Submit manuscript...
MOJ
eISSN: 2573-2951

Bioequivalence & Bioavailability

Research Article Volume 5 Issue 4

Pathogenicity of local identified NDV strain related to genotype VII to 28 day old commercial broiler chickens

Mohamed M Amer,1 Hagar M Ahmed,2 Khaled M Elbayoumi,2 Mohamed A Kutkat2

1Department of Poultry Diseases, Faculty of Veterinary Medicine, Cairo University, Egypt
2Department of Poultry Diseases, Veterinary, Research Division, National Research Center, Egypt

Correspondence: MM Amer, Department of Poultry Diseases, Faculty of Veterinary Medicine, Cairo University, P.O. Code 12211 Giza, Egypt

Received: July 25, 2018 | Published: August 21, 2018

Citation: Amer MM, Ahmed HM, Elbayoumi KM, et al. Pathogenicity of local identified NDV strain related to genotype VII to 28 day old commercial broiler chickens. MOJ Bioequiv Availab. 2018;2(4):247-250. DOI: 10.15406/mojbb.2018.05.00107

Download PDF

Abstract

Twenty five broiler chicks were 28days old, chicken were infected by oculonasal route each with of 106 EID50 of local identified NDV local isolate (NDV/chicken/EG-QU/NRC/2015). Clinical signs begin at the 2nd dpi and at the 3rd dpi: marked depression with sleepy appearance, severe respiratory signs and marked decrease in feed intake, greenish lose dropping, beasty vent with greenish diarrhea, sudden high mortalities with death of 7birds in rate of 46.7%. At the 4th and 5th dpi same severe signs where greenish diarrhea was obvious with respiratory sounds were detected with death of 2birds (13.3%) in each. At 6th dpi death of 1bird (6.67%). The morbidity rate was 14/15(93.3%). while mortalities reach 80% in 4days. Post mortem examination of dead chickens in the infected group showed congested muscles, dehydrated, anorexic bird, hemorrhages on the tips of periventricular glands, liver congestion, greenish intestinal contents, greenish content of proventriculus and gizzard, severe necrosis and ulceration on cecal tonsils, and catarrhal tracheitis. NDV cloacal shedding was detected in cloacal swabs from infected chickens at 3(66.7%), 7(100%) and 10(66.7%) dpi by RT-PCR. Histopathological examination reveals the detection of showing necrosis of intestinal villi, hemorrhage and lymphocytic infiltration in intestinal sections. Cecal tonsils showed lymphocytic necrosis with areas of hemorrhage. Trachea showing Necrosis of lamina epithelialis, edema and hemorrhage in submucosa. Severe hemorrhage with severe lymphocytic depletion in spleen.

Conclusion: It can be concluded that the local identified NDV strain related to genotype VII is highly pathogenic to 28day old commercial broiler chickens.

Keywords: NDV genotype VII, pathogenicity, signs and lesions. virus shedding, broiler chicken

Abbreviations

ND, newcastle disease; NDV, newcastle disease virus; VNDV, veloginic newcastle disease virus; SPF, specific pathogen free; RT-PCR, reverse transcription-polymerase chain reaction; ELD50, embero infective dose 50; HA, haemagglutination; HI, haemagllutination inhibition; ECE, embryonated chicken egg; dpi, days post infection

Introduction

Newcastle disease is one of the most important avian viral diseases causing severe economic losses in poultry worldwide. Genotype VII associated with the most recent outbreaks in Asia, Europe, Africa, the Middle East and South America.1–3 Genotype VII had been reported in severeal countries in Asia such as China,4 Taiwan,5 Korea,6 Malaysia7 and also in' South America.8 Genotype VII (class II genotype VII) was firstly categorized into two sub genotypes: VIIa, which represents viruses that emerged in the 1990s in the Far East and spread to Europe and Asia; and VIIb, which represents viruses that emerged in the Far East and spread to South Africa. Later, the two sub genotypes of VII are classified into VIIc, d, and e, which represents isolates from China, Kazakhstan and South Africa; and VIIf, g, h, and i, which represent African isolates.9

