Submit manuscript...
MOJ
eISSN: 2574-9722

Biology and Medicine

Case Report Volume 3 Issue 2

Case number 19th of perforating necrobiosis lipoidica worldwide

Natalia De la calle la calle,1 Diego Espinosa,1 Ana Cristina Ru2

1Universidad CES Dermatology, Universidad CES, Colombia
2 Dermopathologist Universidad CES, Universidad CES, Colombia

Correspondence: Natalia De la calle, Universidad CES Dermatology, street 35 N, Tel (57)4 2658503

Received: December 07, 2017 | Published: June 5, 2018

Citation: calle NDL, Espinosa D, Ruíz AC. Case number 19 th of perforating necrobiosis lipoidica worldwide. MOJ Biol Med. 2018;3(2):37-39. DOI: 10.15406/mojbm.2018.03.00073

Download PDF

Abstract

Perforating necrobiosis lipoidica is a secondary perforating disease with necrobiotic collagen elimination through the epidermis in diabetic patients. Lesions are very similar to classic necrobiosis lipoidica but in the former there are keratotic plugs over the raised borders of the atrophic yellow plaques. It is explained by necrotic collagen on upper dermis causing inflammation and breaking on through the hair follicle wall or abnormal channels connecting dermis with the outside. In spite of its low frequency, this manuscript highlights the first case reported in Colombia, the 19th case worldwide.

Keywords: necrobiosis lipoidica, perforating dermatosis, diabetes, collagen

Abbreviations

PNL, perforating necrobiosis lipoidica;

Introduction

PNL is a disease belongs only to diabetic patients whom presents transepidermal elimination of dermal components like necrotic collagen due to abnormal vascularization and metabolism like consequence of diabetes, causing an inflammatory reaction with keratinization disturbance and building channels in order to be discharged.1–3 These last could be seen like hyperkeratotic plugs on the purpuric raised border on the typical necrobiosis lipoidic lesions with yellow dye and anetodermic central area.

The most of patients do not have symptoms, although they may feel pruritus. With the passing of the time, it may be ulcerated and there is only 1 reported case with progression to epidermoid carcinoma.4,5

Therapy may be local or systemic and the outcomes are the most of time, unsuccessfully.6 Herein, it describes the 19th worldwide case of PNL. It is about a female diabetic patient with poor metabolic control and cutaneous typical of PNL, consisting in so many pale anetodermic, atrophic plaques with purpuric raised borders on top of these it could be seen indurated comedo- like lesions, alopecia and crater shape depressions and soft nodules with pores with viscous material draining outside of the skin through them. Two biopsies are taken from the borders of two plaques and there have found the features of a perforating dermatosis.

With the diagnosis made, it is started tacrolimus 0.1% ointment therapy twice daily with minimal improvement, so patient is referred to internal medicine to achieve metabolic control.

Case report

49 years old female patient, living in Medellín, with a personal history of 5 years with diabetes and dyslipidemia, under metformin and lovastatin irregular therapy. The patient has so many oval plaques on the chest, abdominal wall and extremities with the same evolution time, which are brown and orange color with crusts and gray scale on the surface. Other types of plaques have an annular shape with purple and brown raised borders; over these there are comedo-like lesions (Figure 1), crater-like depressions and hair absence, instead the center skin is atrophic and with palpation it feels like herniation. Besides, it is seen indurated orange plaques with sinus tracts, some of them interconnected. Over the plaques are seen painful, erythematous, soft nodules with a central pore through which viscous discharge comes out. The sensitivity is conserved. Diascopy is negative.

Laboratory tests show fast glycemia of 364mg/dl, glycated haemoglobin of 14.3%, alanine aminotransferase of 69U/L, aspartate aminotransferase of 61U/L, triglycerides of 202mg/dl and urine screen showing urine glucose level up 1000mg/dl. Meanwhile thyroid hormone, hemogram profile and creatinine are normal.

From the border of two plaques are taken 2 biopsies and with hematoxylin eosin staining it is evident a dilated follicular infundibulum keratin fulfill and degeneration changes of dermal collagen.

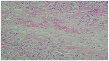
With a closer view is possible to see the degenerated collagen being discharged outside through the hair folllicle (Figure 2) and in the dermis, palisaded granulomas with necrobiotic collagen (Figure 3). This finding aims to a perforating dermatosis. There are not mucin deposits with Alcian blue staining. Neither is it present elastic fibers with the staining for their recognition.

