Submit manuscript...
MOJ
eISSN: 2574-9722

Biology and Medicine

Research Article Volume 3 Issue 5

Production, purification and biochemical characterization of dextransucrase from Lactic acid bacteria isolated from sauerkraut

Arabinda Ghosh, Mercy Terangpi, Subham Roy

Department of Botany, Gauhati University, India

Correspondence: Dr Arabinda Ghosh, Assistant Professor, Microbiology Division, Department of Botany Gauhati University, Guwahati, Assam, India-781014, Tel +91-8638200065

Received: July 28, 2018 | Published: November 14, 2018

Citation: Ghosh A, Terangpi M, Roy S. Production, purification and biochemical characterization of dextransucrase from Lactic acid bacteria isolated from sauerkraut. MOJ Biol Med. 2018;3(4):196–199. DOI: 10.15406/mojbm.2018.03.00098

Download PDF

Abstract

In this study Lactobacillus sp. has been isolated form Sauerkraut for the production of dextransucrase. The fermentation process is continued by the mixed activity of lactic acid bacteria (LAB) present in the medium. Morphological, physiological and biochemical analysis deciphered the presence of acid producing bacteria belongs to the genera Lactobacilli. Characteristically the isolates were catalase producing but oxidase negative significant to the Lactobacilli genera. The isolated bacterium was tested to be positive in the production of dextransucrase in Tsuchiya medium. Maximum protein production containing dextransucrase was achieved to be 400g/l which is significantly high in terms of concentration. Partially purified enzyme exhibited Vmax=2.9±0.2µmole/min, Km=1.1±0.2mg/ml and Kcat=2.75s-1 and the enzyme followed first order rate kinetics. Better exploration strategy for higher dextransucrase activity from Lactobacillus sp. by inducing operon to higher dextran production can be used later as potent nutraceuticals.

Keywords: sauerkraut, Lactobacillus, Tsuchiya medium, dextransucrease

Introduction

Sauerkraut or sour cabbage is a fermented plant product of cabbage in the presence of 2 to 3 % (w/v) salt in which natural population of lactic acid bacteria (LAB) plays a major role. It is also one of the greatest prebiotic foods. The carbohydrates present in cabbage are fermented by the mixed activity of (LAB) like Leuconostoc mesenteroides, Lactobacillus brevis and L. plantarum. Presence of 2.2 to 2.8% (w/v) NaCl in sauerkraut preparation plays important role which does not allow the growth of initial spoilage by microorganisms. Pseudomonas, through the procedure of osmosis removes moisture lead to dampness and the destroy the cabbage from the frame the saline solution in which maturation of the organism happens whereas, LAB (L. brevis and L. Plantarum) helps in keeping up the surface of the cabbage by pulling back water and repressing endogenous pectolytic compounds which mollify cabbage followed by maturation.

The extracellular and cell bound compounds introduce in the microorganisms to create a scope of exopolysaccharide which is assumed to be a noteworthy part in security maker of cells from ominous conditions, these exopolysaccharides fill in as trophic digestion systems of cells and aides in collaboration of cells with different life forms. Dextransucrase (E.C.2.4.1.5) which is an extracellular compounds created by lactic acidic fermenting microscopic organisms of the genus Leuconostoc, Streptococcus and Lactobacillus. Dextran delivering lactic acid producing microscopic organisms have as of late dragged much attention because of enormous capability of production of dextransucrase. Earlier, dextransucrase protein production was evidenced the from Weissella sp.1 The impact of sucrose, corn soak alcohol and phosphate on dextransucrase production was studied in Leuconostoc mesenteroides strain NRRL B-512.2 In a study, it was revealed that among all the proclaimed purging techniques, fractionation by polyethylene glycol (PEG) was a powerful, quick and single step refinement strategy for dextransucrase from Leuconostoc mesenteroides.3 Moreover, polyethylene glycol (PEG) is a non-ionic hydrophilic polymer which specifically encourages high sub-atomic weight or total type of protein purifcation.3 In this study we unveiled the isolation of lactic acid bacteria from sauerkraut, making its pure culture and production and characterization of dextransucrase.

