Submit manuscript...
MOJ
eISSN: 2574-9722

Biology and Medicine

Case Report Volume 8 Issue 4

Mycetoma-presentation of a case

Annia Moraga Rodríguez,1 Alina Moraga Rodríguez,1 Alina Rodríguez Griñan2

1Department of Medical Sciences, University of Medical Sciences, Santiago de Cuba, Cuba
2Saturnino Lora Torres Provincial, Clinical-Surgical Teaching Hospital, University of Medical Sciences, Santiago de Cuba, Cuba

Correspondence: Annia Moraga Rodríguez, Department of Medical Sciences, University of Medical Sciences, Santiago de Cuba, Cuba

Received: November 02, 2023 | Published: November 20, 2023

Citation: Rodríguez AM, Rodríguez AM, Griñan AR. Mycetoma-presentation of a case. MOJ Biol Med. 2023;8(4):173-175. DOI: 10.15406/mojbm.2023.08.00205

Download PDF

Abstract

The clinical case of a 45-year-old HIV-positive male patient is described who came to the clinic on several occasions due to infectious lesions in his left leg, receiving multiple treatments with antibiotics, which did not resolve with this therapy and now presents an increase in volumeof the left leg with a painless subcutaneous mass with multiple fistulas and an exudate containing grains that extended throughout the dorsum of the foot with scaly areas, for which an infracondylar amputation was performed, evolving satisfactorily and without complications.

Keywords: infectious lesions, fistulas, grains

Introduction

Mycetoma is a chronic, localized, non-contagious inflammatory pseudotumor that progressively affects cutaneous, subcutaneous and bone tissue, producing deformation and destruction of the invaded tissues with consequent disability and high morbidity. The causal agent forms micro colonies, which to the naked eye look like yellowish-white, black or red granules and which are eliminated through fistulous tracts. The syndrome: swelling, presence of fistulas and granules is considered pathognomonic of a mycetoma. The injury may extend to deeper tissues and bones, resulting in local structural deformity and functional impairment.

Etiological agents. There are two fundamental groups of mycetoma-producing microorganisms:

  • Eumycetes or true fungi.
  • Bacteria of the order Actinomycetales. Currently it is considered that 23 species of true fungi and 10 species of actinomycetes.1,2 It occurs in tropical and subtropical areas characterized by short rainy seasons and long dry seasons that favor the growth of thorny shrubs. Its global burden is unknown, but it is an endemic disease in Africa, Latin America, Asia and Europe. Mycetoma causes high morbidity and has numerous negative consequences, both medical, health and socioeconomic, for patients, communities and health services in affected areas.

People living in or traveling to endemic areas should be advised not to walk barefoot, as footwear and clothing in general can protect against puncture wounds.3 The disease commonly affects young adults, mostly men between the ages of 15 and 30 in developing countries. People of low socioeconomic status and manual workers, such as farmers, day laborers and shepherds, are the most affected.4 Mycetoma has numerous adverse medical, health, and socioeconomic impacts on patients, communities, and health authorities. There is no precise data available on its incidence and prevalence. However, early detection and treatment are important to reduce morbidity and improve treatment outcomes. Mycetoma was first reported in the mid-19th century in Madurai, India, and was therefore initially called Madura foot.2 Currently, there is no precise data on its incidence and prevalence. However, early detection and treatment are important to reduce morbidity and improve treatment outcomes. This article aims to present an unusual clinical case with a favorable course for the patient and that serves for the early diagnosis of this entity in future patients with similar symptoms.

Case presentation

A 45-year-old HIV-positive male patient who came to the clinic on several occasions due to infectious lesions on his left leg, receiving multiple treatments with antibiotics, did not resolve with this therapy and now has an increase in volume.of the left leg with a painless subcutaneous mass with multiple fistulas and an exudate containing grains that extended throughout the dorsum of the foot with scaly areas, for which an infracondylar amputation was performed, evolving satisfactorily and without complications.

Complementary exams

Leukogram- 8.6x10 U/L

Neutrophils- 75.3%

Lymphocytes-22.3%b

Monocytes- 5.00%

Eosinophils-0.25%

Basophils - 0.10%

Red blood cell count-3.90 x10 U/L

Hemoglobin – 10.0g/ dL

Hematocrit-34.0%

Platelet count – 340x10 U/L

Urea- 2.90 mmol/L

Creatinine- 46.00 umol/L

Blood glucose- 7.00 mmol/L

CD 4%-22.22%

Absolute CD4-260 cell count

HIV Viral Load-Minor 400

Microbiology

Gram stain- Non-sporulated branched-chain Gram-positive bacilli

Zhiel Neelsen- Showed his resistant acid character

Mc Conkey Agar – A growth of the causal agent was obtained after 72 hours, a dry, yellowish-white rough colony.