Seal et al.,10 synthesized degenerate oligonucleotide primers used in a single-tube reverse transcription PCR to amplify nucleotide sequences from portions of the fusion protein and matrix protein genes of NDV genomic RNA and these techniques can be used reliably for ND epidemiology and for prediction of pathotypes of NDV isolates without traditional live-bird inoculations. Also, RT-PCR test was used to examine clinical samples from chickens experimentally infected with the NDV strain responsible for a recent epizootic and a positive correlation was obtained between the RT-PCR results and virus isolation for NDV from clinical samples.11 Kant et al.,12 used a semi-nested RT-PCR for the detection and subsequent differentiation of NDV isolates. Two oligonucleotide primers, representing the sequence at the cleavage site of the F protein of either virulent or non-virulent NDV strains, respectively, were used to differentiate NDV.

In Egypt, NDV continues one of the most predominant avian respiratory viruses since it was firstly isolated by Daubney et al.,13 till now causing severe economic losses in poultry industry.14,15 Since early 2011 NDV outbreaks occur in vaccinated and non-vaccinated poultry flocks in Egypt. F protein sequence analysis of NDV isolates and its phylogenic analysis revealed that these isolates belonged to genotype VII sub genotype d which related to China genotype.15,16–18 Four isolates of NDV genotype VII were isolated and identified by RT-PCR targeting the partial F-gene from severe outbreaks in commercial vaccinated poultry farms in Egypt.15 Now days, NDV outbreaks are still frequently occurring in vaccinated poultry flocks, despite the intensive vaccination programs.14,15,17–20 Therefore our study was carried out to investigate pathogenicity of local identified NDV strain related to genotype VII to 28day old commercial broiler chickens.

Materials and methods

Fertile chicken egg

Specific pathogen free (SPF) eggs originated from Nile SPF (Koom Oshiem, Fayoum, Agriculture Research center- Ministry of Agriculture) were used for passage and titration of the isolated NDV isolates as well as preparation of HI antigen.

Experimental chicks

A total number 25 of day- old broiler chicks were kindly obtained from commercial hatchery were used for evaluation pathogenicity of isolate (NDV/Chicken/EG-QU/NRC/2015).15 Chicks were floor reared in previously cleaned and disinfected isolated rooms under hygienic conditions. Birds were provided with commercial broiler plated ration free from medication.

Newcastle disease viruses

Haemagglutination (HA) antigen

ND La Sota vaccinal strain were propagated in ECE and diluted to 4 HAU to be used as HA antigen in Haemagllutination inhibition (HI) testing of ND antibody.

NDV for pathogenicity study

Velogenic Newcastle disease virus (vNDV) local isolate NDV/Chicken/EG-QU/NRC/2015 (accession numbers MF418018) isolated and characterized by Hagar et al.15 The used strain is related to NDV Genotype VIId (Turkey-Israel-111-2011). It was titrated in SPF ECE as described by Grimes21 and EID50 was calculated according to Reed and Muench.22 The inoculation dose was 106 EID50/bird via oculonasal instillation.

Experimental design

Twenty five broiler chicks were reared in separated rooms; feed and water were provided ad-libitum. Blood samples for sera were collected from chickens at 1day of age and 28days (date of infection). At 28days old, chicken were infected by oculonasal route each chicken receive 0.2ml of 106 EID50 (NDV/chicken/EG-QU/NRC/2015). Infected birds were subjected to daily observation for 10days post infection (dpi) with recording of morbidity and mortality rates, clinical signs and pathological lesions. Viral antigen was detected in tissues and cloacal swaps for viral shedding by RT-PCR on samples from 3birds/group at 3, 7 and 10 dpi. Blood samples were taken to determine level of HI antibodies against NDV. Histopathological lesions were detected in tissue samples collected from freshly dead birds at the 5th dpi. The obtained results are shown in Table 1, Table 2, Figure 1 and Figure 2.