Materials and methods

The culture (sample) was isolated from sauerkraut prepared by fermenting the fresh cabbage collected from local market of Guwahati, Assam, India. The Chemicals and ingredients required for preparing MRS (DeMan, Rogosa and Sharpe) media are from Hi-Media Pvt. Ltd. All other reagents and chemicals required for the maintenance and enzyme production and biochemical characterization were procured from Hi-Media India Pvt. Ltd. India.

Isolation of microorganisms

Fermented cabbage of 100gm sauerkraut was ground to paste and mixed in 10ml of saline (0.9% w/v) homogenously in test tubes. Serial dilutions methods were made till the dilution factor 10-5. One hundred microliter from all the dilutions of sauerkraut from 10-0 to 10- 5 dilution was taken and spread plated on MRS agar plates with glucose as carbon source.4 The micro-aerophilic condition atmosphere was created by nitrogen purging and tightly packed the plated using parafilm and the plated were then incubated at 25°C for 24hours.

Identification of bacterial culture

Identification of bacterial isolates was done by recording the various biochemical activities as mentioned in following methods. The different biochemical tests with the bacterial culture by inoculating it into different media, slants and broth. The physiological and morphological identification of bacterial isolate was done using gram staining and endospore staining. The bacterial was tested for its ability to ferment carbohydrates as described earlier by Kandler and Weiss.5 From the overnight grown culture in MRS broth containing 2% (w/v) Glucose as carbon source, 50μl was transferred to 5.0ml liquid MRS medium lacking glucose but containing phenol red and other test carbohydrates 1% (v/v) were supplemented in final inoculums. Carbohydrates utilization test was performed to investigate whether the isolates can ferment lactose, sucrose, mannitol, and dextrose. The test media were incubated for 2 days at 30°C without shaking. The acid production was recorded between 24hr to 48hr. The acid production was indicated by a change in colour of the phenol red indicator from red to yellow. Amylase is an exo-enzyme that hydrolysis starch. Amylase production to degrade starch was tested by inoculating the bacterial isolate in MRS agar plated containing 1% (w/v) starch. The test is performed for the utilization of starch by the bacterial isolate isolated from sauerkraut in a starch agar media by using Iodine as an indicator. Other biochemical viz. Gelatin liquefication, indole production, citrate utilization, catalase and oxidase tests were performed and bacterial genus was identified using Bergey’s manual of systematic bacteriology.5

Production and purification of dextransucrase

The present knowledge on the characteristics of dextransucrase and its mode of action is based primarily on the important investigations of Hehre.6 The production of dextransucrase in sucrose broth cultures of LAB and its role in dextran synthesis was thoroughly explored in Tsuchiya medium.2

For the production of dextransucrase from the media components (w/v) Sucrose (5%), glucose as co-substrate, Tween 80 (0.1%), yeast extract (1.5%), peptone (2.0%) and K2HPO4 (1.5%) was mixed properly in 250ml Erlenmeyer in 150ml of media and sterilized by autoclaving. The isolate of the previous MRS broth culture of 1.5µl was then inoculated and incubated for 36hours at 30°C.

Purification of dextransucrase

The Dextransucrase enzyme catalyzes the synthesis of exopolysaccharide, dextran from sucrose. Majority of the dextrans are synthesized from sucrose by dextransucrase secreted mainly by bacteria belonging to genera Leuconostoc, Streptococcus and Lactobacillus. Among all the purification method, Polyethylene glycol (PEG) is an effective, rapid and single step purification method for dextransucrase.3 Dextransucrase was purified using PEG 800Da. Polyethylene Glycol 25% (v/v) was prepared and allowed to mixed properly in microwave for about 2mins. The prepared PEG was allowed to cool down and kept in refrigerator for about 30minutes to make it ice cold. Enzyme samples were taken in a centrifuge tube and it was centrifuged at 9,200rpm for 10mins at 4°C to separate the cells.

