Research Article Volume 9 Issue 2
Department of Radiology, JJM Medical College, Devangere, Karnataka, India
Correspondence: Trupthi Das, Department of Radiology, JJM Medical College, Devangere, India
Received: April 20, 2024 | Published: May 27, 2024
Citation: Das T, Doddamani D, Katur AM, et al. Spectrum of magnetic resonance imaging brain findings in developmental delay in children below 5 years of age: an institutional study. MOJ Biol Med. 2024;9(2):73-77. DOI: 10.15406/mojbm.2024.09.00219
Objective: We aimed to determine the prevalence of normal and abnormal findings and evaluate various etiologies of developmental delay as observed on magnetic resonance imaging (MRI) studies of the brain.
Methods: This cross-sectional study enrolled 110 pediatric patients (3 months to 5 years) with developmental delay presented to a tertiary care center during a span of 2 y. Neuroimaging with essential sequences was done on a 1.5 T MRI machine. The structures of brain, including ventricles, corpus callosum, gray and white matter, basal ganglia, brainstem, and cerebellum, were systematically evaluated. After assessing the structures, the MRI abnormalities were assigned to different groups based on identifiable causes. These groups included traumatic/neurovascular, metabolic, neurodegenerative, and neoplastic diseases; congenital and developmental disorders; nonspecific findings; and normal brain with no identifiable abnormalities. The data were analyzed using SPSS software.
Results: Hypoxic ischemic insult was the most common cause of developmental delay accounting for 32.7% followed by metabolic/ neurodegenerative diseases, which included maple syrup urine disease and Leigh syndrome, accounting for 19.1% of the cases. Neuroimaging was essentially normal in 27.2% of the cases. Corpus callosum was affected in 60.6% of the cases and ventriculomegaly was observed in 62.4% of the cases. Perinatal hypoxic insult was significantly associated with hypoxic ischemic changes in brain (p<0.01).
Conclusion: Development delay is one of the most frequent problems encountered in child neurology along with cerebral palsy and epilepsy. Assessment of developmental delay in a nonsyndromic child with MRI neuroimaging is indispensable.
Keywords: developmental delay, pediatric neuroradiology, hypoxemic ischemic insult, corpus callosal dysgenesis
GDD, global developmental delay; DQ, developmental quotient; DA, developmental age; CA, chronological age; MRI, magnetic resonance imaging
Globally, every year, 180–200 million children under the age of 5 y exhibit developmental delay, of which, 86% cases occur in developing countries like India, as compared to only 8% in the developed economies.1 Developmental delay is common in early childhood, affecting at least 10% of the Indian children.2 Global developmental delay (GDD) affects 1–3% of the population of children under 5 y of age, making it one of the most common conditions presenting in pediatric clinics. Causes of developmental delay include exogenous, genetic (non-metabolic), or genetic (metabolic) etiologies.3 Development delay is one of the three most frequent problems in child neurology which also include cerebral palsy and epilepsy. The term developmental delay does not represent a diagnosis; however, it includes a spectrum of unrelated conditions which vary in clinical presentations.4
Child development is generally described in terms of streams or domains of development. The four domains of development are: (I) motor development- gross and fine motor, (II) speech and language development- expressive and receptive, (III) social and emotional, and (IV) cognitive.5 Delay in development is defined as delayed attainment of milestones in one or more domains but in an expected sequence when compared to a normally developing child.6
Developmental quotient (DQ) is calculated as, DQ = (developmental age [DA]) divided by chronological age (CA) × 100. Significant developmental delay is defined as DQ < 70.6 The degree of developmental delay is further sub-classified as: mild (functional age <33% below CA), moderate (functional age 34–66% of CA), and severe (functional age <66% of CA).3
Ongoing surveillance can lead to early detection of developmental delays.7 When developmental delay is left untreated, it can lead to more serious developmental and mental health problems later in childhood and adulthood.8 Consensus in the literature states that identifying developmental delays in the 0–5 year-old population is one of the top priorities for pediatricians.7 Developmental delay presents with a wide spectrum of etiologies, clinical presentations, and magnetic resonance imaging (MRI) features which can range from completely normal to abnormal findings. Neuroimaging by MRI has a key role in evaluating developmental delay in a child. This study establishes various morphological appearances of developmental delay on MRI and further categorizes them into various subgroups, making way for pediatricians to plan management accordingly and help in parent counselling. Therefore, we aimed to determine the prevalence of normal and abnormal findings and evaluate various etiologies of developmental delay through MRI studies of the brain.