No of birds

Distribution of morality/days post infection

 

 

Total

%

 

1st

2nd

3rd

4th

5th

6th

7th-10th

 

 

15

----

----

7

2

2

1

----

12

80

%

0

0

46.7

13.3

13.3

6.67

0

 

 

Table 1 Distribution and total mortalities of infected chickens

Day post infection

RT-PCR result

 

No of +ve

No of -ve

% of +ve

3

2

1

66.7

7

3

0

100

10

2

1

66.7

Table 2 RT-PCR results of cloacal viral shedding (n=3)

Conventional RT-PCR for detection of NDV cloacal shedding

The genomic viral RNA was directly extracted from cloacal swabs by using QIAamp viral RNA extraction Kits according to the manufacture’s protocol. One step RT-PCR was carried using QIAGEN® One Step RT-PCR kit (QIAGEN, Valencia, CA) according to the manufacturer’s instructions. RT-PCR was used for the detection of vNDV shedding as previously described by Seal et al.,10 Wise et al.,11 and Kant et al.12

Histopathological examination

Affected organs including the trachea, spleen, cecal tonsils and intestine from the positively infected farms were collected and fixed on 10% formol saline. The specimens were routinely processed in paraffin embedding method, sectioned and stained with Haematoxylin and Eosin (H&E) for light microscopic examination according to Bancroft and Gamble.23

Results and discussion

Avian paramyxovirus type 1 or ND viruses are frequently recovered from wild birds and such isolates are most frequently of low virulence. Velogenic NDV are usually recovered from poultry and only occasionally from wild birds. VIId is the predominant pathogen involved currently in ND outbreaks in poultry worldwide.24–27 Recent findings suggest that the virulent virus may emerge in poultry as a result of mutations in viruses of low virulence.24 Mean HI titer was 8.5±1.19 and 1±1.06 at 1 and 28days of age 18.

Clinical signs begin at the 2nd dpi with slight depression and decrease in feed intake with no mortality. In 3rd dpi: marked depression with sleepy appearance "Figure 1A" and marked decrease in feed intake, greenish lose dropping "Figure 1B", Basty vent with greenish diarrhea "Figure 1C", sudden high mortalities "Figure 1D".18,25,28

Mortalities " Table 1" start at the 3rd dpi with death of 7birds in rate of 46.7%.18,26,28 At the 4th dpi same severe signs were detected with death of 2birds (13.3%). In 5th dpi: greenish diarrhea was obvious with respiratory signs with death of 2birds (13.3%). At 6th dpi death of 1bird (6.67%). From 7th to 10th dpi paresis in 2 of remaining live chickens and one bird was healthy. Therefore the morbidity rate was 14/15 (93.3%). while mortalities reach 80% in 5 dpi.18,26,28 Endemic ND can cause mortality of up to 60% in village chickens.25

Figure 1 Clinical signs in infected chickens showing:
A. Severee depression and sleepy appearance.
B. Greenish loose dropping.
C. Basty vent with greenish diarrhea.
D. High mortalities.

Post mortem examination of dead infected chickens "Figure 2" showed dehydrated, anorexic bird, Catarrhal tracheitis with hemorrhagic mucosa "Figure 2A", Congested enlarged liver with sub capsular hemorrhage "Figure 2B", Enlarged mottled spleen "Figure 2C" hemorrhages on the tips of periventricular glands "Figure 2D", Congested serosal surface of intestine "Figure 2E", liver and muscle congestion, greenish intestinal contents "Figure 2F" , greenish content of proventriculus and gizzard "Figure 2G", Hemorrhagic cecal tonsils serosal view "Figure 2H" Necrosis and ulceration in mucosal of cecal tonsils "Figure 2I". These signs and gross lesions agree with those observed by Awad et al.,14 El-Behairy et al.,18 Moussa,28 Susta et al.,29 and Abd El Aziz et al.30

Figure 2 Lesions in infected chickens showing:
A. Catarrhal tracheitis.
B. Congested enlarged liver with sub capsular hemorrhage.
C. Enlarged mottled spleen.
D. Ecchymotic and petechial hemorrhage on tips of periventricular gland
E. Congested serosal surface of intestine
F. Greenish content of intestine.
G. Greenish content of proventriculus.
H. Hemorrhagic cecal tonsils serosal view.
I. Necrosis and ulceration in mucosal of cecal tonsils.

