconstructive Microsurgery: The History of Microsurgery. 1st ed. Japan: Springer; 2003:3‒24.
  18. Verli FD, Rossi-Schneider TR, Schneider FL, et al. Vascular corrosion casting technique steps. Scanning. 2007;29(3):128‒132.
  19. Verli FD, Rossi-Schneider TR, Schneider FL, et al. Vascular corrosion casting technique steps. Scanning. 2007;29(3):128‒132.
  20. Kutluay U, Gregor CK, Mustafa KB. Operating microscopes: past, present, and future. Neurosurg Focus. 2009;27(3):E4.
  21. Ender K, Mehmet Z. Temel Nöroşirurji. 3rd ed. İstanbul, Turkey: Habitat publisher; 2010. p. 1‒2136.
  22. Min CH, Chang WK. Cortes Anatomicos Correlacionados con RM y TC. Doyma SA, Barcelona, Spain; 1990.
  23. Gazi MY, Yasuhiro Y, Ira D, et al. Experimental intracranial transplantation of autogenic omentum majus. J Neurosurg. 1974;40(2):213‒217.
  24. Okan B, Servet Ç, Elif B. Plastination of old fixed locomotor system specimens and usage in education. Ege J Medi. 2014;53:84‒87.
  25. Ilyess Z, Eric F, Wissam EH, et al. How Klingler’s dissection permits exploration of brain structural connectivity? An electron microscopy study of human white matter. Brain Struct Funct. 2015;1:1‒10.
  26. Tunçalp Ö, Servet İ. Cerrahi Yaklaşımlar ve Ameliyat Sırasında Değerlendirme: Mikronöroşirürji. 3rd ed. İstanbul, Turkey, Habitat publisher; 2010. p. 485‒491.
  27. Ryan JN, Yafei O, Renee K, et al. Preservation of Capillary-beds in Rat Lung Tissue Using Optimized Chemical Decellularization. J Mater Chem B Mater Biol Med. 2013;1(34):4801‒4808.
  28. Tomas S, Diasol V, Montserrat J, et al. Teaching radiological anatomy. Eur J Anat. 2011;15:73‒84.
  29. Meyers MA. Dynamic Radiology of the abdomen: normal and pathologic anatomy. New York: Springer Verlag; 2000.
  30. Tomas S, Diasol V, Montserrat J, et al. Teaching radiological anatomy. Eur J Anat. 2011;15:73-84.
  31. Amr A, Arthur FD. Atlas de Anatomia de Grant [incluye CD-ROM]. 1st ed. Madrid, Spain: Medica Panamericana; 2007.
  32. Antón SC, Snodgrass JJ, Duren D. Integrative measurement protocol for morphological and behavioral research in human and nonhuman primates. 2009.
  33. Hardy J, Provost J. Microneurochirurgie. Union Med Can. 1969;98:187‒196.
  34. Harmon CB. Plastination: A new Technique for Anatomic Pathology and Forensic Science. Pathol Update Series. 1984;2:2‒8.
  35. Muzaffer HB, Gerbnard JG, Hans K, et al. Bugün plastinasyon 1: Yöntemin geçmişi ve uygulanabilirliği. The Turkish Journal of Pathology. 1990;6(2):73‒77.
  36. Gunther VH. Emulsifyign Resins for Plastination. Der Praparator. 1979;25:43‒50.
  37. Otto HW. Whole Body Computed Tomography. 2nd ed. Boston: Blackwell Scientific Publications; 1993.
  38. Bayram AS. Ergonomi. Ankara: Atılım University publisher; 2001. p. 1‒246.
  39. Cemil T. İnsan Araç Bağıntısında Ergonomik Tasarım İlkeleri. İstanbul, İstanbul State Academy of Fine Arts; pp. 1-263.
  40. S. Normal Anatomi Disseksiyon Kılavuzu. İstanbul, Turkey: Ufuk publisher; 1983. p. 5‒265.
  41. Durnin J, Womersley J. Body fat assessed from total body density and its estimation from skin fold thicknessmeasurement in 481 men and women aged 16 to 72years. Br J Nutr. 1974;32(1):77‒97.
  42. Lawrence JP, Robert PC. The dissecting microscope for intracranial vascular surgery. J Neurosurg. 1966;25(3):315‒318.
  43. John VGAD, Jacqueline SW. Body fat assessed from total body density and its estimation from skinfold thickness: measurements on 481 men and women aged from 16 to 72years. Br J Nutr. 1974;32(1):77‒97.
Creative Commons Attribution License

©2016 Zennure, et al. This is an open access article distributed under the terms of the, which permits unrestricted use, distribution, and build upon your work non-commercially.