Submit manuscript...
MOJ
eISSN: 2574-9722

Biology and Medicine

Case Report Volume 1 Issue 1

Goldenhar syndrome: a case report with review of literature

Anusha Rangare Lakshman, Subhas Babu G, Renita Lorina Castelino, Chaithra Kalkur, Nilofer Halim

Department of Oral Medicine and Radiology, Century International Institute of Dental Sciences and Research Centre, India

Correspondence: Anusha Rangare Lakshman, Department of Oral Medicine and Radiology, Century International Institute of Dental Sciences and Research Centre, Kerala, India

Received: April 15, 2017 | Published: May 5, 2017

Citation: Lakshman AR, Subhas BG, Castelino RL, et al. Goldenhar syndrome: A case report with review of literature. MOJ Biol Med. 2017;1(1):18–20. DOI: 10.15406/mojbm.2017.01.00005

Download PDF

Abstract

Goldenhar syndrome is a rare congenital anomaly involving the first and second branchial arches. It has been reported with the incidence between 1:3500 and 1:5600, with a male: female ratio of 3:2. The exact etiology is unknown. Most of the cases have been sporadic. This paper presents a rare case of Goldenhar syndrome in a 6 year old boy reported to us for the ear prosthesis.

Keywords: goldenhar syndrome, hypoplasia of malar bone, facial palsy, ear tags, ocular dermoids

Introduction

Goldenhar- Gorlin syndrome is also known as facio-auriculo-vertebral dysplasia, unilateral craniofacial microsomia, first arch syndrome, first and second branchial arch syndrome, unilateral mandibulo facial dysostosis, unilateral intrauterine facial necrosis, auriculo-branchiogenic dysplasia, facio-auriculo-vertebral malformation complex.1,2 We are reporting a case of Goldenhar syndrome in a 6 year old boy with ear deformities, ocular dermoids, facial paralysis, mental retardation and skeletal abnormalities with hypoplasic malar and maxillary bone.

Case report

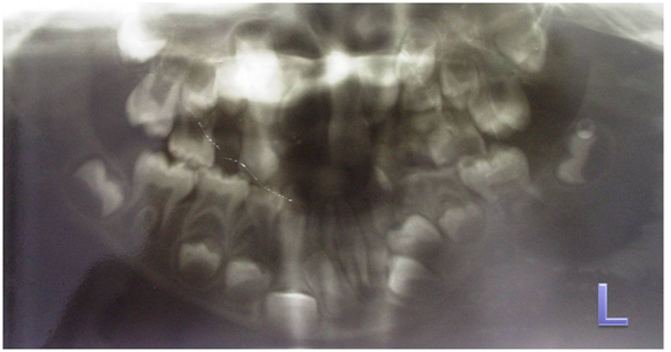
A 6 year old male patient, born of non consanguineous marriage, presented to our department with the complaint of deformed left ear since birth. It was associated with decreased hearing. Medical history revealed cleft palate surgery at the age of 1 year. The child was born of a full-term normal delivery and there was no history of any maternal illness during the pregnancy. But the child was cyanotic at the time of birth. All other family members were normal. Personal history showed normal bowel and bladder habits, undisturbed sleep. On General Examination, he was conscious and cooperative but had reduced grasping power and learning skills. Vital signs were within normal limits with no peripheral signs. Altered posture was noticed as the shoulder levels were not at same level (Figure 1). On extra oral examination, facial asymmetry was detected due to hallowing of left cheek and hypoplasia of left malar region, hypoplasia of maxillary bone and prognathic mandible (Figure 2). Facial profile was straight and leptoprosopic facial form was noticed. Deformed left ear and ear tags were seen on the right side (Figure 3). Hypertelorism was present. Ocular changes showed whitish area near outer canthus of both eyes approximately measuring 1X1cms suggestive of epibulbar dermoids on both sides (Figure 4). Cranial nerve examination revealed left facial nerve paralysis as he was unable to raise his eyebrows, no wrinkles on the forehead and unable to blow the cheeks on left side. On Intraoral Examination, palatal scar noticed suggestive of previous surgery for cleft palate and hard tissue examinations showed multiple root stumps and Angle’s class III malocclusion. The orthopantomograph showed mixed dentition (Figure 5) and the lateral cephalograph revealed malar and maxillary hypoplasia (Figure 6). We diagnosed the patient as a case of Goldenhar syndrome on the basis of multiple accessory tragi, ocular dermoids, hypoplastic malar process, facial nerve paralysis, mental retardation and skeletal abnormalities. Patient was referred for auricular surgery followed by ear prosthesis replacement.

