Submit manuscript...
MOJ
eISSN: 2574-9722

Biology and Medicine

Research Article Volume 10 Issue 2

Effect of orijin bitters, aqueous extracts of roselle (Hibiscus sabdariffa) calyx and ginger (Zingiber officinale roscoe) rhizome on the cerebellum of adult wistar rats

Sarah I David, Godfrey Duru, Abigail Abraham, Izang J Dauda

Correspondence: Sarah I David, Department of Anatomy, Faculty of Basic Medical Sciences, College of Medicine, Bingham University, Karu, Nigeria, Tel +2348162613963, Email sarah.david@binghamuni.edu.ng, Tel +2348162613963

Received: April 04, 2025 | Published: May 14, 2025

Citation: David SI, Duru G, Abraham A, et al. Effect of orijin bitters, aqueous extracts of roselle (Hibiscus sabdariffa) calyx and ginger (Zingiber officinale roscoe) rhizome on the cerebellum of adult wistar rats. MOJ Biol Med. 2025;10(2):50‒55. DOI: 10.15406/mojbm.2025.10.00240

Download PDF

Abstract

Orijin bitters is an herbal alcoholic drink, made up of numerous groups of chemical compounds extracted from herbs and roots. Hibiscus sabdariffa and Zingiber officinale plants are known for their antioxidant, antibacterial and anti-inflammatory properties. This research examined how Orijin bitters, and aqueous extracts of roselle calyx and ginger rhizome affected the cerebellum of rats. Thirty adult wistar rats (80-205g) were divided into six groups, five rats in each. Group 1 was the control group and group 2 received only orijin bitters (70cl/70kg/bw), group 3 orijin bitters and Hibiscus sabdariffa calyx aqueous extract (200mg/kg/bw), group 4 orijin bitters and Hibiscus sabdariffa calyx aqueous extract (500mg/kg/bw), group 5 orijin bitters and Zingiber officinale rhizome aqueous extract (200mg/kg/bw) and group 6 orijin bitters and Zingiber officinale rhizome aqueous extract (500mg/kg/bw). After 21 days, the rats’ cerebellums were harvested and analyzed biochemically and histologically. Result showed in non-significant decrease in latency time after administration of orijin bitters, aqueous extracts of Hibiscus sabdariffa calyces and Zingiber officinale rhizome, reduced activity of malondialdehyde in groups other than group 2, increase in antioxidant activities of catalase, superoxide dismutase and glutathione in all groups other than group 2. There was presence of alteration, degeneration and vacuolation in the purkinje cells in groups 2, 3 and 4 and regeneration of the cells in groups 5 and 6. In conclusion, Orijin bitters may compromise cerebellar integrity and Hibiscus sabdariffa calyces and Zingiber officinale roscoe rhizome due to their antioxidants properties may mitigate the effects of Orijin bitters.

Keywords: orijin bitters, hibiscus sabdariffa, zingiber officinale roscoe, antioxidant enzymes, haematoxylin and eosin staining

Introduction

The cerebellum is a key brain structure within the central nervous system with interconnected feedback loops linking it to the cerebrum, brainstem, and spinal cord.1 As a crucial part of the human brain, the cerebellum is essential for coordinating movement, maintaining balance and posture, and regulating muscle activity.2 The cerebellum has connections with various areas of the cerebral cortex including motor, premotor, prefrontal, temporal, and parietal regions.3

Bitters are alcoholic drinks containing various chemical substances derived from medicinal herbs and roots, characterized by their bitter flavour and are believed to stimulate the body's energy centres.4 Additionally, bitters are purported to offer a range of health benefits, including healing haemorrhoids, improvement of sexual, circulatory and kidney functions, maintaining healthy blood pressure, and promoting colon cleansing and as well as possessing anti-tumour properties.5

Numerouss popular bitters are now marketed as digestifs or cocktail flavoruings, often incorporating herbal components although initially, many bitter brands were formulated as medicinal remedies. Apart from water and alcohol, which most bitters contain, common ingredients of bitters include cinchona bark, gentian, and citrus peell. Alcohol can contribute to health issues depending on factors like nutrition, viral contaminants of the liver, gastric predisposition6 and its content varies significantly across brands for example, Orijin bitters contain 30% alcohol.7 The alcohol content of Orijin bitters is 30%. Despite initial concerns regarding hygiene and composition, brands like Alomo, Action, Pasa, 1960and Orijin bitters maintain a substantial presence in the alcoholic beverage market.8,9 Alomo, Action, 1960 and Orijin Bitters as well as Local Gin are just a few of the alcoholic beverage products that have achieved popularity and consumption in Nigerian markets after being fortified with herbal and plant additives. These drinks have ill-defined descriptions, absence of scientific verification, and unknown active components.10

