Submit manuscript...
MOJ
eISSN: 2471-139X

Anatomy & Physiology

Mini Review Volume 1 Issue 1

The left atrial appendage in health and disease

Philippa J Howlett, Nikunj R Shah, Michael Mahmoudi

Faculty of Health and Medical Sciences, University of Surrey, United Kingdom

Correspondence: Philippa Howlett, Faculty of Health and Medical Sciences, University of Surrey, United Kingdom, Tel 0044 7971 168838

Received: July 14, 2015 | Published: July 23, 2015

Citation: Howlett PJ, Shah NR, Mahmoudi M. The left atrial appendage in health and disease. MOJ Anat Physiol. 2015;1(1):16–18. DOI: 10.15406/mojap.2015.01.00004

Download PDF

Abstract

Atrial fibrillation (AF) is the commonest sustained cardiac arrhythmiaand results in significant morbidity and mortality. The left atrial appendage (LAA), a small embryonic remnant of the left atrium (LA), has been shown to play a key role in the pathophysiology of AF-related stroke and thromboembolism. As a consequence the LAA, in spite of its meagre size, has been described as ‘our most lethal human attachment’. Despite being a recognised harbinger of disease, the LAA has also been shown to play an important role in health. This review seeks to address our current understanding of this vital structure in both health and disease states.

Keywords: left atrial appendage, thrombus, atrial fibrillation, stroke, thromboembolism

Abbreviations

AF, atrial fibrillation; LAA, left atrial appendage; LA, left atrium; ANP, atrial natriuretic peptide; TOE, trans oesophageal echocardiography

Introduction

Atrial fibrillation (AF) affects 2% of the general population rising with age to affect over 10% of octogenarians.1 Importantly AF has been predicted to increase in prevalence by three-fold by 2050.2 This arrhythmia is by no means benign since it confers a five-fold risk of stroke and thromboembolism and independently results in a two-fold risk of excess mortality.3 Although formerly a somewhat neglected structure, the left atrial appendage (LAA) has been found to be a key player in stroke secondary to AF. Accordingly the LAA has in recent times been proposed as a potential therapeutic target.

LAA anatomy

The LAA is a remnant of the embryonic left atrium (LA), which is formed during the third week of gestation. The LA itself develops later from the pulmonary veins.4 The LAA, an outpunching of the LA, is a long, tubular structure lying in the left atrioventricular groove between the left upper pulmonary vein and the left ventricle. It comprises a single layer of endothelium and is trabeculated with underlying pectinate muscles lining the cavity. The LAA varies considerably in size from 16-51mm in length, 10-40mm in diameter and 0.77-19.27cm3 in volume.5,6 The LAA also appears to differ in morphology with distinct variants including the ‘chicken wing’, ‘cactus’, ‘windsock’ and ‘cauliflower’ being described in 48%, 30%, 19% and 3% of cases respectively.7

LAA Physiology

It has become increasingly apparent that the LAA has not only specific anatomical, but also, physiological properties. Like the LA, the LAA is a dynamic structure and plays a number of mechanical roles throughout the cardiac cycle. It serves as a reservoir during left ventricular systole, a conduit during early diastole, provides an active pump function in late diastole and its elasticity enforces backward flow to refill in early systole.8 The LAA also been shown to maintain intravascular volume status through activation of stretch receptors located within its body. These afferent signals play a role in fluid haemostasis and control of heart rate in response to changes in LA pressure. In support of this, one study demonstrated that 30% of all cardiac atrial natriuretic peptide (ANP) was found within the LAA.9 Furthermore in the healthy human heart, ANP concentration in the LAA is present in 40times the concentration of the rest of the LA.10 The significance of the LAA in fluid balance has been reinforced in humans after clamping of the LAA during cardiac surgery yielded increased LA and left ventricular filling pressures.8 Animal studies have also shown that by removing the LAA, reduction of both LA compliance and LA function occurs.11 Notably, a dramatic reduction in cardiac output, of nearly 50%, was witnessed in guinea pigs following ligation of the LAA. This finding was attributed to the contractile function of the LAA.12 Conversely, distension of the LAA in a dog model was found to increase diuresis as well as sodium excretion and heart rate.13

