Submit manuscript...
MOJ
eISSN: 2471-139X

Anatomy & Physiology

Research Article Volume 5 Issue 2

The estimation of lumbar intervertebral disc volumes before and after exercise using the Cavalieri method

Mete Ozdikici

Department of Radiology, Bakirkoy Training and Research Hospital, Turkey

Correspondence: Mete Ozdikici, Department of Radiology, Bakirkoy Training and Research Hospital, Istanbul, Turkey, Tel +90 506 530 94 67

Received: February 17, 2018 | Published: March 23, 2018

Citation: Özdikici M. The estimation of lumbar intervertebral disc volumes before and after exercise using the Cavalieri method. MOJ Anat & Physiol. 2018;5(2):106-108. DOI: 10.15406/mojap.2018.05.00172

Download PDF

Abstract

Purpose: Our aim in this study is to determine the volume differences of the lumbar intervertebral discs by using the Cavalieri method.

Subjects and methods: In our study, lumbar magnetic resonance imaging (MRI) was performed on 20 male (mean age, 22 years; age range, 19–25 years) athletes without any known disease on the lumbar vertebra and discs immediately after resting and after a 50-minute loading exercise.
The lumbar intervertebral disc volumes were measured by Cavalieri method and compared after resting and after exercise. Statistical analyses of the results were carried out to evaluate changes in the disc volume.

Results: The mean volume of the three lower lumbar intervertebral discs (L2-L3, L3-L4, L4-L5) was 17 centimetres cube after resting and 15 centimetres cube after exercise. Total volume decreased from 51 centimetres cube to 45 centimetres cube. After a 50-minute loading exercise, a 12% reduction was detected (p<0.05).

Conclusion: The reduction in the lumbar intervertebral disc volumes after exercise may be useful in providing predictive short-term information through the Cavalieri method.

Keywords: intervertebral disc, disc volume, exercise, cavalieri method, magnetic resonance imaging

Introduction

Intervertebral discs reduce the harmful effect of the load on the vertebral bodies. The amount of water in the nucleus pulposus plays an important role when intervertebral discs fulfil these functions.1,2

In this study, we aimed to determine the rate of reduction of volume caused by water loss during exercise by Cavalieri method on sectional images obtained by MRI.

Subjects and methods

The study was approved by the Ethics Committee, and written informed consent was obtained from all volunteers before the MR examination. All image evaluations were performed by a radiologist. Each measurement was performed by a single observer.

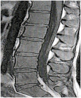
The standard MR protocol of the spine included sagittal T1-weighted and T2-weighted fast spin echo. Volume measurements are made by using a transparent template to overlay a grid of regularly spaced points over MRI scans of randomly selected patients (Figure 1). This point is counted as the full contact of the counter. Counts are made three times. The double or middle number is used. The volume of an object appearing on a scan (V) is the product of the sum of points that fell on the object, the area associated with each point (ap), and the distance between scan slices (t) in cubic centimetres.

The lumbar intervertebral disc (L2-L3, L3-L4, and L4-L5) volumes measured after resting and after 50-minute loading exercises were compared. The data were analyzed using SPSS, version 15.0 package program. All statistical tests were set at the 95 % confidence level (p<0.05).

Figure 1 Estimation of the volumes of lumbar intervertebral discs (a) using the Cavalieri method. A transparent square test grid system (2 mm) was superimposed on lumbar discs (b).

Results

The mean and total volumes (cm3±S.D.) of three lumbar intervertebral discs are shown in Table 1. The mean CE of the volume estimates was 5%.

The mean volume of the three lumbar intervertebral discs was 17 centimetres cube after resting and 15 centimetres cube after exercise. Total volume decreased from 51 centimetres cube to 45 centimetres cube. After a 50-minute loading exercise, a 12% reduction was detected (p<0.05)

Lumbar intervertebral discs (L2-L3, L3-L4, L4-L5)

Mean volume

Total volume

After resting

17±3

51

After the loading exercise

15±3

45

Table 1 The mean and total volumes (cm3±S.D.) of three lumbar intervertebral discs

Discussion

The nucleus pulposus, which forms a large part of the intervertebral disc, has water-holding properties due to its mucopolysaccharides and proteoglycans.3 Johnstone et al.4 have shown that the accumulation of water in the intervertebral discs, due to the decrease in hydrostatic pressure after death, leads to an increase in the volume of the discs.

The volumes of intervertebral discs correlate positively with body height and age. Negative correlation occurs in disk degeneration.5 Due to the annulus fibrosus tearing on the disc herniation, the water-holding function of the nucleus pulposus is impaired and consequently, the disc volume may change.6

There is a limited number of publications in the literature about whether disc herniation affects spinal ganglia volume at the relevant level and side.7 In another study, there was no significant relationship between the presence of disc herniation and spinal ganglion size.8

In seven healthy asymptomatic men, Neubert et al.9 performed lumbar spine examinations using sagittal T2-weighted fast spin echo images with a 1.5 Tesla MRI scanner before and after exercise. Similar studies to evaluate diurnal variation were also made using T1 relaxation time.10

Body height increases during rest, depending on the water content in the intervertebral discs. The T2 values of the nucleus pulposus decrease significantly from morning to evening.3 Chokan et al.11 observed a significant decrease in T2 values of nucleus pulposus after exercise. There was a significant increase in T2 values after resting. The same findings were also observed in grade 1 and 2 degenerations of nucleus pulposus.3,11‒13\

In a retrospective study of 93 patients, a decrease in the volume of degenerated intervertebral discs was detected. In this study, T1-T2 weighted sagittal MR images were examined for volume determination using the Cavalieri method.6 Using the Cavalieri principle, volume detection can be done with MR images as well as CT images.5,14,15

In the absence of a CT computer system, the Cavalieri principle was found to be useful in calculating the volume of lumbar intervertebral discs.