Hibiscus sabdariffa also referred to as Roselle (English), Rosella (Indonesia), Karkade (Egypt, Arab, and Sudan), Asampaya (Malaysia), and Zobo (Nigeria), is a member of the Malvaceae family.11-13 It is an annual or biennial plant of tropical and subtropical zones that adapts to all climatic conditions.14-17 It is native to Asia from arid and semi-arid regions (Senegal, Mali, Niger, and Chad) to equatorial regions (Nigeria, Gabon, and Congo Kinshasa). 18,19 Hibiscus sabdariffa contains anthocyanins, flavonoids, phenol derivatives, organic acids, polysaccharides, triterpernoids, steroids and alkaloids, which are responsible for its antioxidant, antibacterial, anti-inflammatory, hepatoprotective and cholesterol-lowering properties.20-23 Hibiscus sabdariffa is often used in medication for its various secondary metabolites, which have therapeutic properties.24,25 Various health conditions, including hypertension, toothaches, coughs, are addressed using this plant. 26

Belonging to the Zingiberaceae family, which contains a wide range of species, Ginger (Zingiber officinale Roscoe) is a plant employed traditionally as a digestive aid and stimulant, relieving issues like fevers, malaria, stomach aches, and indigestion with medicinal applications extending to alleviating digestive problems, abdominal pain, loss of appetite, bleeding, arthritis, chronic bronchitis, cholera, chest congestion, chickenpox, cancer, and cough.27 This perennial plant develops from underground rhizomes and features a tall, upright stalk 60-90 cm with dark green leaves.28 Furthermore, ginger is cultivated for both medicinal and culinary purposes and valued for its antioxidant, anti-inflammatory, antibacterial, and anticancer properties.29,30 Their polyphenolic contents are mostly responsible for its antioxidant activity. Numerous studies have also showed its memory-enhancing effect hence, it can be used to prevent and treat neurodegenerative illnesses.30

Materials and methods

Plant procurement and extraction

Roselle (Hibiscus sabdariffa) calyces and Ginger (Zingiber officinale Roscoe) rhizome were sourced from Masaka market, a local market in Nasarawa State, Nigeria. The extraction was carried out at the Department of Chemistry, Bingham University, Karu, Nasarawa state, Nigeria. The plant materials were initially cleaned and air-dried, then subjected to maceration by soaking in distilled water for three (3) days, with intermittent stirring. The resulting extracts were filtered through a 53µm sieve, dried in an oven, and stored at room temperature.

Ethical clearance

The handling of all animals in this study adhered to the guidelines of the IACUC, Institutional Animal Care and Use Committee which is approved by the BHU Ethics Review Committee, Bingham University, Nigeria.

Experimental design

Adult male wistar rats (n=30, 80-205g) were kept in standard laboratory conditions, at Bingham University's animal facility. They were maintained on a regular common rat chow and water ad libitum. Following a two-week acclimatiation period, they were grouped (n=5/group, 6 groups total) and subjected to a 21-day experiment. The 21-day experiment concluded with the rats being euthanized via chloroform inhalation after an overnight fast. The cerebellum was extracted and preserved in 10% formalin for histological analysis and phosphate buffer for biochemical analysis. Below is the experimental design. They were. Table 1

Experimental group

Administration

1 (Control)

70cl/75kg/bw distilled water only

2

70cl/75kg/bw Orijin bitters only

3

70cl/75kg/bw Orijin bitters only +200mg/kg/bw aqueous extract of Hibiscus sabdariffa

4

70cl/75kg/bw Orijin bitters only +500mg/kg/bw aqueous extract of Hibiscus sabdariffa

5

70cl/75kg/bw Orijin bitters only +200mg/kg/bw aqueous extract of Zingiber officinale Roscoe

6

70cl/75kg/bw Orijin bitters only +500mg/kg/bw aqueous extract of Zingiber  officinale Roscoe