The LAA in disease

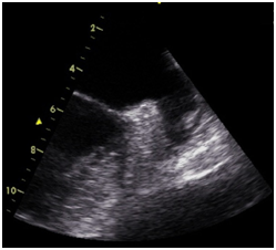
The most notable association between the LAA and disease is in the context of AF. In this setting, reduced contractility and stasis of the LAA occur, resulting in thrombus formation and thereafter the potentially catastrophic consequences of embolisation. In individuals with non-valvular AF, 90% of thrombi have been identified within the LAA; (Figure 1).14 Additionally it has been observed that up to 14% of patients have thrombus identifiable in the LAA within 3days of AF onset.15 It is these observations which have led to the LAA being termed ‘our most lethal human attachment.16 Remodelling of the LAA in subjects with AF has been observed with chamber enlargement and decreased pectinate muscle volume.17 Typical histological appearances include endocardial thickening, fibrosis and myocyte hypertrophy.18 A reduced LAA peak flow velocity studied during transoesophageal echocardiography (TOE) is established to be an independent and powerful predictor of thromboembolic risk.19 Likewise LAA morphology has been proposed as another marker of thromboembolism with the ‘cauliflower’ LAA conferring the highest risk of thrombus. In contrast patients with a ‘chicken-wing’ appearance LAA have lowest risk of embolism.7 Similar to the LA, the LAA has been shown to increase in size in patients with a history of hypertension when compared with controls. This was also associated with a reduction in emptying velocities as demonstrated during TOE.20 Likewise it appears that the LAA also plays a dynamic role in the setting of left ventricular dysfunction. Firstly left ventricular impairment results in a 10-fold increase in LAA ANP concentration.10 Furthermore, another study indicated that after successful heart failure therapy, LAA function improved significantly. It was also noted that, after treatment, LAA size reduced markedly more than LA size, demonstrating relatively increased compliance.21

Figure 1 Thrombus identified with in the left a trial appendage during TOE.

The LAA as a therapeutic target

Since the LAA has been documented to be a major culprit of thromboembolism in AF it has also been proposed as a potential therapeutic target through LAA occlusion or ligation. This treatment option is of considerable interest given the well-documented bleeding risk of anticoagulants and the significant proportion of patients who are intolerant of anticoagulation therapy.22 To date both surgical and transcatheter LAA exclusion have been investigated with encouraging results, although trials have been criticised both for their small sample size and lack of randomisation in the majority. Recently published long-term data from the PROTECT-AF trial, randomising patients to transcatheter LAA ligation or warfarin, suggests in fact that LAA ligation may be superior to warfarin for prevention of stroke, systemic embolisation and all-cause mortality.23

Conclusion

In summary the LAA plays a vital role in the pathogenesis of stroke secondary to AF. Furthermore from the available evidence it is clear that the LAA is not a redundant structure in the absence of disease. Despite outcomes suggesting that surgical and transcatheter LAA exclusion may be an alternative to conventional stroke prevention therapy, interference with the mechanical and neurohumoral functions of the LAA may result in, as yet unaccounted for, clinical sequelae. These potential consequences merit further evaluation in future trials.

Acknowledgements

PJH is the primary author with NRS contributing to the manuscript. MM proof-read the manuscript.

Conflict of interest

Author declares that there is no conflict of interest.