NDV cloacal shedding was detected at 3, 7 and 10 dpi by examining cloacal swabs "Table 2" from infected chickens for detection of viral shedding by RT-PCR where percentage of postive results was 66.7%, 100% and 66.7%; respectively.3,28,31,32

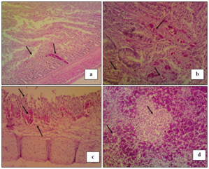
Histopathological examination "Figure 3" reveals the detection of showing necrosis of intestinal villi, hemorrhage and lymphocytic infiltration in intestinal sections "Figure 3A". Cecal tonsils showing lymphocytic necrosis with areas of hemorrhage "Figure 3B".Trachea showing necrosis of lamina epithelialis, edema and hemorrhage in sub mucosal layer "Figure 3C". While, Spleen showing severe hemorrhage with severe lymphocytic depletion "Figure 3D".18,28

Figure 3 Histopathological finding in H&E stained tissue sections of infected chickens at the 5th dpi.
A. Intestine showing necrosis of intestinal villi, hemorrhage and lymphocytic infiltration.
B. Cecal tonsils showing lymphocytic necrosis with areas of hemorrhage.
C. Trachea showing necrosis of lamina epithelial is, edema and hemorrhage in sub mucosal layer.
D. Spleen showing severe hemorrhage with severe lymphocytic depletion.

Conclusion

It can be concluded that the local identified NDV strain related to genotype VII is highly pathogenic to 28 day old commercial broiler chickens.

Regulations and ethical considerations

This study was carried out according to Guiding principles for the care and use of animals for scientific purposes and in accordance with local laws and regulations.

Acknowledgments

Authors are grateful to thank Dr. Mohammed Bosila, Department of Poultry. Diseases, Vet. Res. Division, National Research centre for his help in histopathology.

Conflict of interest

The author declares that there is no conflict of interest involved in this study.