Table 1 Animal grouping

All administration was done orally and once daily. Administration of Orijin bitters was adopted from Johnson et al.6

Neurobehavioral study

To evaluate changes in the rats' motor coordination following the treatment with orijin bitters and aqueous extracts of Hibiscus sabdariffa calyces and Zingiber officinale Roscoe Rhizome, a beam-walking test was conducted both prior to and after the administration. The time (in seconds), also known as latency, taken by the animals to traverse the beam from the starting point A to the safety box B, was used to assess learning and memory.31

Histological analysis

Cerebellar tissues were fixed in 10% formalin solution. Subsequently, they were subjected to graded ethanol dehydration, xylene clearing, and paraffin embedding. Serial sections, 5 µm in thickness, were obtained using a rotary microtome. These sections were then stained with hematoxylin and eosin and visualized via light microscopy.32

Biochemical analyses

The cerebellum were placed in organ bottles containing phosphate buffer. The levels of malondialdehyde (MDA), and the enzymatic functions of glutathione (GSH), superoxide dismutase (SOD), and catalase (CAT) were assessed. Nwogueze et al. (2021) method was adopted.33

Statistical analysis

Data obtained were expressed as mean ± standard error of the mean (SEM). The result was compared using One-way analysis of variance (ANOVA) with SPSS (Statistical Package for the Social Sciences) and followed by Tukey post-hoc test using Graph pad prism. P ˂0.05 was considered statistically significant.

Results

Beam walk analysis

The result for latency time before and after administration of orijin bitters, aqueous extracts of roselle (Hibiscus sabdariffa) calyces and ginger (Zingiber officinale roscoe) rhizome is shown in Figure 1. There was notable decrease in latency time after administration of orijin bitters and aqueous extracts of roselle (Hibiscus sabdariffa) calyces and ginger (Zingiber officinale roscoe) rhizome. There however, was no statistically significant difference in the results compared to the pre-administration state (P<0.05).

Figure 1 Latency time before and after administration of orijin bitters, aqueous extracts of roselle (Hibiscus sabdariffa) calyces and ginger (Zingiber officinale roscoe) rhizome.

GRP 1 = control (distilled water), GRP 2=orijin bitters (70cl/75kg/bw), GRP 3 =orijin bitters (70cl/75kg/bw) and aqueous extract of Hibiscus sabdariffa calyces (200mg/kg/bw), GRP4 =orijin bitters (70cl/75kg/bw) and aqueous extract of Hibiscus sabdariffa calyces (500mg/kg/bw), GRP 5 =orijin bitters (70cl/75kg/bw) and aqueous extract of Zingiber officinale roscoe rhizome (200mg/kg/bw), GRP 6 =orijin bitters (70cl/75kg/bw) and aqueous extract of Zingiber officinale (500mg/kg/bw) (P ˂ 0.05).

Biochemical analyses

The activities of malondialdehyde (MDA), catalase (CAT), superoxide dismutase (SOD) and glutathione (GSH) following 21 days’ administration of orijin bitters, aqueous extracts of roselle (Hibiscus sabdariffa) calyces and ginger (Zingiber officinale roscoe) rhizome in the adult wistar rats were assessed (Figure 2 a-d). There was general increase in MDA levels across all treatment groups, with the exception of group 3 (orijin bitters and low dose of aqueous extracts of roselle) when compared to the control group (Figure 2a). Furthermore, compared to the group with group 2 (orijin bitters only), groups 3, 4, 5 and 6 showed a reduction in MDA levels.

Figure 2 Antioxidant activities of Malondialdehyde (MDA), Superoxide Dismutase (SOD), Catalase (CAT) and Glutathione (GSH) after administration of orijin bitters, aqueous extracts of Hibiscus sabdariffa and Zingiber officinale roscoe on the cerebellum of adult wistar rats.

GRP 1 =control (distilled water), GRP 2 =orijin bitters (70cl/75kg/bw), GRP 3=orijin bitters (70cl/75kg/bw) and aqueous extract of Hibiscus sabdariffa calyces (200mg/kg/bw), GRP4 =orijin bitters (70cl/75kg/bw) and aqueous extract of Hibiscus sabdariffa calyces (500mg/kg/bw), GRP 5=orijin bitters (70cl/75kg/bw) and aqueous extract of Zingiber officinale roscoe rhizome (200mg/kg/bw), GRP 6=orijin bitters (70cl/75kg/bw) and aqueous extract of Zingiber officinale (500mg/kg/bw) (P ˂0.05).