References

  1. Davis RC, Hobbs FD, Kenkre JE, et al. Prevalence of atrial fibrillation in the general population and in high-risk groups: the ECHOES study. Europace. 2012;14(11):1553‒1559.
  2. Miyasaka Y, Barnes ME, Gersh BJ, et al. Secular trends in incidence of strialfibrillarion in Olmsted County, Minnesota, 1980 to 2000, and implications on the projections for future prevalence. Circulation. 2006;114(2):119‒125.
  3. Wolf PA, Dawber TR, Thomas HE J, et al. Epidemiologic assessment of chronic atrial fibrillation and risk of stroke: the Framingham study. Neurology. 1978;28(10):973‒977.
  4. Sherif HM. The developing pulmonary veins and left atrium: implications for ablation strategy for atrial fibrillation. Eur J Cardiothorac Surg. 2013;44(5):792‒799.
  5. Su P, McCarthy KP, Ho SY. Occluding the left atrial appendage: anatomical considerations. Heart. 2008;94(9):1166‒1170.
  6. Ernst G, Stöllberger C, Abzieher F, et al. Morphology of the left atrial appendage. Anat Rec. 1995;242(4):553‒561.
  7. Di Biase L, Santangeli P, Anselmino M, et al. Does the left atrial appendage morphology correlate with the risk of stroke in patients with atrial fibrillation? Results from the Multicenter Study. J Am Coll Cardiol. 2012;60(6):531‒538.
  8. Tabata T, Oki T, Yamada H, et al. Role of left atrial appendage in left atrial reservoir function as evaluated by left atrial appendage clamping during cardiac surgery. Am J Cardiol. 1998;81(3):327‒332.
  9. Chapeau C, Gutkowska J, Schiller PW, et al. Localisation of immunoreactive synthetic atrial natriuretic factor (ANF) in the heart of various animal species. J Histochem Cytochem. 1985;33(6):541‒550.
  10. Rodeheffer RJ, Naruse M, Atkinson JB, et al. Molecular forms of atrial natriuretic factor in normal and failing human myocardium. Circulation. 1993;88(2):364‒371.
  11. Hoit BD, Shao Y, Tsai LM, et al. Altered left a trial compliance after atrial appendectomy. Influence on left atrial and ventricular filling. Circ Res. 1993;72(1):167‒175.
  12. Massoudy P, Beblo S, Raschke P, et al. Influence of intact left atrial appendage on hemodynamic parameters if isolated guinea pig heart. Eur J Med Res. 1998;3(10):470‒474.
  13. Kappagoda CT, Linden RJ, Saunders DA. The effect on heart rate of distending the atrial appendages in dogs. J Physiol. 1972;225(3):705‒719.
  14. Blackshear JL, Odell JA. Appendage obliteration to reduce stroke in cardiac surgical patients with atrial fibrillation. Ann Thorac Surg. 1996;61(2):755‒759.
  15. Stoddard MF, Dawkins PR, Prince CR, et al. Left atrial appendage thrombus is not uncommon in patients with acute atrial fibrillation and a recent embolic event: a transesophageal echocardiography study. J Am Coll Cardiol. 1995;25(2):452‒459.
  16. Johnson WD, Ganjoo AK, Stone CD, et al. The left atrial appendage: our most lethal human attachment! Surgical implications. Eur J Cardiothorac Surg. 2000;17(6):718‒722.
  17. Shirani J, Alaeddini J. Structural remodelling of the left atrial appendage in patients with chronic non-valvular atrial fibrillation: implications for thrombus formation, systemic embolism, and assessment by transesophageal echocardiography. Cardiovasc Pathol. 2000;9(2):95‒101.
  18. Connelly JH, Clubb FJ, Vaughn W, Morphological changes in atrial appendages removed during the maze procedure: a comparison with autopsy controls. Cardiovasc Pathol. 2001;10(1):39‒42.
  19. Zabalgoitia M, Halperin JL, Pearce LA, et al. Transoesophageal echocardiographic correlates of clinical risk of thromboembolism in nonvalvlar atrial fibrillation. J Am Coll Cardiol. 1998;31(7):1622‒1626.
  20. Bilge M, Eryonucu B, Güler N, et al. Transesophageal echocardiography assessment of left atrial appendage function in untreated systemic hypertensive patients in sinus rhythm. J Am Soc Echocardiogr. 2000;13(4):271‒276.
  21. Ito T, Suwa M, Kobashi A, et al. Influence of altered loading conditions on left atrial appendage function in vivo. Am J Cardiol. 1998;81(8):1056‒1059.
  22. Connolly SJ, Ezekowitz MD, Yusuf S, et al. Dabigatran versus warfarin in patients with atrial fibrillation. N ENgl J Med. 2009;361(12):1139‒1151.
  23. Reddy VY, Sievert H, Halperin J, et al. Percutaneous Left Atrial Appendage Closure vs Warfarin for Atrial Fibrillation: a Randomized clinical trial. JAMA. 2014;312(19):1988‒1998.
Creative Commons Attribution License

©2015 Howlett, et al. This is an open access article distributed under the terms of the, which permits unrestricted use, distribution, and build upon your work non-commercially.