Case Report Volume 12 Issue 1
1Radiologist, Shahid Gangalal National Heart Centre, Nepal
2Cardiologist, Shahid Gangalal National Heart Centre, Nepal
Correspondence: Nirmal Prasad Neupane, Radiologist, Shahid Gangalal National Heart Centre, Kathmandu, Nepal
Received: April 22, 2022 | Published: May 10, 2022
Citation: Neupane NP, Rajlawot K, Adhikari C, et al. A case report of arrhythmogenic right ventricular cardiomyopathy (ARVC) diagnosed with cardiac MRI. MOJ Clin Med Case Rep. 2022;12(1):8-9. DOI: 10.15406/mojcr.2022.12.00408
Arrhythmogenic right ventricular cardiomyopathy also termed as Arrhythmogenic right ventricular dysplasia (ARVC/D) is a cardiac muscle disorder associated with ventricular arrhythmia and dysfunction predominantly affecting the right ventricle.1 ARVC being a disease with low prevalence and unknown etiology, oftentimes may go unnoticed. Therefore, only with the clinical scenario it becomes very challenging to diagnose ARVC. The advanced radiological modality such as Cardiac Magnetic Resonance (CMR) imaging however has simplified its diagnosis. We present here a case of ARVC that was diagnosed based on CMR findings.
A 39 years old male patient presented to our emergency department with complaints of palpitations, frequent syncopal episodes, constant feeling of exhaustion, and diaphoresis. A baseline investigation was done including an electrocardiogram (ECG) and echocardiogram (ECHO). Based on the test results, the patient was suspected to have an ARVC and was referred for CMR imaging to confirm the diagnosis.
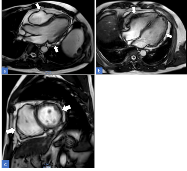
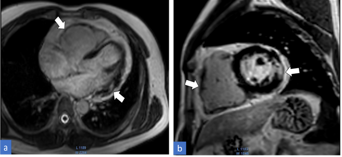
Cardiac MRI with contrast was performed for the patient on a 3Tesla platform. The CMR sequences of transverse black/bright blood images, vertical long axis, four-chamber, and short-axis cine images, left ventricular outflow tract (LVOT), right ventricular outflow tract (RVOT) views along with three-chamber cine images, and early plus delayed gadolinium enhancement sequences were obtained. The imaging findings showed dilated right atrium, right ventricle, and RVOT with irregularity of both ventricular wall (predominantly on the right side) (Figure 1). The right ventricular wall was noted to have increased trabeculations with dyssynchronous motion of the wall. Indexed end diastolic volume of the right ventricle was 120cc and the right ventricular ejection fraction (RVEF) was measured to be 32%. The delayed gadolinium images depicted diffuse enhancement in the right ventricular wall and RVOT. Patchy mid myocardial enhancement was also noted in the left ventricular wall involving the lateral segments in the basal and mid cavities (Figure 2). Mild tricuspid regurgitation with a regurgitant fraction of 16% was also noted. Based on the CMR findings and features satisfying modified task force criteria, diagnosis of ARVC with biventricular involvement was made.
ARVC is an inherited form of cardiomyopathy mostly seen in young adults that frequently goes undiagnosed as its clinical signs and symptoms vary from being completely symptomless to fatal arrhythmia and sudden mortality.2 Hence, to make the interpretation easier, the diagnostic criteria namely “The task force criteria” were first introduced in 1994. It has been followed thereafter with a major update in 2010. The significant CMR imaging findings included in the criteria are Regional RV akinesia or dyskinesia or dyssynchronous RV contraction plus one of the following: RV end-diastolic volume indexes ≥ 110 mL/m2 (male) or ≥ 100 mL/m2 (female) Or RV ejection fraction ≤ 40% (1, 2, 3). Our present case here met all of the mentioned CMR imaging criteria, thus giving a confirmed diagnosis of ARVC. As the name implies, ARVC primarily affects the right ventricle, however, it can also affect the left ventricle.4,5 This is when CMR is again considered a crucial modality to assess the left ventricular involvement as it may not be evident on an echocardiogram. In our case as well CMR revealed the involvement of the left ventricle giving an impression of an “Arrhythmogenic Biventricular Cardiomyopathy” rather.
ARVC is a familial cardiac condition, a major cause of unexpected deaths among the young population that has several challenges for a timely diagnosis. However, amidst all the provided criteria, the additional factors contributed by CMR such as the clearest heart image along with both functional and structural information make it an excellent choice for the diagnosis of ARVC. Furthermore, CMR findings may encourage a genetic screening, which might aid in assessing prognosis and alternative treatments for present and future generations to come
None.
None.
©2022 Neupane, et al. This is an open access article distributed under the terms of the, which permits unrestricted use, distribution, and build upon your work non-commercially.