The antioxidant activities of superoxide dismutase (SOD) level in groups 2 (orijin bitters), 3 (orijin bitters and low dose aqueous extract of Hibiscus sabdariffa calyces) and group 5 (orijin bitters and low aqueous extract of Zingiber officinale roscoe rhizome) were more reduced than group 4 (orijin bitters and high dose aqueous extract of Hibiscus sabdariffa calyces) and group 6 (orijin bitters and high dose aqueous extract of Zingiber officinale roscoe rhizome) in comparison to group 1 (control) (Figure 2b). When compared to group 2, SOD level was greatly increased in groups 4 and 6.

The antioxidant activities of catalase (CAT) was also notably increased in all treatment groups when compared to group 2 (Figure 2c). The antioxidant activities of Glutathione (GSH) was low in group 2 (orijin bitters) but high in group 1 (control group) and experimental groups (3, 4, 5 and 6) (Figure 2d). There however, was no statistical significance (P <0.05) for all the results of biochemical analyses.

Histological analysis

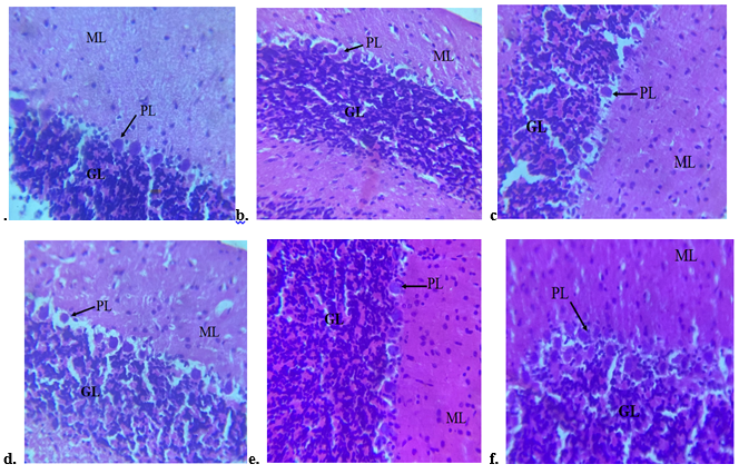
The photomicrographs of the cerebellum obtained after histological analysis are presented in Figure 3 for Hematoxylin and Eosin stain and Figure 4 for Cresyl Fast Violet stain.

Figure 3 Photomicrographs of Haematoxylin and Eosin (H & E) stain after administration of orijin bitters, aqueous extracts of Hibiscus sabdariffa and Zingiber officinale roscoe on the cerebellum of adult wistar rats.

Figure 4 Photomicrographs of cresyl fast violet (CFV) stain after administration of orijin bitters, aqueous extracts of Hibiscus sabdariffa and Zingiber officinale roscoe on the cerebellum of adult wistar rats.

Hematoxylin and Eosin (H & E) stain

The photomicrograph of the cerebellum section of the wistar rats in control group (Group 1) showed normal cytoarchitecture of the three layers of the cerebellum. The purkinje cells are prominent and the granular cell layer shows distinct granule cells (Figure 3a). Group 2, which exclusively received orijin bitters, had alteration and degeneration in the purkinje cells (Figure 3b). Group 3 administered orijin bitters and aqueous extract of Hibiscus sabdariffa calyces (200mg/kg/bw) and group 4 administered orijin bitters and aqueous extract of Hibiscus sabdariffa calyces (500mg/kg/bw) showed vacuolation and alteration present in the purkinje and granular cells (Figure 3c and 3d). Group 5, administered orijin bitters and aqueous extract of Zingiber officinale roscoe rhizome (200mg/kg/bw) (Figure 3e) and group 6 administered orijin bitters and aqueous extract of Zingiber officinale roscoe rhizome (500mg/kg/bw) (Figure 3f) showed restoration in the cytoarchitecture of the cerebellum.