With clinical and histological features PNL diagnosis is made. Then, therapy with tacrolimus ointment 0.1%, twice daily is started, but the patient does not get better so she is referred to internal medicine to achieve metabolic control.

Figure 1 An annular plaque with the central atrophic area and purpuric, raised borders with comedo-like lesions.

Figure 2 Necrobiotic collagen transfollicular elimination (HE 10X).

Figure 3 Palisaded dermal granulomas and necrobiotic collagen in the center (HE 10 X).

Discussion

PNL belongs to the group of perforating secondary diseases in which there is transfollicular or transepidermal elimination of abnormal material from the upper dermis.1,2

There are few case reports in the literature like it is shown in the next Table 1.

The last reports add up a total of 18 cases plus the one herein described report are 19 worldwide, being the unique case in Colombia, all of them with diabetes mellitus, which it is related in the 90% of cases, affecting teenagers with type I diabetes and women between 40 and 60 years old with type II diabetes.1,2,5–15

The prevalence is 0.3% in adults, and 0.06% in children. Regarding the gender, women are more prone to suffer this condition with a ratio of 3:1, between 30 to 60 years old.2,15,16

According to pathogenesis, it is known diabetes microangiopathy causes necrosis of collagen, which is expelled transepidermal or transfollicular way.3 The first way, the abnormal collagen induces the focal keratinization on the epidermal basal layer, instead of in the corneal layer like it is usual, building perforating channels through be taken out.17–19 In the second way, necrobiotic collagen breaks hair follicle wall, causing anexal destruction.20 The entire process is allowed thanks the inflammation of abnormal dermal components ( collagen, elastin or even cholesterol crystals).13,15

Clinically lesions begin with asymptomatic erythematous plaques, with raised dusky red border, with slow growth and outer comedo-like lesions which leave a crater like depression when are removed (transfollicular elimination) or with kyperkeratotic papules (transepidermal elimination).4,5 The central area becomes atrophic and with yellow dye. With the passing of time alopecia happens.

Lesions take place mainly in legs, but they may be present in the hands, fingers, forearms, face and scalp.6 It could be happen Koebner phenomenon.15 Usually, the course is chronic and lesions may progress and scars and be complicated with ulcers in 25% to 33% of patients, causing pruritus and burn sensation. There is only one case with progression to epidermoid carcinoma in the literature.6,14

Histopathologic findings are collagen necrobiosis and its elimination through hair follicular wall or perforating epidermis directly. Besides is noticed granulomatous inflammation of subcutaneous tissue.6

The main differential diagnosis is perforating granuloma annulare2,17 which shares the feature of being a secondary perforating granulomatous dermatosis and also it is related to diabetes in 30% of cases. Similar a PNL, lesions are annular plaques with erythematous raised borders in the extremities and chest, but without the high level of atrophy and the yellow color, and there are not comedo-like lesions.4

Others diagnosis to keep in mind are sarcoidosis, necrobiotic xanthogranuloma, lichen sclerosus and erythema induratum of Bazin.1,21

Treatment consists in reaching right metabolic control and it may be local or systemic. Former it is about corticosteroids or bovine collagen application under occlusion, local retinoids and puva therapy, photodynamic therapy, tacrolimus, intralesional corticosteroids, intralesional tumor necrosis factor alpha inhibitor and the application perilesional heparin.21 Systemic therapy consists in systemic corticosteroids, nonsteroidal anti-inflammatory drugs like dipyridamole, citostatic agenst, clofazimine, ticlopidine and thalidomide. Some cases have successful outcomes with surgery. Either local or systemic, treatment does not offer a good response.12,21

1977

3 reported cases by Parra et al.8

1981

1 reported case by García et al.9

1986

1 reported case by Peteriro et al.10

1987

1 reported case by Aloi et al.11

1996

2 reported cases by Lefaki et al.12

1996

1 reported case by McDonald et al.6 Perforating elastosis in necrobiosis lipoidica

1999

1 reported case by De la Torre et al.13: Necrobiosis lipoidica: a case with prominent cholesterol clefting and transepithelial elimination

2003

2 reported cases by Pestonic et al.16; two girls with type I diabetes

2005

1 reported case by Vanhooteghemet et al.14: epidermoid carcinoma related with PNL

2008

1 reported case by Abdulla et al.2; an afroamerican woman with PNL

2008

1 reported case by Hammami.7; PNL in a girl with type I diabetes

2012

1 reported case by Mazzochi et al.15; Koebner phenomenon in NLP

2013

1 reported case by Lozanova et al.1; disseminated NLP

2017

1 reported case by Kluger et al.5; epidermal cyst histopathology at the raised border of PNL lesions

Table 1 Reported cases of PNL in the literature

PNL, perforating necrobiosis lipoidica

Conclusion

Being PNL an entity with few reported cases, it has highlighted the 19th case in Colombia, all of them in diabetic patients with poor metabolic control and unsuccessful outcomes with different treatments.

