Submit manuscript...
MOJ
eISSN: 2381-179X

Clinical & Medical Case Reports

Case Report Volume 3 Issue 2

A case of pseudomyxoma peritonei in a 69 years old woman and review of literature

Danilo Coco,1 Silvana Leanza,2 Massimo Giuseppe Viola1

1Department of General Surgery, Giovanni Panico Hospital, Italy
2Department of General Surgery, INRCA Hospital, Italy

Correspondence: Danilo Coco, Department of General Surgery, Giovanni Panico Hospital, Tricase, Italy

Received: October 06, 2015 | Published: November 5, 2015

Citation: Coco D, Leanza S, Viola MG. A case of pseudomyxoma peritonei in a 69years old woman and review of literature. MOJ Clin Med Case Rep. 2015;3(2):196-198. DOI: 10.15406/mojcr.2015.03.00057

Download PDF

Abstract

Pseudomyxoma peritonei (PMP) is a rare neoplasm characterized by the production of abundant mucin or gelatinous ascites with involvement of the peritoneal surface and omentum. Usually it is associated with benign or malignant mucinous tumor of the appendix or ovary but there are also cases described with other side as colon, rectum, stomach, gallbladder, biliary tract and so on The overall incidence is 1-2 per million per year, it is more common in women than in men (male: female ratio: 9:11). Signs and Symptoms of PMP are very a specific for this reason this disease is often discovered incidentally during other surgical procedure or diagnostic procedure of other pathology. Treatment ranges from debulking to hyperthermic intraperitoneal chemotherapy (HIPEC) with cytoreductive surgery (CRS). In this article we want to describe a case of PMP discovered during a diagnostic laparoscopy in a 69years old woman with a specific symptoms and a diagnosis of peritoneal carcinomatosis at CT SCAN and to review the literature about this rare pathology.

Keywords: pseudomyxoma peritonei, laparoscopy, carcinomatosis, mucinous tumor, carcinosis, peritonectomy, intraperitoneal, chemotherapy, abdominal pain, mytomicin C, adenocarcinoma

Abbreviations

PMP, pseudomyxoma peritonei; HIPEC, hyperthermic intraperitoneal chemotherapy; CRS, cytoreductive surgery; DPAM, disseminated peritoneal adenomucinosis; PMCA, peritoneal mucinous carcinomatosis; PCI, peritoneal score index; SPCI, score or simplified PCI

Introduction

Pseudomyxoma peritonei (PMP) is a condition characterized by the production of abundant mucin or gelatinous ascites by tumor cells, which fills the abdominal cavity.1 The first case was described by Carl F. Rokitansky in 1842. The term PMP was coined by Werth in 1884 describing it in association with a mucinous ovarian tumor while in 1901 Frankel described the first case associated with a cyst of Appendix. This disease is most commonly caused by an appendiceal tumor (mucocele) or by mucinous tumors of the ovary. The overall incidence is 1-2 per million per year, it is more common in women than in men (Male: Female ratio: 9:11) and median age is about 50years with a range of 20-25years.2

Case presentation

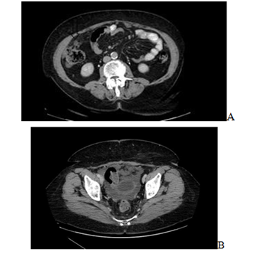
A 69years old woman is visited for diffuse abdominal pain, weight loss and anorexia associated with epigastralgia and difficult alvus. In remote anamnesis she has had a complete isteroannessiectomy for cancer 20years ago allow by CHT plus RT. She had only arterial hypertension and mild obesity as comorbidities. At objective exam her abdomen was normal with no mass in rectum at digital exploration. Gastroscopy and colonoscopy were negative and ematochimic exams were normal with tumoral markers as Ca 15.3 40ng/ml, Ca 19.9 108ng/ml, Ca 125 23ng/ml. She was submitted at CT SCAN which demonstrated mild ascites and some nodules in the Glissonian capsula in VI-VIIVIII segment, in right parieto-colic and pararectal region and in omentum (Figure 1). For this reason she was subjected to exploratory laparoscopy which demonstrated diffuse mucinous carcinosis in the same region as CT scan with implication of the appendix (Figure 2). Peritoneal biopsy and histological finding revealed diagnosis of Pseudomyxoma Peritonei. Then she was studied and prepared for laparotomy with pneumological and cardiologic visit plus echocardiography which revealed only arterial calcification and after a new toraco-abdominal CT scan for staging that demonstrated two specific pulmonary nodules in right superior lobe and left lateral lobe respectively 6mm and 7mm with no pleural effusion. Peritoneal carcinosis in right iliac fossa, in left flank, in the mesenteric region, in small bowel and in the rectum with peritoneal effusion in the Douglas. PET demonstrated only contrast enhancement in the umbilical region in the previus region laparoscopy.

Figure 1 A) Right parieto- colic nodules, B) Douglas’ peritoneal fluid.0.769.

Figure 2 A Diffuse mucinous carcinosis in right iliac region (A) and parietal peritoneum (B).