(a) Group 1 rat administered distilled water only. There is normal cytoarchitecture of the three layers of the cerebellum. The purkinje cells are prominent and the granular cell layer shows distinct granule cells. (b) Group 2 rat administered orijin bitters only. There is presence of alteration and degeneration. The cells of the purkinje layer are scanty. There is slight distortion in granular layer. (c) Group 3 rat administered orijin bitters and 200mg/kg/bw of aqueous extract of roselle (Hibiscus sabdariffa) calyx. The purkinje and granule layers show alteration. There is vacuolation and decrease in the number of cells in the purkinje layer. (d) Group 4 rat administered orijin bitters and 500mg/kg/bw of aqueous extract of roselle (Hibiscus sabdariffa) calyx. There is presence of alteration and vacuolation in the cells of purkinje, molecular and granule layers. Cells in the purkinje layer are scanty. (e) Group 5 rat administered orijin bitters and 200mg/kg/bw of aqueous extract of ginger (Zingiber officinale) rhizome and (f) Group 6 rat administered orijin bitters and 500mg/kg/bw aqueous extract of ginger (Zingiber officinale) rhizome. The cytoarchiteture appears regenerated in all three layers. The regeneration \was better in (e) than (f). The cells in the molecular, purkinje and granular layer are prominent and more in number. PL= Purkinje cell layer, GL= Granular cell layer, ML= Molecular cell layer (H&E, x400).

Cresyl fast violet (cfv) stain

The photomicrograph of control group 1 rats showed normal histology of the cerebellum with high intensity of cresyl fast violet (CFV) stain in the cells indicating the presence of abundant nissl substance which plays a role in protein synthesis (Figure 4a). The cerebellum of group 2 (orijin bitters only) rats showed a slight reduction in intensity of CFV stain in the cells of the granular, purkinje and molecular layers when compared to group 1 indicating decrease of nissl substance which plays a role in protein synthesis (Figure 4b). The photomicrograph of the cerebellum of group 3 rats (orijin bitters and low dose aqueous extract of Hibiscus sabdariffa calyx) showed a moderate intensity of CFV stain when compared to group 1 (Figure 4c). The cytoarchitecture of group 4 (orijin bitters and high dose aqueous extract of Hibiscus sabdariffa calyx) rats cerebellum appeared distorted with a reduction in the intensity of CFV stain when compared to group 1 (Figure 4d). Group 5 rat (orijin bitters and low dose aqueous extract of Zingiber officinale rhizome) showed scanty appearance of cells in the granular layer and increased intensity of CFV stain (Figure 4e). Photomicrograph of cerebellum of group 6 rat (orijin bitters and high dose aqueous extract of Zingiber officinale rhizome) showed normal appearance of the cytoarchitecture with increase in the intensity of CFV stain (Figure 4f).

(a) Group 1 rat administered distilled water only, showed the normal histology of the three layers of the cerebellum. There is a high intensity of CFV stain in the cells indicating the presence of abundant nissl substance, which plays a role in protein synthesis observed in normal neurons. (b) Group 2 rat administered orijin bitters only. The cytoarchitecture appears distorted. There is a slight reduction in intensity of CFV stain in the cells of the granular, purkinje and molecular layers when compared to group 1 indicating the decrease of nissl substance. (c) Group 3 rat administered orijin bitters and 200mg/kg/bw of aqueous extract of roselle (Hibiscus sabdariffa) calyx. There is a moderate intensity of CFV stain in the cells of the granular, purkinje and molecular layers of the cerebellum when compared to group 1. (d) Group 4 rat administered orijin bitters and 500mg/kg/bw of aqueous extract of roselle (Hibiscus sabdariffa) calyx. The cytoarchitecture appears distorted with vaculation in purkinji layer cells. There is a reduction in the intensity of CFV stain in the cells of the purkinje, granular and molecular layers of the cerebellum when compared to group 1. (e) Group 5 rat administered orijin bitters and 200mg/kg/bw of aqueous extract of ginger (Zingiber officinale) rhizome. The cells in the granular layer are not abundant and there is an increased intensity of CFV stain in the cells of the purkinje, granular and molecular layers of the cerebellum. (f) Group 6 rat administered orijin bitters and 500mg/kg/bw aqueous extract of ginger (Zingiber officinale) rhizome. The cytoarchitecture appears normal. There is increase in the intensity of CFV stain in the cells of the granular, purkinje and molecular layers of the cerebellum. PL= Purkinje cell layer, GL= Granular cell layer, ML= Molecular cell layer (CFV, x400).