Acknowledgement

None.

Conflict of interest

Author declares no conflict of interest.

Patient consent form

The patient agreed with his case report and came back to the dermatology department to follow up.

References

  1. Lozanova P, Dourmishev L, Vassileva S, et al. Perforating disseminated necrobiosis lipoidica diabeticorum. Case Rep Dermatol Med. 2013;370361.
  2. Abdulla FR, Sheth PB. A case of perforating necrobiosis lipoidica in an African American female. Dermatol Online J. 2008;14(7):10.
  3. O’Reilly K, Chu J, Meehan S, et al. Necrobiosis lipoidica. Dermatol Online J. 2011;17(10):18.
  4. Bayoumi AH, Gaskell S, Marks R. Development of a model for transepidermal elimination. Br J Dermatol. 1978;99(6):611–620.
  5. N Kluger, C Segretin, MH Jegou. Perforating necrobiosis lipoidica. Ann Dermatol Venereol. 2017;144:158–160.
  6. McDonald L, Zanolli MD, Boyd AS. Perforating elastosis in necrobiosis lipoidica diabeticorum. Cutis. 1996;57(5):336–338.
  7. Hammami H, Youssef S, Jaber K, et al. Perforating necrobiosis lipoidica in a girl with type 1 diabetes mellitus: a new case reported. Dermatol Online J. 2008;14(7):11.
  8. Parra CA. Transepithelial elimination in necrobiosis lipoidica. Br J Dermatol. 1977;96(1):83–86.
  9. García E Silva L, Capitao Mor MM, De Carvalho I. Nécrobiose lipoïdique perforante. Ann Dermatol Venereol. 1981;108(11):891–896.
  10. Peteiro C, Zulaica A, Toribio J. Perforating necrobiosis lipoidica. Med Cutánea Ibero-Lat-Am. 1986;14(6):425–428.
  11. Aloi FG, Molinero A. Necrobiosis lipoidica with transepithelial elimination. G Ital Dermatol Venereol. 1987;122(5):225–227.
  12. Lefaki I, Vakali G, Mourelou O, et al. Perforating necrobiosis lipoidica: 2 cases. Ann Dermatol Vénéréologie. 1996;123(11):742–744.
  13. De la Torre C, Losada A, Cruces MJ. Necrobiosis lipoidica: a case with prominent cholesterol clefting and transepithelial elimination. Am J Dermatopathol. 1999;21(6):575–577.
  14. Vanhooteghem O, André J, de la Brassinne M. Epidermoid carcinoma and perforating necrobiosis lipoidica: a rare association. J Eur Acad Dermatol Venereol. 2005;19(6):756–758.
  15. M Mazzochi, GD Giunta, VS Cunha. Appearance of perforating necrobiosis lipoidica at the site of healed herpes zoster: wolf ’s isotopic response. Journal of the American Academy of Dermatology. 2012;66(4):126.
  16. Pestoni C, Ferreirós MMP, de la Torre C, et al. Two girls with necrobiosis lipoidica and type I diabetes mellitus with transfollicular elimination in one girl. Pediatr Dermatol. 2003;20(3):211–214.
  17. Woo TY, Rasmussen JE. Disorders of transepidermal elimination. Part 1. Int J Dermatol. 1985;24(5):267–279.
  18. Woo TY, Rasmussen JE. Disorders of transepidermal elimination. Part 2. Int J Dermatol. 1985;24(6):337–348.
  19. Shalhoop H. Round, pitting lesions on the lower leg. Necrobiosis lipoidica. JAAPA. 2010;23(9):14.
  20. Bardach HG. Granuloma annulare with follicular perforation. Dermatologica. 1982;165(1):47–53.
  21. Cárdenas DC, Bello CC, Uribe GP, et al. Acquired reactive perforating collagenosis: report of two cases. Rev Médica Chile. 2010;138(10):1281–1284.
Creative Commons Attribution License

©2018 calle, et al. This is an open access article distributed under the terms of the, which permits unrestricted use, distribution, and build upon your work non-commercially.