Submit manuscript...
MOJ
eISSN: 2574-9722

Biology and Medicine

Case Report Volume 7 Issue 3

Myoma previa during cesarean section: a case report and review of the literature

Sergei Slavov,1,2 Veselin Diavolov,1 Dimitar Mitev,1,2 Radko Tocev,1 Tsvetelina Popova1,2

1University Hospital of Obstetrics and Gynecology “Maichin Dom”, Sofia, Bulgaria
2Department of Obstetrics and Gynecology, Medical University, Sofia, Bulgaria

Correspondence:

Received: July 10, 2022 | Published: July 19, 2022

Citation: Slavov S, Diavolov V, Mitev D, et al. Myoma previa during cesarean section: a case report and review of the literature. MOJ Biol Med. 2022;7(3):85-86. DOI: 10.15406/mojbm.2022.07.00171

Download PDF

Abstract

Uterine fibroids are one of the most common pathologies in women of reproductive age, related not only to the achievement, but also to the course of pregnancy. In addition, in some cases it has a significant impact on the method of delivery and is associated with certain complications during labor and in the postpartum period. Myoma previa is a rare complication in pregnant women with uterine fibroids. We present a case of a patient with myoma previa during pregnancy. Due to the presence of a large protruding myoma in the patient, a decision was made to deliver by cesarean section. A live fetus was born and a large myoma in the lower uterine segment was found. Due to the suspicion of necrotic changes in the myoma, which would lead to complications in the postpartum period, a myomectomy was performed without complications. Subsequent histological examination revealed necrotic changes in the fibroid. The postpartum period in the woman passed without deviations.

Keywords: Myoma previa, Cesarean section, Myomectomy

Introduction

Myoma(fibroid)is a benign smooth muscle cell tumor of the uterus, that is very common during reproductive age of women. With the postponement of reproductive plans for later age, cases of fibroids during pregnancy are becoming more common. Most fibroids do not show significant growth during pregnancy, and of those that do show growth, it is usually limited in the first trimester of pregnancy. During puerperium, most fibroids do not change significantly in size, and some shrink.1 Most pregnant women with fibroids do not develop clinical symptoms, while 10-30% of cases develop complications during pregnancy, delivery or in the puerperal period.2,3 In some cases, necrosis of the myoma may occur, especially in the second half of pregnancy, which is a serious complication and is most often associated with pain. These changes can be detected with the appearance of echo-heterogeneous structure in the myoma during ultrasound examination.4

Case report

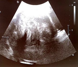
A 40 years old pregnant patient with two vaginal term deliveries in the past presented for delivery in 37 week of gestation. The physical examination revealed a height of fundus uteri corresponding to the term of amenorrhea, strongly displaced to the left froma myoma cervix without dilatation and presenting part of the fetus, which was not reached. Ultrasound examination revealed eutrophic fetus in breech presentation and the presence of a large myoma in the isthmic part of the uterus with a measured maximum diameter of 11.3cm (Figure 1).

Figure 1 Ultrasound image of the myoma.

The patient reported moderate pain in the fibroid area for about 2weeks. Paraclinical studies have established normal hemoglobin levels and no leukocytosis. The patient was referred for cesarean delivery at 37weeks of gestation due to myoma previa, which poses a risk of obstructed labor. The indications for cesarean section were myoma previa, breech presentation and age of the woman.After preoperative consultations with an internist and anesthesiologist, a cesarean section was performed. The abdomen was opened with a Pfannenstiel incision. Due to the presence of a large myoma in the isthmic part (Figure 2), the uterus was opened in the corporal part with a longitudinal incision (classical cesarean section). A male newborn was delivered without difficulty with weight 2770 g. Apgar score of the newborn was 9 at the first minute. After removal of the placenta located on the posterior uterine wall, a standard dose of 10 IU Oxytocin was administered as a bolus intravenously and another 20 IU Oxytocin in 500ml. 0.9% normal saline for 1hour. Because during macroscopic examination of the myoma, which was estimated to be 15cm in diameter intraoperatively, necrotic changes were suspected, myomectomy was performed. The myoma was removed and its bed was sutured with single stitches. Total blood loss was estimated at about 800 ml. which did not require a blood transfusion during and after surgery. The postoperative period passed without complications.The histological result confirmed the diagnosis - myoma with evidence of necrosis.

Figure 2 Intraoperative image of the myoma after delivery of the fetus.