Patients and procedures
This cross-sectional descriptive study was conducted from October 2020 to October 2022. A total of 110 patients aged between 3 months and 5 years of age with developmental delay were included in the study. Patients aged < 3 months and > 5 y; those diagnosed with meningitis or encephalitis; those with known congenital CNS infections, metabolic disorders, and chromosomal anomalies; and those with relative or absolute contraindications to MRI examination, such as metal implants, were excluded from the study. Children with GDD or delayed milestones in the pediatric department were referred for MRI study of the brain. A complete history including family pedigree, birth history, perinatal insults, postnatal history, and neonatal intensive care unit (NICU) admission was noted. Physical examination included assessment of the type and degree of developmental delay. MRI of the brain was performed on 1.5 T Philips Achieva (Philips; Amsterdam, Netherlands). All patients fulfilling the inclusion criteria were enrolled in our study. Written informed consent was obtained from the parents after explanation of the procedure. Imaging was performed after proper sedation of the patients. MRI sequences acquired 3D-T1 volume, axial and coronal T2, fluid-attenuated inversion recovery (FLAIR), diffusion-weighted imaging (DWI), apparent diffusion coefficient (ADC), and fast-field echo (FFE) sequences. Magnetic resonance spectroscopy was done in patients in whom metabolic disease was suspected on imaging.
The following structures were systematically evaluated following the protocol by Widjaja et al.9
After assessing the structures, the MRI abnormalities were assigned to one of the five groups:10 normal; traumatic/neurovascular diseases; congenital and developmental disorders; metabolic and neurodegenerative diseases; neoplastic diseases; and nonspecific findings, including ventriculomegaly, enlarged subarachnoid spaces, and delayed myelination, etc. All procedures were performed in accordance with the ethical standards of the institutional and national research committees and the 1964 Declaration of Helsinki and its later amendments or comparable ethical standards.
Statistical analysis
Data that was gathered was entered in Microsoft Excel which was analyzed using SPSS software v22.0. The patient characteristics and basic descriptors of the study subjects have been shown in the form of frequency and percentages. p-value was calculated by chi-square tests to determine any association between developmental delay and the basic descriptors such as structural abnormalities and specific etiological groups. p< 0.05 was considered statistically significant.
Developmental delay can involve various structures of the brain which can be identified as abnormalities in neuroimaging with MRI. In our study, ventricle was abnormal in 62.4% of the cases with developmental delay where corpus callosum was involved in 60.6% of the cases. Diffuse thinning of corpus callosum and partial agenesis were observed in 71.8 and 28.1% of the cases, respectively in our study which indicates major involvement of corpus callosum in developmental delay. After assessing the structures, the MRI abnormalities were assigned to different groups which aided in establishing the etiology of developmental delay along with clinical presentation and further work up. The present study showed that 32.7% of cases of developmental delay was due to traumatic/neurovascular diseases, 19.1% of the cases were due to metabolic and neurodegenerative diseases and 10% of the cases were congenital and developmental disorders. Perinatal hypoxic insult was significantly associated with hypoxic ischemic changes in brain (p<0.01) which formed majority of the abnormal neuroimaging finding.