Macroscopic

Received infracondylar amputation of the left leg with a painless subcutaneous mass with multiple fistulas and an exudate containing pimples that extended over the entire dorsum of the foot with scaly areas.

Pearly white lesion covering the skin (Figure 1).

Figure 1 Pearly white lesion covering the skin.

Histology

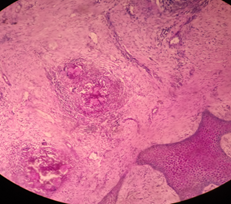
Histopathology is useful in confirming the clinical diagnosis and distinguishing eumycetomas from actinomycetomas, but it does not identify the causative agent. Histological sections reveal a granuloma containing grains located in the microabscesses (Figure 2).5 Grains can be visualized with hematoxylin-eosin (H&E) staining and by special staining techniques, such as periodic acid-Schiff (PAS) and Grocott stain. Actinomycetes can also be analyzed using the Gram technique. In eumycetoma, grains are characterized by clusters of radially branched hyphae that occasionally form vacuoles. Long, clear hyphae can be observed, surrounded by a basophilic component (H&E stain). The grains are round, sometimes oval or kidney-shaped (Figure 3).

Figure 2 Granulomas containing localized grains.

Figure 3 Actinomycetic granuloma.

Comments

In eumycetoma the lesion grows slowly over a long period, with margins clearly defined by an encapsulated fibrous edge, while in actinomycetoma, the lesion is more inflammatory, more destructive, and invades the bone at an earlier period. This is possibly due to the enormous amount of caseinases, proteases and peptidases encoded in the genome of the causative actinomycetes.6 The tendons and nerves remain spared until very late in the disease process; This may explain the rarity of trophic and neurological changes even in patients with long-standing mycetomas. The absence of trophic changes can be explained by an adequate blood supply to the infected area. Epidemiology sources and routes of infection. The causative microorganisms live as saprophytes in nature, in the soil or in plant remains and enter the body through some trauma, usually a thorn, although they can also do so through wood chips, stones, metal instruments, insect stings, bites. from animals or contamination with soil Predominates in the male sex, with a 4:1 ratio. The average age of presentation is between 20 and 50 years, although most cases present with advanced disease, due to the scarcity of rural health facilities and economic limitations to seek care.7

This entity most frequently affects farmers who walk barefoot or in sandals, in cane carriers it affects the back Lucio Vera Cabrera and some authors consider it an occupational dermatosis, with the lower limbs being its preferred site in most cases.8

Distribution

The organisms causing mycetoma are distributed throughout the world but are endemic in tropical and subtropical areas in the so-called 'mycetoma belt, which includes, among others, the Bolivarian Republic of Venezuela, Chad, Ethiopia, India, Mauritania, Mexico, Senegal, Somalia, Sudan, Thailand and Yemen. The number of reported cases differs by country, however, at the moment, the majority of cases have been reported in Mexico and Sudan.2

Clinical picture

In general, the infection remains localized and constitutional disturbances are rare, but when they occur they are generally due to secondary bacterial infection of the open fistulous tracts and generalized immunosuppression.

The condition slowly evolves towards softening of the affected area characterized by its intense rebelliousness and potential disability as described by Liliana Olivares,9 where one or more fistulas subsequently open through which a serous or sero-bloody or seropurulent secretion drains. the characteristic granules. This fistula can heal permanently (hypo- or hyperpigmented fibrous scars appear), it can give false healing or it can remain draining. As the disease progresses, new fistulous tracts open. They can invade other structures, muscle fascia and bones. These microorganisms are considered soil contaminants,9 especially in tropical areas. It was described in 1842 - Gill in Madura, India first described this clinical syndrome which he called foot tumor. and it has an incubation period of a few weeks to several months. Mycetoma is usually painless in nature; It has been suggested that mycetoma produces substances that have an anesthetic action. In the late stages of the disease, pain may become negligible due to nerve damage from the tense reaction of fibrous tissue, endo-arteritis obliterans, or poor vascularization of the nerves. Pain at the site of mycetoma is reported in 20% of patients and is commonly produced by secondary bacterial infection or temporarily when a new fistula is about to open towards the surface of the skin.1 Mycetoma can produce many distortions, deformities and disabilities and is due to structural damage that includes bone destruction or periostitis, loss of function and atrophy due to disuse of the affected limb.