References

  1. Miller PJ, Kim LM, Ip HS, et al. Evolutionary dynamics of Newcastle disease virus. Virol. 2009;391(1):64–72.
  2. Zhang S, Wang X, Zhao C, et al. Phylogenetic and pathotypical analysis of two virulent Newcastle disease viruses isolated from domestic ducks in China. PLoS One. 2011;6(9):e25000.
  3. Perozo F, Marcano R, Afonso CL. Biological and phylogenetic characterization of a genotype VII Newcastle disease virus from Venezuela, efficacy of field vaccination. J Clin Microbiol. 2012;50(4):1204–1208.
  4. Rui Z, Juan P, Jingliang S, et al. Phylogenetic characterization of Newcastle disease virus isolated in the mainland of China during 2001-2009. Vet Microbiol. 2010;141(3-4):246–257.
  5. Lien YY, Lee JW, Su HY, et al. Phylogenetic characterization of Newcastle disease viruses isolated in Taiwan during 2003-2006. Vet Microbiol. 2007;123(1-3):194–202.
  6. Cho SH, Kim SJ, Kwon HJ. Genomic sequence of an antigenic variant Newcastle disease virus isolated in Korea. Virus Genes. 2007;35(2):293.
  7. Tan SW, Ideris A, Omar AR, et al. Sequence and phylogenetic analysis of Newcastle disease virus genotypes isolated in Malaysia between 2004 and 2005. Arch Virol. 2010;155(1):63–70.
  8. Diel DG, Da Silva LH, Liu H, et al. Genetic diversity of avian paramyxovirus type 1: Proposal for a unified nomenclature and classification system of Newcastle disease virus genotypes. Infect Genet Evol. 2012;12(8):1770–1779.
  9. Miller PJ, Decanini EL, Afonso CL. Newcastle disease evolution of genotypes and the related diagnostic challenges. Infect Genet Evol. 2010;10(1):26–35.
  10. Seal BS, King DJ, Bennett JD. Characterization of Newcastle disease virus isolates by reverse transcription PCR coupled to direct nucleotide sequencing and development of sequence database for pathotype prediction and molecular epidemiological analysis. J Clin Microbiol. 1995;33(10):2624–2630.
  11. Wise MG, David L, Suarez DL, et al. Development of a real-time reverse-transcription PCR for detection of Newcastle disease virus RNA in clinical samples. J Clin Microbiol. 2004;42(1):329–338.
  12. Kant A, Koch G, Van Roozelaar DJ, et al. Differentiation of virulent and nonvirulent strains of Newcastle disease virus within 24 hours by polymerase chain reaction. Avian Pathol. 1997;26(4):837–849.
  13. Daubney R, Mansy W. The occurrence of Newcastle disease in Egypt. J Comparat Pathol Therap. 1948;58:189–200.
  14. Awad AM, Sedeik ME, Abdel kariem AA. Isolation, molecular characterization and pathotyping of newcastle disease viruses from field outbreaks among broiler flocks in egypt from 2014-2015. Internat J of Current Res. 2015;7(2):12925–12934.
  15. Hagar M, Ahmed MM, Amer MA. Kutkat, et al. Isolation and identification of Genotype VII of Newcastle disease virus from chicken flocks in six Egyptian Governorates. Specialty J of Medical Res and Health Sci. 2017;2(2):1–7.
  16. Radwan MM, Darwish SF, El-Sabagh IM, et al. Isolation and molecular characterization of Newcastle disease virus genotypes II and VIId in Egypt between 2011 and 2012. Virus Genes. 2013;47(2):311–316.
  17. Hussein HA, Emara MM, Rohaim MA. Molecular characterization of newcastle disease virus genotype VIID in avian influenza H5 N1 infected broiler flock in Egypt. Internat J of Virol. 2014;10(1):46–54.
  18. El-behairy MA. Some Epidemiological studies on Newcastle Disease in domesticated chicken and Turkey Flocks in different Egyptian Governorates on 2015. MSC thesis. Cairo University; 2016.
  19. Abdel-Moneim AS, El-Sawah AA, Kandil MA. Characterization of variant strain of Newcastle disease virus in Egypt. BS Vet Med J. 2006;16:12–17.
  20. Mohamed MHA. Kumar S, Paldurai A, et al. Complete genome sequence of a virulent Newcastle disease virus isolated from an outbreak in chickens in Egypt. Virus Genes. 2009;39(2):234–237.
  21. Grimes SE. A basic laboratory manual for the small-scale production and testing of I-2 Newcastle disease vaccine. RAP publication; 2002. 136 p.
  22. Reed LJ, Muench H. A simple method of estimating fifty percent endpoints. Am J Hygiene. 1938;27(3):493–497.
  23. Bancroft JD, Gamble M. Theory and Practice of Histological Techniques. 6th ed. Churchill Livingstone, China: Elsevier; 2008.
  24. Alexander DJ. Gordon memorial lecture. Newcastle disease. Br Poult Sci. 2001;42(1):5–22.
  25. Saif YM, Fadly AM, Glisson JR. Newcastle Disease (DJ Alexander, DA Sennein) in Poultry Diseases. 12th ed. Iowa: Iowa State Press; 2008. p. 75–100.
  26. El-Bagoury GF, Samar F. El-Adaway, et al. Isolation, identification and pathotyping of Newcastle disease virus from chickens in Egypt. Benha Vet Med J. 2015;29(1):196–204.
  27. Vidanović D, Sekler M, Asanin R, et al. Characterization of velogenic Newcastle disease viruses isolated from dead wild birds in Serbia during 2007. J Wild Dis. 2011;47(2):433–441.
  28. Moussa SA. Molecular Evolution and Pathogenicity of local Newcastle Disease Viruses and the evaluation of a selected vaccination program. Menoufiya, Egypt: Sadat City University; 2005.
  29. Susta L. Miller PJ, Afonso, et al. Clinicopathological characterization in poultry of three strains of Newcastle disease virus isolated from recent outbreaks. Vet Pathol. 2011;48(2):349–360.
  30. Abd El Aziz MA, Hatem S, Abd El-Hamid. Biological and molecular characterization of newcastle disease virus circulating in chicken flocks, Egypt, During 2014-2015. Zagazig Vet J. 2016;44(1):9–20.
  31. Jeon WJ, Lee EK, Lee YJ, et al. Protective efficacy of commercial inactivated Newcastle disease virus vaccines in chickens against a recent Korean epizootic strain. J Vet Sci. 2008;9(3):295–300.
  32. Susta L, Jones MEB, Cattoli G, et al. Pathologic characterization of genotypes XIV and XVII newcastle disease viruses and efficacy of classical vaccination on specific pathogen-free birds. Vet Pathol. 2014;52(1):120–131.
Creative Commons Attribution License

©2018 Amer, et al. This is an open access article distributed under the terms of the, which permits unrestricted use, distribution, and build upon your work non-commercially.