The Table 1 represents the characteristics of the study participants. Few metabolic causes of developmental delay in our study were adrenoleukodystrophy (n=2), Alexander disease (n=1), Leigh’s disease (n=3), Maple syrup urine disease (n=4), Metachromatic leukodystrophy (n=1), Pelizaeus Merzbacher disease (n=1), Wilson’s disease (n=1), uremic encephalopathy (n=1) and vitamin B12 deficiency (n=1). MRI findings in the current study were abnormal in 69.4 and 78.7% of the males and females, respectively in Figure 1. The clinical presentations and neuroimaging findings can be varied which aid in diagnosing the etiology of developmental delay in children. MRI scan of the brain of a 1-year-old child with port-wine stain on the face and a history of consanguineous marriage of parents presented with complaints of developmental delay and was diagnosed with Sturge–Weber syndrome in Figure 2. A 8-month-old female infant referred in view of developmental delay was diagnosed with pericallosal lipoma with bilateral parieto-occipital polymicrogyria in Figure 3. Another 1-year-old female infant referred in view of developmental delay was diagnosed with Alexander disease (Figure 4).
|
Age group |
Frequency (n=110) |
||
|
3 mo – 1 y |
28 |
||
|
1–2 y |
34 |
||
|
2–5 y |
48 |
||
|
Sex |
|||
|
Male |
49 |
||
|
Female |
61 |
||
|
Diseases |
|||
|
Normal |
30 |
||
|
Traumatic/ neurovascular diseases |
36 |
||
|
Congenital and developmental disorders |
11 |
||
|
Metabolic and neurodegenerative diseases |
21 |
||
|
Neoplastic diseases |
3 |
||
|
Nonspecific findings – includes ventriculomegaly, enlarged subarachnoid spaces and delayed myelination, etc. |
9 |
||
|
Corpus callosal involvement |
n = 39 |
||
|
Complete agenesis |
2 |
||
|
Diffuse thinning |
28 |
||
|
Partial agenesis |
9 |
||
|
MRI findings of hypoxic ischemia |
|||
|
Hypoxic ischemic insult |
24 |
||
|
Other cases |
56 |
||
|
Normal MRI |
30 |
||
|
Morphological features |
Normal n (%) |
Abnormal n (%) |
p-value* |
|
Ventricle |
42 (37.6) |
68 (62.4) |
0.01 |
|
Corpus callosum |
44 (39.4) |
66 (60.6) |
0.028 |
|
Grey and white matter |
31 (27.5) |
79 (72.5) |
0 |
|
Basal ganglia |
74 (67.0) |
36 (33.0) |
0 |
|
Brainstem |
78 (70.6) |
32 (29.4) |
0 |
|
Cerebellum |
68 (61.5) |
42 (38.5) |
0.017 |
Table 1 Characteristics of study participants
Figure 1 Rasmussen’s encephalitis.
Axial T2 (a) and FLAIR (b) weighted image of a 3-year-old child with a history of perinatal hypoxia and developmental delay shows marked diffuse left cerebral hemiatrophy with dilated left ventricle, encephalomalacia, gliosis, and subcortical cystic changes suggestive of Rasmussen’s encephalitis.
FLAIR, fluid-attenuated inversion recovery.
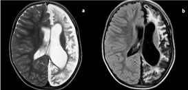
Figure 2 Sturge–Weber syndrome.
Axial FLAIR (a) shows thick sulcal hyperintensities in right fronto-parietal and temporo-occipital lobe showing significant post contrast leptomeningeal enhancement. (b) These areas show prominent ipsilateral sulci, sylvian fissure and subarachnoid space compared to the contralateral side. However, no ex vacuo dilatation of ipsilateral lateral ventricle is observed. FLAIR, fluid-attenuated inversion recovery.
Figure 3 Pericallosal lipoma with bilateral parieto-occipital polymicrogyria.
T1-weighted (a) and T2-weighted (b) axial images showing midline hyperintense lesion (red arrow) extending into choroid plexus of bilateral lateral ventricles with thin peripheral hypointense rim (white arrow). Mild white matter volume loss with polymicrogyria in bilateral parieto-occipital lobes (black arrows). T1-SPIR sagittal image (c) showing signal suppression of the lesion (red arrow) with hypointense peripheral rim (white arrow). Axial FFE image (d) shows irregular central and peripheral blooming due to chemical shift artefact.
SPIR, spectral presaturation with inversion recovery; FFE, fast field echo.
Figure 4 Alexander disease.