Figure 1 Altered posture as the shoulder levels were not at same level.

Figure 2 Hypoplasia of left malar and maxillary process and left deformed ear.

Figure 3 Accessory ear tags in the preauricular region on right side.

Figure 4 Ocular changes showing dermoids in the conjunctiva of left eye.

Figure 5 Orthopantamograph showing mixed dentition.

Figure 6 Lateral cephalograph showing hypoplastic malar and maxillary bone.

Discussion

Oculoauricular dysplasia, consisting of preauricular appendages, fistulas, and epibulbar dermoids, was first described in 1952 by the Swiss ophthal mologist, Maurice Goldenhar Gorlin et al.1 included vertebral anomalies as signs of the syndrome and suggested the name Oculo Auriculo Vertebral (OAV) dysplasia for this condition. Smith (1978) used the term facio-auriculo-vertebral sequence to include both Goldenhar syndrome and hemifacial microsomia.2

Goldenhar syndrome is a condition with a prevalence ranging from 1:3,500 to 1:7,000 live births, and a male-female ratio of 3:2.2 Although most cases are sporadic, familial occurrences have been observed.3 The etiology of GS remains unknown. Recently, Hartsfield.4 reviewed the literature and suggested that GS is resulted of some type of vascular perturbation and/or neural crestopathy during a critical time of embryogenesis. Although autosomal dominant, autosomal recessive and multifactorial inheritance patterns have been reported in the literature, most of GS cases are sporadic.

Principal deformities of the Goldenhar syndrome are often combined with various malformations, such as:

  1. Cleft lip and/or palate tongue cleft, unilateral tongue hypoplasia, and parotid gland aplasia.
  2. Rib anomalies and anomalies of the extremities.
  3. Congenital heart disease (ventricular septal defects), anomalies of the urogenital and gastrointestinal system (ectopic kidneys, uretropelvic junction obstruction, and imperforate anus), anomalies of the central nervous system (occipital encephalocele), and anomalies of the larynx and lungs (tracheoesophageal fistula, esophageal atresia)
  4. Complex retardation of mental development.2
  5. In the present case, cleft palate, skeletal abnormalities, facial paralysis, mental retardation, hypoplasia of malar and maxillary process were noticed.

Other syndromes associated with multiple preauricular tragi include Treacher-Collins syndrome, Wolf-Hirschhorn syndrome, Nager's acrofacial dysostosis, Wildervanck syndrome (cervicooculoacoustic syndrome), Townes-Brocks syndrome and Delleman syndrome.5,6 Treacher Collins syndrome is associated with maxillary and mandibular hypoplasia but is not associated with ocular and aural anomalies.7

The treatment for this syndrome varies with age and systemic associations. But the main concern is for cosmetic purpose in uncomplicated cases. Reconstruction can be done with rib grafts in patients with mandibular hypoplasia and an underdeveloped maxilla can be lengthened by a bone distraction device. Reconstruction surgeries of the external ear may be performed at the age of 6 to 8 years. In patients with milder involvement, jaw reconstruction surgeries can be done in the early teens; epibulbar dermoids should be surgically excised.7,8Structural anomalies of the eyes and ears can be corrected by plastic surgery.7 In otherwise uncomplicated cases without any systemic associations, Prognosis of the disease is good.

Acknowledgements

None.

Conflict of interest

The author declares no conflict of interest.

References

Creative Commons Attribution License

©2017 Lakshman, et al. This is an open access article distributed under the terms of the, which permits unrestricted use, distribution, and build upon your work non-commercially.