The crude dextransucrase (cell free) was purified by adding ice cold polyethylene glycol to obtain a final concentration of 25% (v/v). The mixture was kept at 4°C and the dextransucrase fraction was allowed to precipitate for 12 to 24hours. Fractionated dextransucrase was separated by centrifugation at 13,200rpm for 30minutes at 4°C. The supernatant (cell free extract) was analyzed for enzyme activity.

Determination of dextransucrase enzyme activity assay

The enzyme activity assay was carried out with 5% (w/v) sucrose as substrate in the 1ml reaction mixture. 1ml enzyme was taken and mixed with the above mixture. The enzymatic reaction was performed at 30°C for 30minutes in water bath. 2ml of the prepared DNS (3,5-Dinitrisolicyclic acid) reagent was added to the above mixture. The solution was mixed and heated for 10minutes in boiling water bath. The absorbance of colour developed was measured at 540nm on a UV–visible spectrophotometer. Enzyme activity was measured in standard SI unit (U/ml). One unit (U) of enzyme activity is the amount enzyme catalyzes 1µmol of substrate per minute under standard conditions. Kinetic properties of the Vmax, Km and Kcat were determined for dextransucrase from the isolate under optimum pH and temperature following above mentioned DNS method.

Results

Isolation of microorganisms

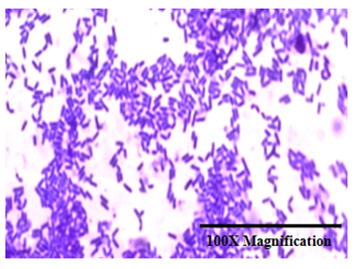
Initial 36hours of incubation the colonies on MRS agar medium appeared as large clear opaque colonies in an enhanced CO2 environment. The colonies appeared to be slimy, convex, entire white, opaque and no pigment shown producing with 1.2x107CFU/ml. Eight colonies (SC1-SC8) were further pure cultured in MRS agar slant supplemented with 1% (w/v) glucose. Morphologically and physiologically, the pure colonies observed under 100X magnification were appeared to be gram positive, long rod shaped non spore forming bacteria (Table 1) (Figure 1). Pure colonies were taken further for biochemical analysis. Biochemical analysis of carbohydrate utilization, starch hydrolysis (amylase production), gelatin hydrolysis, indole production, citrate test, catalase and oxdidase production were listed in Table 1. Test results were verified using Bergey’s manual of systematic bacteriology5 decipher all the pure colonies were belong to the genera Lactobacillus. Therefore, the pure colony was identified as Lactobacillus sp.

Isolate

Gram
staining

Endospore
staining

Lactose

Sucrose

Mannitol

Dextrose

Starch
hydrolysis

Citrate
utilization

Indole
production

Gelatin
liquefaction

Catalase

Oxidase

SC1

+

-

+

+

+

+

+

-

-

-

+

-

SC2

+

-

+

+

+

+

+

-

-

-

+

-

SC3

+

-

+

+

+

+

+

-

-

-

+

-

SC4

+

-

+

+

+

+

+

-

-

-

+

-

SC5

+

-

+

+

+

+

+

-

-

-

+

-

SC6

+

-

+

+

+

+

+

-

-

-

+

-

SC7

+

-

+

+

+

+

+

-

-

-

+

-

SC8

+

-

+

+

+

+

+

-

-

-

+

-

Table 1 Morphological, physiological and biochemical characteristics of pure isolated colonies from sauerkraut

+ = indicates positive and - = indicates negative outcome

Figure 1 Magnified view (100X) of isolated bacteria after gram staining under bright field microscope showed gram positive, rod shaped appearance.