Discussion

Alcohol bitters enhance digestion and metabolic processes by promoting appetite, alleviating constipation, and improving overall digestive function34 as well as influence the pancreas and liver, facilitating cell proliferation, development, and the secretion of pancreatic enzymes.5 Hibiscus sabdariffa is an important crop as it leaves; calyces and seeds play a substantial socioeconomic role in African populations. The different organs of the plant are very rich in carbohydrates, proteins, lipids, calcium, ash, sodium, zinc, magnesium, phosphorus and potassium.35 Ginger is grown for both medicinal and culinary uses28 and is known to demonstrate biological functions that include scavenging free radicals, mitigating inflammation, inhibiting bacterial growth, and combating cancer/tumors.29,30 The polyphenolic contents is mostly responsible for its antioxidant activity.30 Numerous studies have also showed its memory-enhancing effect hence, it can be used to prevent and treat neurodegenerative illnesses.30 This study assessed orijin bitters and aqueous extracts of roselle calyces (Hibiscus sabdariffa) and ginger (Zingiber officinale roscoe) rhizome effects on the cerebellum of adult wistar rats.

The beam-walking test is used to assess the fine motor coordination and balance in rodents.31 There was a decrease in latency time after administration of orijin bitters, aqueous extracts of roselle (Hibiscus sabdariffa) calyces and ginger (Zingiber officinale roscoe) rhizome which indicated no statistical significance (P<0.05) when compared to before administration. This suggests that orijin bitters, aqueous extracts of roselle (Hibiscus sabdariffa) calyces and ginger (Zingiber officinale roscoe) rhizome pose no adverse effect to motor coordination and memory.

The levels of the antioxidants such as Malondialdehde (MDA), Catalase (CAT), Glutathione (GSH) and Superoxide dismutase (SOD) were evaluated to ascertain orijin bitters and aqueous extracts of roselle (Hibiscus sabdariffa) calyces and ginger (Zingiber officinale roscoe) rhizome effects on the cerebellum of adult wistar rats. Malondialdehyde (MDA) content slightly increased in the group administered with orijin bitters only but decreased in other experimental groups. These differences were not statistically significant. As a reactive aldehyde, malondialdehyde forms covalent bonds with biomolecules, leading to genotoxic and cytotoxic effects.36 Elevation of MDA level suggests increased oxidative stress, particularly lipid peroxidation resulting in various types of tissue damage.37,38

Antioxidant enzymes, including catalase (CAT), superoxide dismutase (SOD) and glutathione (GSH) content, were increased in experimental groups except in group two administered with orijin bitters only. These differences were not statistically significant. These increases in antioxidants enzymes could be because of the antioxidant properties of roselle (Hibiscus sabdariffa) calyces and ginger (Zingiber officinale roscoe) rhizome. According to research, Hibiscus sabdariffa is a recognized antioxidant source.39 However, the antioxidant effectiveness might change due to geographical differences affecting their chemical composition.40 Ginger also is a rich plant in antioxidants known for its polyphenol compounds, which mitigates serious oxidation-related illnesses, such as cognitive and cardiovascular diseases, cancer, diabetes mellitus, and arithritis.41

The histological findings revealed that the purkinje cells in the purkinje layer of the cerebellum of groups two (administered with orijin bitter only), three (orijin bitters and 200 mg/kg/bw of aqueous extract of roselle (Hibiscus sabdariffa) calyces, and four (orijin bitters and 500 mg/kg/bw of aqueous extract of roselle (Hibiscus sabdariffa) calyces were altered and degenerated. Changes in Purkinje cells' function have a major effect on the cerebellum as a whole because they are the only output neuron in the cerebellar cortex. 42 Cell regeneration was observed in the purkinje cell layers of the cerebellum in groups five and six, which received orijin bitters and 200 mg/kg/bw and orijin bitters and 500 mg/kg/bw of the aqueous extract of ginger (Zingiber officinale) rhizome, respectively.

Conclusion

The study finds that because of the alcohol content, orijin bitters may have the potential to be harmful to the cerebellum. Antioxidants found in aqueous extracts of roselle (Hibiscus sabdariffa) calyces and ginger (Zingiber officinale roscoe) rhizome may be able to lessen the toxicity resulting from orijin bitters intake. Further investigation on other parts of the brain can be performed to evaluate the effect of these drinks, to ascertain their short and long-term effects. Alternatively, research focusing on safe consumption guidelines on alcohol bitters as well as roselle and ginger extracts would be of great benefit to the public.