T2-weighted (a, b) and FLAIR (c) axial images showing diffuse cerebral atrophy with and bilateral symmetrical cerebral white matter high T2/FLAIR signal changes predominantly involving the periventricular white matter extending up to subcortical U fibers (posterior > anterior). Diffuse thinning of corpus callosum is noted on sagittal T1-weighted image (d). FLAIR, fluid-attenuated inversion recovery.
The importance of establishing diagnosis in children with developmental delay is crucial in management and treatment of the child. Apart from appropriate laboratory and clinical evaluation for GDD, MRI studies of the brain hold an essential role in determining the cause of developmental delay. However, no Indian study has evaluated the MRI scans of the brain young children with GDD within 5 y of age. Most of the children in this study were aged between 2–5 y. A study by Ali et al.11 had shown that a majority of the patients with developmental delay were aged between 3 months and 1 y, and most of them were males.11 In a study by Habibullah et al.12 a majority of the patients with abnormal MRI findings were in the age group of 2–5 y.12 The present study shows that 32.7, 10, and 19.1% of the cases had traumatic/neurovascular diseases, congenital and developmental disorders, and metabolic and neurodegenerative diseases, respectively. A similar study by Ali et al.11 had shown that a normal MRI was observed in 32.0% of the cases; whereas, traumatic/neurovascular diseases and congenital and developmental disorders were present in 31.0 and 17% of the cases, respectively.11 A study by Palve et al.13 had noted that traumatic/neurovascular disease like ischemic encephalopathy was seen in eight cases and congenital and developmental abnormalities were found in 13 cases.13 A study by Singh et al.14 had shown that hypoxic insult was present in 56.8% of the cases.14 Perinatal hypoxic insult was significantly associated with hypoxic ischemic changes in brain (p<0.01). The MRI findings in the current study were abnormal in 69.4 and 78.7% of the males and females, respectively. A study by Habibullah et al.12 had shown that the number of males (58%) with abnormal MRI was slightly higher than females (50.6%).12 A study by Palve et al.13 also noted similar findings.13
Diffuse thinning of corpus callosum and partial agenesis were observed in 71.8 and 28.1% of the cases, respectively. Cerebral atrophy and Maple syrup urine disease were present in 19.0% of the cases. Leigh’s disease was present in 14.3% of the cases. Hypoxic ischemic insult to the brain was present in 21.8% of the cases and other causes were present in 50.9% of the cases. Ventricle was abnormal in 62.4% of the cases, corpus callosum involvement was present in 60.6% of the cases, grey and white matter abnormality was present in 72.5% of the cases, basal ganglia was involved in 33.0% of the cases, brainstem in 29.4% of the cases and cerebellum was abnormal in 38.5% of the cases in this study. A study by Ali et al.11 had shown that ventricles were involved in 61.8% of the cases and white matter in 58.2% of the cases.11 A study by Singh et al.14 had shown basal ganglia only was involved in 41.6% of the cases, thalamus only in 12.5% of the cases and basal ganglia with thalamus in 45.8% of the cases which was in contrast to our study. Cortex and subcortical white matter abnormality was seen in 55.5% of the cases which had slightly lesser involvement in comparison to a previous study.14 Since neuroimaging makes it simple to identify a number of contributing variables, such as certain etiologic and pathophysiological disorders, it plays a crucial component of the thorough examination of children with global developmental delay. Establishing the etiology of developmental delay helps early diagnosis and required therapy. The study was conducted at a tertiary care center which is associated with a government hospital which helped us analyze the etiologies in the community level. The study had a few limitations. Follow-up imaging was not performed to evaluate the progressive nature of the pathologies as developmental delay is an ongoing process. However, we aimed to determine the causes of developmental delay and not the progressive nature of each pathology. Another limitation of this study was a few number of the study participants and shorter duration of the study.
Development delay is one among the three most frequent problems encountered in child neurology including cerebral palsy and epilepsy. Assessment of developmental delay in a child with MRI neuroimaging is indispensable. Involvement of specific structures in brain along with clinical work-up aid in establishing a definitive diagnosis in children with developmental delay.
None.
The authors declare that there is no conflict of interest.
None.
©2024 Das, et al. This is an open access article distributed under the terms of the, which permits unrestricted use, distribution, and build upon your work non-commercially.