Production and purification of dextransucrase

The enzyme Dextransucrase production was carried out as described by Tsuchiya et al.2 Sucrose was supplemented instead of Glucose for enzyme production. Among the nutrients carbon source sucrose was chosen as it induces the dextransucrase production and is also a substrate for dextran production from Lactobacillus. The cell free supernatant containing crude dextransucrase from Lactobacillus was purified by polyethylene glycols and the protein concentration was found to be 400g/l. The partially purified dextransucrase displayed 2.5±0.2U/ml enzyme activity. All the enzyme activities were measured in triplicates. Temperature and pH were optimized for dextransucrase and were found to be 30°C and 4.0, respectively (Figure 2A & 2B). Kinetic parameters were calculated using Sigma Plot statistical tool (www.sigmaplot.co.uk/products/sigmaplot/sigmaplot-details.php). MM plot and Lineweaver burk plot (LB plot) displayed distinct hyperbolic curve and regression line y=0.97 and the kinetic parameters were measured from the LB plot was found to be Vmax= 2.9±0.2µmole/min, Km = 1.1±0.2mg/ml and Kcat= 2.75s-1 (Figure 3A & 3B). The production of dextransucrase from Lactobacillus spp. is increased with an increase in Sucrose concentration. With increase in substrate concentration the enzyme activity has been increased upto certain level where zone of saturation occur and stationary phase appears.

Figure 2 Temperature (A) and pH (B) optimization plot developed by statistical too Sigma plot.

Figure 3 Michaelis Menten plot (A) displaying hyperbolic curve exhibiting first order rate kinetics and Line Weaver Burk plot (B) of dextansucrase used to measure the kinetic parameters Vmax, Km and Kcat.

Discussion

The physiological and biochemical characterization were carried out to distinguish the isolate from other closely related Lactic acid bacteria (LAB). Based on biochemical and physiological studies the isolate showed relation with other Lactobacillus spp. The isolates were gram positive, non-spore forming, non-motile, rod shaped, short-medium chain. By performing biochemical test the Catalase, Oxidase, Methyl-red, Voges-proskauer and Indole were negative. The isolates were able to ferment the Carbohydrates like Lactose, Sucrose, mannitol and Dextrose. The isolates cannot hydrolyse starch and in Gelatin liquefication test the Gelatin could not be liquefied. Generally, the cultural and biochemical properties of the isolates agreed with the description of Kandler and Weiss and confirmed the Bergey’s Manual of systematic bacteriology.5 The colonies on MRS Medium appeared to be slimy, convex, white, opaque and without pigment. Production of dextransucrase from Lactobacillus species is induced by the presence of sucrose.7 The production of dextransucrase could be increased by optimizing the fermentation process. As described earlier among all the purification methods, polyethylene glycol (PEG) is an effective, rapid and single step purification method for detransucrase.3 MM plot exhibited the enzyme dextransucrase followed first order rate kinetics. Kinetic parameters of the dextransucrase isolated from the sauerkraut Lactobacillus has significant Vmax, Km and Kcat which can be utilized for higher dextran production. Dextran has wide applications in food, Pharmaceuticals, and cosmetics industries.

Conclusion

Sauerkraut is a popular fermented food product of South East Asia made up of raw cabbage after fermentation by lactic acid bacteria. In this study we have implemented strategies to explore the potential of Lactobacillus sp. in the production of dextransucrase with significantly good enzyme activity. This source of enzyme production can serve the purpose of dextran synthesis by progressively increasing demand of natural polymers for various industrial applications.

Acknowledgements

Authors would like to acknowledge Prof Jha DK, Microbial Ecology Laboratory, Gauahti University. DST-FIST and UGC-SAP program Govt. of India to the Botany Department, Gauhati University, Assam, India.

Conflict of interest

Authors declare that there is no conflict of interest.

References

Creative Commons Attribution License

©2018 Ghosh, et al. This is an open access article distributed under the terms of the, which permits unrestricted use, distribution, and build upon your work non-commercially.