Discussion

The most important factors associated with fibroids during pregnancy are their number, size and location, as well as their relationship with the place of implantation of the placenta.5 Most authors believe that fibroids grow during pregnancy due to increased hormonal stimulation and blood supply. The average increase in myomas during pregnancy is 12%, with a very small number increasing by more than 25%.4 In general, it is very difficult to predict the growth of fibroids during pregnancy. The sharp increase in the size of the fibroids is associated with one of the most serious complications during pregnancy - red degeneration of the myoma. It is observed in about 10% of cases and is accompanied by pain, low-grade fever, nausea or vomiting. The reason for this occurrence is the necrotic changes in the myoma related to reduced blood supply due to increased growth during pregnancy.

There is still no consensus on the behavior of fibroids during pregnancy and delivery, as well as on the mode of delivery in such patients. According to some authors, the risk of cesarean section in patients with uterine fibroids is twice as high as in patients without fibroids.6 The presence of large myomas in combination with other complications of pregnancy often leads to a delivery with cesarean section.7 When the fibroid originates from the isthmus or cervix of the uterus, it can often stand between the presenting part of the fetus and the birth canal (myoma previa) and in cases with large fibroids it can lead to obstructed labor. Then the labor has to be done by cesarean section, which bypasses the birth canal.

The question of whether to perform a myomectomy during a cesarean section has been widely discussed in the literature and has not been unequivocally answered.8 Myomas that cause clinical symptoms are thought to be suitable for removal during cesarean section.The same is true for those located in the lower uterine segment.9,10 The training requires developing a specific practical skills and competencies.11-13A study showed that myomectomy during cesarean section is a feasible procedure without any serious complications, except increased blood loss that does not require blood transfusion.14

Conclusion

Fibroids and pregnancy are a common combination in clinical practice. The presence of myoma previa often requires cesarean delivery due to obstruction of the birth canal, especially in cases with large myomas. Due to the increased risk of complications in the postpartum period, in some cases it is appropriate to perform a myomectomy during a cesarean section.

Acknowledgments

None.

Conflicts of interest

The author declares no conflict of interest.

Funding

None.

References

  1. Aharoni A, Reiter A, Golan D, et al. Patterns of growth of uterine leiomyomas during pregnancy. A prospective longitudinal study. Br J Obstet Gynaecol. 1988;95(5):510–513.
  2. Vilos GA, Allaire C, Laberge PY, et al. The management of uteine leiomyomas. J Obstet Gynaecol Can. 2015;37(2):157–178.
  3. Deveer M, Deveer R, Engin–Ustun Y, et al. Comparison of pregnancy outcomes in different localizations of uterine fibroids. Clin Exp Obstet Gynecol. 2012;39(4):516–518.
  4. Cook H, Ezzali M, Segars JH, et al.The impact of uterine leiomyomas on  reproductive outcomes. Minerva Ginecol. 2010;62(3):225–236.
  5. Parazzini F, Tozzi L, Bianchi S. Pregnancy outcome and uterine fibroids. Best Pract Res Clin Obstet Gynaecol.2016;34:74–84.
  6. Degani S, Tamir A, Leibovitz Z, et al. Three–dimensional power Doppler in the evaluation of painful leiomyomas and focal uterine thickening in pregnancy. Int J Gynaecol Obstet. 2007;99(2):122–126.
  7. Al–Serehi A, Mhoyan A, Brown M, et al. Placenta accreta: an association with fibroids and Asherman syndrome. J Ultrasound Med. 2008;27(11):1623–1628.
  8. Song D, Zhang W, Chames MC, et al. Myomectomy during cesarean delivery. Int J Gynaecol Obstet. 2013;121(3):208–13. 
  9. Ghaemmaghami F, Karimi–Zarchi M, Gharebaghian M, et al. Successful Myomectomy during Cesarean Section:Case Report & Literature Review. Int J Biomed Sci. 2017;13(2):119–121.
  10. Ingilizova G, Kovachev E, Ninova M. Clinical features of pregnancy and delivery after IVF. MOJ Women’s Health.2021;10(4):91‒95.
  11. Maslarski I, Stoikov V, Ingilizova G. The anatomy education during Covid 19 and the future challenges. MOJ Biology and Medicine. 2021;6(4):134–137.
  12. Maslarski I, Ingilizova G. Model of integration in the prevention of psychoactive dependence during the study of anatomy. MOJ Biology and Medicine. 2021;6 (3):130–132.
  13. Maslarski I, Yaneva G, Ingilizova G. Influence of ossification centers on the appearance of wormian bones and sutures. MOJ Anat Physiol. 2019;6(5):171‒173.
  14. Simsek Y, Celen S, Danisman N, et al. Removal of uterine fibroids during cesarean section:a difficult therapeutic decision. Clin Exp Obstet Gynecol. 2012;39(1):76–8.
Creative Commons Attribution License

©2022 Slavov, et al. This is an open access article distributed under the terms of the, which permits unrestricted use, distribution, and build upon your work non-commercially.