Acknowledgments

Special thanks goes to the Department of Anatomy, Bingham University, Karu, Nasarawa State for the opportunity to use its facilities.

Conflicts of interest

The authors declare that there are no conflicts of interest.

References

  1. Bostan AC, Dum RP, Strick PL. Cerebellar networks with the cerebral cortex and basal ganglia. Trends Cogn Sci. 2013;17(5):241–
  2. Roostaei T, Nazeri A, Sahraian AM, et al. The human cerebellum: a review of physiologic n Neurol Clin. 2014;32:859–869.
  3. Penhune VB, Steele CJ. Parallel contributions of cerebellar, striatal and M1 mechanisms to motor sequence learning. Behav Brain Res. 2012;226:579–
  4. Hoffmann D. Healthy Digestion: A natural approach to relieving indigestion, gas, heartburn, constipation, colitis and more. Storey Publishing. 2000.
  5. McDonald J. Blessed bitters. 2014:141–
  6. Johnson JT, Okafor EO, Ifeakor OD. Effects of various alcoholic bitters on the haematological parameters of albino Wistar rats. Asian J Biomed Pharm Sci. 2021;11(80):1–
  7. Nwachuku EO, Elekima I. Evaluation of the effect of action bitters (herbal mixture) on some biochemical indices of albino rats. Asian J Res Biochem. 2018;3(4):1–
  8. Chineke HN, Prosper A, Egenti NB. Effect of the sub–chronic administration of some commonly used herbal products on the liver enzymes, body weight, and feed intake of albino rats: any implication for public health. J Med Herbs Ethnomed. 2015;1(1):45–
  9. Igbokwe N, Madu SJ, Muazu J. The effect of Yoyo bitters on the dissolution of metformin tablets. J Anal Pharm Res. 2017;5(1):00130.
  10. Odey MO, Ibor OR, Ujong UP, et al. Modulation of biochemical responses in rats following consumption of some herbalized Nigerian alcoholic drinks. Afr J Biomed Res. 2019;22(3):353–
  11. Mahadevan N, Shivali, Kamboj P. Hibiscus sabdariffa An overview. Nat Prod Radiance. 2009;8(1):77–83.
  12. Olanrewaju E, Anyaehie B, Ezeh CO, et al. Effect of methanolic extract of Hibiscus sabdariffa in ethanol–induced hepatotoxicity. Afr J Biomed Res. 2017;20:99–
  13. Nurhuda IM, Narisya IM. Ethnomedicine, phytochemistry, and bioactivities of Hibiscus sabdariffa (Malvaceae). J Herb Med Pharmacol. 2022;11(4):451–460.
  14. Gomez–Leyva JF, Acosta LM, Muraira IL, et al. Multiple shoot regeneration of roselle (Hibiscus sabdariffa) from a shoot apex system. Int J Bot. 2008;4(3):326–
  15. Mera UM, Singh BR, Magaji MD, et al. Response of Roselle (Hibiscus sabdariffa) to farmyard manure and nitrogen–fertilizer in the semi–arid savanna of Nigeria. Niger J Basic Appl Sci. 2009;17(2):246–
  16. Mehdi D. Effect of mineral and organic fertilizers on the growth and calyx yield of roselle (Hibiscus sabdariffa). Afr J Biotechnol. 2012;11(48).
  17. Kone D, Yapo SS, Abeda ZH, et al. Effects of explants type and hormone combinations on callus induction at high production potential of phenolic compounds in Roselle (Hibiscus sabdariffa sabdariffa). Eur J Biotechnol Biosci. 2018;6(5):91–97.
  18. Karma BR, Chavan UD, Nimbalkar CA, et al. Rheometry of roselle (Hibiscus sabdariffa) seed oil. Int J Pure Appl Biosci. 2017;5(2):987–
  19. Ankrah NA, Tetteh AY, Nancy–Coffie N, et al. Characterization of roselle (Hibiscus sabdariffa) accessions in Northern Ghana by agro–morphological traits. J Agric Sci. 2018;10(9):64–
  20. Fasoyiro SB, Ashaye OA, Adeola A, et al. Chemical and storability of fruits flavoured (Hibiscus sabdariffa) drinks. World J Agric Sci. 2005;1(2):165–
  21. Amin I, Hainida EK, Halimatul SM. Roselle composition, protein quality and health benefits. Foods. 2008;2(1):1–