The patient was subjected to Sugarbecker surgical intervention: xifo-pubic laparotomy, exploration, excision of right nodules with right hemicolectomy, excision of rotundus ligament to Rex recessus and falciform ligament, omentectomy, left peritonectomy, excision of small bowel nodules, Douglas peritonectomy and partial TME, ileostomy and colic right muco-cutaneus fistulas and positioning of three drainage in right sub-diaphragmatic, sub- hepatic and right iliac fossa and two drainage in left sub diaphragmatic and in left iliac fossa for HIPEC closed (coliseum) with 5FU plus mitomicin C for 60minutes. In the postoperative time she was affected thoracic drainage and by Staphylococcus Hominis infection with hyperpiressia and resolution with glazidim and metronidazole and wound infection. Two months after discharge she was recanalized with ileo-colic L_L isoperistaltic anastomosis and discharged after regular postoperatory. Istologic findings revealed well differentiated mucinous appendiceal adenocarcinoma with peritoneal neoplasia (pT4 No M1 LV0 G1).

Outcome and follow-up

CT scan 3years follow-up demonstrated the same pulmonary and hepatic nodules with unchanged dimension, a first grade hydronephrosis in right kidney and absence of Pseudomyxoma Peritonei. Normal tumoral markers: Ca125:5ng/ml, Ca 19.9:29ng/ml, CEA: 4.7ng/ml.

Discussion

PMP seems to arise from the MUC2, an alterated gene expressing in globet cells that are most commonly in the appendix. Some studies say also KRAS (p53) may be involved in the oncogenesis.2 About histopathologic classification of PMP there is a debate.3 Infact, in 1995 Ronnett divided PMP cases into histopathological categories: DPAM (disseminated peritoneal adenomucinosis) as adenoma and PMCA (peritoneal mucinous carcinomatosis) as carcinoma with a third category for intermediate features.4 DPAM seems characterized by peritoneal lesions composed of abundant extracellular mucin containing scant simple to focally proliferative mucinous epithelium with little cytologic atypia or mitotic activity (exactly normal cells associated with other cells of which mitosis indicate no evidence of rapidly dividing). DPAM should be associated with or without appendiceal mucinous adenoma. In the other hand, PMCA is characterized by peritoneal lesions presenting more abundant mucinous epithelium with the architectural and cytologic features of carcinoma (irregular cells-rapidly dividing), with or without an associated primary mucinous adenocarcinoma. The majority of cases are described in appendix and in ovarian but there are described other side as colon, rectum, stomach, gallbladder, biliary tract and so on.2,4 Signs and Symptoms of PMP are very specific and may include abdominal pain, pelvic pain, bloating, abdominal distension, alteration of intestinal motility and weight loss.

The disease often discovered incidentally during other surgical procedure or diagnostic procedure of other pathology. Diagnostic tests including abdominal US, CT scans and evaluation of tumor markers. Diagnosis is confirmed only through pathology. Treatment ranges from debulking to hyperthermic intraperitoneal chemotherapy (HIPEC) with cytoreductive surgery (CRS). In debulking, surgery attemps to remove as much tumor as possible while CRS involves surgical removal of the primary tumor, of the periutoneum (peritonectomy), of any adjacent organs with tumor seeding associated with HIPEC as reported by Sugarbecker.5 Mytomicin C in high temperature (HEATED cht) is infused directly into the abdominal cavity to kill remaining microscopic cancerous cells. Hipec is perfused throughout the abdominal cavity for an hour or two with the use of drainage or post-operative CHT (EPIC) are infused for one to five days after surgery or in multiple cycles for several months after surgery.6 Systemic CHT may be administered as additional treatment.

The literature evidence that combined modality approach as Sugarbaker treatment approach (1990) is a recommended surgical modality aiming at achieving cure or at least long-term remission for PMP. This technique consists in parietal peritonectomy and resection of involved viscera combined with hyperthermic intraperitoneal chemotherapy (HIPEC). The goal is to remove all macroscopic tumor masses with surgical technique and HIPEC should eradicate any microscopic residue. This is possible through Peritoneal Score Index (PCI) Score or simplified PCI (SPCI) (Figure 3) that assesses the possibility of complete cytoreduction and prognosis. After surgery, the completeness of cytoreduction is scored by CC score: CC-0en bloc resection, CC-1 as residual implants of less 2.5mm, CC-2 as implants of 2, 5 to 25mm and CC-3 greater 25mm. It’s necessary to associated R (residual tumor (R0-R1-R2). All these score systems should be predicted morbidity, disease-free survival and overall survival. HIPEC seems to enhance the penetration of drugs into tumor tissue. The intraoperative HIPEC can be applied by either an open or a closed (coliseum) technique with various combined CHT. Mytomicin C is widely used alone or in combination modality.

Figure 3Peritoneal score index (PCI).

Acknowledgements

None.

Conflict of interest

The author declares no conflict of interest.

References

Creative Commons Attribution License

©2015 Coco, et al. This is an open access article distributed under the terms of the, which permits unrestricted use, distribution, and build upon your work non-commercially.