Diagnosis

The diagnosis of mycetoma is based on the clinical presentation and identification of the causative organisms which can be detected by direct examination of the pimples discharged from the paranasal sinuses. Samples can be obtained by fine needle aspiration (FNA) or surgical biopsy.10 Although grain microscopy is useful in detecting the causative organism, it is important to identify them further by cultivation, but even then misclassification occurs. Identification by polymerase chain reaction (PCR) is the most reliable method but has a high cost and lacks standardized techniques. There is no point-of-care rapid diagnostic test that can be used in the field. Imaging techniques, including x-rays, ultrasound, MRI, and CT, can be used to evaluate the extent of injuries and plan clinical treatment.

Prevention and control

Mycetoma is not a notifiable disease (a disease that is required by law to be reported) and a global surveillance system is still being developed. There are still no mycetoma control programs, except in Sudan. Preventing infection is difficult, but people living in or traveling to endemic areas should be advised not to walk barefoot.8 As Sanjay G. Revankar11 has stated, this infection progresses slowly over several months or years and gradually spreads to the muscles, tendons, fascia and bones adjacent to those it destroys. Infection caused by aerobic bacteria (actinomycetoma) and by true fungi (eumycetoma).12

Who and global response

To build national capacities on mycetoma, the Government of Sudan and WHO convened the First International Training Workshop on Mycetoma in Khartoum from 10 to 14 February 2019. Drawing on the experience of the Mycetoma Research Center in Khartoum, the workshop, attended by approximately 70 personal health professionals from many countries where mycetoma is endemic. It provided a unique opportunity to share experiences and standardize practices related to diagnosis, treatment and surveillance. The workshop was followed by the Sixth International Conference on Mycetoma in Khartoum from 15 to 17 February 2019. The Conference adopted the 'Khartoum Call to Action on Mycetoma' which calls on a wide range of actors to take political and specific public health measures to address the burden of mycetoma.

Recommendations

Developing a public health strategy for the prevention and control of mycetoma requires the collection of epidemiological data on the burden of the disease, investment in research and product development, so that prevention, diagnosis, early treatment and cost-effective case management can be practiced in low-resource settings.

Currently, active case finding with early diagnosis and treatment with currently available tools is the most appropriate approach to reduce the morbidity and disability of Mycetoma disease. However, important public health actions are required to address the burden of mycetoma. Some of these include:

  • Include mycetoma in national surveillance systems and establish a registry in affected countries
  • Integration of mycetoma detection within the skin NTD approach to improve early detection
  • Improve access to diagnoses and medications and refine case management protocols;
  • Strengthen preventive measures (for example, wearing shoes) to reduce the incidence
  • Reinforce awareness among affected communities and develop the capacities of health personnel. Currently, the Drugs for Neglected Diseases Initiative (DNDi) and other partners are investigating the safety and effectiveness of fosravuconazole in the treatment of fungal mycetoma in Sudan. In addition to a higher expected cure rate, if successful, adoption of the results of this treatment would allow for a shorter therapeutic protocol, boosting treatment compliance and saving financial resources.

Acknowledgments

None.

Conflicts of interest

The authors declare that there is no conflict of interest.

Funding

None.

References

  1. Mycetoma.
  2. Mycetoma. 2022.
  3. Sherry R. Actinomycotic mycetoma caused by Actinomadura maturee.2012.
  4. Lucio Vera Cabrera. Mycetoma Differential Diagnoses. Infectious Diseases. 2021
  5. Patrick Emanuel. Mycetoma pathology Dermatopathologist. 2013.
  6. Mycetoma. Mycology.
  7. Maricel M. Mycetoma Pathology Chair. 2015
  8. Juan Vera Cabrera, Carmen A. Molina Torres. Mycetoma. Mexican Association of Medical Mycology.
  9. SM Barry. Micetoma. Revista argentina de dermatología. 2009;90(1):50–62.
  10. Mariana RT, Miradi ZR, Jesus SR. Actinomycotic mycetoma. Presentation of a case. Rev Meduas. 2020;10(2).
  11. Sanjay G. Revankar. Mycetoma, mature foot. 2021
  12. Serrano JA, Sandoval AA. Mycetoma review. Journal of the Venezuelan Society of Microbiology. 2003;23(1):70–79.
Creative Commons Attribution License

©2023 Rodríguez, et al. This is an open access article distributed under the terms of the, which permits unrestricted use, distribution, and build upon your work non-commercially.