  22. Atta S, Diallo AB, Bakasso Y, et al. Micro–elements content in Roselle (Hibiscus sabdariffa) at different growth stages. Afr J Food Agric Nutr Dev. 2010;10(5):2615–
  23. Abou–Ellail M, Abou–El–Nasr TS, Ottai ME. Phenotypic and molecular characterization of new selected genotypes of Roselle in Egypt. Middle East J Agric Res. 2014;3(1):50–
  24. Atta S, Seyni HH, Bakasso Y, et al. Yield character variability in Roselle (Hibiscus sabdariffa). Afr J Agric Res. 2011;6(6):1371–
  25. Lepengue AN, Mouaragadja I, Cherif M, et al. Effet du chlorure de sodium sur la croissance de la roselle au Gabon. Afr Sci. 2009;3(5):97–110.
  26. Hassane SH. Etude de la variabilité du rendement de dix écotypes d’oseille (Hibiscus sabdariffa). Mémoire d’ingénieur présenté à la Faculté d’Agronomie de l’Université Abdou Moumouni de Niamey. 2005:49.
  27. Nadkarni K. Indian Materia Medica. Vol 1. 1993:1308.
  28. Baliga MS, Haniadka R, Pereira MM, et al. Update on the chemopreventive effects of ginger and its phytochemicals. Crit Rev Food Sci Nutr. 2011;51(6):499–
  29. Qian–Qian M, Xiao–Yu X, Shi–Yu C, et al. Bioactive compounds and bioactivities of ginger (Zingiber officinale Roscoe). Cent J. 2019;8(6):185.
  30. Darekar SU, Nagrale SN, Babar VB, et al. Review on ginger: chemical constituents & biological effects. J Pharmacogn Phytochem. 2023;12(6):267–
  31. Auza MI, Ibegbu A, Danborno B. Biochemical and histological assessment of the cerebellum in adult Wistar rats following the administration of aqueous extract of Nicotiana tabacum. Afr J Cell Pathol. 2017;9:28–
  32. Bancroft JD, Gamble M. Theory and practice of histological techniques. 6th ed. Elsevier Health Sciences.
  33. Nwogueze BC, Ezeonu CS, Nworie CO, et al. Changes in antioxidant enzymes activities and lipid peroxidase level in tissues of stress–induced rats. Biomed Pharmacol J. 2021;14(2):583–
  34. Anionye JC, Onyeneke EC, Eze GI. Evaluation of the effects of super bitters on albino rats. Int Digit Organ Sci Res. 2017;2(1):1–
  35. Kaka KB, Mamadou CM, Mahamadou BH, et al. Analysis of the value chain of Guinea sorrel (Hibiscus sabdariffa) in the urban community of Maradi, Niger. Int J Adv Res Biol Sci. 2024;11(10):41–
  36. Collodel G, Moretti E, Micheli L, et al. Semen characteristics and malondialdehyde levels in men with different reproductive problems. Andrology. 2015;3(2):280–
  37. Davey MW, Stals E, Panis B, et al. High–throughput determination of malondialdehyde in plant tissues. Anal Biochem. 2005;347(2):201–
  38. Dourerdjou P, Koner BC. Effects of different cooking vessels on heat–induced lipid peroxidation of different edible oils. J Food Biochem. 2008;32:740–
  39. Mohd–Esa N, Fong SH, Amin I, et al. Antioxidant activity in different parts of roselle (Hibiscus sabdariffa) extracts and potential exploitation of the seeds. Food Chem. 2010;122:1055–
  40. Ochani PC, D’Mello P. Antioxidant and antihyperlipidemic activity of Hibiscus sabdariffa leaves and calyx extracts in rats. Indian J Exp Biol. 2009;47(2):24–35.
  41. Sindhi V, Gupta V, Sharma K, et al. Potential applications of antioxidants: a J Pharm Res. 2013;7(10):1016–1021.
  42. Juliana R, Kelvin K, Alastair W. Purkinje cell pathology and loss in multiple sclerosis cerebellum. Brain Pathol. 2014;25(6):692–
Creative Commons Attribution License

©2025 David, et al. This is an open access article distributed under the terms of the, which permits unrestricted use, distribution, and build upon your work non-commercially.