In our study, we combined the Cavalieri principle of stereological methods with MRI scanning technique. This technique, which can be quickly applied with a portable transparent template, allows retrospective or prospective studies.16,17

The sum of the points that fell on the object, , was then multiplied by the area associated with each point, ap (cm2), and the distance between slices, t (cm), to arrive at the volumes of related structures and organs, V (cm3). .17

Roberts et al. observed an increase of 1300 cubic millimetres in the lumbar intervertebral disc volumes using Cavalieri's method in MR scans after a normal activity day and at night rest. They concluded that the increase in the T2-relaxation time of the nucleus pulposus may be due to the increase in water content (2). Botsford et al. found that the mean simulated diurnal volume in the lower three lumbar discs decreased by 16.2% in their studies.1 Malko et al.18 observed a 5.4% increase in the volume of L2-L3, L3-L4, and L4-L5 discs after a 3-hour rest (16). Some studies have shown that the total water content in normal lumbar discs decreases by 5-10% at the end of the day.18,19

In our study, we measured volumes of intervertebral discs using Cavalieri method with MRI after resting and after 50 minutes loading exercise. We found a volume reduction of 12% in accordance with the literature.

Conclusion

It may be useful to detect the reduction in the volume of the lumbar intervertebral discs during exercise with the Cavalieri method within a short time.

Acknowledgements

None.

Conflict of interest

The author declares no conflict of interest.

References

  1. Botsford DJ, Esses SI, Ogilvie-Harris DJ. In vivo diurnal variation in intervertebral disc volume and morphology. Spine. 1994;19(8):935‒940.
  2. Roberts N, Hogg D, Whitehouse GH, et al. Quantitative analysis of diurnal variation in volume and water content of lumbar intervertebral discs. Clin Anat. 1998;11(1):1‒8.
  3. Zhu T, Ai T, Zhang W, et al. Segmental quantitative MR imaging analysis of diurnal variation of water content in the lumbar intervertebral discs. Korean J Radiol. 2015;16(1):139‒145.
  4. Johnstone B, Urban JP, Roberts S, et al. The fluid content of the human intervertebral disc. Comparison between fluid content and swelling pressure profiles of discs removed at surgery and those taken postmortem. Spine. 1992;17(4):412–416.
  5. Pfirrmann CW, Metzdorf A, Elfering A, et al. Effect of aging and degeneration on disc volume and shape: A quantitative study in asymptomatic volunteers. J Orthop Res. 2006;24(5):1086–1094.
  6. Kaner T, Songur A, Toktaş M, et al. Comparison of disc and body volumes in degenerated and nondegenerated lumbar discs: a stereological study. Turk J Med Sci. 2014;44(2):237‒242.
  7. Hasegawa T, Mikawa Y, Watanabe R, et al. Morphometric analysis of the lumbosacral nerve roots and dorsal root ganglia by magnetic resonance imaging. Spine. 1996;21(9):1005‒1009.
  8. Özdikici M, Öztürk C, Sayılan H, et al. Spinal ganglion sizes in lumbar disc hernias. 35th National Radiology Congress; Nov 11-16, Antalya,Turkey; 2014,
  9. Neubert A, Fripp J, Engstrom C, et al. Validity and reliability of computerized measurement of lumbar intervertebral disc height and volume from magnetic resonance images. Spine J. 2014;14(11):2773‒2781.
  10. Galley J, Maestretti G, Koch G, et al. Real T1 relaxation time measurement and diurnal variation analysis of intervertebral discs in a healthy population of 50 volunteers. Eur J Radiol. 2017;87:13‒19.
  11. Chokan K, Murakami H, Endo H, et al. Evaluation of water retention in lumbar intervertebral disks before and after exercise stress with T2 mapping. Spine (Phila Pa 1976). 2016;41(7):430‒436.
  12. Marinelli NL, Haughton VM, Anderson PA. T2 relaxation times correlated with stage of lumbar intervertebral disk degeneration and patient age. AJNR Am J Neuroradiol. 2010;31(7):1278‒1282.
  13. Karakida O, Ueda H, Ueda M, et al. Diurnal T2 value changes in the lumbar intervertebral discs. Clin Radiol. 2003;58(5):389‒392.
  14. Bilgic S, Sahin B, Sonmez OF, et al. A new approach for the estimation of intervertebral disc volume using the Cavalieri principle and computed tomography images. Clin Neurol Neurosurg. 2005;107(4):282‒288.
  15. Sezgin OS, Kayıpmaz S, Sahin B. The effect of slice thickness on the assessment of bone defect volumes by the Cavalieri principle using cone beam computed tomography. J Digit Imaging. 2013;26(1):115–118.
  16. Emirzeoglu M, Sahin B, Bilgic S, et al. Volumetric evaluation of the paranasal sinuses in normal subjects using computer tomography images: A stereological study. Auris Nasus Larynx. 2007;34(2):191–195.
  17. Clatterbuck RE, Sipos EP. The efficient calculation of neurosurgically relevant volumes from computed tomographic scans using Cavalieri's direct estimator. Neurosurgery. 1997;40(2):339‒343.
  18. Malko JA, Hutton WC, Fajman WA. An in vivo magnetic resonance imaging study of changes in the volume (and fluid content) of the lumbar intervertebral discs during a simulated diurnal load cycle. Spine. 1999;24(10):1015‒1022.
  19. Adams MA, Dolan P, Hutton WC, et al. Diurnal changes in spinal mechanics and their clinical significance. J Bone Joint Surg Br. 1990;72(2):266‒270.
Creative Commons Attribution License

©2018 Özdikici. This is an open access article distributed under the terms of the, which permits unrestricted use, distribution, and build upon your work non-commercially.